A cell culture system consisting of mouse S17 stromal cells supplemented with cytokines was developed for hematopoietic differentiation of rhesus monkey embryonic stem (ES) cells. The differentiated colonies that formed contained clusters of hematopoietic-like cells, as well as structures similar in appearance to embryonic blood islands. When this culture system was supplemented with bone morphogenetic protein 4 (BMP-4), the numbers of primary hematopoietic clusters increased by an average of 15 fold. The primary hematopoietic clusters containing clonogenic precursors (expandable hematopoietic clusters) increased by 18 fold. Immunofluorescence analysis showed that a substantial percentage of the hematopoietic-like cells were CD34+, with morphologic features of undifferentiated blast cells. Enrichment of the CD34+ cells was associated with enhanced stromal-dependent, cytokine-driven formation of cobblestone colonies on secondary plating. The hematopoietic identity of the precursors was further indicated by their expression of genes associated with hematopoietic differentiation, as well as morphologic assessments that showed erythroid and myeloid lineages among the progeny cells. In addition, reverse transcriptase–polymerase chain reaction analysis of BMP-4–treated rhesus monkey ES cells demonstrated an up-regulation of early-expressed genes responsible for embryonic hematopoiesis and angiogenesis during the first 7 days of culture. These observations suggest that embryonic mesoderm regulatory protein may mimic physiologic signals that are required for the onset of embryonic hematopoiesis and stem cell formation in rhesus monkey ES cells.
Introduction
Cultures of pluripotent embryonic stem (ES) cells have been established from several mammalian species, including nonhuman primates and humans.1-7 These cells have the potential to differentiate to form progeny cells representative of the various tissues and organs of the body.8-12 The potential of ES cells to differentiate in vitro to form hematopoietic precursors has been investigated extensively but almost exclusively in mice. These studies established the ability of mouse ES cells to form hematopoietic progenitor cells with progeny characteristic of erythroid, myeloid, and lymphoid lineages.11,13,14 When culture conditions that maintain mouse ES cells in the undifferentiated state are discontinued, the cells typically undergo spontaneous differentiation, with the formation of embryoid bodies (EBs). Under appropriate culture conditions, EBs can further differentiate to form primitive blood islands and can ultimately be stimulated to form each of the definitive hematopoietic lineages.15-18 In culture systems that included bone marrow stromal cells with or without hematopoietic growth factors, mouse ES cells differentiated to form blood cell precursors in the absence of EB formation.19 20
Bone morphogenetic proteins (BMPs) are members of the transforming growth factor β growth factor superfamily that have been shown to play a pivotal role in the patterning of embryonic ventral mesoderm and the formation of precursors for hematopoietic and endothelial cells.21-23 In Xenopus embryos, ectopic expression of BMP-4 induced secondary expression of the hematopoietic-specific transcription factors GATA-1, GATA-2, andscl, as well as globin genes.21,24-26 BMP-4 was also required for mesoderm and hemoglobin induction in EBs during the hematopoietic differentiation of mouse ES cells in chemically defined media.27,28 BMP-4 and vascular endothelial growth factor (VEGF) were also found to induce lymphohematopoietic cell generation from mouse ES cells in a serum-free environment.29
The development of nonhuman primate ES cell lines provides new opportunities for the study of early hematopoiesis in species more closely related to humans. In this study, we examined the basic culture environment for induction of hematopoietic development of rhesus monkey ES cells in vitro by using S17 mouse bone marrow stromal cells30 and combinations of hematopoietic cytokines. Using this culture system, we found that BMP-4 is an important factor in the induction of the hematopoietic differentiation of rhesus monkey ES cells.
Materials and methods
Maintenance of the rhesus monkey ES cell line
The R366.4 rhesus monkey ES cell line was described previously.12 Cells were maintained in the undifferentiated state by coculture with irradiated murine embryonic feeder cells (Figure 1). ES and feeder cells were cultured in gelatin-coated flasks in Dulbecco modified Eagle medium (Gibco, St Louis, MO) supplemented with 15% fetal-calf serum (FCS; Hyclone, Logan, UT), 1 mM glutamine, 1 × 10−4 M 2-mercaptoethanol, and 2% minimum essential medium amino acids solution (Gibco).
Phase-contrast photomicrograph of an undifferentiated rhesus monkey ES cell colony (magnification, ×100).
Phase-contrast photomicrograph of an undifferentiated rhesus monkey ES cell colony (magnification, ×100).
