To the editor:
Essential thrombocythemia (ET) is a myeloproliferative neoplasm (MPN) that mainly affects middle-aged patients. Although pediatric cases occur, they are rare, and their molecular features considerably differ from the adult counterparts: JAK2V617F mutation occurs in only 25% of cases,1 CALR mutations are found in <10% of patients,2 and the MPLW515L mutation is anecdotal.3 Overall, <40% of children with unexplained, long-lasting thrombocytosis have a clonal marker of ET.2
After the release of the 2001 World Health Organization (WHO) classification,4 bone marrow (BM) evaluation has become a cornerstone of ET diagnosis. However, the majority of studies has focused on adults, and little is known about the role of BM biopsy in pediatric ET. In fact, BM biopsy is seldom performed in children with a clinical picture of ET due to the invasiveness of the procedure. The main objective of this study was to explore the relevance of BM histology in children with high platelet counts in order to identify possible differences in: (1) primary vs reactive/secondary thrombocytosis (PedST) of childhood; and (2) pediatric (PedET) vs adult (AdET) cases of ET.
Treatment-naive diagnostic BM samples were collected from 21 pediatric patients clinically diagnosed with ET according to the 2008 WHO diagnostic criteria in 7 Italian pediatric centers (2011-2016). All cases were reviewed (separately and in joint sessions) by 2 hematopathologists (M.P., E.S.) who were blind to any clinical and/or molecular information. Six BM samples of PedST were used as controls, 5 of which had lymphoma and 1 prolonged spontaneously remitted thrombocytosis. The histological features were compared with those of 36 consecutive AdET cases, which were strictly diagnosed according to the 2008 WHO criteria and enrolled during the same time period as the children. Statistical analyses were performed on data recorded at the time of diagnosis. The study was approved by the local ethics committee.
Clinically, PedET was characterized by higher median platelet counts than those in AdET, (PedET: 1251 × 109/L; AdET: 681 × 109/L), more frequent splenomegaly (PedET: 14 of 21 cases [67%]; AdET: 7 of 36 cases [19.4%]), and abdominal pain (PedET: 4 of 21 cases [19.0%]; AdET: 0 of 36 cases) (P < .001).
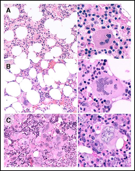
PedET differed from PedST in key histological parameters (Figure 1A-B). PedET showed higher megakaryocyte (MK) density5 (37.5 MK/mm2 vs 9.2 MK/mm2; P < .001), loose MK clusters (21 of 21 [100%]), and occasional grade-1 reticulin fibrosis (6 of 21 [28.5%]), which was never documented in PedST cases (Table 1).6 Thorough morphological and immunohistochemical evaluation showed similar features in PedET and AdET, despite higher BM cellularity (as is commonly seen in children7 ), and higher MK density was reported in the pediatric group. This increase in MK density in children was due to higher cellularity values (ie, the differences in MK density were not statistically significant after adjusting for cellularity). PedET was also histologically analyzed according to the patients’ age and mutational status, although no differences were found.
Representative histological features of pediatric cases with (A) ST, (B) ET, and (C) pre-PMF. (A) Normocellular BM with scattered nondescript MK. (B) Loose clusters of MKs with hypersegmented (staghorn-like) nuclei. (C) Tight clusters of atypical MKs with bulbous (cloud-like) nuclei. Hematoxylin and eosin stain, original magnification ×10 and ×20; Leica DM4000 B optic microscope, DFC420 camera and acquisition software (Leica Microsystems, Milan, Italy).
Representative histological features of pediatric cases with (A) ST, (B) ET, and (C) pre-PMF. (A) Normocellular BM with scattered nondescript MK. (B) Loose clusters of MKs with hypersegmented (staghorn-like) nuclei. (C) Tight clusters of atypical MKs with bulbous (cloud-like) nuclei. Hematoxylin and eosin stain, original magnification ×10 and ×20; Leica DM4000 B optic microscope, DFC420 camera and acquisition software (Leica Microsystems, Milan, Italy).
Histological reevaluation also identified cases with morphological features, suggesting an MPN other than ET. Among the 6 JAK2V617F-mutated cases, 1 showed histological features of polycythemia vera (PV) and another of prefibrotic early primary myelofibrosis (pre-PMF). The remaining 4 mutated cases exhibited a BM picture consistent with ET. Re-evaluation of the 12 triple negative (3NEG) cases revealed features consistent with ET in 9 cases, 2 cases compatible with pre-PMF (Figure 1 A-C), and 1 case with characteristics of secondary thrombocytosis (ST).
