Abstract
In hematopoiesis, cytokine levels modulate blood cell replacement, self-renewal of stem cells, and responses to disease. Feedback pathways regulating cytokine levels and targets for therapeutic intervention remain to be determined. Amino boronic dipeptides are orally bioavailable inhibitors of dipeptidyl peptidases. Here we show that the high-affinity inhibitor Val-boro-Pro (PT-100) can stimulate the growth of hematopoietic progenitor cells in vivo and can accelerate neutrophil and erythrocyte regeneration in mouse models of neutropenia and acute anemia. Hematopoietic stimulation by PT-100 correlated with increased cytokine levels in vivo. In vitro, PT-100 promoted the growth of primitive hematopoietic progenitor cells by increasing granulocyte–colony-stimulating factor (G-CSF), interleukin-6 (IL-6), and IL-11 production by bone marrow stromal cells. Two molecular targets of PT-100 are expressed by stromal cells— CD26/DPP-IV and the closely related fibroblast activation protein (FAP). Because PT-100 was active in the absence of CD26, FAP appears to be the hematopoietic target for PT-100. Interaction of PT-100 with the catalytic site seems to be required because amino-terminal acetylation of PT-100 abrogated enzyme inhibition and hematopoietic stimulation. PT-100 is a therapeutic candidate for the treatment of neutropenia and anemia. The data support increasing evidence that dipeptidyl peptidases can regulate complex biologic systems by the proteolysis of signaling peptides.
Introduction
Hematopoiesis produces mature blood cells of all types by the progressive differentiation of a series of intermediate progenitor cells originating from pluripotent stem cells. Experimental investigations of hematopoiesis and clinical approaches to correcting its deficiencies have focused on cytokine activity. Cytokines modulate hematopoiesis by maintaining the self-renewal of stem cells and stimulating the proliferation and maturation of committed progenitor cells required for the continuous replacement of mature blood cells.1-3 In vitro, various combinations of cytokines—for example, stem cell factor (SCF), interleukin-1 (IL-1), IL-3, IL-6, and erythropoietin (EPO)—can support the growth of multipotent progenitor cells,1,4,5 whereas individually, granulocyte–colony-stimulating factor (G-CSF) and EPO are growth factors for committed myeloid and erythroid progenitors, respectively.6,7 Clinically, G-CSF and EPO provide effective treatments for neutropenia and anemia.8,9
Homeostatic regulation of hematopoiesis involves temporally controlled expression of cytokines and their receptors. Cytokine levels are also modulated in response to infection or depletion of blood cells by injury.2 Whereas cytokine signaling initiated by receptor oligomerization and Janus kinase-mediated signal transduction are understood at the molecular level,10 the molecular interactions regulating cytokine levels are less well characterized. Cell-surface proteins, fibroblast activation protein (FAP), and CD26/dipeptidyl peptidase IV (DPP-IV; dipeptidyl-peptide hydrolase, EC 3.4.14.5) are examples of serine proteases that might play a role in regulating the hematopoietic activity of certain polypeptides involved in intercellular signaling.11,12 FAP and CD26/DPP-IV have been shown to specifically catalyze the removal of amino-terminal dipeptides from polypeptides with amino-terminal sequence NH2-Xaa-Pro (Ala), where Xaa can be any naturally occurring amino acid.13,14 These 2 proteases, acting together or individually, might therefore regulate cellular proliferation and maturation by proteolysis of cytokines or other signaling polypeptides, but they apparently have multiple activities,15 including a costimulatory receptor function for CD26 in T cells,16,17 and their true biologic roles are unclear.12
The potential regulatory role of selective proteolysis in hematopoiesis was suggested by one report in which a synthetic amino boronic dipeptide that specifically inhibited CD26/DPP-IV enzymatic activity appeared to have stimulatory activity in in vitro assays of rat progenitor cell proliferation.18 As a class of compounds, amino boronic dipeptides are particularly attractive as experimental probes and potential therapeutics because they are high-affinity transition state analogs for the catalytic site of several serine proteses19 and are readily bioavailable in vivo.20 We have investigated the hematopoietic activity of the amino boronic dipeptide, Val-boro-Pro (PT-100). As described in the present study, PT-100 was found to have potent hematopoietic stimulatory activity in vivo and in vitro. The data highlight a role for dipeptidyl peptidase activity in the regulation of cytokine production by bone marrow (BM) stromal cells and support PT-100 as an oral therapeutic for the treatment of neutropenia and anemia. Of considerable interest is the observation that the key dipeptidyl peptidase target for PT-100 in the hematopoietic system is not CD26/DPP-IV but most likely the closely related ectoenzyme, FAP.14,21
Materials and methods
Experimental animals and cell lines
Female BALB/c mice and Fischer 344 rats (both D+ and D– substrains) were from Charles River Labs (Wilmington, MA). B6, BALB/c CD26+/– mice from the laboratory of Dr T. Watanabe (Fukuoka, Japan) were bred to produce CD26–/– and CD26+/+ mice as described.22 CACO-2 and RPMI-7951 cell lines were from ATCC (Manassas, VA) and were grown in Dulbecco modified Eagle medium (DMEM; Gibco, Grand Island, NY) supplemented with 10% fetal calf serum (FCS; Hyclone, Logan, UT), 2 mM L-glutamine, 10 mM HEPES, 100 U/mL penicillin, and 100 U/mL streptomycin.
