Abstract
Adult T-cell leukemia/lymphoma (ATL) is a malignant lymphoproliferative disorder caused by HTLV-I infection. In ATL, chemotherapeutic responses are generally poor, which has suggested the existence of chemotherapy-resistant cancer stem cells (CSCs). To identify CSC candidates in ATL, we have focused on a Tax transgenic mouse (Tax-Tg) model, which reproduces ATL-like disease both in Tax-Tg animals and also after transfer of Tax-Tg splenic lymphomatous cells (SLCs) to nonobese diabetic/severe combined immunodeficiency (NOD/SCID) mice. Using a limiting dilution transplantation, it was estimated that one CSC existed per 104 SLCs (0.01%). In agreement with this, we have successfully identified candidate CSCs in a side population (0.06%), which overlapped with a minor population of CD38−/CD71−/CD117+ cells (0.03%). Whereas lymphoma did not develop after transplantation of 102 SLCs, 102 CSCs could consistently regenerate the original lymphoma. In addition, lymphoma and CSCs could also be demonstrated in the bone marrow and CD117+ CSCs were observed in both osteoblastic and vascular niches. In the CSCs, Tax, Notch1, and Bmi1 expression was down-regulated, suggesting that the CSCs were derived from Pro-T cells or early hematopoietic progenitor cells. Taken together, our data demonstrate that CSCs certainly exist and have the potential to regenerate lymphoma in our mouse model.
Introduction
Adult T-cell leukemia-lymphoma (ATL) is an aggressive and clonal lymphoproliferative disorder of mature T cells caused by infection with human T-lymphotropic virus type I (HTLV-1).1 An estimated 10 million to 20 million people are infected with HTLV-1 globally, and infection is endemic in southwestern Japan, Africa, the Caribbean basin, and South America.2 Although the majority of infected persons remain clinically asymptomatic, approximately 6.6% of males and 2.1% of females will develop ATL. In Japan, 1.2 million persons are infected with HTLV-1, and 800 to 1000 new ATL cases develop each year. ATL has been divided into 4 subtypes: chronic, smoldering, acute, and lymphoma-type.3 Acute and lymphoma-type have an aggressive clinical course with lymphadenopathy, hepatosplenomegaly, visceral invasion by malignant cells, and the appearance of leukemic cells with multilobulated nuclei termed “flower cells” in peripheral blood. The most common cell phenotype in ATL is CD2+, CD3+, CD4+, CD8−, and CD25+. Other phenotypes, which include CD4−/CD8− double-negative (DN), CD8+, and CD4+/CD8+ double-positive, occur more rarely.4 FOXP3 (forkhead box P3) expression, which is predominantly expressed in CD4+/CD25+ regulatory T cells (Tregs), has also been detected in some ATL cases, suggesting that disease may originate in Treg cells.5 In addition, HTLV-I can also infect human hematopoietic progenitor cells and immature thymocytes, which would also account for the range of phenotypes observed.6
Studies have shown that initiation of oncogenesis is triggered by the viral Tax protein. Tax interacts with the nuclear factor-κB (NF-κB)–Rel signaling complex and activates NF-κB, which results in the up-regulation of various cytokines and their receptor genes, and alterations in cell signaling and cell-cycle regulation.7 Recent studies have clearly demonstrated the oncogenic properties of Tax in vivo. Specifically, transgenic animals with Tax expression restricted to developing thymocytes developed an ATL-like phenotype and leukemogenesis developed in both immature8 and mature T cells.9 The treatment of ATL is unsatisfactory. Various combination chemotherapy regimens have produced poor outcomes; however, intensive induction therapy (interferon-α and zidovudine) has produced significant complete remission rates in certain cases.10,11 Unfortunately, most patients relapse, and this has been considered to be the result of the existence of cancer stem cells (CSCs) similar to what has been described both in other types of leukemia and solid tumors. Specifically, CSCs have been identified in malignancies of both hematopoietic origin12,13 and in breast, brain, prostate, colon, and pancreatic carcinomas.14 CSCs have the potential to self-renew, develop inherent drug-resistance, and can regenerate the original tumors when transplanted into severe combined immunocompromised nonobese diabetic/severe combined immunodeficiency (NOD/SCID) mice.15 As a consequence, CSCs are considered important targets for anticancer therapy.16
To identify and confirm the existence of CSCs in ATL, we have focused our initial studies on an HTLV-Tax transgenic mouse (Tax-Tg) model,8 where transgene expression was controlled by the LCK promoter, which limits transgene expression to developing thymocytes. The clinical, pathologic, and immunologic features observed in this Tax-Tg model are similar to those observed in the aggressive forms of human ATL. Lymphoma and leukemia develop at 10 to 23 months, which is equivalent to human disease (20-60 years) and is characterized by the widespread distribution of lymphomatous cells in various organs and the presence of flower cells in peripheral blood. Lymphomatous cells displayed a CD4−CD8− DN phenotype. In addition, lymphomas could be regenerated in NOD/SCID mice after transplantation of Tax-Tg splenic lymphomatous cells. In this study, we have successfully identified candidate CSCs using xenografting into NOD/SCID mouse and flow cytometric analysis. Specifically, we identified CSCs in a side population (SP; 0.06%), which overlapped with a minor population of CD38−/CD71−/CD117+ cells (0.03%). Using the NOD/SCID transplantation assay, we found that 102 CSCs could regenerate the original lymphoma. This is first report describing a CSC candidate in an ATL model, and we think that similar studies will inform and may ultimately allow the identification of CSCs in human disease.
Methods
Animal models of ATL
Animal experiments were approved by the Animal Care and Use Committee of the National Institute of Infectious Disease, Tokyo, Japan. For transplantation studies, we obtained NOD/SCID mice (NOD.CB17-Prkdcscid/J) 6 to 12 weeks of age from The Jackson Laboratory, and these were housed under constant temperature and light.
Transplantation assays
ATL-like lymphoma and leukemia was first established in NOD/SCID mice by intraperitoneal injection of 105 frozen stock Tax transgenic (Tax-Tg) splenic lymphomatous cells (SLCs). After 40 days, ATL-like lymphoma developed in the NOD/SCID mouse spleen, and SLCs could regenerate the original ATL-like lymphoma when further injected. Using this NOD/SCID mouse transplantation system, SLCs could be serially passed as required. We used 4th-passage frozen stocked SLCs for the serial transplantation studies. We performed 3 consecutive serial transplantations by intraperitoneal injection of 105 SLCs (first transplantation [n = 12], second transplantation [n = 5], third transplantation [n = 7]). We also performed limiting dilution assays by intraperitoneal injection of 106 (n = 5), 105 (n = 4), 104 (n = 3), 103 (n = 5), and 102 (n = 7) of freshly isolated SLCs. To evaluate the lymphoma-forming ability of CSC candidates, we also transplanted 102 CSCs (CD38−/CD71−/CD117+; n = 9), non-CSC fraction (CD38+/CD71+/CD117−; n = 11), and SLCs (n = 11) into NOD/SCID mice.
