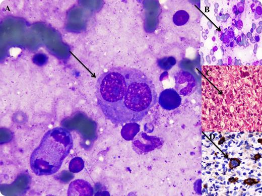
A 40-year-old male presented with weakness, weight loss, and an inguinal mass for 14 months. Hemoglobin was 6.6 g/dL, mean corpuscular volume 89.4 fL, mean corpuscular hemoglobin 29.0 pg, white cells 2.0 × 109/L, and platelets 91 × 109/L. Blood chemistry showed: lactate dehydrogenase 621 IU/L, total bilirubin 1.2 mg/dL, serum glutamic pyruvate transaminase 40 IU/L, alkaline phosphatase 427 IU/L, and serum creatinine 0.6 mg/dL. Histopathology of inguinal mass was consistent with Classic Hodgkin Lymphoma according to WHO classification of lymphoid neoplasms. Staging bone marrow aspirate was a dilute specimen, while touch imprint was cellular with trilineage hematopoiesis. Numerous Reed-Sternberg cells (R-S) were seen in touch imprints (panels A-B). These were large cells having abundant basophilic cytoplasm, bilobed nuclei with eosinophilic nucleoli (marked by arrow). Bone trephine was hyperplastic with diffuse infiltration by inflammatory and R-S cells (panel C) strongly expressing CD 15 and CD30 (panel D). The patient is currently on chemotherapy and is improving clinically.
Bone marrow infiltration is observed in only 5% to 15% of patients with Hodgkin disease. The presence of R-S cells in bone marrow is required for primary diagnosis of lymphoma. This may not be the case if marrow is done for staging purposes. However, careful examination of touch imprints of bone marrow itself can be diagnostic and helpful in the management of the patient.
A 40-year-old male presented with weakness, weight loss, and an inguinal mass for 14 months. Hemoglobin was 6.6 g/dL, mean corpuscular volume 89.4 fL, mean corpuscular hemoglobin 29.0 pg, white cells 2.0 × 109/L, and platelets 91 × 109/L. Blood chemistry showed: lactate dehydrogenase 621 IU/L, total bilirubin 1.2 mg/dL, serum glutamic pyruvate transaminase 40 IU/L, alkaline phosphatase 427 IU/L, and serum creatinine 0.6 mg/dL. Histopathology of inguinal mass was consistent with Classic Hodgkin Lymphoma according to WHO classification of lymphoid neoplasms. Staging bone marrow aspirate was a dilute specimen, while touch imprint was cellular with trilineage hematopoiesis. Numerous Reed-Sternberg cells (R-S) were seen in touch imprints (panels A-B). These were large cells having abundant basophilic cytoplasm, bilobed nuclei with eosinophilic nucleoli (marked by arrow). Bone trephine was hyperplastic with diffuse infiltration by inflammatory and R-S cells (panel C) strongly expressing CD 15 and CD30 (panel D). The patient is currently on chemotherapy and is improving clinically.
Bone marrow infiltration is observed in only 5% to 15% of patients with Hodgkin disease. The presence of R-S cells in bone marrow is required for primary diagnosis of lymphoma. This may not be the case if marrow is done for staging purposes. However, careful examination of touch imprints of bone marrow itself can be diagnostic and helpful in the management of the patient.
For additional images, visit the ASH IMAGE BANK, a reference and teaching tool that is continually updated with new atlas and case study images. For more information visit http://imagebank.hematology.org.

