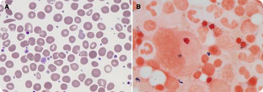
A 69-year-old man presented with a 2-year history of progressive thrombocytosis, referred to exclude essential thrombocythemia. He had been asymptomatic apart from intermittent dysphagia and a brief episode of amaurosis fugax a few weeks prior to his presentation. On examination, he had no palpable splenomegaly. Complete blood count showed the following: hemoglobin, 129 g/L; mean corpuscular volume, 85 fL; platelets, 930 × 109/L; and white blood cell count, 9.3 × 109/L. The peripheral blood smear showed marked thrombocytosis, giant platelets, and red cell dysplastic changes including oval cells, target cells, numerous red cell stippling, and Pappenheimer bodies (panel A). These findings suggested acquired sideroblastic anemia and an associated myeloproliferative neoplasm. Molecular studies showed the Janus kinase 2 V617 mutation was positive.
Bone marrow examination revealed megakaryocyte proliferation, and the megakaryocytes displayed abnormal morphology. The megakaryocytes were predominantly large, with multinucleated well-separated nuclei and abundant cytoplasm. Other hypolobulated forms were present. Erythropoiesis was mildly increased and mild dysplastic changes were evident. The Perls stain showed 30% ring sideroblasts (panel B). The reticulin stain showed a loose network of reticulin fibers (MF-1). Metaphase cytogenetic examination on the bone marrow aspirate showed a normal karyotype.
The marrow findings were consistent with the provisional entity, refractory anemia with ring sideroblasts associated with marked thrombocytosis, within the World Health Organization 2008 classification of myelodysplastic/myeloproliferative neoplasm, unclassifiable.
The presence of ring sideroblasts with the thrombocytosis helped to differentiate this neoplasm from other more common Janus kinase 2–positive myeloproliferative neoplasms that may show morphologically abnormal megakaryocytes, such as essential thrombocythemia or the prefibrotic phase of primary idiopathic myelofibrosis.
A 69-year-old man presented with a 2-year history of progressive thrombocytosis, referred to exclude essential thrombocythemia. He had been asymptomatic apart from intermittent dysphagia and a brief episode of amaurosis fugax a few weeks prior to his presentation. On examination, he had no palpable splenomegaly. Complete blood count showed the following: hemoglobin, 129 g/L; mean corpuscular volume, 85 fL; platelets, 930 × 109/L; and white blood cell count, 9.3 × 109/L. The peripheral blood smear showed marked thrombocytosis, giant platelets, and red cell dysplastic changes including oval cells, target cells, numerous red cell stippling, and Pappenheimer bodies (panel A). These findings suggested acquired sideroblastic anemia and an associated myeloproliferative neoplasm. Molecular studies showed the Janus kinase 2 V617 mutation was positive.
Bone marrow examination revealed megakaryocyte proliferation, and the megakaryocytes displayed abnormal morphology. The megakaryocytes were predominantly large, with multinucleated well-separated nuclei and abundant cytoplasm. Other hypolobulated forms were present. Erythropoiesis was mildly increased and mild dysplastic changes were evident. The Perls stain showed 30% ring sideroblasts (panel B). The reticulin stain showed a loose network of reticulin fibers (MF-1). Metaphase cytogenetic examination on the bone marrow aspirate showed a normal karyotype.
The marrow findings were consistent with the provisional entity, refractory anemia with ring sideroblasts associated with marked thrombocytosis, within the World Health Organization 2008 classification of myelodysplastic/myeloproliferative neoplasm, unclassifiable.
The presence of ring sideroblasts with the thrombocytosis helped to differentiate this neoplasm from other more common Janus kinase 2–positive myeloproliferative neoplasms that may show morphologically abnormal megakaryocytes, such as essential thrombocythemia or the prefibrotic phase of primary idiopathic myelofibrosis.
For additional images, visit the ASH IMAGE BANK, a reference and teaching tool that is continually updated with new atlas and case study images. For more information visit http://imagebank.hematology.org.