Flow cytometry and SP analysis
To identify candidate CSCs in the SLCs, we performed SP cell analysis. SLCs were suspended in Hanks balanced salt solution medium (Invitrogen) containing 2% fetal bovine serum, 10 mM N-2-hydroxyethylpiperazine-N′-2-ethanesulfonic acid buffer (Invitrogen), and incubated with Hoechst 33342 dye (2.5 μg/mL, Invitrogen, H-3570) with or without verapamil (Sigma-Aldrich) at 37°C for 60 minutes, according to the method outlined by Goodell et al.17 After staining with or without Hoechst 33342, the cells were stained with phycoerythrin (PE) anti–mouse/rat Foxp3 (clone FJK-16s), PE anti–mouse CD3e (145-2C11), PE anti–mouse CD8 (53-6.7), PE anti–mouse CD127 (clone A7R34), PE anti–mouse CD38 (clone 90), fluorescein isothiocyanate (FITC) anti–mouse Sca-1 (clone D7), FITC anti–mouse CD2 (RM2-5), FITC anti–mouse CD4 (RM4-5), FITC anti–mouse CD123 (clone 5B11), FITC anti–mouse CD24 (clone 30-F1), FITC anti–mouse CD71 (clone R17217), and allophycocyanin (APC) anti–mouse CD25 (clone PC61.5), APC anti–mouse CD133 (clone 13A4), APC anti–mouse CD117(clone ACK2), APC anti–mouse CD25 (PC61.5), and purified anti–mouse CD44 (IM7) at 4°C for 30 minutes and then counterstained with 2 μg/mL propidium iodide (BD Biosciences). All antibodies were obtained from eBioscience. We performed flow-cytometric analysis and cell sorting using JSAN (Bay Bioscience) with 350-nm UV laser for SP analysis. Cytospin preparations of the sorted cells were prepared and subjected to Wright/Giemsa staining.
Histologic preparation and periodic acid-Schiff–hematoxylin staining
NOD/SCID mouse spleen, bone marrow (BM), liver, lung, lymph node, and epidermal tissues were harvested and fixed in Bouin solution (Sigma-Aldrich) or 4% (wt/vol) paraformaldehyde in phosphate-buffered saline (pH 7.5) at 4°C for 24 hours. After fixation, samples were dehydrated in a graded ethanol series and cleared in xylene, and then embedded in paraffin; 4-μm semithin sections were prepared using a carbon steel blade (Feather Safety Razor Co) by microtome (Yamato Kouki). Tissue sections were mounted on super-frosted glass slides coated with methyl-amino-silane (Matsunami Glass). To identify periodic acid-Schiff (PAS)–positive ATL leukemia/lymphoma18 in spleen, we performed PAS-hematoxylin staining as previously described.19 Histologic images were aqquired using a NikonEclipse E1000 microscope equipped with 10×/0.30, 20×/0.50, 40×/0.75, and 100×/1.30 NA objective lenses. Images were captured with a Nikon DXM 1200F digital camera.
Immunohistochemistry
Anti–mouse CD3 antibody (ab5690; Abcam), anti–mouse CD44 (IM7; BioLegend), anti–mouse/human CD117 (C-19; Santa Cruz Biotechnology), and anti–mouse CD4 (RM4-5; eBioscience) were used as primary antibodies, and biotinylated goat anti–rat IgG-B (SC-2041, Santa Cruz Biotechnology) and biotinylated goat anti–rabbit IgG-B (SC-2040, Santa Cruz Biotechnology) were used as secondary antibodies. Staining was carried out as previously described.20 Briefly, after blocking with 3% bovine serum albumin (BSA) in phosphate-buffered saline, sections (4-μm thick) were incubated with anti-CD3, -CD4, -CD44, and -CD117 antibody (each diluted 1:200) at 4°C overnight. Signals were detected using a Vectastain ABC Elite Kit (Vector Laboratories), and nuclei were stained with Gill III-hematoxylin.
Quantitative analysis of gene expression
Poly (A)+ RNAs were extracted from 5 × 103 candidate CSCs (CD38−/CD71−/CD117+) and non-CSCs (CD38+/CD71+/CD117−) using a Micro-Fast Track 2.0 Kit (Invitrogen), and cDNAs were prepared using SMART polymerase chain reaction (PCR) cDNA synthesis kits (Clontech) as previously described.20 Real-time PCR reactions were performed using SYBR PreMix ExTaq (Takara Shuzo) and a Light Cycler (Roche Diagnostics). The primer pairs used in this study were Notch1 (5′-CGTGGTCTTCAAGCGTGATG-3′ and 5′-AGCTCTTCCTCGTGGCCATA-3′), CD44 (5′-AGCTGACGAGACCCGGAAT-3′ and 5′-CGTAGGCACTACACCCCAATC-3′), Rex1 (5′-TGTGCTGCCTCCAAGTGTTG-3′ and 5′-ATCCGCAAACACCTGCTTTT-3′), and N-cadherin (5′-CACAGCCACAGCCGTCATC-3′ and 5′-GCAGTAAACTCTGGAGGATTGTCA-3′) and for Tax,8 CD117, Bmi1, SCL/tal-1, and β-actin as previously described.20 β-Actin was used as an internal control. Real-time PCR was carried out using 40 cycles at 94.0°C for 1 minute, 60°C for 25 seconds (2-step). Amplification of predicted fragments was confirmed by melt-curve analysis and gel electrophoresis. To determine the relative amounts of product, we used the comparative threshold cycle method, according to the manufacturer's instructions (Roche Diagnostics). Expression levels are reported relative to mouse β-actin.
