Abstract
Colony-stimulating factor 1 (CSF-1) regulates the survival, proliferation, and differentiation of mononuclear phagocytes. It is expressed as a secreted glycoprotein or proteoglycan found in the circulation or as a biologically active cell-surface glycoprotein. To investigate tissue CSF-1 regulation, CSF-1–nullCsf1op/Csf1opmice expressing transgenes encoding the full-length membrane-spanning CSF-1 precursor driven by 3.13 kilobases of the mouse CSF-1 promoter and first intron were characterized. Transgene expression corrected the gross osteopetrotic, neurologic, weight, tooth, and reproductive defects ofCsf1op/Csf1opmice. Detailed analysis of one transgenic line revealed that circulating CSF-1, tissue macrophage numbers, hematopoietic tissue cellularity, and hematopoietic parameters were normalized. Tissue CSF-1 levels were normal except for elevations in 4 secretory tissues. Skin fibroblasts from the transgenic mice secreted normal amounts of CSF-1 but also expressed some cell-surface CSF-1. Also, lacZ driven by the same promoter/first intron revealed β-galactosidase expression in hematopoietic, reproductive, and other tissue locations proximal to CSF-1 cellular targets, consistent with local regulation by CSF-1 at these sites. These studies indicate that the 3.13-kilobase promoter/first intron confers essentially normal CSF-1 expression. They also pinpoint new cellular sites of CSF-1 expression, including ovarian granulosa cells, mammary ductal epithelium, testicular Leydig cells, serous acinar cells of salivary gland, Paneth cells of the small intestine, as well as local sites in several other tissues.
Introduction
Colony-stimulating factor 1 (CSF-1), the primary regulator of mononuclear phagocyte production, also regulates cells of the female reproductive tract.1,2 The effects of CSF-1 are mediated by a high-affinity receptor tyrosine kinase (CSF-1R)3-5 encoded by the c-fmsprotooncogene.6 Complementary DNA (cDNA) clones encoding several different isoforms of both mouse and human CSF-1 have been obtained.7-12 Full-length CSF-1 cDNAs direct the expression of both secreted glycoprotein13,14 and proteoglycan15,16 forms, whereas the membrane-bound cell-surface form is derived from a truncated messenger RNA (mRNA) precursor in which the glycosaminoglycan addition site and the proteolytic cleavage sites yielding the secreted forms have been spliced out.17 The N-terminal 152 amino acids of CSF-1 are required for in vitro biological activity.1 12
Although CSF-1 is synthesized by many different cell types in vitro, the primary source of the circulating proteoglycan and glycoprotein forms is thought to be the endothelial cells that line the small blood vessels.18 However, CSF-1 is synthesized locally, eg, by osteoblasts19,20 and, during pregnancy, by uterine epithelial cells.21 It has been suggested that regulation at particular tissue sites is mediated by local synthesis of the membrane-spanning, cell-surface CSF-1 and/or selective sequestration of the secreted proteoglycan CSF-1.15,16 22
CSF-1–null Csf1op/Csf1opmice harbor an inactivating mutation in the coding region of the CSF-1 gene23-26 and are osteopetrotic because of their paucity of osteoclasts.27 They are toothless, have low body weight, low growth rate, skeletal abnormalities, and are deficient in tissue macrophages.23,27-30 In addition, they have defects in both male and female fertility, neural development, the dermis, and synovial membranes.2 Because CSF-1R expression outside the female reproductive tract is apparently restricted to mononuclear phagocytes,1,2 the pleiotropic phenotype of the Csf1op/Csf1op mouse is apparently due to a reduction in trophic and/or scavenger functions of the tissue macrophages regulated by CSF-1, secondary to the reduction of their concentration in tissues.30
Reconstitution of circulating levels of CSF-1 inCsf1op/Csf1op mice, by daily subcutaneous injection of human recombinant CSF-1 from 3 days of age, partially or completely restored many tissue macrophage populations, whereas others failed to respond and were presumed to have an embryonic requirement for CSF-1, to be present at sites inaccessible to circulating CSF-1, or to be dependent on the local production of CSF-1.30 In the present study, we have used a transgene encoding the full-length CSF-1 precursor to reconstitute circulating and tissue levels of secreted CSF-1 and some cell-surface CSF-1 expression. We have established that the forms of CSF-1 encoded by this precursor, when expressed in an essentially normal tissue-specific and developmental pattern, correct the defects reported inCsf1op/Csf1op mice, confirming that all the phenotypes found in these mice are due to the absence of CSF-1 and not due to a linked secondary mutation. We have identified regulatory regions of the CSF-1 gene that confer normal tissue-specific expression of CSF-1 and used these to drive expression of the lacZ gene, pinpointing sites of local CSF-1 production in tissues.
Materials and methods
Animals
OsteopetroticCsf1op/Csf1op mice, CSF-1 transgenic Csf1op/Csf1opand littermate controls (+/+ or +/Csf1op), as well as the lacZ transgenic mice were bred and maintained on a segregating (C57BL/6J × C3Heb/FeJ-a/a) background behind a barrier. Csf1op/Csf1opmice were identified by the absence of incisor eruption at 10 days of age and were fed a powdered mixture of mouse food ad libitum and infant formula (Enfamil) daily. Transgenic mice and control mice received mouse chow.