Induction of hematopoietic differentiation of rhesus ES cells
Layers of murine S17 bone marrow stromal cells (kindly provided by Dr Kenneth Dorshkind, University of California Los Angeles Medical Center) were preformed in gelatin-coated, 6-well culture plates in Iscoves modified Dulbecco medium (IMDM; Gibco) supplemented with 15% FCS. For studies of induction of hematopoietic differentiation, trypsin-treated R366.4 ES cells (4000/well) were seeded on S17 layers in IMDM supplemented with 8% horse serum (Gibco), 8% FCS, 5 × 10−6 M hydrocortisone, 20 ng/mL BMP-4 (R&D Systems, Minneapolis, MN), and various combinations of recombinant human stem cell factor (SCF; 20 ng/mL), interleukin 3 (IL-3; 20 ng/mL), interleukin 6 (IL-6; 10 ng/mL), VEGF (20 ng/mL), granulocyte colony-stimulating factor (G-CSF; 20 ng/mL), Flt3 ligand (10 ng/mL), and erythropoietin (Epo; 2 U/mL) (R&D Systems). After the formation of the primary hematopoietic clusters, fresh doses of SCF, IL-3, IL-6, VEGF, G-CSF, Flt3 ligand, Epo, and granulocyte-macrophage colony-stimulating factor (GM-CSF; 20 ng/mL) (R&D Systems) were added to stimulate the expansion of hematopoietic precursor cells in the primary culture.
Characterization of differentiated ES colonies
Clusters of hematopoietic cells (≥ 20 cells) in differentiated ES colonies were counted by using an inverted microscope. Cytospin preparations of detached hematopoietic cells from after the appearance of the hematopoietic clusters, as well as from the expansion cultures and secondary plating cultures, were stained with Wright-Giemsa stain for morphologic examination. Complementary DNA (cDNA) was synthesized from some of the cultures by using total RNA extracts from cells harvested from the primary cultures. Expression of hematopoietic and endothelium-associated genes was assessed with reverse transcriptase–polymerase chain reaction (RT-PCR) using sets of primers specific for rhesus monkey sequences.
Flow cytometry analysis and in situ immunofluorescence staining
Differentiated ES colonies and cytospin preparations of hematopoietic cells from the differentiated colonies were stained with biotinylated antirhesus CD34 antibody (clone 12.8, Baxter, Deerfield, IL), with streptavidin–fluorescein isothiocyanate–conjugated (FITC; BD Pharmingen, San Diego, CA) as a secondary reagent. The slides and the in situ preparations were examined with a fluorescence microscope. Digital fluorescent images were overlaid with the respective visible light images by using Photoshop image software (Adobe, San Jose, CA). For flow cytometry analysis, differentiated rhesus monkey ES colonies from day 14 to day 16 of culture were rinsed from the culture wells by gentle pipetting. The cells were then passed through a 70-μm nylon cell strainer (Falcon; BD Biosciences), washed with phosphate-buffered saline (Life Technologies, Rockville, MD) supplemented with 1% bovine albumin, and stained with biotinylated antirhesus CD34 (clone 12.8; Baxter) and streptavidin-FITC. The stained hematopoietic cells were analyzed, and the CD34+ cells were sorted (EPICS 753 fluorescence-activated cell sorter; Coulter, Fullerton, CA) for secondary plating and morphologic examination.
RT-PCR analysis of genes associated with the hematopoietic differentiation of rhesus monkey ES cells
ES cells were plated on preformed S17 cell feeder layers with IMDM supplemented with 8% horse serum, 8% FCS, 5 × 10−6 M hydrocortisone, and 20 ng/mL BMP-4. Single-stranded cDNA was synthesized from total RNA extracted from cells harvested on days 3, 5, and 7. Rhesus-specific primers were designed to avoid interference from mouse stromal cells. For semiquantitative comparisons, the cDNA template amounts were standardized against the relative expression of the hypoxanthine phosphoribosyltransferase gene from each cDNA sample.
Assays of cobblestone-area–forming colonies
Hematopoietic cells, as well as CD34+ cells from the primary cultures, were plated on preformed S17 layers with IMDM supplemented with 8% horse serum, 8% FCS, 5 × 10−6 M hydrocortisone, and combinations of SCF (20 ng/mL), IL-3 (20 ng/mL), IL-6 (10 ng/mL), G-CSF (20 ng/mL), VEGF (20 ng/mL), Flt3 ligand (10 ng/mL), GM-CSF (20 ng/mL), and Epo (2 U/mL). Secondary cobblestone-area–forming colonies (CAFCs) (defined as clusters with ≥ 50 adherent, round blast-like cells) were counted after 12 or more days of culture. The progeny cells from the CAFCs were stained with Wright-Giemsa stain in cytospin preparations.