Genomic DNA isolation and PCR assays for Tax transgene integration mapping
Genomic DNA was extracted from 5 × 106 splenic and BM mononuclear cells using the DNeasy Blood & Tissue Kit system (QIAGEN). Cells were isolated from NOD/SCID mice with or without transplantation of Tax-Tg-derived SLCs. All genomic DNAs were treated with RNase A (100 mg/mL). PCR primers were constructed based on the integration site of Tax gene on chromosome 4 in the Tax-Tg mouse model.8 The primers used to detect the Tax-Tg or wild-type (WT) NOD/SCID mouse derived genomic DNA were NOD/SCID mouse (5′-TGT TGC ATA CAG GAA GCC CA-3′ and 5′-GCG GTA CAG TGT GTG CTT TGA G-3′) and Tax-Tg (5′-GAC ACA GCA TAG GCT ACC TGG C-3′ and 5′-GCG GTA CAG TGT GTG CTT TGA G-3′; Figure 1E). PCR reactions were performed using ExTaq (Takara Shuzo) and a Thermal Cycler (Bio-Rad). The PCR was carried out using 95°C for 2 minutes, 40 cycles at 94.0°C for 30 seconds, 58°C for 30 seconds, and 72°C for 30 seconds. The PCR products were analyzed by electrophoresis on 2% agarose gels.
Data analysis
Significant differences were calculated using the Student t test for gene expression analysis. Statistical analyses were performed using GraphPad Prism (Version 5, GraphPad Software) and Excel 2008 (Microsoft Japan).
Results
Lymphoma/leukemia regenerative activity in the Tax-Tg mouse and SLCs
Hasegawa et al reported that Tax-Tg SLCs could regenerate ATL-like lymphoma when transplanted into NOD/SCID mice and that Tax-Tg SLCs had the potential to regenerate the original lymphoma when further transplanted in NOD/SCID mice.8 To assess the stem cell potential within the SLCs, we performed serial transplantation experiments by intraperitoneal injections of frozen stocked 4th-passed 105 SLCs into NOD/SCID mice (Figure 1A). SLCs could regenerate original lymphoma and leukemia in the first transplantation (12 of 12 animals) with the development of marked splenomegaly (Figure 1B-C) and BM involvement resulting from infiltration of malignant cells. The phenotypes of the SLCs were similar to the original tumors in Tax-Tg animals. Surface staining for CD2, CD4, and CD8 was negative, but cytoplasmic CD3 and surface CD25 and CD44 were positive in the SLCs (Figure 1D). SLCs could regenerate original lymphoma and leukemia after second (5 of 5 animals) and third transplantation (6 of 7 animals) by day 40.
Transplantation of Tax-Tg mouse-derived splenic mononuclear cells to NOD/SCID mice. (A) Experimental design of the transplantation assay. (B) Remarkable splenomegaly was observed in the lymphoma-reconstituted NOD/SCID mouse. Spl indicates spleen; and Liv, liver. The dotted line shows the outline of the enlarged spleen. (C) Cytospin analysis of spleen cells isolated from reconstituted lymphoma in the NOD/SCID mouse. The spleen was filled with ATL-like lymphomatous cells. (D) Surface marker analysis of lymphomatous cells from spleen. These had the identical phenotype of lymphomatous cell reconstituted by Tax-Tg–derived splenic mononuclear cells: CD2−, CD4−, CD8−, cytoplasmic CD3+, and surface CD25+ and CD44+. (E) Schematic representation of the PCR assay to identify and confirm the Tax transgenic integration site. Lck-Tax transgenes were tandemly inserted on the chromosome 4 (Chr.4) in the original transgenic animals. (F) Genotyping of mononuclear cells in the spleen and BM. WT PCR product (300 bp) was detected in both the normal and CSC-transplanted NOD/SCID spleen and BM. However, Tax-Tg (TG) PCR products identifying the expected integration site of the transgene (200 bp) were detected only in the reconstituted ATL-like lymphomatous cells in spleen and BM. TP+ indicates transplantation.
Transplantation of Tax-Tg mouse-derived splenic mononuclear cells to NOD/SCID mice. (A) Experimental design of the transplantation assay. (B) Remarkable splenomegaly was observed in the lymphoma-reconstituted NOD/SCID mouse. Spl indicates spleen; and Liv, liver. The dotted line shows the outline of the enlarged spleen. (C) Cytospin analysis of spleen cells isolated from reconstituted lymphoma in the NOD/SCID mouse. The spleen was filled with ATL-like lymphomatous cells. (D) Surface marker analysis of lymphomatous cells from spleen. These had the identical phenotype of lymphomatous cell reconstituted by Tax-Tg–derived splenic mononuclear cells: CD2−, CD4−, CD8−, cytoplasmic CD3+, and surface CD25+ and CD44+. (E) Schematic representation of the PCR assay to identify and confirm the Tax transgenic integration site. Lck-Tax transgenes were tandemly inserted on the chromosome 4 (Chr.4) in the original transgenic animals. (F) Genotyping of mononuclear cells in the spleen and BM. WT PCR product (300 bp) was detected in both the normal and CSC-transplanted NOD/SCID spleen and BM. However, Tax-Tg (TG) PCR products identifying the expected integration site of the transgene (200 bp) were detected only in the reconstituted ATL-like lymphomatous cells in spleen and BM. TP+ indicates transplantation.
To confirm that the SLCs were derived from the original leukemic cells, we performed PCR analysis to confirm the Tax transgenic integration site. In the Tax-Tg model, the transgene was found to be integrated in the A9 region of chromosome 4. PCR analysis with amplification across the integration site demonstrated that this was identical in the lymphomatous cells arising in both spleen and BM (Figure 1E-F), confirming that they were derived from the original leukemic cells and that variant populations had not arisen nor were selected. These studies provided functional evidence for self-renewal and supported the existence of CSCs, which have leukemia/lymphoma regenerative potential, within the SLCs.
Identification of CSCs in SLCs by surface marker analysis
It has been suggested that CSCs are a small and minor population in both leukemias12,13 and solid tumors.14 To identify the candidate CSC populations in SLCs, we performed detailed cell surface marker analysis, to investigate phenotypic expression patterns previously observed in Tregs (CD25, CD127, FoxP3), hematopoietic stem cells (HSCs; CD117, CD34, CD38, Sca-1, c-kit), and markers previously identified in other CSCs (CD71, CD123, CD24, CD90, CD133). Surface marker analyses are shown in Figure 2A through D. Expression patterns were divided into 4 profiles: partial and low expression; CD127, CD117, CD123, FoxP3, CD133, CD90, and CD34 (Figure 2B); heterogeneous expression; CD71 and CD25 (Figure 2C); and major expression; CD38, CD24, and Sca-1 (Figure 2D).