Transgene constructs and production of transgenic animals
For the TgN(FLCsf1)Ers transgene construct, a λ-phage insert containing 6.4 kilobases (kb) of the mouse CSF-1 promoter (3.13 kb),31 exon 1, and the first intron (3.28 kb) was fully sequenced and subcloned, in stages, into a pGEM 3Z-based plasmid containing exons 2 to 9 of mouse CSF-1 cDNA from pGEM2MCSF5310 together with human growth hormone (hGH) poly(A) addition sequences obtained from plasmid pOGH32(Figure 1). The hGH poly(A) sequences were included to ensure proper processing of the transgene mRNA. High concentrations of CSF-1 were detected in the culture medium fromCsf1op/Csf1op fibroblasts transfected with the construct. The CSF-1 transgene was excised from the vector by digestion with BglII and EcoRI enzymes and the purified, linearized DNA injected into fertilized oocytes of C57BL/6 ×FVB F1 mice. Of 3 founder mice, 2,TgN(FLCsf1)2Ers/+ and TgN(FLCsf1)4Ers/+, transmitted the transgene to progeny, which were mated to+/Csf1op mice to generateCsf1op/Csf1op; TgN(FLCsf1)Ers/+ and littermate control (+/+,+/Csf1op, andCsf1op/Csf1op) mice. For the TgN(Csf1-Z)Ers transgene construct, the ATG start codon in the CSF-1 promoter/intron 1 fragment was mutated by polymerase chain reaction (PCR)-based in vitro mutagenesis and the mutated fragment cloned upstream of a lacZ gene cassette33 containing the ATG start codon, a nuclear localization sequence, lacZcoding region, and SV40 poly(A) addition sequence (Figure 1). One founder mouse, TgN(Csf1-Z)1Ers/+, obtained as described above, transmitted the transgene to progeny.
Transgene constructs.
(A) Genomic organization of the human CSF-1 gene, in which the mouse CSF-1 intron–exon boundaries are conserved, showing exons (1-10), reported alternative splicing events (I-V), oligonucleotide primers forCsf1op mutation genotyping (P1, P2), and the exon 10 RPA probe used to detect exon 10–containing mRNA expression. (B) TgN(FLCsf1)Ers, or TgC, encoding full-length mouse CSF-1 and comprising exons 2 to 9, derived from alternative splicings I and IV and the hGH poly(A) addition site (hatched), under the control of the CSF-1 promoter and first intron, showing relevant restriction enzyme sites, the oligonucleotide primers used for genotyping (P3, P4), the transmembrane domain (TM), and the RPA probe used to detect the transgene and exon 9–containing mRNAs. (C) TgN(Csf1-Z)Ers, or TgZ, encoding lacZ under the control of the CSF-1 promoter and first intron. Positions of the mutated ATG (*ATG), translation start codon (ATG), SV40 nuclear localization sequence (NLS) (checkered),lacZ coding sequence, SV40 polyadenylation signal (heavy crosshatch), and oligonucleotide primers (P5, P6) used to detect the transgene by PCR are indicated.
Transgene constructs.
(A) Genomic organization of the human CSF-1 gene, in which the mouse CSF-1 intron–exon boundaries are conserved, showing exons (1-10), reported alternative splicing events (I-V), oligonucleotide primers forCsf1op mutation genotyping (P1, P2), and the exon 10 RPA probe used to detect exon 10–containing mRNA expression. (B) TgN(FLCsf1)Ers, or TgC, encoding full-length mouse CSF-1 and comprising exons 2 to 9, derived from alternative splicings I and IV and the hGH poly(A) addition site (hatched), under the control of the CSF-1 promoter and first intron, showing relevant restriction enzyme sites, the oligonucleotide primers used for genotyping (P3, P4), the transmembrane domain (TM), and the RPA probe used to detect the transgene and exon 9–containing mRNAs. (C) TgN(Csf1-Z)Ers, or TgZ, encoding lacZ under the control of the CSF-1 promoter and first intron. Positions of the mutated ATG (*ATG), translation start codon (ATG), SV40 nuclear localization sequence (NLS) (checkered),lacZ coding sequence, SV40 polyadenylation signal (heavy crosshatch), and oligonucleotide primers (P5, P6) used to detect the transgene by PCR are indicated.
Genotypic analysis
Genotype analysis of the chromosomalCsf1op allele in transgenic animals and their nontransgenic littermates was carried out by PCR using primers P1 (CGCATGGTCTCATCTATTATGTCTTG) and P2 (GAATACAGGAACCAGGAGGTTAGCACCTGG). These oligonucleotides respectively match sequences upstream and downstream of the Csf1op mutation site in exon 4 (Figure 1A). The resulting 130–base pair (bp) Csf1 and 131-bp Csf1op PCR products were separated in acrylamide sequencing gels. PCR products were detected either by the incorporation of 35S dATP in the PCR reaction followed by autoradiography or, alternatively, by labeling one of the amplimers with a fluorescent dye (6-Fam, Applied Biosystems, Foster City, CA) for automated detection using a long-range automated sequencer (Perkin Elmer-Applied Biosystems, Foster City, CA).