Reagents and antibodies
The amino boronic dipeptide PT-100 was synthesized as described previously.23 Samples of PT-100 were supplied by W. Bachovchin (Tufts University, Boston, MA), and subsequent materials, including N-acetyl-Valboro-Pro, were synthesized by Ash Stevens, Inc (Riverview, MI) at more than 95% purity. G-CSF (Neupogen) was from Amgen (Thousand Oaks, CA). Phenylhydrazine hydrochloride (PHZ) and cyclophosphamide (CYP) were from Sigma (St Louis, MO). The human FAP-specific monoclonal antibody (mAb)–producing hybridoma, F19, was purchased from ATCC, and immunoglobulin was affinity purified from ascites using Protein G (Pierce, Rockford, IL). Antihuman CD26 (clone M-A261) and mouse IgG1 isotype control (clone MOPC-21) mAbs were from BD PharMingen (San Diego, CA).
Stromal cell and long-term BM cultures
Human BM was provided by R. Benjamin (Brigham and Women's Hospital, Boston, MA) or purchased from BioWhittaker (Walkersville, MD). Human peripheral blood subjected to apheresis was provided by the New England Medical Center Blood Bank (Boston, MA). BM stromal cells were produced by a previously described method.24 BM mononuclear cells were isolated by Ficoll-Hypaque (Nycomed, Oslo, Norway) gradient centrifugation, and CD34+ cells were enriched to more than 90% by magnetic selection with hapten-conjugated antihuman CD34 mAb and antihapten mAb-conjugated microbeads (Miltenyi Biotec, Auburn, CA). In bulk long-term cultures (LTCs), 104 CD34+ cells were added to replicate wells of 24-well plates containing 2000 cGy irradiated stromal layers. In limiting-dilution LTC-initiating cell (LTC-IC) assays, CD34+ cells were titrated in 96-well plates containing stromal layers as previously described.24 MyeloCult medium (Stem Cell Technologies, Vancouver, BC, Canada) supplemented with 10–6 M hydrocortisone (Sigma) was used for LTC and exchanged every 3 days. Where PT-100 was added, it was replenished at each medium exchange. After LTC, the cultures were assayed for colony-forming cells (CFCs), and LTC-IC frequencies in limiting-dilution assays were calculated from the Poisson distribution. Cytokines were assayed from 12-well plate stromal cell cultures without CD34+ cells in fully supplemented DMEM.
CFC assays
Mouse spleens and femurs were collected from individual animals, and red blood cells (RBCs) were lysed from splenocyte populations with 0.14 M ammonium chloride, 0.017 M Tris, pH 7.2. Granulocyte-monocyte and erythroid colony-forming units (CFU-GMs and CFU-Es, respectively), erythroid burst-forming units (BFU-Es) in mouse spleen and BM, and myeloid CFCs in human LTC-IC cultures were assayed in methyl cellulose cultures supplemented with 50 ng/mL SCF, 10 ng/mL GM-CSF, 10 ng/mL interleukin-3 (IL-3), and 3 U/mL EPO in media formulated appropriately for each species (Stem Cell Technologies). Splenocyte cultures were seeded at 2 to 5 × 105 cells/plate, bone marrow cultures at 1 × 105 cells/plate, and human LTC-IC at 2 × 104 cells/plate. Murine CFU-Es were counted after 2 to 3 days of culture, and the remaining CFUs, BFU-Es, and CFCs were counted after 7 to 14 days. CFC assays were performed in duplicate for each sample.
Analysis of stromal cell dipeptidyl peptidase
BM stromal cell extracts in 1% Triton X-100 (Sigma) were fractionated on Q-Sepharose (Amersham Pharmacia Biotech, Piscataway, NJ) using a salt gradient, and dipeptidyl peptidase activity of the fractions was monitored. Before and after fractionation, samples were analyzed by 8% sodium dodecyl sulfate–polyacrylamide gel electrophoresis (SDS-PAGE) or by immunoprecipitation of dipeptidyl peptidase activity with F19, M-A261, or isotype control mAb and Protein G–Sepharose beads (Amersham Pharmacia Biotech).
Dipeptidyl peptidase assay
For soluble samples, reactions with 0.1 mM Ala-Pro-7-amino-4-trifluoromethyl coumarin (Ala-Pro-AFC; Enzyme Systems Products, Dublin, CA) in 0.5 mL 50 mM Tris, 140 mM NaCl, pH 7.9, were monitored at room temperature in a SpectroMax Gemini XS fluorometer (Molecular Devices, Sunnyvale, CA) using an excitation wavelength of 400 nm and an emission wavelength of 505 nm. Gels were soaked in 0.1 mM Ala-Pro-AFC, and reactions observed under an ultraviolet lamp.
Hematology
Manual white blood cell counts were performed in 0.5% acetic acid, and proportions of granulocytes or reticulocytes were determined in blood smears stained with modified Wright Giemsa (Sigma) or methylene blue, respectively. Hematocrits were determined by centrifugation of heparinized blood in a Micro-MB centrifuge (IEC, Needham Heights, MA). Differential counts and hematocrits were performed in duplicate for each sample.
Cytokine ELISA and microarray mRNA analysis
All human and mouse cytokines were determined by Quantikine enzyme-linked immunosorbent assay (ELISA) (R&D Systems, Minneapolis, MN). Rat IL-6 was measured from stromal cell cultures by antibody-capture ELISA (BioSource International, Camarillo, CA). ELISA was performed in duplicate or triplicate for each sample. RNA extracted from stromal cells with Trizol (Life Technologies, Rockville, MD) was supplied to Incyte Genomics (St Louis, MO) for the synthesis of fluorescently labeled cDNA and GEM microarray analysis. Data were recorded as fluorescent units.
Statistics
Standard deviations and significance by Student t test were calculated using Microsoft Excel software (Redmond, WA).