Flow cytometric analysis of NOD/SCID repopulating ATL-like lymphoma cells. Lymphoma and leukemia were generated in NOD/SCID mice by the transplantation of frozen stocked 4th-passage Tax-Tg SLCs. SLCs were isolated from spleen. (A) Histograms of isotype APC, PE, and FITC markers as controls. Expression profiles were divided into 4 patterns: partial and low, heterogeneous, and major types. (B) Partial and low expression: CD127, CD117, CD123, FoxP3, CD133, CD90, and CD34 are expressed at low levels in SLCs. (C) Heterogeneous expression: CD71 and CD25 are heterogeneously expressed in SLCs. (D) Major: CD38, CD24, and Sca-1 are highly expressed in SLCs. The percentage of individual subpopulations was determined according to isotype control in each assay. Dead cells were gated out by propidium iodide. (E) Triple-staining analysis with CD38, CD71, and CD117 or CD133 in the SLCs. CD38−/CD71−/CD117+ cells were 0.03% and CD38−/CD71−/CD133+ cells were 0% of total SLCs.
Flow cytometric analysis of NOD/SCID repopulating ATL-like lymphoma cells. Lymphoma and leukemia were generated in NOD/SCID mice by the transplantation of frozen stocked 4th-passage Tax-Tg SLCs. SLCs were isolated from spleen. (A) Histograms of isotype APC, PE, and FITC markers as controls. Expression profiles were divided into 4 patterns: partial and low, heterogeneous, and major types. (B) Partial and low expression: CD127, CD117, CD123, FoxP3, CD133, CD90, and CD34 are expressed at low levels in SLCs. (C) Heterogeneous expression: CD71 and CD25 are heterogeneously expressed in SLCs. (D) Major: CD38, CD24, and Sca-1 are highly expressed in SLCs. The percentage of individual subpopulations was determined according to isotype control in each assay. Dead cells were gated out by propidium iodide. (E) Triple-staining analysis with CD38, CD71, and CD117 or CD133 in the SLCs. CD38−/CD71−/CD117+ cells were 0.03% and CD38−/CD71−/CD133+ cells were 0% of total SLCs.
Certain cases of human ATL are thought to originate from Tregs, which express CD4, CD25int-hi, FOXP3,21 and CD127.22 Whereas Foxp3 expression was not detected (0.03%) in the SLCs, CD25 expression was heterogeneously detected (64.5%) and CD127 expression was detected at low levels (1.17%; Figure 2B-C). Recent studies have shown that leukemia stem cells can share HSC properties (CD34+/CD38− cells), and it could also be shown that these could regenerate the original disease in NOD/SCID mice.23 In the mouse, HSCs are enriched in CD34−/c-kit+/Sca-1+/Lineage− cell population.24 CD34 and CD117 (c-kit) expression in the SLCs was partially detected (0.63% and 0.56%). CD38 and Sca-1 highly expressed at 94.3% and 89.9%, respectively (Figure 2B,D). We also examined expression of CD123 (IL-3Ra), which is a well-established marker for leukemia stem cells,12 CD133, which is a common CSC marker found in brain,25 and colon cancer,26 CD24, which has been identified in prostate CSCs,27 and CD90, which is associated with CSCs in non-small-cell lung carcinoma.28 In the SLCs, expression of CD71 and CD24 were 52.2% and 92.7%, respectively. In contrast, the expression of CD123, CD90, and CD133 was only detected at low levels, 0.13%, 0.89%, and 0.3%, respectively (Figure 2B-D).
Next, we performed multiple stainings for the identification of small populations within the SLCs (Table 1), and we successfully identified such a population, which was CD38−/CD71−. With a combination of CD117, we successfully confirmed the existence of a minor population (0.03%), which was CD38−/CD71−/CD117+ (Figure 2E). In contrast, CD38−/CD71−/CD133+ cells were not detected in SLCs (0%).
Identification of candidate CSCs for functional studies
Recent studies have shown that SPs are enriched for CSCs in various types of malignancies.29 The SP phenotype is based on the ability of the cells to efficiently reflux the Hoechst 33342 fluorescent staining dye through the multidrug ABC transporter (ABCG2), and this property allows the isolation of the cells using flow cytometry. It is also considered that efflux efficiency in CSCs correlates with anticancer drug resistance and recurrence of disease after chemotherapy. To identify candidate CSCs, we investigated the SPs by evaluating efficient efflux of Hoechst 33342 dye in the SLCs. We successfully identified a small population (0.06%) corresponding to SP cells in the SLCs (Figure 3A); correspondingly, the SP fraction disappeared with treatment with the ABC transporter inhibitor verapamil. To further characterize the SP cells, we performed combination SP and surface marker analysis, and it could be shown that more than 50% of CD38−/CD71−/CD117+ cells overlapped with the SP fraction in the SLCs (Figure 3B), suggesting that the CSC candidate(s) were associated with these populations.
Functional analysis in the NOD/SCID repopulating ATL-like lymphoma cells. (A) SP cell analysis in the NOD/SCID repopulating ATL-like lymphoma cells. The SP regions are indicated by a trapezoid on each panel. (Left panel) Approximately 0.064% of SP cells were observed in the SLCs. (Right panel) SP cell analysis after treatment with verapamil (100 μM), where the SP fraction was lost. (B) Triple-staining analysis of CD38, CD71, and CD117 in the SP fraction. More than 50% of CD38−/CD71−/CD117+ corresponded to the SP fraction. (C) FACS CD38−/CD71−/CD117+ and CD38−/CD71−/CD117− cells. (D) Cytospin analysis of the CSC candidate (CD38−/CD71−/CD117+) and (E) non-CSC candidate (CD38+/CD71+/CD117−) populations.
Functional analysis in the NOD/SCID repopulating ATL-like lymphoma cells. (A) SP cell analysis in the NOD/SCID repopulating ATL-like lymphoma cells. The SP regions are indicated by a trapezoid on each panel. (Left panel) Approximately 0.064% of SP cells were observed in the SLCs. (Right panel) SP cell analysis after treatment with verapamil (100 μM), where the SP fraction was lost. (B) Triple-staining analysis of CD38, CD71, and CD117 in the SP fraction. More than 50% of CD38−/CD71−/CD117+ corresponded to the SP fraction. (C) FACS CD38−/CD71−/CD117+ and CD38−/CD71−/CD117− cells. (D) Cytospin analysis of the CSC candidate (CD38−/CD71−/CD117+) and (E) non-CSC candidate (CD38+/CD71+/CD117−) populations.
The candidate CSC cells were also sorted for morphologic studies (Figure 3C). Isolated CD38−/CD71−/CD117+ cells were blastoid cells and had scanty cytoplasm with no granules (Figure 3D). In contrast, CD38+/CD71+/CD117− cells were slightly larger and lymphocyte-like with dispersed chromatin and an irregularly shaped and prominent nucleus (Figure 3E).