Results
Hematopoietic differentiation of rhesus monkey ES cells required coculture with S17 bone marrow stromal cells and hematopoietic growth factors
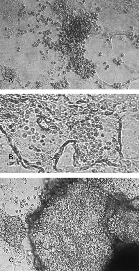
We initially grew the rhesus monkey ES cells in suspension cultures or with methylcellulose, with or without added hematopoietic growth factors. Under these culture conditions, the rhesus ES cells underwent differentiation to form large, epithelial-like cells but not colonies. When the rhesus ES cells were cocultured with S17 cells, large differentiated colonies were first observed after 14 days. On day 17 of differentiation, a few of these colonies developed clusters of cells that had the morphologic features of hematopoietic blast cells (Figure 2A). Some of these clusters were encircled by endothelial-like cells forming structures similar to embryonic blood islands (Figure 2B). These clusters, however, were observed in only 2 of 10 experiments and in very low numbers, with a mean ± SD of 0.2 ± 0.63 clusters/4000 ES cells plated (n = 10).
Phase-contrast photomicrographs of hematopoietic-like clusters from differentiated ES colonies.
(A) A hematopoietic-like cluster (magnification, ×100). (B) A hematopoietic-like cluster showing morphologic characteristics similar to an embryonic blood island (magnification, ×100). (C) A hematopoietic-like cluster induced by BMP-4 (magnification, ×100).
Phase-contrast photomicrographs of hematopoietic-like clusters from differentiated ES colonies.
(A) A hematopoietic-like cluster (magnification, ×100). (B) A hematopoietic-like cluster showing morphologic characteristics similar to an embryonic blood island (magnification, ×100). (C) A hematopoietic-like cluster induced by BMP-4 (magnification, ×100).
When hematopoietic growth factors (SCF, IL-3, IL-6, VEGF, G-CSF, and Epo) were added to the cultures, hematopoietic-like clusters were observed in 17 of the 18 experiments we conducted. The mean ± SD number of hematopoietic-like clusters on day 17 of differentiation culture was 6.11 ± 3.98 clusters/4000 plated ES cells (n = 18). No hemoglobinized cells were observed in these clusters.
BMP-4 enhanced hematopoietic development of rhesus monkey ES cells
Because of the evidence implicating BMP-4 in the formation of hematopoietic precursors from ventral mesoderm in Xenopusembryos21,22 and murine ES cells,27 29 we tested BMP-4 in our ES cell differentiation cultures. In the initial 3 experiments, BMP-4 induced consistent and efficient hematopoietic-like differentiation from ES cells cocultured with S17 cells and cytokines, in a dose-dependent manner (Table 1). In the presence of BMP-4, hematopoietic-like clusters emerged earlier (day 13 of culture versus day 17), the blood-island–like structures appeared to be larger, and the clusters contained more blast-like cells (Figure 2C). In 13 paired experiments, BMP-4 consistently increased the formation of day-13 clusters by an average of 15 fold (mean ± SD, 48.6 ± 34.6 clusters versus 3.2 ± 4.3 clusters;P < .001 on paired t testing; Table2). In addition, even when hematopoietic growth factors were not included in the differentiation cultures, BMP-4 consistently induced differentiation of hematopoietic-like clusters (mean ± SD, 10.71 ± 5.35 clusters [n = 7] versus 0.2 ± 0.63 clusters [n = 10]; P < .001 on pooled t testing) compared with results in cultures with S17 cells only.
Dose-response analysis of hematopoietic differentiation induced by bone morphogenetic protein 4
| Experiment no. . | BMP-4 dose (ng/mL) . | |||
|---|---|---|---|---|
| 0 . | 10 . | 20 . | 40 . | |
| 1 | 7 | 21 | 32 | NT |
| 2 | 2 | 14 | 32 | NT |
| 3 | 0 | 31 | 52 | 11 |
| Experiment no. . | BMP-4 dose (ng/mL) . | |||
|---|---|---|---|---|
| 0 . | 10 . | 20 . | 40 . | |
| 1 | 7 | 21 | 32 | NT |
| 2 | 2 | 14 | 32 | NT |
| 3 | 0 | 31 | 52 | 11 |
Rhesus monkey embryonic stem (ES) cells were cocultured with S17 stromal cells containing stem cell factor (SCF), interleukin 3 (IL-3), interleukin 6 (IL-6), vascular endothelial growth factor (VEGF), granulocyte colony-stimulating factor (G-CSF), and erythropoietin (Epo). In experiment 3, Flt3 ligand was included with the hematopoietic cytokines. Values are the numbers of hematopoietic-like clusters/4000 rhesus monkey ES cells on day 13 of culture.
NT indicates not tested.