Results
Amino boronic dipeptide Val-boro-Pro stimulates hematopoiesis involving erythroid and myeloid lineages
The effect of PT-100 on hematopoiesis was explored in mice in vivo (Figure 1A). Compared with saline control treatment, oral administration of 5 μg PT-100 twice daily for 5 consecutive days significantly (P < .005) increased the levels of erythroid and myeloid progenitor cells assayed as CFU-Es, BFU-Es, and CFU-GMs in the spleens of normal mice but not in the BM (Figure 1B). The increases in CFUs and BFUs per spleen observed in PT-100–treated mice reflected significant increases (P < .05) in the frequencies of CFUs and BFUs—that is, in the number of CFCs per unit number of splenocytes plated in methylcellulose cultures—and spleen cellularity (Table 1). BM cellularity did not change significantly in PT-100–treated mice (data not shown). The ability of PT-100 to stimulate granulopoiesis was supported by the increased absolute neutrophil count (ANC)—P < .00005 to P < .05, depending on the time of assay—observed throughout a 3-day course of treatment with a 20-μg dose (Figure 1C). Although a 5-μg dose of PT-100 stimulated an increase in progenitor cells, only a 2-fold increase in ANC was observed after 5 days of administration, and it did not reproducibly increase ANC at earlier points in time (data not shown). Because granulopoiesis can be stimulated through the action of G-CSF, GM-CSF, or IL-6,2 the effect of PT-100 treatment on their serum levels in vivo was investigated. The administration of PT-100 according to the regimen that increased ANC (Figure 1C) also increased serum G-CSF levels significantly (P = .00001 to P < .01) throughout the period of treatment (Figure 1D), whereas IL-6 levels were only increased (P < .00001) on the third day of PT-100 treatment. PT-100 had no effect on serum GM-CSF levels (data not shown).
PT-100 stimulates hematopoiesis in normal mice. (A) Structure of PT-100. (B) Levels of erythroid and myeloid CFUs (×10–4) in BALB/c mice after oral administration of saline (□) or 5 μg PT-100 (▪) twice daily for 5 days. Erythroid and myeloid CFUs in spleens and BM were assayed as described in “Materials and methods.” CFU-Es were observed after 2 to 3 days in culture, whereas BFU-Es and CFU-GMs were observed after 7 to 9 days. Data are expressed as mean splenic CFCs ± SEM of 3 independent experiments (n = 11-12 mice/treatment group) and mean BM CFCs ± SEM of 2 experiments (n = 7-8 mice/treatment group). (C) Changes in ANCs in mice administered saline (○) or 20 μg PT-100 (•) orally and twice daily. ANCs were determined by standard differential counting. Data are expressed as the mean ± SD of 5 mice/group, using discrete groups at each point in time. Changes in ANCs are representative of 2 independent experiments. (D) Changes in serum G-CSF (○,•) and IL-6 (□,▪) levels in mice administered saline (open symbols) or PT-100 (filled symbols) as described in panel C. Serum cytokine levels were determined by ELISA, and data are expressed as mean ± SD from 5 mice/group. Changes in G-CSF and IL-6 levels are representative of 3 independent experiments.
PT-100 stimulates hematopoiesis in normal mice. (A) Structure of PT-100. (B) Levels of erythroid and myeloid CFUs (×10–4) in BALB/c mice after oral administration of saline (□) or 5 μg PT-100 (▪) twice daily for 5 days. Erythroid and myeloid CFUs in spleens and BM were assayed as described in “Materials and methods.” CFU-Es were observed after 2 to 3 days in culture, whereas BFU-Es and CFU-GMs were observed after 7 to 9 days. Data are expressed as mean splenic CFCs ± SEM of 3 independent experiments (n = 11-12 mice/treatment group) and mean BM CFCs ± SEM of 2 experiments (n = 7-8 mice/treatment group). (C) Changes in ANCs in mice administered saline (○) or 20 μg PT-100 (•) orally and twice daily. ANCs were determined by standard differential counting. Data are expressed as the mean ± SD of 5 mice/group, using discrete groups at each point in time. Changes in ANCs are representative of 2 independent experiments. (D) Changes in serum G-CSF (○,•) and IL-6 (□,▪) levels in mice administered saline (open symbols) or PT-100 (filled symbols) as described in panel C. Serum cytokine levels were determined by ELISA, and data are expressed as mean ± SD from 5 mice/group. Changes in G-CSF and IL-6 levels are representative of 3 independent experiments.
PT-100 stimulates neutrophil regeneration after cyclophosphamide treatment in mice
G-CSF treatment is highly effective in restoring ANCs in mice and humans after myeloablative chemotherapy.9 Given that PT-100 could stimulate G-CSF production in vivo, it followed that it might also promote neutrophil regeneration in myeloablated mice. The efficacy of PT-100 was investigated in BALB/c mice treated with a 220 mg/kg dose of CYP, which in 4 days reduced peripheral blood ANCs by at least 90%. The dose response was investigated with PT-100 administration (oral and twice daily) starting on day 3 after CYP treatment. PT-100 clearly accelerated the recovery of ANCs to normal levels (Figure 2A). On the critical days—5 and 6—ANCs were significantly (P < .005) higher in mice treated with 2-μg or 5-μg doses of PT-100 than in controls, and the 2-μg dose appeared to be optimal. The effect on ANC of the 2-μg dose of PT-100 was equivalent to that seen with a 0.04-μg dose of recombinant human G-CSF administered by subcutaneous injection according to the same regimen as PT-100 (data not shown); with both PT-100 and G-CSF, the recovery of ANCs to normal levels was advanced by 1 to 2 days. By varying the duration of PT-100 treatment from 2 to 3 to 5 days, it was determined that administration for 3 days (ie, days 3-5 after CYP) optimally stimulated neutrophil regeneration (Figure 2B). To investigate the effect of PT-100 on serum G-CSF levels during the treatment of neutropenic mice, serum G-CSF was assayed throughout the critical period of neutrophil recovery after CYP treatment. G-CSF levels rose in control mice on day 4 after CYP, and this apparently homeostatic effect was amplified and accelerated by PT-100 (Figure 2C), with highly significant (P < .005) increases above control levels observed from day 3 to day 5 after CYP administration. The high sensitivity of neutropenic mice to PT-100 was used to investigate the specificity of its activity. Because the free amino-terminus of PT-100 is required for the inhibition of CD26/DPP-IV,25 the DPP-IV inhibitory activity and the granulopoietic activity of a derivative of Val-boro-Pro acetylated at the N-terminus—N-acetyl-Val-boro-Pro (NAc-VBP)—was investigated. Even at a dose 15-fold in excess of the optimal PT-100 dose, NAc-VBP failed to significantly increase ANC on days 5 and 6 after CYP treatment (Figure 2D). In in vitro DPP-IV assays, NAc-VBP showed a 104-fold reduction in its ability to inhibit cleavage of the synthetic substrate, Ala-Pro-AFC, compared with PT-100 (data not shown).