In vivo lymphoma reconstitution assay of candidate CSCs
We performed transplantation analysis to assess the functionality of the candidate CSCs using the NOD/SCID mouse model. In initial studies, we performed limiting dilution analysis to estimate the frequency of the CSCs in the SLCs. We transplanted 106, 105, 104, 103, and 102 SLCs into NOD/SCID mice. It has been previously demonstrated that 105 SLCs could regenerate original leukemia and lymphoma observed in the Tax-Tg mice,8 and this was evident by marked splenomegaly and confirmed by cytology at 40 days after transplantation. Spleen weights were approximately 10- to 20-fold larger than nontreated NOD/SCID mouse spleen (data not shown). In addition to the development of lymphoma, ascites also developed in the NOD/SCID mice. Using these criteria, we evaluated the lymphoma-regenerative activity in the candidate CSC and non-CSC fractions (Table 2). Whereas 102 SLCs could not regenerate original lymphoma and leukemia (0%) in the NOD/SCID mouse, 104 SLCs could, as expected, regenerate the original lymphoma and leukemia in all animals (100%). Lymphoma and leukemia after transplantation of 103 SLCs developed in 20% of animals. These results suggested that one CSC existed in 104 SLCs (0.01%), and indeed this frequency estimate was consistent with our surface marker and SP analysis studies.
We then isolated CSCs from SLCs, and 102 CSCs were transplanted into NOD/SCID mouse. At 40 days after transplantation, lymphoma and leukemia formation was not observed in 6 of the CSC transplanted NOD/SCID mice examined. However, at 60 days after transplantation, ATL-like lymphoma was observed in all 9 of the 9 CSC-injected NOD/SCID mice. All developed typical splenomegaly (Figure 4A-B) and ascites (Figure 4C). Total spleen weight was significantly increased only in the CSC-transplantedNOD/SCID mouse spleen (Figure 4D). No lymphoma was observed after transplantation of 102 SLCs (n = 11) and the non-CSC fraction (CD38+/CD71+/CD117−; n = 11) at 60 days. Analysis of the splenic cells isolated from 102 CSC-transplanted NOD/SCID mouse showed similar profiles to the first transplantation experiment using 105 SLCs, in that they were CD25+/CD44+ (data not shown) and contained SP cells (0.06%; Figure 4E) and the CSC-associated (CD38−/CD71−/CD117+) cell population (Figure 4F). These results clearly show that within this cell population are CSCs in that they have the SP phenotype and have the potential for self-renewal and the ability to regenerate the original lymphoma and leukemia.
Regenerative potential of ATL-like lymphoma in 102 CSCs. ATL-like lymphoma-regenerative activity was assessed by the transplantation of 102 CSCs, the non-CSC fraction, and SLCs. (A) ATL-like lymphoma was regenerated by the transplantation of 102 CSCs into the NOD/SCID mouse at 60 days. (B) Marked splenomegaly was observed in the NOD/SCID recipient mice. (C) Ascites was also observed in the NOD/SCID recipient mice. (D) Total spleen weight was significantly increased only in the CSC-transplanted NOD/SCID mouse. (E) SP analysis of ATL-like lymphoma cells generated by the transplantation of 102 CSCs. (Left panel) The SP fraction (total = 0.066%) was present after CSC transplantation. (Right panel) The SP fraction was lost in the dot plot with treatment by 100 μM verapamil. (F) Surface marker analysis in the lymphoma cells regenerated by the 102 CSC transplantation. The CSC candidate cells (CD38−/CD71−/CD117+) were also regenerated after transplantation of 102 CSCs.
Regenerative potential of ATL-like lymphoma in 102 CSCs. ATL-like lymphoma-regenerative activity was assessed by the transplantation of 102 CSCs, the non-CSC fraction, and SLCs. (A) ATL-like lymphoma was regenerated by the transplantation of 102 CSCs into the NOD/SCID mouse at 60 days. (B) Marked splenomegaly was observed in the NOD/SCID recipient mice. (C) Ascites was also observed in the NOD/SCID recipient mice. (D) Total spleen weight was significantly increased only in the CSC-transplanted NOD/SCID mouse. (E) SP analysis of ATL-like lymphoma cells generated by the transplantation of 102 CSCs. (Left panel) The SP fraction (total = 0.066%) was present after CSC transplantation. (Right panel) The SP fraction was lost in the dot plot with treatment by 100 μM verapamil. (F) Surface marker analysis in the lymphoma cells regenerated by the 102 CSC transplantation. The CSC candidate cells (CD38−/CD71−/CD117+) were also regenerated after transplantation of 102 CSCs.
Histologic analysis of spleen, BM, and other tissues
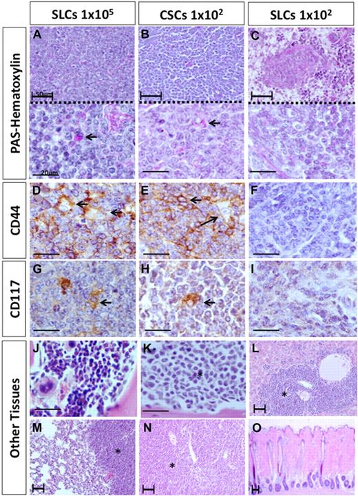
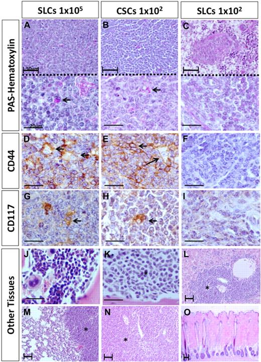
To confirm and characterize in more detail the lymphoma and leukemia in spleen after transplantation with the candidate CSCs, we performed histologic and immunohistochemical analyses. It has been reported that ATL leukemic cells have abundant PAS-strong positive cytoplasmic inclusions.18 We could show that PAS-hematoxylin strong positive staining was only observed in lymphoma and leukemia in spleens after transplantation with 105 SLCs and 102 CSCs (Figure 5A-B). PAS-strong positive cells were not identified in the spleen after transplantation with 102 non-CSCs and SLCs (Figure 5C). To confirm the existence of malignant cells, we performed immunohistochemistry for CD3, CD4, CD44, and CD117. CD3+ leukemic cells were observed only in the splenic lymphoma after transplantation of 102 CSCs and 105 SLCs. No CD4+ cells were observed in the CSCs and non-CSC–transplanted spleen (data not shown). Interestingly, CD44 strongly positive cells were identified only in the lymphomatous spleen (Figure 5D-E) and not in the nonlymphomatous spleen (Figure 5F). Moreover, CD117+ cells serving as a surrogate CSC marker were identified only in the lymphomatous spleen (Figure 5G-H) and not in the nonlymphomatous spleen (Figure 5I).