Founder mice expressing the CSF-1 transgene were first detected by Southern hybridization of mouse tail DNA samples digested withDraIII and probed with a 32P-labeled CSF-1 cDNA insert from plasmid pGEM2MCSF53.10 Subsequent TgN(FLCsf1)Ers transgene genotype analysis was carried out by multiplex PCR using primers P3 (GCAGCTGTTAAAACTAATGTGATCTTAATC) and P4 (ATGAGGACAGACAGGTGGAACTGCCAGTAATGAAG) to detect transgene (Figure 1B).
Expression of TgN(Csf1-Z)1Ers was detected using primers P5 (CCCAACTTAATCGCCTTGCAGCACATCCCC) and P6 (CTGCCAGTTTGAGGGGACGACGACAGTATC) (Figure 1C).
Measurement of CSF-1
Analyses of mRNAs
Ribonuclease protection assays (RPAs) were carried out using an RPA II kit (Ambion, Austin, TX) by probing 10 μg of DNase1-treated total tissue RNA with 32P-labeled RNA probes synthesized using a MAXIscript Sp6/T7 kit (Ambion) from linearized PCR-vector (Invitrogen, Carlsbad, CA)–based intermediate plasmid DNA, in which PCR products for the exon 9/hGH RPA probe (from the BamHI site of exon 6 to the SmaI site of the hGH untranslated region [UTR], including the hGH poly(A) addition site, Figure 1B) and exon 10 probe (Figure 1A) were amplified from TgN(FLCsf1)Ers DNA and pGEM2MCSF10 DNA,10 respectively.
X-ray analysis of mouse skeletal structure
Radiographs were produced by exposing euthanized or anesthetized mice in a Faxitron pathology specimen x-ray cabinet (Faxitron X-Ray, Buffalo Grove, IL). The animals were posed immediately above a fine-grained Polaroid 665 instant-negative film package. Exposure was set at 50 kV for 1.5 minutes. The negatives were developed and printed according to the manufacturer's instructions (Polaroid, Cambridge, MA).
Immunohistochemistry, histochemistry, and flow cytometry
For immunostaining with rat monoclonal antibody F4/8037 and histochemical localization of tartrate-resistant acid phosphatase (TRAP), siblings of the different genotypes were perfused and tissues fixed, decalcified (knee joint only), embedded, sectioned, and immunostained as described.30 F4/80+ cells in tissue sections of at least 2 mice of a particular genotype at each age were quantitated as described.30 For localization of β-galactosidase, 5-mm tissue cubes were fixed and stained by incubation with 4-chloro-5-bromo-3-indolyl-b-d-galactopyranoside as described.38 Alternate 5- and 20-mm sections were used for hematoxylin and eosin (H&E) staining and for observation of β-galactosidase localization, respectively. For all of the tissues shown, there was minimal β-galactosidase staining in nontransgenic tissues. For flow cytometry analysis of cell-surface CSF-1, single-cell suspensions of primary skin fibroblasts were made from +/+,+/Csf1op, Csf1op/Csf1op,and Csf1op/Csf1op; TgN(FLCsf1)2Ers/+mice and incubated sequentially with rat antimouse CSF-1 YYG106 monoclonal (2 μg/106 cells)35 and phycoerythrin–goat antirat and phycoerythrin-conjugated rabbit antigoat antibodies. Fluorescence-activated cell sorter (FACS) analyses were done with a Becton Dickinson FACSCalibur (San Jose, CA) in the FACS facility of Albert Einstein College of Medicine.
Hematopoietic parameters
Red cell lysis, antibody staining (FITC-CD45.2 and PerCp-B220, Pharmingen, San Diego, CA), and FACS and data analysis of heparinized blood samples were standard procedures carried out as described.39 Spleen and bone marrow cell suspensions were assayed for colony-forming cells of high proliferative potential (HPP-CFC) and low proliferative potential (CFU-C) as previously described.40 BFU-E (burst-forming unit–erythroid) and CFU-GEMM (colony-forming unit–granulocyte, erythroid, macrophage, megakaryocyte) assays were performed using reagents supplied by Stem Cell Technology, as described by the manufacturers (Stem Cell Technologies, Vancouver, BC, Canada).