Development of hematopoietic clusters from differentiated rhesus monkey ES cells
| Experiment no. . | Hematopoietic clusters* . | Expandable hematopoietic clusters† . | ||
|---|---|---|---|---|
| Control . | BMP-4 . | Control . | BMP-4 . | |
| 1 | 7 | 32 | 0 | 68 |
| 2 | 0 | 27 | 0 | 65 |
| 3 | 0 | 7 | 0 | 43 |
| 4 | 2 | 32 | 2 | 57 |
| 5 | 10 | 92 | 18 | 71 |
| 6 | 0 | 52 | 6 | 142 |
| 7 | 0 | 6 | 0 | 18 |
| 8 | 0 | 3 | 0 | 15 |
| 9 | 12 | 84 | NT | NT |
| 10 | 1 | 82 | NT | NT |
| 11 | 7 | 62 | NT | NT |
| 12 | 1 | 106 | NT | NT |
| 13 | 1 | 47 | NT | NT |
| Experiment no. . | Hematopoietic clusters* . | Expandable hematopoietic clusters† . | ||
|---|---|---|---|---|
| Control . | BMP-4 . | Control . | BMP-4 . | |
| 1 | 7 | 32 | 0 | 68 |
| 2 | 0 | 27 | 0 | 65 |
| 3 | 0 | 7 | 0 | 43 |
| 4 | 2 | 32 | 2 | 57 |
| 5 | 10 | 92 | 18 | 71 |
| 6 | 0 | 52 | 6 | 142 |
| 7 | 0 | 6 | 0 | 18 |
| 8 | 0 | 3 | 0 | 15 |
| 9 | 12 | 84 | NT | NT |
| 10 | 1 | 82 | NT | NT |
| 11 | 7 | 62 | NT | NT |
| 12 | 1 | 106 | NT | NT |
| 13 | 1 | 47 | NT | NT |
In control cultures, rhesus monkey ES cells were cocultured with S17 stromal cells in the presence of hematopoietic cytokines. BMP-4 was added at a concentration of 20 ng/mL. For experiments 1 to 4, SCF, IL-3, IL-6, G-CSF, VEGF, and Epo were included. For experiments 5 to 13, Flt3 ligand was also added.
NT indicates not tested.
Values are the numbers of hematopoietic clusters/4000 ES cells on day 13 of primary culture.
Values are the numbers of proliferated clusters after the appearance of primary hematopoietic clusters on day 13 of differentiation culture; expansion growth was continued for an additional 5 to 7 days.
BMP-4 enhanced formation of clonogenic precursors from differentiated clusters
To test whether the hematopoietic-like clusters contained clonogenic precursors, fresh doses of SCF, IL-3, IL-6, GM-CSF, G-CSF, VEGF, Flt3 ligand, and Epo were added to the primary cultures at the point at which hematopoietic-like clusters appeared. From some of the clusters, hematopoietic-like blast cells proliferated and migrated outward after 5 to 7 days of culture, indicating that these clusters contained precursors with clonogenic potential (Figure 3A).
Phase-contrast photomicrographs of expanded hematopoietic-like clusters from differentiated ES colonies.
(A) A cluster expanded with cytokines (magnification, ×100). (B) A migrated CAFC in primary differentiation culture (magnification, ×100).
Phase-contrast photomicrographs of expanded hematopoietic-like clusters from differentiated ES colonies.
(A) A cluster expanded with cytokines (magnification, ×100). (B) A migrated CAFC in primary differentiation culture (magnification, ×100).
In cultures that did not include BMP-4, blast cells proliferated from the primary clusters induced by S17 cells and hematopoietic cytokines, but this was observed in only 7 of 13 experiments (data not shown). The expansion activity continued for at least 2 to 3 weeks, with the migrated blast cells forming new CAFCs in the primary culture (Figure3B). In one experiment, the expansion activity persisted for more than 10 weeks.
When BMP-4 alone (no hematopoietic cytokines) was added to the primary differentiation cultures, expandable clusters were observed in all 6 experiments. With the addition of BMP-4, the numbers of these clusters increased from a mean ± SD of 1.92 ± 2.56 clusters (n = 13) to 35.17 ± 15.48 clusters (n = 6; P < .001 on pooled t testing). In 8 paired experiments that included BMP-4 and the cytokine mixture as inducing elements, the mean ± SD number of expandable clusters increased by 18 fold compared with the number in cultures without BMP-4 (59.9 ± 39.7 clusters versus 3.3 ± 6.3 clusters; P < .01 on paired ttesting; Table 2). We observed that a significant number of differentiated ES colonies that had no observable hematopoietic-like clusters on day 13 of differentiation nevertheless contained clonogenic precursors, which expanded when fresh doses of hematopoietic cytokines were added to the cultures. These ES colonies were therefore included as expandable hematopoietic-like clusters in the data shown in Table 2. It appeared that the total number of expandable clusters represented the most reliable indicator of clonogenic precursors. Our observation that BMP-4 enhanced the formation of clonogenic hematopoietic-like precursors in the differentiated ES colonies is consistent with studies indicating that BMP-4 mediates the formation of clonogenic hematopoietic stem cells21 and maintains their clonogenicity in culture.31
Clonogenic precursors derived from differentiated clusters were of hematopoietic origin
To characterize and confirm the hematopoietic origin and lineage potential of the clonogenic precursors, as well as of the blood-island–like structures derived from the differentiated rhesus ES colonies, we harvested nonadherent blast cells and cell clusters from blood-island–like areas shortly after their appearance and expansion. Monocytes (Figure 4A), macrophages (Figure 4B), mature granulocytes (Figure 4C-D), megakaryocytes (Figure4E), immature myeloid blasts (Figure 4F-G), and nucleated erythroid cells (Figure 4H-I) were identified in these preparations after cytospin procedures and Wright-Giemsa staining. Gene-expression analyses of these cell preparations also showed expression of several hematopoietic genes (GATA-2, scl, IL-6, and Epo receptor) and endothelial genes (von Willebrand factor and vascular endothelial cadherin) (Table 3). These findings, which provide evidence of both hematopoietic and endothelial lineages associated with the blood-island–like structures, suggest that the differentiation of these ES cells in culture may be recapitulating the embryonic program of hematopoiesis in the developing yolk sac. Although we observed myeloid and erythroid precursor cells in the ES cell–derived hematopoietic clusters, our attempts to test for colony-forming unit (CFU) progenitor cells by plating nonadherent hematopoietic cells either immediately before or after the formation of primary ES hematopoietic clusters were unsuccessful.