Histologic and immunohistochemical analyses of spleen after transplantation. At 60 days, lymphoma was regenerated after the transplantation of 105 SLCs and 102 CSCs. No lymphoma was observed after the transplantation of 102 non-CSCs. (A) PAS-hematoxylin staining in the 105 SLCs recipient spleen. (Top panel) Low magnification. (Bottom panel) High magnification. Strong PAS+-stained cells were observed (
). (B) PAS-hematoxylin staining in the 1 × 102 CSCs recipient spleen. (C) PAS-hematoxylin staining in the 1 × 102 non-CSCs recipient spleen. No strong PAS+ staining cells were evident. (D-I) Immunohistochemistry of CD44 and CD117, shown in the 105 SLC recipient spleen (D,G), in the 102 CSC recipient spleen (E,H), and in the 1 × 102 SLC recipient spleen (F,I). CD44 and CD117 expression is detected in the lymphoma in the spleen after 1 × 105 SLC and 1 × 102 CSC transplantation. (J) Hematoxylin and eosin (H&E) staining of the normal NOD/SCID mouse BM. Various types of blood cells, including megakaryocytes and erythroid cells, were evident. (K) Hematoxylin and eosin staining of lymphoma reconstituted in the NOD/SCID mouse BM. The BM tissue was uniformly filled with ATL-like lymphomatous cells. (L) Infiltration of lymphomatous cells was also observed in the liver. (M) Infiltration of lymphomatous cells in lung. (N) Infiltration of lymphomatous cells in lymph nodes. (O) Infiltration of lymphomatous cells was not observed in the epidermal tissues. *Lymphomatous cells. (Closed scale bar, 50 μm; open scale bar, 20 μm.)
Histologic and immunohistochemical analyses of spleen after transplantation. At 60 days, lymphoma was regenerated after the transplantation of 105 SLCs and 102 CSCs. No lymphoma was observed after the transplantation of 102 non-CSCs. (A) PAS-hematoxylin staining in the 105 SLCs recipient spleen. (Top panel) Low magnification. (Bottom panel) High magnification. Strong PAS+-stained cells were observed (
). (B) PAS-hematoxylin staining in the 1 × 102 CSCs recipient spleen. (C) PAS-hematoxylin staining in the 1 × 102 non-CSCs recipient spleen. No strong PAS+ staining cells were evident. (D-I) Immunohistochemistry of CD44 and CD117, shown in the 105 SLC recipient spleen (D,G), in the 102 CSC recipient spleen (E,H), and in the 1 × 102 SLC recipient spleen (F,I). CD44 and CD117 expression is detected in the lymphoma in the spleen after 1 × 105 SLC and 1 × 102 CSC transplantation. (J) Hematoxylin and eosin (H&E) staining of the normal NOD/SCID mouse BM. Various types of blood cells, including megakaryocytes and erythroid cells, were evident. (K) Hematoxylin and eosin staining of lymphoma reconstituted in the NOD/SCID mouse BM. The BM tissue was uniformly filled with ATL-like lymphomatous cells. (L) Infiltration of lymphomatous cells was also observed in the liver. (M) Infiltration of lymphomatous cells in lung. (N) Infiltration of lymphomatous cells in lymph nodes. (O) Infiltration of lymphomatous cells was not observed in the epidermal tissues. *Lymphomatous cells. (Closed scale bar, 50 μm; open scale bar, 20 μm.)
To confirm the infiltration of lymphomatous cells in other tissues, we next performed histologic analysis on BM, liver, lung, lymph node, and epidermal tissues. In the BM, as expected, various types of blood cells, including megakaryocytes and erythroid cells, were observed in WT NOD/SCID BM (Figure 5J). However, ATL-like lymphomatous cells uniformly filled in the BM of transplanted animals (Figure 5K). In addition to the BM, lymphomatous cells were also observed in the liver (Figure 5L), lung (Figure 5M), and lymph node (Figure 5N). Infiltration of lymphomatous cells was not observed in the epidermal tissues (Figure 5O).
Identification of lymphomatous cells in BM
We performed cell surface analysis of the BM mononuclear cells isolated from NOD/SCID mouse, after transplantation with 105 SLCs. CD38−/CD71−/CD117+ cells (0.05%) could also be detected in BM (Figure 6A). Although, in the normal NOD/SCID mouse BM, CD3+ cells were rare (Figure 6B), in contrast, almost all cells in the transplanted NOD/SCID mice were CD3+ (Figure 6C).
Flow cytometric analysis of lymphomatous cells in the NOD/SCID BM. NOD/SCID repopulating lymphomatous cells were isolated from BM. (A) Triple staining analysis with CD38, CD71, and CD117 in the BM SLCs. As was observed in spleen, the CSC candidates were also observed in the BM. (B) Histologic analysis of ATL-like lymphomatous cells in the NOD/SCID BM. In the normal NOD/SCID BM, CD3+ cells were a rare population (
). (C) In the reconstituted NOD/SCID mouse BM, CD3+ cells were readily identified (arrow). (D) CD117+ cells as a surrogate CSC marker could be detected in the osteoblastic niche of the trabecular bone (arrow). (E) In the medullary region, CD117+ cells (CSCs) were also detected in the vascular niche (
). T.b. indicates endosteal region in the trabecular bone; V, vascular zone; TP+, transplantation; and NT, no transplantation. Scale bar represents 20 μm.
Flow cytometric analysis of lymphomatous cells in the NOD/SCID BM. NOD/SCID repopulating lymphomatous cells were isolated from BM. (A) Triple staining analysis with CD38, CD71, and CD117 in the BM SLCs. As was observed in spleen, the CSC candidates were also observed in the BM. (B) Histologic analysis of ATL-like lymphomatous cells in the NOD/SCID BM. In the normal NOD/SCID BM, CD3+ cells were a rare population (
). (C) In the reconstituted NOD/SCID mouse BM, CD3+ cells were readily identified (arrow). (D) CD117+ cells as a surrogate CSC marker could be detected in the osteoblastic niche of the trabecular bone (arrow). (E) In the medullary region, CD117+ cells (CSCs) were also detected in the vascular niche (
). T.b. indicates endosteal region in the trabecular bone; V, vascular zone; TP+, transplantation; and NT, no transplantation. Scale bar represents 20 μm.
In normal hematopoiesis, HSCs are located in specific microenvironments (niches) that also play a role in maintaining stem cell function. The osteoblastic niche in the trabecular bone and vascular niche in the medullary region are important for both the maintenance of hematopoietic20 and leukemic stem cell function. To identify the niches of the CSCs in the BM, we performed CD117 staining as a surrogate CSC marker. Notably, CD117+ cells were located both in the osteoblastic niche region (Figure 6D) in the trabecular bone and vascular niche in the medullary region (Figure 6E).