Results
Circulating levels of CSF-1 and fibroblast CSF-1 expression inCsf1op/Csf1opmice expressing the full-length CSF-1 transgene, TgN(FLCsf1)Ers
The CSF-1 transgene, TgN(FLCsf1)Ers, included the first intron to increase the likelihood of efficient expression of the transgene and an additional 700-bp hGH poly(A) addition site sequence downstream of the CSF-1 cDNA (Figure 1B), because the 2 kb (exon 9 5′ UTR) CSF-1 cDNA does not contain a canonical mRNA poly(A) addition site sequence. Southern analysis of the tail DNA of 2 transgenic founder mice revealed that each contained multiple copies (TgN(FLCsf1)2Ers/+, about 10, and TgN(FLCsf1)4Ers/+, about 40) of the complete CSF-1 transgene (data not shown). In contrast toCsf1op/Csf1op mice, which expressed no detectable circulating CSF-1, eitherCsf1op/Csf1op; TgN(FLCsf1)2Ers/+mice or +/Csf1op TgN(FLCsf1)2Ers/+mice possessed serum CSF-1 concentrations indistinguishable from those of +/+ or +/Csf1op mice (Table1). However, the serum CSF-1 concentrations of Csf1op/Csf1op; TgN(FLCsf1)4Ers/+ mice, containing about 4 times higher levels of the transgene, were 3 times those of +/Csf1opmice (Table 1). Despite the higher than normal levels of circulating CSF-1 in the Csf1op/Csf1op; TgN(FLCsf1)4Ers/+ mice, careful examination of 15Csf1op/Csf1op; TgN(FLCsf1)4Ers/+mice revealed that they possessed the same gross phenotype (see below) as Csf1op/Csf1op; TgN(FLCsf1)2Ers/+, +/+, or +/Csf1op mice and were similarly fertile. Further detailed studies ofCsf1op/Csf1op mice expressing TgN(FLCsf1)Ers reported here used theCsf1op/Csf1op; TgN(FLCsf1)2Ers/+mice (TgN(FLCsf1)2Ers is henceforth abbreviated TgC). Skin fibroblasts from Csf1op/Csf1op; TgC/+ mice secreted CSF-1 in amounts equivalent to +/Csf1opfibroblasts but less than +/+ fibroblasts and expressed approximately a third of the amount of cell-surface CSF-1 expressed by+/Csf1op fibroblasts, as assessed by FACS analysis of cells stained with anti–CSF-1, or by trypsin release of intact CSF-1 from the cell surface (Figure2).
Csf1op/Csf1op; TgC/+mice possess normal levels of circulating colony-stimulating factor 1
| Genotype . | CSF-1 concentration (ng/mL) . |
|---|---|
| +/+ | 9.9 ± 0.7 |
| +/Csf1op | 10.4 ± 2.1 |
| Csf1op/Csf1op | 0 |
| +/Csf1op; TgC/+ | 9.0 ± 0.7 |
| Csf1op/Csf1op; TgC/+ | 9.1 ± 0.8 |
| Csf1op/Csf1op; TgN(FLCsf1)4Ers/+ | 30.2 ± 9.5 |
| Genotype . | CSF-1 concentration (ng/mL) . |
|---|---|
| +/+ | 9.9 ± 0.7 |
| +/Csf1op | 10.4 ± 2.1 |
| Csf1op/Csf1op | 0 |
| +/Csf1op; TgC/+ | 9.0 ± 0.7 |
| Csf1op/Csf1op; TgC/+ | 9.1 ± 0.8 |
| Csf1op/Csf1op; TgN(FLCsf1)4Ers/+ | 30.2 ± 9.5 |
CSF-1 indicates colony-stimulating factor 1.
Mean ± SEM.
Csf1op/Csf1op; TgC/+ fibroblasts secrete normal levels of CSF-1 and express significant levels of cell-surface CSF-1.
(A) CSF-1 concentrations in culture supernatants of skin fibroblasts from +/+ (a), +/Csf1op (b),Csf1op/Csf1op (c), andCsf1op/Csf1op TgC/+ (d) mice, determined by a CSF-1 radioimmunoassay that detects biologically active CSF-1. Means ± SEM for triplicate cultures. (B) Expression of cell-surface CSF-1 by the same fibroblasts, detected by anti–CSF-1 antibody staining and FACS analysis. The expression of cell-surface CSF-1 by Csf1op/Csf1op; TgC/+fibroblasts was confirmed by its trypsin-mediated release and measurement by CSF-1 radioimmunoassay. By this technique, it was expressed at one third the level of cell-surface CSF-1 on+/Csf1op fibroblasts (data not shown).
Csf1op/Csf1op; TgC/+ fibroblasts secrete normal levels of CSF-1 and express significant levels of cell-surface CSF-1.
(A) CSF-1 concentrations in culture supernatants of skin fibroblasts from +/+ (a), +/Csf1op (b),Csf1op/Csf1op (c), andCsf1op/Csf1op TgC/+ (d) mice, determined by a CSF-1 radioimmunoassay that detects biologically active CSF-1. Means ± SEM for triplicate cultures. (B) Expression of cell-surface CSF-1 by the same fibroblasts, detected by anti–CSF-1 antibody staining and FACS analysis. The expression of cell-surface CSF-1 by Csf1op/Csf1op; TgC/+fibroblasts was confirmed by its trypsin-mediated release and measurement by CSF-1 radioimmunoassay. By this technique, it was expressed at one third the level of cell-surface CSF-1 on+/Csf1op fibroblasts (data not shown).