PT-100 administration promotes neutrophil regeneration in mouse model of neutropenia. BALB/c mice were injected intraperitoneally with CYP (220 mg/kg) on day 0 and were administered saline or PT-100 orally and twice daily, starting on day 3. (A) Changes in ANCs in mice receiving 0.1 μg(▪), 2 μg(•), or 5 μg (▴) PT-100 or saline (○) for 5 days. (B) Changes in ANCs in mice receiving saline (○) or 2 μg PT-100 administered for 2 (▪), 3 (▴), or 5 (•) days. (C) Changes in serum G-CSF levels in mice receiving 2 μg PT-100 (•) or saline (○). (D) Changes in ANCs on days 5 (□) and 6 (▪) in mice receiving saline, 30 μg or 5 μg PT-100, or NAc-VBP as indicated on the abscissa. ANC and G-CSF levels were determined by standard differential counts and ELISA, respectively, and are expressed as mean ± SD from 4 to 5 mice per group. Data are representative of 6 independent ANC experiments and 3 independent G-CSF experiments. Significant P values are indicated in “Results.” Mean ANC and G-CSF levels in normal mice are indicated by the horizontal lines.
PT-100 administration promotes neutrophil regeneration in mouse model of neutropenia. BALB/c mice were injected intraperitoneally with CYP (220 mg/kg) on day 0 and were administered saline or PT-100 orally and twice daily, starting on day 3. (A) Changes in ANCs in mice receiving 0.1 μg(▪), 2 μg(•), or 5 μg (▴) PT-100 or saline (○) for 5 days. (B) Changes in ANCs in mice receiving saline (○) or 2 μg PT-100 administered for 2 (▪), 3 (▴), or 5 (•) days. (C) Changes in serum G-CSF levels in mice receiving 2 μg PT-100 (•) or saline (○). (D) Changes in ANCs on days 5 (□) and 6 (▪) in mice receiving saline, 30 μg or 5 μg PT-100, or NAc-VBP as indicated on the abscissa. ANC and G-CSF levels were determined by standard differential counts and ELISA, respectively, and are expressed as mean ± SD from 4 to 5 mice per group. Data are representative of 6 independent ANC experiments and 3 independent G-CSF experiments. Significant P values are indicated in “Results.” Mean ANC and G-CSF levels in normal mice are indicated by the horizontal lines.
PT-100 enhances erythropoiesis in response to anemia
As described above, treatment of normal mice with PT-100 increased the erythroid progenitor cell pool; however, peripheral blood RBC levels were unchanged (data not shown). Differentiation of RBCs requires EPO, the production of which is regulated homeostatically such that it increases in response to anemia.7 It seemed likely that in PT-100–treated normal mice, the increased erythroid progenitor levels did not result in increased RBC levels because the level of EPO was limited by homeostatic regulation. To further investigate the effect of PT-100 on erythropoiesis in vivo, acute anemia was induced by PHZ treatment (60 mg/kg) of mice that had previously been administered PT-100 (orally and twice daily) for 5 days so as to expand the erythroid progenitor pool. PHZ rapidly induced anemia, with hematocrits dropping to a nadir between days 2 and 4 after treatment in control mice. In PT-100–treated mice, the duration of anemia was reduced, and on days 3 to 5 after PHZ, hematocrits were significantly (P = .00005-.02) higher than in control mice (Figure 3A). The proportion of peripheral blood reticulocytes increased as the mice recovered from PHZ-induced anemia, and in the PT-100–treated mice the increase was significantly (P < .05) greater on day 3 than it was in control mice (Figure 3B). The data indicate that PT-100 pretreatment accelerated erythropoiesis in response to anemia. Erythroid progenitor levels were determined by splenic CFU assays on day 3 after PHZ. CFU-Es and BFU-Es were increased 15-fold (P < .0005) and 2-fold (P < .05), respectively, above control values (Figure 3C). The reduced duration and severity of anemia in the PT-100–treated mice could therefore be attributed to an expanded pool of erythroid progenitors.