Molecular characterization and Tax expression in CSCs
To identify specific molecular markers in CSCs, we performed real-time PCR analysis on isolated CSC and non-CSC fractions (Figure 7). Recently, several molecules have been indentified as being associated with tumor progression. Several embryonic stem cell markers have been shown to be associated with osteosarcoma30 and bladder cancer,31 and several HSC markers were found to be associated with leukemia development.32 We examined Notch1, CD44, Oct-4, Nanog, Rex1, Bmi1, SCL/tal-1, Flt3, N-cadherin, and viral Tax expression in the CSCs. A total of 5 × 103 CSCs and non-CSCs were isolated by fluorescence-activated cell sorter (FACS) for RNA isolation and cDNA synthesis. These amplified cDNA were initially validated by CD117 expression (Figure 6A). The expression level of CD117 in the CSCs was higher than in the non-CSC fraction. In contrast, expression of HTLV-1 Tax mRNA was extremely low compared with the non-CSC fraction. Although expression of CD44 in the CSC was higher than in the non-CSC fraction, Notch1 and Bmi-1 expression was lower than in the non-CSCs (Figure 6B). No differences were observed in Rex1, Flt3, SCL/tal-1, N-cadherin, Oct-4, and Nanog expression (data not shown).
Molecular characterization of the CSCs and non-CSC fraction. FACS-sorted 5000 CSCs and non-CSCs were used to purify RNA and synthesize cDNA. Gene expression level was determined relative to β-actin. (A) CD117 expression was used to evaluate the efficacy of cell sorting. (Top panel) CD117 expression was higher in the CSCs than in the non-CSCs. (Bottom panel) Tax gene expression was not detected in CSCs. (B) Notch1 and Bmi1 expression was down-regulated in CSCs. CD44 expression was up-regulated in CSCs. No difference was observed in the expression of the other genes, Rex1, Flt3, SCL/tal-1, N-cadherin, Oct-4, and Nanog in the CSCs and non-CSC fraction. *P < .05 (significant).
Molecular characterization of the CSCs and non-CSC fraction. FACS-sorted 5000 CSCs and non-CSCs were used to purify RNA and synthesize cDNA. Gene expression level was determined relative to β-actin. (A) CD117 expression was used to evaluate the efficacy of cell sorting. (Top panel) CD117 expression was higher in the CSCs than in the non-CSCs. (Bottom panel) Tax gene expression was not detected in CSCs. (B) Notch1 and Bmi1 expression was down-regulated in CSCs. CD44 expression was up-regulated in CSCs. No difference was observed in the expression of the other genes, Rex1, Flt3, SCL/tal-1, N-cadherin, Oct-4, and Nanog in the CSCs and non-CSC fraction. *P < .05 (significant).
Discussion
In this study, we have successfully identified a candidate CSC population in a mouse model of ATL, which has been shown to exhibit many of the clinical, pathologic, and immunologic features of human disease. It has been clearly established that CSCs are a specific and minor cell population, which have the potential for self-renewal, differentiation, aggressive proliferation, and chemotherapy resistance and can successfully regenerate the original malignancy when transplanted into immunocompromised mice.14 In hematologic malignancies, several CSC candidates have been identified in acute myeloid leukemia,12 chronic myeloid leukemia,13 and acute lymphoblastic leukemia (ALL). Recently, Cox et al have characterized different CSC populations in ALL, which include the phenotype CD34+/CD10− or CD34+/CD19− subpopulations in B-ALL and CD34+/CD4− or CD34+/CD7− subpopulations in childhood T-ALL.33,34 Although it has been suggested that leukemic transformation occurs in a committed T- and B-cell lineage,35 both of these candidates express the hematopoietic progenitor marker CD34, suggesting that T- and B-cell leukemia may have arisen in an early hematopoietic precursor.
ATL is a lymphoproliferative disorder caused by infection with HTLV-1.1 Although various chemotherapeutic regimens have provided significant initial complete remission rates, most treated patients relapse, and these observations have suggested the existence of drug-resistance CSCs in aggressive disease. In this study, we have, for the first time, successfully identified and enriched a candidate CSC population in an ATL model mouse using SP analysis in conjunction with cell surface marker identification by flow cytometry. The candidate CSCs identified by their SP phenotype, which were found to overlap with a CD38−/CD71−/CD117+ population, could regenerate the original lymphoma/leukemia with the expected phenotype when transplanted in SCID/NOD mice.
Recently, Kayo et al reported the existence of SP cells in several cultured ATL cell lines, which were defined by efficient efflux of Hoechst 33342 dye.36 However, in these studies, both SP cells and non-SP cells could reconstitute both SP and main population cells, suggesting that SP cells in the cell lines had no specific CSC-like function in vitro.36 The reasons for this are unclear but may well reflect changes in the cell populations as a result of culture. It has also been reported that CD90 may be a useful marker to identify CSCs in ATL cell lines. CD90 (Thy-1) is a hematopoietic progenitor marker, which is not expressed in mature T cells. In our experiments, CD90 expression was detected in approximately 1.5% of SLCs; however, expression was not associated with the CSCs. These disparate results may again reflect the differences between our transgenic and SCID/NOD animal models and ATL cell lines, which may have changed during culture.
CSCs, especially in the hematologic malignancies, share many properties with HSCs, and indeed almost all CSCs are thought to be derived from HSCs.32 Although It has been shown that human ATL is a leukemia that, in most cases, is derived from CD4+ mature T cells,3 others exhibit a phenotype of cells at early stages in T-cell development. In our Tax transgenic mouse model, it has been shown that the ATL-like lymphoma cells were derived from an immature pre-T cell (DN2), which expresses cytoplasmic CD3, and surface CD25 and CD44.8 In the present study, we could clearly demonstrate that the CD38−/CD71−/CD117+/CD44+ fraction have lymphoma and leukemia-initiating potential and proliferation activity, and have markers expressed in hematopoietic progenitor cells (CLP; common lymphoid progenitor) or Pro-T cells (DN1; double negative). CD117 (also known as c-kit) is useful marker for identifying long-term and short-term repopulating HSCs. Recently, it has shown that CD117 and its ligand stem cell factor also have important roles in early T-cell development,37 and Notch1 with IL-7 induced differentiation of early progenitors with lymphoid and myeloid properties (EPLM) into T-cell lineage is dependent on CD117 signaling.38 In addition to CD44, CD117 expression and the SCF/CD117 signaling pathway are also required to initiate the development of several lymphocyte populations.39 Notch1 is expressed in long-term HSCs and regulates the self-renewal activity of long-term HSCs in the osteoblastic niche via Nocth1 receptor ligand Jagged1.40 However, in the T-cell commitment process, whether activation of Notch1 signaling occurs before or after EPLMs enter the thymus is still controversial.41 In our experiments, Notch1 expression in CSCs was down-regulated compared with the non-CSC fraction, suggesting that CSCs were derived from the EPLM or hematopoietic progenitor cells and that activation of Notch1 may be required to induce T-cell lymphoma and leukemia. It has been shown that a mutation (t(7;9) translocation) and constitutive activation of Notch1 are frequently observed in T-ALL.42 Whether activation of NOTCH1 signaling and in our animal model or indeed in ATL patients is related to HTLV-1 infection and Tax expression is still unclear and remains to be investigated. However, our data suggest and support the view that, at least in our mouse model, the T-cell lymphoma and leukemia-initiating stem cell is derived from an HTLV-1–infected EPLM or early hematopoietic progenitor cell and suggest that CD44 and CD117, if present, in human ATL CSCs could be possible therapeutic targets for treatment of aggressive disease.