Gross phenotype of Csf1op/Csf1op; TgC/+ mice
The CSF-1–nullCsf1op/Csf1op mice exhibit impaired bone resorption associated with a reduction in the number of osteoclasts.27 Their inability to remodel bone results in skeletal deformities, particularly in the long bones, which are dense, short, and thick (Figure 3G); in the flat bony plates, which produce their characteristically domed skull (Figure 3C); and in the mandible, resulting in a failure of tooth eruption (Figure 3C). These gross skeletal defects were completely restored by expression of either transgene (compare Figure 3F,D with Figure 3E,B). Upper and lower incisor tooth eruption, absent inCsf1op/Csf1op mice (Figure 3C), occurred on postnatal days 9 and 10 after birth in both+/Csf1op and transgenicCsf1op/Csf1op mice (Figure 3B,D). In contrast to the sometimes abnormally curved or misaligned (Figure 3A) incisor teeth ofCsf1op/Csf1op mice injected daily with CSF-1 from the third postnatal day,30incisor teeth of the transgenicCsf1op/Csf1op mice always appeared to be normal and properly aligned (Figure 3D). The decreased head size and shortening of the facial bones (Figure 3C), the stubby appearance of the tarsals and metatarsals, and the appearance of the femur and humerus (Figure 3G) in theCsf1op/Csf1op mice were also restored to normal by transgene expression (Figure 3D,F). Remodeling of the marrow space can be clearly seen in the tarsals and tibia and noticeably in tail vertebrae of both normal +/Csf1op as well as transgenicCsf1op/Csf1op mice (Figure 3E,F,H,I) but is very much reduced in theCsf1op/Csf1op mutant mice (Figure 3G,J). Despite their powdered chow and milk formula diet,Csf1op/Csf1op mice still exhibited decreased adult body weight and a retarded growth rate (Figure 4). In contrast, the growth rate of Csf1op/Csf1op; TgC/+ mice was not significantly different from the growth rate of age-matched normal +/Csf1op littermates (Figure 4). The gross neurologic defects ofCsf1op/Csf1op mice, blindness and deafness,41 were also absent inCsf1op/Csf1op; TgC/+ mice (data not shown).
Normal skeletal development in
Csf1op/Csf1op; TgC/+mice. X-rays of 6-week-oldCsf1op/Csf1op mice injected with 12 μg recombinant human CSF-1 daily from day 3 of life (A) and 6-week-old littermate mice of genotypes +/Csf1op(B,E,H), Csf1op/Csf1op(C,G,J), and Csf1op/Csf1op; TgC/+(D, F, I).
Normal skeletal development in
Csf1op/Csf1op; TgC/+mice. X-rays of 6-week-oldCsf1op/Csf1op mice injected with 12 μg recombinant human CSF-1 daily from day 3 of life (A) and 6-week-old littermate mice of genotypes +/Csf1op(B,E,H), Csf1op/Csf1op(C,G,J), and Csf1op/Csf1op; TgC/+(D, F, I).
Normal growth rate of
Csf1op/Csf1op;TgC/+ mice. Groups of 6 male mice of each genotype (⋄, +/+; ■,Csf1op/Csf1op; TgC/+;▵, Csf1op/Csf1op) were weighed at approximately weekly intervals. Means ± SEM.
Normal growth rate of
Csf1op/Csf1op;TgC/+ mice. Groups of 6 male mice of each genotype (⋄, +/+; ■,Csf1op/Csf1op; TgC/+;▵, Csf1op/Csf1op) were weighed at approximately weekly intervals. Means ± SEM.
Restoration of tissue CSF-1 expression inCsf1op/Csf1op; TgC/+ mice
The ability of the transgene to reconstitute the expression of CSF-1 in tissues was examined by comparing tissue CSF-1 concentrations of Csf1op/Csf1op; TgC/+ and normal +/Csf1op mice. Biologically active CSF-1 protein was detected in every transgenicCsf1op/Csf1op tissue, and most possessed levels that were not significantly different from those of +/Csf1op mice (Table2). Importantly, the dramatic elevation in uterine CSF-1 expression reported for normal mice during pregnancy36 was also detected in theCsf1op/Csf1op; TgC/+ mice, indicating that the transgene confers normal tissue-specific regulation of CSF-1 during pregnancy. However, CSF-1 concentrations in several secretory organs—salivary glands, prostate, bladder, and testes/epididymis—were significantly higher than those of the corresponding +/Csf1op tissues. The widespread detection of at least normal levels of CSF-1 in tissue extracts from transgenic Csf1op/Csf1opmice suggests that regulation of the transgene construct for the most part reflects the regulation of endogenous CSF-1 gene expression.