Photomicrographs of hematopoietic progeny cells derived from differentiated rhesus monkey ES colonies.
(A) Granulocyte and monocyte. (B) Macrophage. (C,D) Granulocytes. (E) Megakaryocyte. (F,G) Immature blast cells. (H,I) Erythroblasts.
Photomicrographs of hematopoietic progeny cells derived from differentiated rhesus monkey ES colonies.
(A) Granulocyte and monocyte. (B) Macrophage. (C,D) Granulocytes. (E) Megakaryocyte. (F,G) Immature blast cells. (H,I) Erythroblasts.
Gene expression in differentiated rhesus monkey ES cells on day 14 of culture
| Genes . | Undifferentiated ES cells . | Clusters on day 14 . |
|---|---|---|
| KDR | ± | ± |
| CD34 | − | + |
| GATA-2 | ± | + |
| scl | − | ++ |
| IL-6 receptor | + | ++ |
| Epo receptor | − | + |
| β-hemoglobin | ± | ± |
| von Willebrand factor | − | + |
| Vascular endothelial cadherin | − | ++ |
| Genes . | Undifferentiated ES cells . | Clusters on day 14 . |
|---|---|---|
| KDR | ± | ± |
| CD34 | − | + |
| GATA-2 | ± | + |
| scl | − | ++ |
| IL-6 receptor | + | ++ |
| Epo receptor | − | + |
| β-hemoglobin | ± | ± |
| von Willebrand factor | − | + |
| Vascular endothelial cadherin | − | ++ |
Rhesus monkey ES cells underwent differentiation in the presence of S17 stromal cells, BMP-4, and hematopoietic growth factors (SCF, IL-3, IL-6, G-CSF, VEGF, Flt3 ligand, and Epo). Reverse transcriptase-polymerase chain reactions used equal amounts of complementary DNA templates adjusted according to the levels of expression of hypoxanthine phosphoribosyltransferase from each sample. For all genes studied, tests with S17 stromal cells yielded negative results with use of the same sets of primers.
A minus sign indicates not expressed; a plus-minus sign, weakly expressed; a plus sign, well expressed; and 2 plus signs, strongly expressed.
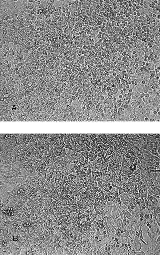
BMP-4 and Flt3 ligand enhanced formation of secondary and tertiary CAFCs
Using culture conditions that included BMP-4 and a combination of hematopoietic growth factors (SCF, IL-3, IL-6, VEGF, and G-CSF), we made comparisons with cultures that also included Flt3 ligand or thrombopoietin (TPO). The numbers of expandable hematopoietic-like clusters and replated CAFCs were compared. Although there were no significant differences in the numbers of expandable hematopoietic clusters with the various cytokine combinations (data not shown), more CAFCs were recovered in 3 secondary cultures in which Flt3 ligand was present in the primary differentiation cultures (mean ± SD, 1.00 ± 1.73 CAFCs versus 23.67 ± 13.80 CAFCs;P < .05 on paired t testing; Figure5A). In one experiment, the number of secondary CAFCs induced by cytokine combinations containing Flt3 ligand increased from 34 on day 11 of expansion to 158 on day 29 of expansion (Table 4). In addition, tertiary CAFCs were detected among the progeny cells of the secondary CAFCs in 2 of 3 experiments but only when Flt3 ligand was included in the differentiation culture (47/100 000 and 21/100 000 plated cells; Figure 5B). TPO failed to enhance the formation of CAFCs.
Phase-contrast photomicrographs of replated CAFC colonies from differentiated ES cells.
