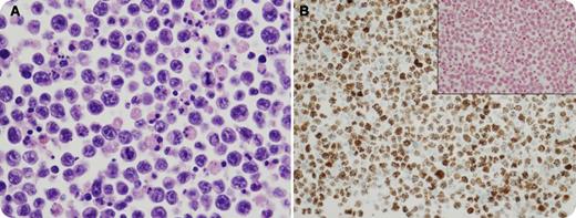
The patient is an 88-year-old Russian man, otherwise healthy, with intermittent “burning” chest pain for the past month that was mainly sternal and radiated to the back. He had progressive shortness of breath limiting his mobility. Computed tomography detected a large pericardial effusion and two 1-cm right and left lung nodules. The effusion was drained and cytology showed large atypical cells with irregular nuclear contours, vesicular chromatin, and multiple prominent nucleoli (panel A). There were numerous apoptotic bodies seen. Immunostains showed the cells to be negative for B-cell and T-cell markers (CD20, PAX5, and CD3) but positive for CD138, CD30, CD45, and Kaposi sarcoma–associated herpes virus/human herpes virus-8 (HHV-8) (panel B). The cells were negative for Epstein-Barr virus (EBV), both by in situ hybridization for encoded RNA (panel B inset) and polymerase chain reaction analysis. Serologic studies for HIV were negative. A diagnosis of primary effusion lymphoma (PEL), EBV negative, was rendered.
The vast majority of PELs (90%-95%) have been associated with HIV and are positive for EBV. This case of PEL is notable in that the patient is HIV negative, elderly, and has a tumor that is negative for EBV. The majority of EBV-negative PELs have been identified in elderly patients, most often originating in the Mediterranean region.
The patient is an 88-year-old Russian man, otherwise healthy, with intermittent “burning” chest pain for the past month that was mainly sternal and radiated to the back. He had progressive shortness of breath limiting his mobility. Computed tomography detected a large pericardial effusion and two 1-cm right and left lung nodules. The effusion was drained and cytology showed large atypical cells with irregular nuclear contours, vesicular chromatin, and multiple prominent nucleoli (panel A). There were numerous apoptotic bodies seen. Immunostains showed the cells to be negative for B-cell and T-cell markers (CD20, PAX5, and CD3) but positive for CD138, CD30, CD45, and Kaposi sarcoma–associated herpes virus/human herpes virus-8 (HHV-8) (panel B). The cells were negative for Epstein-Barr virus (EBV), both by in situ hybridization for encoded RNA (panel B inset) and polymerase chain reaction analysis. Serologic studies for HIV were negative. A diagnosis of primary effusion lymphoma (PEL), EBV negative, was rendered.
The vast majority of PELs (90%-95%) have been associated with HIV and are positive for EBV. This case of PEL is notable in that the patient is HIV negative, elderly, and has a tumor that is negative for EBV. The majority of EBV-negative PELs have been identified in elderly patients, most often originating in the Mediterranean region.
For additional images, visit the ASH IMAGE BANK, a reference and teaching tool that is continually updated with new atlas and case study images. For more information visit http://imagebank.hematology.org.