Tissue colony-stimulating factor 1 concentrations in wild-type and Csf1op/Csf1op; TgC/+mice
| Tissue . | CSF-1 concentration (pg/mg tissue) . | |
|---|---|---|
| +/Csf1op . | Csf1op/Csf1op; TgC/+ . | |
| Lymph nodes | 14.3 ± 3.7 | 11.8 ± 4.9 |
| Thymus | 16.0 ± 3.3 | 13.5 ± 5.9 |
| Heart | 6.5 ± 2.6 | 7.0 ± 1.4 |
| Lungs | 16.6 ± 8.1 | 15.7 ± 6.5 |
| Liver | 2.8 ± 1.9 | 2.4 ± 1.4 |
| Stomach | 7.0 ± 2.8 | 6.5 ± 2.7 |
| Pancreas | 10.5 ± 4.9 | 6.3 ± 2.6 |
| Spleen | 14.0 ± 6.2 | 11.1 ± 4.9 |
| Small intestine | 12.0 ± 8.9 | 9.4 ± 6.2 |
| Kidneys | 7.8 ± 2.6 | 5.9 ± 3.5 |
| Large intestine | 8.4 ± 1.4 | 6.2 ± 2.7 |
| Testes and epididymis | 2.6 ± 1.1 | 64.8 ± 56.4* |
| Bladder | 7.1 ± 3.0 | 278.6 ± 176.2* |
| Prostate | 8.0 ± 3.4 | 315.1 ± 178.4* |
| Salivary glands | 109.8 ± 10.2 | 429.9 ± 153.7* |
| Skeletal muscle | 5.4 ± 1.8 | 6.4 ± 3.6 |
| Nonpregnant uterus | 7.2 ± 3.8 | 14.6 ± 1.6 |
| Pregnant uterus | 120.4 ± 3.2 | 116.3 ± 7.7 |
| Tissue . | CSF-1 concentration (pg/mg tissue) . | |
|---|---|---|
| +/Csf1op . | Csf1op/Csf1op; TgC/+ . | |
| Lymph nodes | 14.3 ± 3.7 | 11.8 ± 4.9 |
| Thymus | 16.0 ± 3.3 | 13.5 ± 5.9 |
| Heart | 6.5 ± 2.6 | 7.0 ± 1.4 |
| Lungs | 16.6 ± 8.1 | 15.7 ± 6.5 |
| Liver | 2.8 ± 1.9 | 2.4 ± 1.4 |
| Stomach | 7.0 ± 2.8 | 6.5 ± 2.7 |
| Pancreas | 10.5 ± 4.9 | 6.3 ± 2.6 |
| Spleen | 14.0 ± 6.2 | 11.1 ± 4.9 |
| Small intestine | 12.0 ± 8.9 | 9.4 ± 6.2 |
| Kidneys | 7.8 ± 2.6 | 5.9 ± 3.5 |
| Large intestine | 8.4 ± 1.4 | 6.2 ± 2.7 |
| Testes and epididymis | 2.6 ± 1.1 | 64.8 ± 56.4* |
| Bladder | 7.1 ± 3.0 | 278.6 ± 176.2* |
| Prostate | 8.0 ± 3.4 | 315.1 ± 178.4* |
| Salivary glands | 109.8 ± 10.2 | 429.9 ± 153.7* |
| Skeletal muscle | 5.4 ± 1.8 | 6.4 ± 3.6 |
| Nonpregnant uterus | 7.2 ± 3.8 | 14.6 ± 1.6 |
| Pregnant uterus | 120.4 ± 3.2 | 116.3 ± 7.7 |
CSF-1 indicates colony-stimulating factor 1.
Mean ± SEM, at least 3 mice per tissue.
All values exceeded means for +/Csf1op tissues. Except where indicated (
), differences between +/Csf1op andCsf1op/Csf1op; TgC/+ are not significant (P ≥ .05) by 2-tailed t test for 2 samples of unequal variance.
TgC rescue ofCsf1op/Csf1opmouse reproductive defects
The important role of CSF-1 in ovulation, preimplantation, placental function, regulation of the estrus cycle, and lactation has been previously described.2,42,43 Estrus cycling times are disturbed in matureCsf1op/Csf1op mice, with estrus occurring irregularly and more infrequently (average duration 14.5 days) than the estrus times of normal mice (about 5 days). The estrus cycling time of femaleCsf1op/Csf1op; TgC/+ mice, determined by the appearance in the vagina of exfoliated anuclear cornified cells and the absence of macrophages,43 was 4.5 ± 0.6 days (n = 5). This was indistinguishable from the cycling time for their phenotypically normal +/Csf1op siblings (4.8 ± 0.2 days). The litter size (about 7 pups) of theCsf1op/Csf1op; TgC/+ CSF-1 mice was similarly normal. Furthermore, even though only 10% ofCsf1op/Csf1op mothers feed pups,44 observation of more than 20 litters resulting from Csf1op/Csf1op; TgC/+ × Csf1op/Csf1op+/+ crosses indicate thatCsf1op/Csf1op; TgC/+ mothers were able to raise normal-size litters.
Csf1op/Csf1op male mice have low testosterone levels, a low libido, and reduced viable sperm numbers compared with normal males and mate infrequently, displaying a long latency between mating when presented serially with female mice in estrus.45 Restoration of normal male libido was apparent in Csf1op/Csf1op; TgC/+ mice, which mated frequently with cycling females and produced plugged females on successive days following daily exposure to different superovulated females (data not shown).