(A) Secondary CAFC colony (magnification, ×100). (B) Tertiary CAFC colony (magnification, ×100).
Phase-contrast photomicrographs of replated CAFC colonies from differentiated ES cells.
(A) Secondary CAFC colony (magnification, ×100). (B) Tertiary CAFC colony (magnification, ×100).
Cobblestone-area—forming cells induced by BMP-4 and hematopoietic cytokines
| Differentiation treatment . | Secondary CAFCs/100 000 cells . | ||
|---|---|---|---|
| Day 114-150 . | Day 224-150 . | Day 294-150 . | |
| BMP-4, SCF, IL-3, IL-6, VEGF, G-CSF, and Epo | 3 | 2 | — |
| BMP-4, SCF, IL-3, IL-6, VEGF, G-CSF, Epo, and thrombopoietin | 4 | 2 | 0 |
| BMP-4, SCF, IL-3, IL-6, VEGF, G-CSF, Epo, and Flt3 ligand | 34 | 102 | 158 |
| Differentiation treatment . | Secondary CAFCs/100 000 cells . | ||
|---|---|---|---|
| Day 114-150 . | Day 224-150 . | Day 294-150 . | |
| BMP-4, SCF, IL-3, IL-6, VEGF, G-CSF, and Epo | 3 | 2 | — |
| BMP-4, SCF, IL-3, IL-6, VEGF, G-CSF, Epo, and thrombopoietin | 4 | 2 | 0 |
| BMP-4, SCF, IL-3, IL-6, VEGF, G-CSF, Epo, and Flt3 ligand | 34 | 102 | 158 |
Nonadherent hematopoietic cells from primary ES cell differentiation cultures were replated on confluent S17 stromal cells in the presence of hematopoietic growth factors (SCF, IL-3, granulocyte-macrophage colony-stimulating factor (CM-CSF), IL-6, G-CSF, VEGF, Flt3 ligand, and Epo). The secondary cobblestone colonies were counted after 12 to 14 days of culture.
Days after expansion of hematopoietic clusters in primary culture.
Hematopoietic cells derived from rhesus monkey ES cells bear the CD34 marker
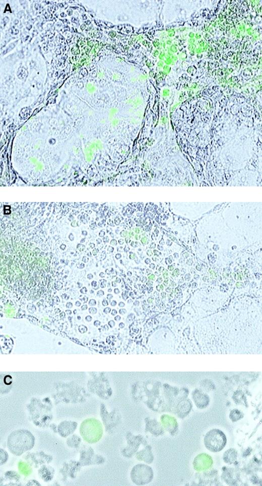
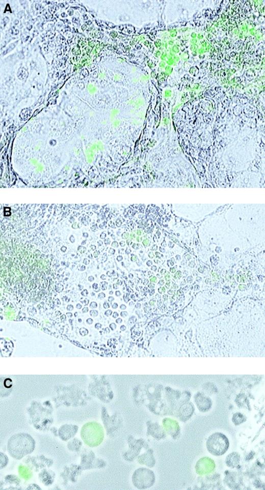
The CD34 antigen is expressed on hematopoietic stem cells and committed progenitor cells32 and may also be expressed on cell types other than hematopoietic cells. Animal transplantation studies using baboons33 and mice34-36 found that at least a subpopulation of long-term repopulating stem cells is present among CD34+ selected bone marrow cells. Biotinylated antihuman CD34 antibody (clone 12.8), which is cross-reactive with baboon and rhesus monkey bone marrow cells, was used to determine whether hematopoietic-like blast cells derived from rhesus monkey ES cells were CD34+. Using in situ immunofluorescence staining, we detected substantial numbers of CD34+ cells in the blood-island–like structures (Figure6A-B). In addition, CD34+blast cells were detected in the cytospin preparations of nonadherent hematopoietic-like cells expanded from primary hematopoietic clusters for 7 days (Figure 6C).
Phase-contrast photomicrographs of CD34+ cells from differentiated ES cell colonies.
(A,B) In situ immunofluorescence staining of CD34+ cells (magnification, ×100). (C) Immunofluorescence staining of CD34+ cells from a cytospin preparation (magnification, ×200).
Phase-contrast photomicrographs of CD34+ cells from differentiated ES cell colonies.
(A,B) In situ immunofluorescence staining of CD34+ cells (magnification, ×100). (C) Immunofluorescence staining of CD34+ cells from a cytospin preparation (magnification, ×200).
