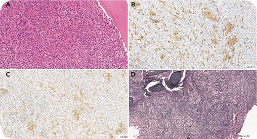
A 79-year-old man presented with marked, persistent hypereosinophilia (HE). Peripheral blood (PB) counts showed leukocytosis (27.0 × 109/L) with 98% eosinophils in PB smear and anemia (10.3 g/dL). Bone marrow biopsy showed chronic eosinophilic leukemia (CEL)–like features, including marked hypercellularity (panel A; original magnification ×20; hematoxylin and eosin stain) and abundant eosinophils and their precursors. There were several round or spindle-shaped mast cells (MCs) arranged both as single elements and as loose or rare dense aggregates (panel B-C; original magnification ×20; CD117-CD25); erythroid lineage was hypoplastic, megakaryocytes showed minor changes; MF-3 fibrosis was present (panel D; original magnification ×10; reticulin stain). Myeloproliferative neoplasm (MPN)-driver mutations and KITD816V tested negative, as well as targeted next generation sequencing (NGS) analysis of myeloid-relevant genes. Karyotype was not evaluable. Fluorescent in situ hybridization (FISH) analysis for BCR::ABL1 and PDGFRA/PDGRFB/FGFR translocations was negative. An NGS panel addressing HE-specific gene fusions documented FIP1L1::PDGFRA rearrangement in 3.077 of 133.603 (2.3%) total reads. Our findings are consistent with recent studies reporting frequent false-negative FIP1L1::PDGFRA FISH results in clonal eosinophilia at diagnosis. A diagnosis of myeloid/lymphoid neoplasm with eosinophilia (M/LN-eo) and FIP1L1::PDGFRA rearrangement was made. Patient started administration of imatinib (100 mg daily), obtaining complete hematologic response.
Overall, this case highlights (1) the value of highly sensitive multitarget NGS to support M/LN-eo diagnosis overcoming standard cytogenetics limitations; (2) atypical MCs as frequent finding in M/LN-eo with CEL-like features; and (3) the relevance of the 2022 International Consensus Criteria diagnostic criteria for M/LN-eo.
For additional images, visit the ASH Image Bank, a reference and teaching tool that is continually updated with new atlas and case study images. For more information, visit http://imagebank.hematology.org.
© 2023 by The American Society of Hematology
2023