Expression of TgC transgene mRNA
A labeled RNA probe covering exon 9 and hGH sequences that allowed the simultaneous comparison of endogenous and transgenic CSF-1 mRNA by RPA (Figure 1B) revealed that the CSF-1 transgene mRNA was detected in each of the tissues examined (Figure5A). However, the amount of transgene-specific mRNA containing the hGH sequences was low compared with that of the endogenous exon 9–containing CSF-1 mRNA. Because the ratio of the 2.0-kb exon 9–containing CSF-1 mRNA to the 4.0-kb exon 10–containing CSF-1 mRNA is lower in tissues ofCsf1op/Csf1op mice than in +/+ mice,23 26 the high levels of exon 9–containing mRNA detected in Csf1op/Csf1op; TgC/+ tissues (Figure 5A) prompted us to use an exon 10 probe (Figure 1A) with the exon 9/hGH probe to examine the relative contributions of the alternatively spliced exon 9– and exon 10–containing versions of CSF-1 mRNA inCsf1op/Csf1op; TgC/+, wild-type, andCsf1op/Csf1op mice (Figure 5B). This comparison demonstrated a much higher ratio of exon 9– to exon 10–containing mRNA in the tissues ofCsf1op/Csf1op; TgC/+ mice than in the tissues of theirCsf1op/Csf1op littermates (Figure 5B, right panel), indicating that the high expression of exon 9 mRNA relative to the transgene in Figure 5A is due to use of the endogenous CSF-1 poly(A) addition site upstream of the hGH poly(A) addition sequences in the transgene. Thus, the CSF-1 transgene mRNA is expressed at sufficiently high levels to explain the normalization of CSF-1 in most tissues of Csf1op/Csf1op; TgC/+ mice.
Tissue expression of TgC mRNA.
TgC and endogenous CSF-1 mRNAs in 10 μg aliquots of total RNA were quantitated by RPA using the exon 9/hGH and exon 10 cDNA probes illustrated in Figure 1A,B. (A) Messenger RNA products protected by the exon 9/hGH probe, which correspond to the exon 9 UTR-containing CSF-1 mRNA (exon 9) and the hGH poly(A) UTR-containing TgC mRNA (Transgene), are indicated. TgC mRNA was detected in each of the tissues examined, apparently at low levels compared with the levels of endogenous CSF-1 mRNA. All samples were electrophoresed in the same gel and the data captured by phosphoimager; intensity of bands in the lower portion of the figure has been reduced to improve resolution. (B) RPA of RNA samples from selected tissues of mice of the indicated genotype, using the exon 9/hGH and exon 10 cDNA probes. Bands representing the exon 9– and exon 10–containing transcripts are indicated. The exon 9 probe generally detects 2 CSF-1–specific bands. Comparison of the 3 panels indicates that exon 9–containing CSF-1 mRNA is decreased inCsf1op/Csf1op tissues relative to +/+ tissues and restored to normal inCsf1op/Csf1optissues by expression of TgC.
Tissue expression of TgC mRNA.
TgC and endogenous CSF-1 mRNAs in 10 μg aliquots of total RNA were quantitated by RPA using the exon 9/hGH and exon 10 cDNA probes illustrated in Figure 1A,B. (A) Messenger RNA products protected by the exon 9/hGH probe, which correspond to the exon 9 UTR-containing CSF-1 mRNA (exon 9) and the hGH poly(A) UTR-containing TgC mRNA (Transgene), are indicated. TgC mRNA was detected in each of the tissues examined, apparently at low levels compared with the levels of endogenous CSF-1 mRNA. All samples were electrophoresed in the same gel and the data captured by phosphoimager; intensity of bands in the lower portion of the figure has been reduced to improve resolution. (B) RPA of RNA samples from selected tissues of mice of the indicated genotype, using the exon 9/hGH and exon 10 cDNA probes. Bands representing the exon 9– and exon 10–containing transcripts are indicated. The exon 9 probe generally detects 2 CSF-1–specific bands. Comparison of the 3 panels indicates that exon 9–containing CSF-1 mRNA is decreased inCsf1op/Csf1op tissues relative to +/+ tissues and restored to normal inCsf1op/Csf1optissues by expression of TgC.
Development of F4/80+ tissue macrophages inCsf1op/Csf1op; TgC/+ mice
Examination of the development of cells expressing the macrophage-specific cell-surface protein F4/80 in tissues ofCsf1op/Csf1op mice indicated that most F4/80 macrophage populations are partially or completely dependent on CSF-1 for their development and maintenance.30 To assess whether expression of TgC inCsf1op/Csf1op mice reconstituted F4/80+ macrophage expression in these tissues, F4/80+ macrophages inCsf1op/Csf1op; TgC/+,Csf1op/Csf1op, and normal (+/Csf1op) mice were quantified in tissues prepared from mice at the ages where the F4/80+ macrophage density had previously been shown30 to be maximum for the particular wild-type tissue (Table 3). Previous studies showed that injected CSF-1 is unable to restore F4/80+ macrophages, which colonize the adrenal gland and dense connective tissues including tendon, striated muscle, deep dermis, synovium, and periosteum.30 F4/80+macrophages in these tissues are completely recovered in the tissues of Csf1op/Csf1op; TgC/+ mice, being present at slightly elevated numbers compared with their density in normal tissues (Figure6, Table 3). Tissues containing CSF-1–dependent F4/80+ macrophages that are only partially restored by injection of CSF-1 include bladder, sublingual salivary gland, stomach, and villus cores of the small intestine and large intestine.30 With the exception of bladder, which showed a partial response to expression of TgC, F4/80+ macrophages in these tissues were also restored to at least normal levels (Figure6, Table 3). Tissues in which F4/80+ macrophages attained at least normal levels with restoration of circulating CSF-1 by injection included tissues such as kidney, liver, and spleen. F4/80+ macrophages were restored to normal levels in these tissues in Csf1op/Csf1op; TgC/+ mice (Table 3). In lymph node and thymus and among epidermal Langerhans cells and bone marrow monocytes, examined at ages in which the F4/80+ macrophage density was relatively normal inCsf1op/Csf1opmice,30 the F4/80+ cell densities forCsf1op/Csf1op; TgC/+ mice approximated those of bothCsf1op/Csf1op and +/Csf1op mice, except in the case of thymus where the F4/80+ macrophage density was somewhat lower forCsf1op/Csf1op mice than previously reported. Macrophages interdigitating with Leydig cells in the intertubular spaces of the testes have been shown to be almost completely absent inCsf1op/Csf1opmice.46 Compared with +/Csf1opmice, their numbers in Csf1op/Csf1op; TgC/+ mice (Figure 6) were slightly higher (Table 3). These data indicate that TgC confers approximately normal regulation of the development of all CSF-1–dependent F4/80+ tissue macrophage populations examined.