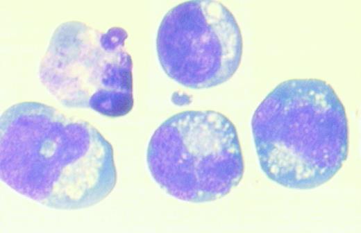
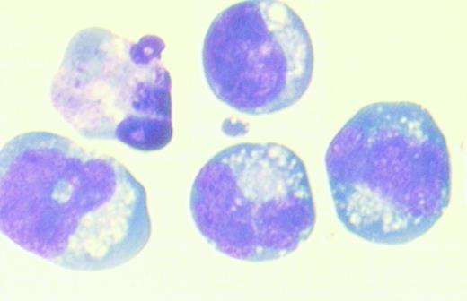
In a series of 6 experiments aimed at isolating CD34+ cells for further analysis, the combination of BMP-4, SCF, IL-3, IL-6, G-CSF, VEGF, and Flt3 ligand was added as the differentiation treatment in the S17 cell coculture. Among the viable cells gated, more than 50% expressed the CD34 antigen, as determined by immunofluorescence flow cytometry analysis (Figure 7). To confirm the specificity of the anti-CD34 antibody (clone 12.8) for rhesus monkey, a matched isotype control was used for analysis. Sorted adult rhesus monkey bone marrow CD34+ cells stained with the anti-CD34 antibody yielded numbers of myeloid CFU colonies comparable to those of cultured human CD34+ cells isolated by the same clone of anti-CD34 antibody (data not shown). When CD34+bright cells were sorted with gating of the population of small- and medium-sized cells, this fraction from preparations of differentiated hematopoietic-like cells from day 14 of culture yielded cells with morphologic features similar to those of immature bone marrow blasts (Figure 8). To confirm the clonogenic potential of the CD34+ cells, sorted cells were replated for CAFC activity, and these cells showed comparably enhanced CAFC activity (Table 5). To characterize the hematopoietic lineage potential of the CD34+ CAFCs, cytospin preparations of the progeny cells were stained with Wright-Giemsa stain. Cells with the morphologic characteristics of myeloid blast cells, granulocytes, and macrophages (but not erythroblasts or megakaryocytes) were detected.
Immunofluorescence flow cytometry analysis of CD34 surface markers of differentiated rhesus monkey ES cells.
CD34+ cells were defined as cells with dim and bright fluorescence intensity compared with the isotype control.
Immunofluorescence flow cytometry analysis of CD34 surface markers of differentiated rhesus monkey ES cells.
CD34+ cells were defined as cells with dim and bright fluorescence intensity compared with the isotype control.
Photomicrograph of sorted CD34+ cells from differentiated rhesus monkey ES colonies.
Cell populations of medium and small size were gated. CD34+cells with bright fluorescence intensity were sorted and stained with Wright-Giemsa stain after cytospin preparation (magnification, ×1000).
Photomicrograph of sorted CD34+ cells from differentiated rhesus monkey ES colonies.
Cell populations of medium and small size were gated. CD34+cells with bright fluorescence intensity were sorted and stained with Wright-Giemsa stain after cytospin preparation (magnification, ×1000).
CAFCs on day 20 of culture from sorted CD34+cells derived from rhesus monkey ES cells
| Cells (% of CD34+ cells) . | No. of cells plated . | CAFC count . | CAFCs/50 000 cells . |
|---|---|---|---|
| Unsorted (52%) | 50 000 | 11 | 11 |
| 50 000 | 12 | 12 | |
| Sorted (98.9%) | 5000 | 2 | 20 |
| 10 000 | 4 | 20 | |
| 20 000 | 5 | 13 | |
| 25 000 | 12 | 24 |
| Cells (% of CD34+ cells) . | No. of cells plated . | CAFC count . | CAFCs/50 000 cells . |
|---|---|---|---|
| Unsorted (52%) | 50 000 | 11 | 11 |
| 50 000 | 12 | 12 | |
| Sorted (98.9%) | 5000 | 2 | 20 |
| 10 000 | 4 | 20 | |
| 20 000 | 5 | 13 | |
| 25 000 | 12 | 24 |
Rhesus monkey ES cells underwent differentiation in the presence of S17 stromal cells, BMP-4, and hematopoietic growth factors (SCF, IL-3, IL-6, G-CSF, VEGF, Flt3 ligand, and Epo). On day 14, hematopoietic-like blast cells were harvested and sorted for CD34+ cells. The CD34+ cells were replated on S17 stromal cell layers in the presence of 20 ng/mL SCF, IL-3, G-CSF, GM-CSF, and VEGF, 10 ng/mL Flt3 ligand and IL-6, and 2 U/mL Epo.
BMP-4 up-regulated expression of genes associated with embryonic hematopoietic development
To gain further understanding of the role of BMP-4 in directing rhesus monkey ES cells to hematopoietic commitment, we conducted semiquantitative RT-PCR comparisons of the expression of a panel of genes associated with early hematopoiesis. Among the genes tested, KDR, CD34, GATA-2, scl, Epo receptor, c-kit, and IL-6 receptor were up-regulated by BMP-4 during the first 7 days of differentiation culture of the ES cells (Figure9). These results suggest that BMP-4 may act by initiating genetic programs that trigger the embryonic onset of blood cell development.
