Topics:
rhabdomyosarcoma
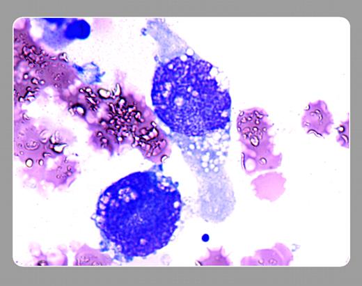
The so-called “small, round blue-cell tumors” may resemble hematopoietic blasts. These diseases may present with clinical features similar to acute leukemia. Metastatic rhabdomyosarcoma cells may have a characteristic racquet-shaped appearance with numerous vacuoles.FIG1
Many Blood Work images are provided by the ASH IMAGE BANK, a reference and teaching tool that is continually updated with new atlas images and images of case studies. For more information or to contribute to the Image Bank, visit www.ashimagebank.org.
Copyright © 2005 by The American Society of Hematology
2005

Peter Maslak, Memorial Sloan-Kettering Cancer Center