These results provide insight into the complex scenario of high platelet counts in childhood. Thrombocytosis is indeed a common finding in children.8 Most cases are secondary/reactive forms, which spontaneously normalize over time. Rare hereditary thrombocytosis has also been documented.9 Primary thrombocytosis is extremely rare, with an estimated incidence of ∼1 per 10 million annually.10
The differential diagnosis of pediatric thrombocytosis may be challenging in clinical practice, and, unlike in adults, molecular biology is of limited value. Children with suspected ET have indeed low rates of driver mutations2,3,11,12 with a lower allele burden than adults.13 Consequently, molecular studies cannot definitively identify the nature of several putative pediatric ET cases. Histological evaluation may prove to be of greater value, but little has been reported in the literature so far. The only few available studies have either examined single cases or small series of pediatric ET and have reported variable results.14,15 Moreover, another large study about pediatric ET did not specifically address BM importance.16
Our study is seemingly the largest published study on BM histology in pediatric patients with clinically diagnosed ET to date. Among 21 children, 20 cases had BM findings consistent with MPN (ET: n = 16; PV: n = 1; pre-PMF: n = 3) and 1 3NEG case had a histological picture of ST. The findings of histologically confirmed ET were distinct from those of PedST, and are thus consistent with the data reported by Thiele et al17 in adults. Likewise, the BM findings of PedET were similar to those of AdET, irrespective of the mutational status. Furthermore, the interpathologist agreement regarding the final diagnosis and the assessment of each histological parameter was excellent (κ index >0.80).
Histological re-evaluation has demonstrated occasional discrepancies between the original clinical diagnosis and the morphologically integrated one. Critical re-evaluation of the diverging cases reveals the importance of BM evaluation in putative cases of pediatric ET. In particular, 1 JAK2V617F-mutated case could have been a masked PV.18 The clinical history of this patient revealed transient increases in hemoglobin and hematocrit levels (>95th percentile for age) and transient ischemic attacks. Transient ischemic attacks occurred in another JAK2-mutated ET girl. Similarly, 1 girl with a JAK2V617F-mutated MPN (originally interpreted as ET) had a histological picture of pre-PMF. Her clinical history reported Budd-Chiari syndrome during infancy with hepatopulmonary syndrome, portal thrombosis, and progressive splenomegaly (a clinical picture of suspected primary myelofibrosis [PMF]).
The 3NEG cases highlight the importance of BM biopsy for accurate diagnosis, in that 11 out of 12 cases were consistent with an MPN. In particular, 2 3NEG cases presented a pre-PMF–like BM picture, supporting the idea that PMF can rarely occur in pediatric patients.19 In the remaining 9 3NEG children with both clinical and histological features of ET, very low mutant allele burdens20,21 and/or unusual MPN-associated mutations22 might be present. Of note, histology was consistent with ST in 1 case, suggesting that a subset of 3NEG ET is indeed misdiagnosed ST.23 We have recently observed 2 cases of putative 3NEG ET (BM not available for histologic evaluation) who spontaneously achieved hematological remission after 15 years of sustained thrombocytosis. All of these cases illustrate the importance of BM evaluation, possibly in tertiary centers, for diagnosing pediatric MPN.24
In conclusion, the data presented in this study clearly show that BM evaluation is pivotal for ET diagnosis among the pediatric population, as it is for adults. BM assessment proves particularly helpful in the differential diagnosis between ET and its clinical mimickers (ie, PMF, PV, and ST) and should be part of the diagnostic workup of children with long-lasting unexplained thrombocytosis, together with several other clinical, laboratory, and molecular parameters.
Authorship
Acknowledgments: The authors thank Holly D. Sedutto for her insightful reading of the paper.
This work was supported in part by the University of Padua and by Associazione Italiana Leucemie (Padua, Italy) (M.C.P.).
Contribution: M.L.R. and M.C.P. designed the research, contributed patients, participated in data analysis and interpretation, and wrote the paper; I.B. contributed patients and performed statistical analysis; M.P. and E.S. performed histological studies; E.P. performed the molecular analysis; F.F. and M.R. contributed to study design and made major intellectual contributions to the manuscript; C.M., P.F., U.R., S.C., and G.R. contributed patients and participated in discussions about the data; and all authors read and approved the final draft of the paper.
Conflict-of-interest disclosure: The authors declare no competing financial interests.
Correspondence: Maria Luigia Randi, Department of Medicine, University of Padua, Via Giustiniani 2, 35128 Padua, Italy; e-mail: marialuigia.randi@unipd.it.