PT-100 accelerates recovery of mice from hemolytic anemia. Acute hemolytic anemia was induced by intraperitoneal injection of PHZ (60 mg/kg) on days 0 and 1. Five micrograms PT-100 or saline was administered orally and twice daily to BALB/c mice for a 5-day period before PHZ treatment (ie, from day–6today–2). (A) Changes in hematocrit in mice pretreated with saline (○) or PT-100 (•). Horizontal bar indicates hematocrits of normal mice. (B) Changes in reticulocytes in mice pretreated with saline (○) or PT-100 (•). (C) Levels of splenic CFU-Es (×10–4; ▪) and BFU-Es (×10–3; □) on day 3 in mice treated with saline or PT-100 as indicated on abscissa. CFUs were assayed as described in “Materials and methods.” Data are expressed as the mean ± SD of 3 mice/group using discrete groups for each point in time, and they are representative of 2 independent experiments. Significant P values are indicated in “Results.”
PT-100 accelerates recovery of mice from hemolytic anemia. Acute hemolytic anemia was induced by intraperitoneal injection of PHZ (60 mg/kg) on days 0 and 1. Five micrograms PT-100 or saline was administered orally and twice daily to BALB/c mice for a 5-day period before PHZ treatment (ie, from day–6today–2). (A) Changes in hematocrit in mice pretreated with saline (○) or PT-100 (•). Horizontal bar indicates hematocrits of normal mice. (B) Changes in reticulocytes in mice pretreated with saline (○) or PT-100 (•). (C) Levels of splenic CFU-Es (×10–4; ▪) and BFU-Es (×10–3; □) on day 3 in mice treated with saline or PT-100 as indicated on abscissa. CFUs were assayed as described in “Materials and methods.” Data are expressed as the mean ± SD of 3 mice/group using discrete groups for each point in time, and they are representative of 2 independent experiments. Significant P values are indicated in “Results.”
PT-100 stimulates cytokine production by human BM stromal cells
PT-100 appeared to stimulate hematopoiesis in vivo through the up-regulation of G-CSF and IL-6 production, as indicated by increased serum levels of these cytokines in PT-100–treated mice. It seemed likely that PT-100 could act directly on stromal cells because they are the main source of the cytokines that promote hematopoiesis.26 The role of stromal cells on the activity of PT-100 in the human hematopoietic system was investigated in LTCs in which irradiated human BM stromal cells support the survival and propagation of undifferentiated or primitive human hematopoietic cells by the provision of cytokines.27 After 4 or more weeks, cultured cells were assayed for CFCs in secondary cultures in semisolid medium. CFC numbers are thought to reflect the level of LTC-IC propagation in the primary cultures.24 In bulk cultures of human CD34+ cells isolated as described in “Materials and methods,” 0.1 nM or 10 nM PT-100 added for the duration of the LTC increased the yield of LTC-IC by at least 2-fold over that obtained in control cultures (Figure 4A). In a limiting-dilution assay of CD34+ cells on irradiated stromal cells, 10 nM PT-100 increased by 6-fold the frequency at which LTC-ICs were detected after a 5-week culture period (Figure 4B). The data suggested that PT-100 could stimulate BM stromal cells to increase the production of cytokines required for survival and proliferation of LTC-ICs in the population of CD34+ cells plated in the limiting-dilution assay. Stromal cells appeared to be essential for the activity of PT-100 in vitro because, in their absence, PT-100 failed to stimulate the growth of human CD34+ cells in LTCs (data not shown). A role for stromal cells in the hematopoietic activity of PT-100 was supported by the observation that the addition of PT-100 to BM stromal cell cultures rapidly increased the supernatant levels of G-CSF, IL-6, and IL-11 above the basal levels (Figure 4C-D). After a 6-hour incubation with cultured BM stromal cells, PT-100 also increased mRNA levels of G-CSF and IL-6 by 2-fold or more above control levels, but IL-11 mRNA levels were apparently unaffected at this time (Figure 4E). The data indicated balanced differential expression values of 1.8 and 2.6 for G-CSF and IL-6, respectively, in GEM microarray analysis performed as described in “Materials and methods.” The effect of PT-100 appeared to be selective because 6-hour mRNA levels of GM-CSF, tumor necrosis factor-α, and IL-7 were unaltered by the addition of PT-100. Furthermore, protein levels of these cytokines and IL-1α, IL-3, stem cell factor (SCF), and Flt-3 ligand were unaffected by PT-100 in 48- or 72-hour cultures of BM stromal cells (data not shown).
PT-100 stimulates the survival and growth of primitive hematopoietic progenitors in vitro and induces the production of cytokines by BM stromal cells. (A) CFU levels after 4-week bulk culture of human CD34+ cells in the presence of varying concentrations of PT-100, as indicated on abscissa. CD34+ cells were propagated in vitro on supportive layers of X-irradiated stromal cells, and CFUs were assayed as described in “Materials and methods.” Data are expressed as mean ± SD from triplicate cultures and are representative of 6 independent experiments. (B) Clonal frequency of LTC-ICs in human CD34+ cell population cultured in the presence (•) or absence (○) of 10 nM PT-100. Limiting-dilution assay of LTC-ICs on supportive layers of stromal cells was performed as described in “Materials and methods.” Data are representative of 2 assays. (C-D) Changes in G-CSF (○,•), IL-11 (▵,▴), and IL-6 (□,▪) levels in supernatants of BM stromal cells cultured either with (filled symbols) or without (open symbols) 1 μM PT-100. Data are expressed as means from triplicate cultures and are representative of 5 replicate experiments. (E) Comparison of gene expression in BM stromal cells incubated for 6 hours in the presence (▪) or absence (□) of 1 μM PT-100. Cytokine gene expression was determined by microarray hybridization, as described in “Materials and methods,” and data were replicated in 2 independent experiments.