It has been suggested that HTLV-1–derived Tax gene expression plays a key role in the development of ATL and particularly in the early stages of cell proliferation and transformation. Paradoxically, Tax gene expression is either undetectable or only at very low levels in fresh uncultured human ATL cells. In our Tax-transgenic mouse model, Tax gene expression was also expressed at very low levels only being detected by sensitive reverse-transcription RT-PCR assays. In the present study, we found a significant further down-regulation of Tax gene in the CSCs compared with cells in the non-CSC fraction. These data support our hypothesis that CSCs are derived from EPLM or early pro-T cells (so-called DN1), as the Lck promoter will drive partially from DN2 and completely from the DN3 stages.43 Recent studies have also shown that HTLV-1 can infect HSCs,6 and lentiviral-mediated expression of Tax gene in human CD34+/CD38− cells resulted in G0/G1 cell-cycle arrest by P21 and P27 up-regulation and the suppression of multilineage hematopoietic differentiation.44 These results would suggest that the reacquisition of stem cell properties in T cell–committed progenitors might require both Tax expression and CD117 and Notch1 reexpression.
In the quantitative real-time PCR analysis, contrary to our expectations, we found a strong down-regulation of Bmi1 in CSCs, which has been shown to be involved in the progression of several malignancies.27 Recently, Miyazaki et al45 reported that Bmi1 is required for the survival, the activation of pre-T cell, and the transition from DN to double-positive cells. Although expression of Bmi1 was detected in DN-stage, dependent up-regulation of Bmi1 was observed from DN2 to DN4.45 These data support our proposal that the CSCs were derived from EPLMs, but the mechanism of Bmi1 activation in these cells remains to be investigated.
At present, the microenvironment of CSCs has not been clearly identified. Recently, Ishikawa et al reported that acute myeloid leukemia leukemic stem cells engraft within osteoblastic niche of the BM, and it has been suggested that this may afford protection from chemotherapy-induced apoptosis.46 In the present study, we have identified potential BM niches for our candidate CSCs in the NOD/SCID model. Specifically, we found that CSCs were located both in the osteoblastic and vascular niches, but further studies are required to determine whether the former localization might also contribute to resistance to chemotherapy in our CSCs, and this is currently under investigation.
In conclusion, our transgenic and NOD/SCID animal studies have allowed the identification of candidate CSCs in this model of ATL. We think that our investigations will both inform and provide a basis for similar studies on human disease to determine whether these or equivalent stem cell populations exist and have the same characteristics. If successful, this will potentially allow the development of new anti-CSC therapeutics, which may provide more effective treatment for human disease.
An Inside Blood analysis of this article appears at the front of this issue.
The publication costs of this article were defrayed in part by page charge payment. Therefore, and solely to indicate this fact, this article is hereby marked “advertisement” in accordance with 18 USC section 1734.
Acknowledgments
The authors thank Dr Toshiki Watanabe for his critical reading of the manuscript.
This work was supported in part by the Grant-in-Aid for Scientific Research of Ministry of Education, Culture, Sports, Science and Technology, Japan (no.18790669). H.H. was supported by the Japan Society for the Promotion of Science (JSPS; Grants-in-Aid for Scientific Research), the Ministry of Health, Labor and Welfare Japan, and the Takeda Science Foundation.
Authorship
Contribution: J.Y., T.M., and I.H. designed the research; J.Y. performed the majority of FACS and transplantation analysis; T.M. performed the histologic studies, analyzed the data, and wrote the paper; K.T. assisted with cell sorting and transplantation experiments; M.K. performed the quantitative PCR experiments; H.M. and A.M. also performed experiments; Y.A. assisted with the NOD/SCID mouse experiments; H.H. and W.W.H. produced the Tax transgenic mice, developed the NOD/SCID model, and wrote the paper; and H.T. and K.Y. were involved in the design of the research.
Conflict-of-interest disclosure: The authors declare no competing financial interests.
Correspondence: Isao Hamaguchi, Department of Safety Research on Blood and Biological Products, National Institute of Infectious Diseases 4-7-1, Gakuen, Musashimurayama, Tokyo, 208-0011, Japan; e-mail: 130hama@nih.go.jp.
References
Author notes
*J.Y. and T.M. contributed equally to this study.







                




). (B) PAS-hematoxylin staining in the 1 × 102 CSCs recipient spleen. (C) PAS-hematoxylin staining in the 1 × 102 non-CSCs recipient spleen. No strong PAS+ staining cells were evident. (D-I) Immunohistochemistry of CD44 and CD117, shown in the 105 SLC recipient spleen (D,G), in the 102 CSC recipient spleen (E,H), and in the 1 × 102 SLC recipient spleen (F,I). CD44 and CD117 expression is detected in the lymphoma in the spleen after 1 × 105 SLC and 1 × 102 CSC transplantation. (J) Hematoxylin and eosin (H&E) staining of the normal NOD/SCID mouse BM. Various types of blood cells, including megakaryocytes and erythroid cells, were evident. (K) Hematoxylin and eosin staining of lymphoma reconstituted in the NOD/SCID mouse BM. The BM tissue was uniformly filled with ATL-like lymphomatous cells. (L) Infiltration of lymphomatous cells was also observed in the liver. (M) Infiltration of lymphomatous cells in lung. (N) Infiltration of lymphomatous cells in lymph nodes. (O) Infiltration of lymphomatous cells was not observed in the epidermal tissues. *Lymphomatous cells. (Closed scale bar, 50 μm; open scale bar, 20 μm.)
