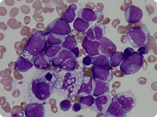
A 46-year-old man was referred for acute myelocytic leukemia (AML) and pneumonia. On admission, physical examination findings included high fever and hepatosplenomegaly. The peripheral blood count results were as follows: hemoglobin level, 7.9 g/dL; platelet count, 7 × 109/L; and white blood cell count, 17.8 × 109/L (blasts, 37%). Bone marrow aspiration showed a hypercellular marrow with 60% myeloblasts and increased activated histiocyte and hemophagocyte levels. G-banding analysis showed that these blasts had a chromosomal abnormality with inv(3)(q21q26.2). Biochemical studies showed that the lactate dehydrogenase and ferritin levels were 351 IU/L and 877 ng/mL, respectively. The levels of serum triglycerides and sodium were both normal. Coagulation analysis showed the presence of disseminated intravascular coagulation. The patient received antibiotics for pneumonia, gabexate mesilate for disseminated intravascular coagulation, and chemotherapy for AML. Although both pneumonia and coagulopathy improved within several weeks, he had prolonged severe thrombocytopenia. Many leukemic blasts and hemophagocytes were still present in the bone marrow after chemotherapy. He died of Stenotrophomonas maltophilia pneumonia during a neutropenic period after reinduction chemotherapy. Hemophagocytic syndrome did not ameliorate during the clinical course.
In hematological malignancies, malignancy-associated hemophagocytic syndrome is mostly accompanied by lymphoid neoplasms. Here, we present a rare case of this syndrome in combination with AML.
A 46-year-old man was referred for acute myelocytic leukemia (AML) and pneumonia. On admission, physical examination findings included high fever and hepatosplenomegaly. The peripheral blood count results were as follows: hemoglobin level, 7.9 g/dL; platelet count, 7 × 109/L; and white blood cell count, 17.8 × 109/L (blasts, 37%). Bone marrow aspiration showed a hypercellular marrow with 60% myeloblasts and increased activated histiocyte and hemophagocyte levels. G-banding analysis showed that these blasts had a chromosomal abnormality with inv(3)(q21q26.2). Biochemical studies showed that the lactate dehydrogenase and ferritin levels were 351 IU/L and 877 ng/mL, respectively. The levels of serum triglycerides and sodium were both normal. Coagulation analysis showed the presence of disseminated intravascular coagulation. The patient received antibiotics for pneumonia, gabexate mesilate for disseminated intravascular coagulation, and chemotherapy for AML. Although both pneumonia and coagulopathy improved within several weeks, he had prolonged severe thrombocytopenia. Many leukemic blasts and hemophagocytes were still present in the bone marrow after chemotherapy. He died of Stenotrophomonas maltophilia pneumonia during a neutropenic period after reinduction chemotherapy. Hemophagocytic syndrome did not ameliorate during the clinical course.
In hematological malignancies, malignancy-associated hemophagocytic syndrome is mostly accompanied by lymphoid neoplasms. Here, we present a rare case of this syndrome in combination with AML.
For additional images, visit the ASH IMAGE BANK, a reference and teaching tool that is continually updated with new atlas and case study images. For more information visit http://imagebank.hematology.org.