PT-100 stimulates the survival and growth of primitive hematopoietic progenitors in vitro and induces the production of cytokines by BM stromal cells. (A) CFU levels after 4-week bulk culture of human CD34+ cells in the presence of varying concentrations of PT-100, as indicated on abscissa. CD34+ cells were propagated in vitro on supportive layers of X-irradiated stromal cells, and CFUs were assayed as described in “Materials and methods.” Data are expressed as mean ± SD from triplicate cultures and are representative of 6 independent experiments. (B) Clonal frequency of LTC-ICs in human CD34+ cell population cultured in the presence (•) or absence (○) of 10 nM PT-100. Limiting-dilution assay of LTC-ICs on supportive layers of stromal cells was performed as described in “Materials and methods.” Data are representative of 2 assays. (C-D) Changes in G-CSF (○,•), IL-11 (▵,▴), and IL-6 (□,▪) levels in supernatants of BM stromal cells cultured either with (filled symbols) or without (open symbols) 1 μM PT-100. Data are expressed as means from triplicate cultures and are representative of 5 replicate experiments. (E) Comparison of gene expression in BM stromal cells incubated for 6 hours in the presence (▪) or absence (□) of 1 μM PT-100. Cytokine gene expression was determined by microarray hybridization, as described in “Materials and methods,” and data were replicated in 2 independent experiments.
Analysis of the molecular target of PT-100 in human BM stromal cells
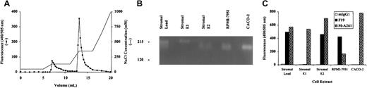
Although PT-100 was originally designed as a competitive inhibitor of CD26/DPP-IV with high affinity for the catalytic site,19 it also interacts with FAP because these molecules share a high degree of homology in this region.14,28 Consequently, cultured human BM stromal cells, which as described above were responsive to PT-100, were analyzed for the presence of CD26/DPP-IV and FAP. SDS-PAGE of unboiled Triton X-100 extracts prepared from cultured human BM stromal cells revealed the presence of dipeptidyl peptidases with apparent molecular weights in the range of approximately 170 to 220 kDa, as detected by fluorigenic assay with the DPP-IV–specific synthetic substrate Ala-Pro-AFC, which has also been shown to be a substrate for FAP29 (Figure 5B, lane 1). Ion-exchange chromatography was used to separate stromal cell extracts into 2 fractions, E1 and E2 (Figure 5A), containing approximately 220-kDa and approximately 170-kDa dipeptidyl peptidase activity, respectively (Figure 5B). Immunoprecipitation of the fractions with the CD26-specific mAb M-A261 and the FAP-specific mAb F19 revealed that fraction E1 contained CD26 exclusively, whereas E2 was a mixture of FAP and CD26 (Figure 5C). In comparison, it can be seen that FAP and CD26, present in RPMI-7951 and CACO-2 cellular extracts, respectively, migrated with apparent molecular weights of approximately 170 kDa under semi-native conditions in SDS-PAGE. (Figure 5B). Size variations in cell-associated CD26 observed here (compare E1 with E2 and CACO-2 in Figure 5B) were not unexpected given previous reports that indicated differential glycosylation of CD26.30 The addition of PT-100 to the Ala-Pro-AFC substrate assays completely inhibited the activity of both the approximately 220 and approximately 170 kDa dipeptidyl peptidases after separation by SDS-PAGE (data not shown). Both CD26 and FAP, therefore, appeared to be potential molecular targets that could be involved in the stimulation of cytokine production by PT-100 in cultures of human BM stromal cells.
Characterization of human BM stromal cell dipeptidyl peptidases. Stromal cell extracts were separated by ion-exchange chromatography into 2 fractions, E1 and E2, each containing dipeptidyl peptidase activity (A). Dipeptidyl peptidase activity eluted from the column was detected by florigenic assay with 0.1 mM Ala-Pro-AFC, and SDS-PAGE of unboiled samples identified dipeptidyl peptidases of approximately 220 kDa and 170 kDa in E1 and E2, respectively. In contrast, unfractionated stromal extract contained dipeptidyl peptidases of both molecular sizes and RPMI-7951 and CACO-2 cell lines contained only the 170-kDa dipeptidyl peptidase (B). The same samples were immunoprecipitated with mAb F19, M-A261, or a mouse IgG1 isotype control, and the immunoprecipitates were assayed for dipeptidyl peptidase activity (C). Data in panels A-C were representative of 7 independent human stromal cell cultures.
Characterization of human BM stromal cell dipeptidyl peptidases. Stromal cell extracts were separated by ion-exchange chromatography into 2 fractions, E1 and E2, each containing dipeptidyl peptidase activity (A). Dipeptidyl peptidase activity eluted from the column was detected by florigenic assay with 0.1 mM Ala-Pro-AFC, and SDS-PAGE of unboiled samples identified dipeptidyl peptidases of approximately 220 kDa and 170 kDa in E1 and E2, respectively. In contrast, unfractionated stromal extract contained dipeptidyl peptidases of both molecular sizes and RPMI-7951 and CACO-2 cell lines contained only the 170-kDa dipeptidyl peptidase (B). The same samples were immunoprecipitated with mAb F19, M-A261, or a mouse IgG1 isotype control, and the immunoprecipitates were assayed for dipeptidyl peptidase activity (C). Data in panels A-C were representative of 7 independent human stromal cell cultures.
