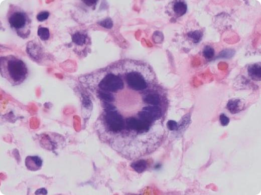
A 28-year-old female presented with chills, sweats, and profound weakness. Laboratory findings revealed hypercalcemia, elevated lactate dehydrogenase, and pancytopenia. Bone marrow aspirate revealed 95% blasts with 2 distinct populations. A subset of blasts (20%) had typical morphology with small- to medium-sized nuclei, relatively regular nuclear outlines, and scant cytoplasm; however, the majority of the blasts were large and atypical with highly convoluted nuclear outlines, numerous cytoplasmic vacuoles, and binucleation/multinucleation with rosette-like features. By flow cytometric analysis, both of the blast populations expressed CD4 (dim), CD13, CD15, CD33 (dim), CD36, CD64 (dim), and MPO (dim) without expression of HLA-DR, CD34, or CD117, findings indicative of acute myeloid leukemia with monocytic differentiation. There was no phenotypic evidence of megakaryocytic differentiation. Genetic studies revealed 5 clonal cell lines with complex cytogenetic abnormalities and FLT-3 D835 point mutation without FLT-3 internal tandem duplication, NPM1, or CEBPA.
The patient underwent induction chemotherapy with CPI-613, cytarabine, and mitoxantrone. The small blasts with conventional morphology showed a good response to induction chemotherapy. However, the atypical large blasts were persistent in subsequent bone marrow biopsies despite repeated courses of chemotherapy, suggesting resistance to conventional treatment. The patient died 9 months after the initial diagnosis without achieving complete remission.
A 28-year-old female presented with chills, sweats, and profound weakness. Laboratory findings revealed hypercalcemia, elevated lactate dehydrogenase, and pancytopenia. Bone marrow aspirate revealed 95% blasts with 2 distinct populations. A subset of blasts (20%) had typical morphology with small- to medium-sized nuclei, relatively regular nuclear outlines, and scant cytoplasm; however, the majority of the blasts were large and atypical with highly convoluted nuclear outlines, numerous cytoplasmic vacuoles, and binucleation/multinucleation with rosette-like features. By flow cytometric analysis, both of the blast populations expressed CD4 (dim), CD13, CD15, CD33 (dim), CD36, CD64 (dim), and MPO (dim) without expression of HLA-DR, CD34, or CD117, findings indicative of acute myeloid leukemia with monocytic differentiation. There was no phenotypic evidence of megakaryocytic differentiation. Genetic studies revealed 5 clonal cell lines with complex cytogenetic abnormalities and FLT-3 D835 point mutation without FLT-3 internal tandem duplication, NPM1, or CEBPA.
The patient underwent induction chemotherapy with CPI-613, cytarabine, and mitoxantrone. The small blasts with conventional morphology showed a good response to induction chemotherapy. However, the atypical large blasts were persistent in subsequent bone marrow biopsies despite repeated courses of chemotherapy, suggesting resistance to conventional treatment. The patient died 9 months after the initial diagnosis without achieving complete remission.
For additional images, visit the ASH IMAGE BANK, a reference and teaching tool that is continually updated with new atlas and case study images. For more information visit http://imagebank.hematology.org.