RT-PCR analysis of gene expression by BMP-4–treated ES cells.
BM indicates rhesus monkey bone marrow cells; ES, undifferentiated ES cells; c, BMP-4–treated S17 cells; plus sign, BMP-4–treated ES cells; and minus sign, ES cells without BMP-4.
RT-PCR analysis of gene expression by BMP-4–treated ES cells.
BM indicates rhesus monkey bone marrow cells; ES, undifferentiated ES cells; c, BMP-4–treated S17 cells; plus sign, BMP-4–treated ES cells; and minus sign, ES cells without BMP-4.
Discussion
These experiments were the first to demonstrate the potential of nonhuman primate (rhesus monkey) ES cells to develop into hematopoietic precursor cells in vitro. Our results show that S17 murine stromal cells and exogenous hematopoietic growth factors promote minimal hematopoietic differentiation of these ES cells and that BMP-4 is a crucial factor in promoting robust hematopoietic development from pluripotent rhesus monkey ES cells. BMP-4 stimulated expression of a group of hematopoiesis-associated genes in the ES cells in the first week of differentiation culture and also induced a significant increase in hematopoietic clusters among the differentiated ES colonies. We also demonstrated that the blast-like cells obtained from these cultures contained CD34+ clonogenic precursors that were replatable in stroma-dependent culture conditions. Cytologic and gene-expression analyses provided additional evidence of the hematopoietic origin of the differentiated cells. These findings raise the possibility that, apart from the contributions of stromal cells and hematopoietic cytokines, embryonic mesoderm regulatory proteins may have the potential to mimic physiologic signals required for the onset of hematopoiesis and the formation of hematopoietic stem cells from primate ES cell lines.
Although BMP-4, one of the well-defined mesoderm regulatory proteins, was implicated in early embryonic hematopoietic development in previous studies,21-25,27,28,37 its effect as an added agent to induce controlled hematopoietic differentiation was observed in mouse ES cells only when the culture medium was free of animal serum.29 Moreover, in the mouse system, the effect of BMP-4 in supporting hematopoietic development was no greater than that of serum, thereby suggesting that serum supplements alone would be sufficient to support hematopoietic differentiation of mouse ES cells. In contrast to these observations in mouse cells, efficient hematopoietic development and maintenance of hematopoietic precursors from rhesus monkey ES cells clearly required the presence of exogenous BMP-4, even when the culture environment was supplemented with animal serum. This finding indicates that significant differences may exist in the hematopoietic growth requirements of ES cell lines from different animal species. It may also imply that the rhesus ES cell system is particularly useful for exploring the roles of other embryonic mesoderm regulatory proteins in embryonic hematopoiesis.
We also demonstrated the presence of clonogenic precursors among the hematopoietic clusters from BMP-4–induced rhesus ES colonies. These precursors proliferated in the primary cultures in response to hematopoietic growth factors and, on secondary and tertiary plating on S17 stromal layers, grew into cobblestone blast cell colonies; moreover, enhanced CAFC activity was associated with expression of the CD34 antigen. We were, however, unsuccessful in our efforts to detect CFU progenitor cells among these precursors. Because CFU progenitor cells are readily demonstrable in differentiated mouse ES cells, we do not know why we did not detect these cells in the rhesus monkey ES cells. Also, because in vitro clonogenic potential has never been shown to be a reliable indicator of in vivo engraftment, bone marrow reconstitution by these hematopoietic precursors must ultimately be examined in animal transplantation models.
Observations regarding the biologic and growth properties of ES cell lines derived from human blastocysts5 have made it apparent that rhesus monkey ES cells have properties very similar to ES cells derived from human embryos. Rhesus monkey ES cells therefore appear to represent an excellent model for studying the early steps in human hematopoiesis in vitro. If it eventually appears desirable to develop means for using human ES cells as a source of hematopoietic stem cells for transplantation, the rhesus monkey model could serve as a useful model for preliminary investigations.
We thank Drs Jianxun Li and Ximing Zhou (School of Dentistry, University of Illinois at Chicago) for assistance with graphic photographic imaging; Dr Karen Hagen (Research Resource Center, University of Illinois at Chicago) for flow cytometry analyses; and Dr Harry Malech (Laboratory of Host Defenses, National Institute of Allergy and Infectious Diseases) for supplying antirhesus CD34 reagent.
The publication costs of this article were defrayed in part by page charge payment. Therefore, and solely to indicate this fact, this article is hereby marked “advertisement” in accordance with 18 U.S.C. section 1734.
References
Author notes
George R. Honig, Dept of Pediatrics, M/C 856, University of Illinois at Chicago, 840 South Wood St, Chicago, IL 60612; e-mail: ghonig@uic.edu.









This feature is available to Subscribers Only
Sign In or Create an Account Close Modal