CD26 is not an essential hematopoietic target of PT-100
The role of CD26 in hematopoietic stimulation by PT-100 was further investigated in CD26-deficient mice produced by targeted mutation.22 Absence of CD26 in thymocytes and splenic T cells of B6, BALB/c CD26–/– mice was verified by immunofluorescence with mAbs (data not shown), and, as previously reported,22 serum DPP-IV activity was less than 10% of that in B6, BALB/c CD26+/+ mice. Comparison of PT-100 activity in CYP-treated (250 mg/kg) neutropenic mice revealed that PT-100 accelerated neutrophil recovery at least as effectively in CD26–/– mice as in CD26+/+ mice (Figure 6A-B). Similarly, when normal CD26–/– and CD26+/+ mice were administered PT-100, ANCs were increased to the same extent regardless of whether CD26 was present (Figure 6C). It should be noted that normal B6, BALB/c mice were less sensitive than congenic BALB/c mice to hematopoietic stimulation by PT-100. Therefore, the doses of PT-100 were increased appropriately in the comparison of responses in B6, BALB/c CD26+/+, and CD26–/– mice. The role of CD26/DPP-IV in the cytokine response of BM stromal cell cultures was investigated in the Fischer 344 rat, which exists as 2 substrains: one with normal levels of CD26/DPP-IV and one (Fischer 344 D–) that is congenitally deficient.31 As observed in human BM stromal cell cultures, IL-6 levels were increased after PT-100 addition to cultures of Fischer 344 rat BM stromal cells (Figure 6D). Comparison of the dose-response curves and the magnitude of the IL-6 responses between cultures derived from mutant D– and wild-type D+ Fischer 344 rats indicated that CD26 was not required for PT-100 stimulation.
PT-100 hematopoietic activity does not require CD26. (A-B) Changes in ANCs in B6, BALB/c CD26+/+ (A) and B6, BALB/c CD26–/– (B) mice treated with CYP (250 mg/kg) on day 0 and administered 10 μg PT-100 (•) or saline (○) orally and 3 times daily from day 3 to day 6. Data are expressed as mean ± SD from 3 to 5 mice per group. Mean ANC in normal mice are indicated by horizontal bars. (C) ANCs in normal B6, BALB/c CD26+/+ (▪), and B6, BALB/c CD26–/– (□) mice after the oral administration of 25 μg PT-100 3 times daily for 5 days. (D) Changes in IL-6 levels in supernatants of Fischer D+ (•) and D– (○) rat BM stromal cells cultured for 24 hours in varying concentrations of PT-100, as indicated on abscissa. Rat IL-6 levels were determined using ELISA. Data are expressed as mean ± SD from triplicate cultures and are representative of 3 separate experiments.
PT-100 hematopoietic activity does not require CD26. (A-B) Changes in ANCs in B6, BALB/c CD26+/+ (A) and B6, BALB/c CD26–/– (B) mice treated with CYP (250 mg/kg) on day 0 and administered 10 μg PT-100 (•) or saline (○) orally and 3 times daily from day 3 to day 6. Data are expressed as mean ± SD from 3 to 5 mice per group. Mean ANC in normal mice are indicated by horizontal bars. (C) ANCs in normal B6, BALB/c CD26+/+ (▪), and B6, BALB/c CD26–/– (□) mice after the oral administration of 25 μg PT-100 3 times daily for 5 days. (D) Changes in IL-6 levels in supernatants of Fischer D+ (•) and D– (○) rat BM stromal cells cultured for 24 hours in varying concentrations of PT-100, as indicated on abscissa. Rat IL-6 levels were determined using ELISA. Data are expressed as mean ± SD from triplicate cultures and are representative of 3 separate experiments.
Discussion
PT-100 is capable of stimulating hematopoiesis in vivo and in vitro by interacting with BM stromal cells to increase the production of certain cytokines known to stimulate the growth and survival of hematopoietic progenitor cells.2 The cytokines involved include G-CSF, IL-6, and IL-11. PT-100 appeared to increase cytokine transcription, as indicated by increased levels of G-CSF and IL-6 mRNA after the addition of PT-100 to cultured stromal cells in vitro. Although additional cytokines might also be up-regulated by PT-100, the predominant effect seems to be on G-CSF, IL-6, and IL-11, the increased production of which is sufficient to account for the hematopoietic stimulation observed in vivo and in vitro. Reported activities of these cytokines are consistent with their roles as mediators of PT-100 activity in the growth stimulation of primitive hematopoietic cells and more differentiated precursor cells.2 For example, injection of normal mice with IL-11 or G-CSF has been shown to increase the number of myeloid and erythroid progenitors per spleen and to increase ANCs in peripheral blood.32,33 Twice daily administration of optimal doses of the recombinant cytokines to normal mice for 3 to 4 days could achieve greater levels of hematopoietic stimulation than those observed in the present study with optimal doses of PT-100. This was particularly evident with G-CSF administration. Escalation of the G-CSF dose to 500 μg/kg body weight increased the peripheral blood ANC levels 12-fold above normal33 compared with the 2-fold increases observed with PT-100. Likewise, the addition of IL-11 in combination with flt3-ligand and Steel factor to cultures of BM primitive hematopoietic progenitor cells increased CFC and LTC-IC levels by approximately 5- and 3-fold, respectively.4 Notwithstanding the generally greater potency of recombinant cytokines in in vivo and in vitro assays of hematopoietic stimulation, the hematopoietic activity of PT-100 is of singular interest because it provides the first indication that stromal cell dipeptidyl peptidase activity is involved in the regulation of cytokine production.
In addition to its activity in in vitro cultures, PT-100 also accelerated neutrophil regeneration in mice with CYP-induced neutropenia. Interestingly, a dose of PT-100 10-fold less than that required to increase ANCs in normal mice optimally stimulated recovery of ANCs in neutropenic mice. Greater sensitivity of neutropenic mice to PT-100 activity was also reflected in the G-CSF response in vivo. A 20-μg dose of PT-100 was required to produce a somewhat transient G-CSF increase in normal mice, whereas a 2-μg dose stimulated a sustained response in neutropenic mice. G-CSF appears to regulate peripheral neutrophil levels homeostatically, such that G-CSF production is inversely proportional to ANC in vivo.6 Consequently, the transient activity of PT-100 in normal mice could result from feedback regulation of G-CSF production in the presence of normal neutrophil levels, whereas such restraints are absent in neutropenic mice. Because of its efficacy in mice, PT-100 is currently in clinical trials designed to evaluate its safety and efficacy as an oral treatment for neutropenia in cancer patients undergoing chemotherapy.
Pretreatment of mice with PT-100 reduced the duration of acute anemia induced by PHZ, which lyses mature erythrocytes in vivo without affecting erythroid progenitors.34 The effect of PT-100 in this model is consistent with its ability to expand the erythroid progenitor population in vivo. In response to the anemia induced by PHZ, EPO levels rise,7 and, given that EPO is required for the terminal differentiation of erythrocytes, the increased EPO levels presumably stimulate more rapid regeneration of RBCs in PT-100–treated mice because of the presence of an expanded erythroid progenitor cell pool. In normal mice, PT-100 can act to increase erythroid progenitors; but it has no effect on RBC levels, probably because EPO production remains unaltered. Clinically, PT-100 may be useful as a prophylactic treatment before a period of anticipated anemia after chemotherapy.
PT-100 was designed as a transition state analog with high affinity for the catalytic site of CD26/DPP-IV.19 CD26/DPP-IV and FAP are related type 2 membrane proteins with structurally similar catalytic sites.14,28 The activities of both proteases are inhibited by PT-100, and they are coexpressed in cultured human BM stromal cells that are responsive to PT-100. Either CD26/DPP-IV or FAP could potentially act as a target of PT-100 for its hematopoietic activities. However, CD26/DPP-IV did not appear to be necessary for PT-100 activity because both the stimulation of granulopoiesis in vivo and the production of a cytokine in vitro were undiminished in the absence of CD26. FAP seems to be the only hematopoietically active target of PT-100 identified so far. Three other proteases—DPP-II, QPP, and attractin—have been reported to share substrate specificity with CD26/DPP-IV,35-37 and they could potentially interact with PT-100 in vivo. With regard to DPP-II and QPP, their molecular sizes (100 and 120 kDa, respectively), apparent physiologic roles, and expression profiles make them unlikely hematopoietic targets.35,36 Attractin is the product of the mahogany locus,38 and it engages in dipeptidyl peptidase activity in humans.37 However, because the cDNA sequence indicates that a serine esterase site motif is lacking in the mouse,37 attractin is unlikely to participate in the hematopoietic activity of PT-100 observed in this species. In vitro studies have recently indicated that another serine protease, neutrophil elastase, can regulate granulopoiesis by negative feedback involving specific cleavage of G-CSF.39 Neutrophil elastase inhibition of hematopoietic progenitor cell growth in G-CSF–supported cultures could be blocked by an inhibitor of proteolytic activity. Inhibitors of elastase might, therefore, be expected to stimulate hematopoiesis and progenitor mobilization in vivo. Although elastase inhibition could result in hematopoietic effects similar to those observed here with PT-100, neutrophil elastase is not a molecular target of PT-100 because concentrations greater than 100 μM are required for its inhibition.19 In contrast, the hematopoietic activity of PT-100 was observed at far lower concentrations in vitro and with optimal doses in vivo that were insufficient to achieve this concentration.
The molecular pathway by which the PT-100 interaction with FAP or a similar dipeptidyl peptidase increases cytokine production by stromal cells remains to be determined. Acetylation of the amino-terminus of PT-100 greatly reduced its dipeptidyl peptidase inhibitory activity and its hematopoietic activity; therefore, specific interaction of PT-100 with the catalytic site of the target dipeptidyl peptidase seems to be required for hematopoietic stimulation. Although its exact biologic role has yet to be identified, CD26/DPP-IV has been reported to modulate the activity of the chemokines RANTES and SDF1-α/β, certain neuropeptides, and the GLP-1 and -2 peptide hormones by catalytic removal of N-terminal dipeptides.12 By analogy, in hematopoiesis, the basal production of cytokines in BM stromal cells might be maintained by autocrine activity of polypeptides whose biologically active half-life is regulated by FAP. On the other hand, FAP activity might regulate interactions of cell surface proteins involved in cytokine regulation. Whether FAP or CD26 is involved in regulating a particular biologically active polypeptide by proteolytic cleavage might be determined by subtle differences in substrate specificity between the 2 enzymes, such as preference for certain amino-terminal residues preceding Pro/Ala,29 polypeptide size,13 or posttranslational modification.11
In conclusion, the present study demonstrates that it is possible to develop a small synthetic molecule with the ability to stimulate the biologically complex process of hematopoiesis. PT-100 is an extremely interesting therapeutic candidate for the treatment of hematopoietic disorders such as neutropenia and anemia, and its activity emphasizes the regulatory role of dipeptidyl peptidases in hematopoiesis.
Prepublished online as Blood First Edition Paper, May 8, 2003; DOI 10.1182/blood-2003-01-0208.
Five of the authors (B.J., S.A., G.T.M., M.I.J., B.P.W.) have declared financial interest in a company (Point Therapeutics Inc) whose potential product was studied in the present work. Four of the authors (B.J., S.A., G.T.M., M.I.J.) are employed by a company (Point Therapeutics) whose potential product was studied in the present work.
The publication costs of this article were defrayed in part by page charge payment. Therefore, and solely to indicate this fact, this article is hereby marked “advertisement” in accordance with 18 U.S.C. section 1734.
We thank Richard Benjamin for advice throughout the course of the studies, Richard Flavell and Paul Allen for reviewing the manuscript, and Herman Eisen for discussion and useful critique.