Densities of F4/80+ macrophages inCsf1op/Csf1op, +/Csf1op, andCsf1op/Csf1op; TgC/+ mice
| Tissue and age . | Tissue F4/80+ cell density . | ||
|---|---|---|---|
| Csf1op/Csf1op . | +/Csf1op . | Csf1op/Csf1op; TgC/+ . | |
| 2 days | |||
| Muscle | 24 | 188 | 339 |
| Tendon | 463 | 2174 | 8015 |
| Deep dermis | 1179 | 6217 | 5248 |
| Liver | 658 | 1581 | 1035 |
| 2 weeks | |||
| Stomach | 726 | 971 | 1006 |
| Small intestine | 35 | 455 | 322 |
| Large intestine | 80 | 1943 | 2029 |
| Lymph node | 980 | 1101 | 1241 |
| Thymus | 294 | 1423 | 1571 |
| Periosteum3-150 | 1 | 16 | 21 |
| Kidney cortex | 24 | 262 | 661 |
| Kidney medulla | 89 | 1393 | 1785 |
| Epidermal Langerhans cells3-150 | 93 | 66 | 104 |
| Testis3-151 | 0 | 3.4 | 5.7 |
| 3 months | |||
| Bladder3-150 | 7 | 59 | 19 |
| Spleen | 786 | 1231 | 1719 |
| Adrenal | 65 | 262 | 690 |
| Sublingual salivary gland | 52 | 251 | 254 |
| Synovial type “A” cells3-150 | 0 | 181 | 252 |
| Bone marrow monocytes | 1556 | 2206 | 2620 |
| Tissue and age . | Tissue F4/80+ cell density . | ||
|---|---|---|---|
| Csf1op/Csf1op . | +/Csf1op . | Csf1op/Csf1op; TgC/+ . | |
| 2 days | |||
| Muscle | 24 | 188 | 339 |
| Tendon | 463 | 2174 | 8015 |
| Deep dermis | 1179 | 6217 | 5248 |
| Liver | 658 | 1581 | 1035 |
| 2 weeks | |||
| Stomach | 726 | 971 | 1006 |
| Small intestine | 35 | 455 | 322 |
| Large intestine | 80 | 1943 | 2029 |
| Lymph node | 980 | 1101 | 1241 |
| Thymus | 294 | 1423 | 1571 |
| Periosteum3-150 | 1 | 16 | 21 |
| Kidney cortex | 24 | 262 | 661 |
| Kidney medulla | 89 | 1393 | 1785 |
| Epidermal Langerhans cells3-150 | 93 | 66 | 104 |
| Testis3-151 | 0 | 3.4 | 5.7 |
| 3 months | |||
| Bladder3-150 | 7 | 59 | 19 |
| Spleen | 786 | 1231 | 1719 |
| Adrenal | 65 | 262 | 690 |
| Sublingual salivary gland | 52 | 251 | 254 |
| Synovial type “A” cells3-150 | 0 | 181 | 252 |
| Bone marrow monocytes | 1556 | 2206 | 2620 |
Data are from at least 12 low-power fields of tissues from 2 mice of each genotype. SDs for multiple counts (n > 5) were less than 10% of means. Densities expressed in cells/mm2 except where indicated.
Densities in cells/mm.
Densities in cells per interstitial cell group.
Restoration of CSF-1–dependent F4/80+ macrophage populations in
Csf1op/Csf1opmice expressing TgC. Tissues were subjected to immunostaining with the macrophage-specific monoclonal antibody F4/80. Sagittal sections of 3-month-old knee joints, showing bone marrow (BM) and periosteum (PO) (A-C) and synovial membrane (SM) (D-F). Longitudinal section of 2-week-old tibia, showing tendon (TD) (G-I), transverse sections of 2-week-old testes (J-L), and transverse sections of 3-month-old mouse sublingual salivary gland (M-O; panel M counterstained). Arrows point to regions of F4/80+staining. Bar: 50 μm.
Restoration of CSF-1–dependent F4/80+ macrophage populations in
Csf1op/Csf1opmice expressing TgC. Tissues were subjected to immunostaining with the macrophage-specific monoclonal antibody F4/80. Sagittal sections of 3-month-old knee joints, showing bone marrow (BM) and periosteum (PO) (A-C) and synovial membrane (SM) (D-F). Longitudinal section of 2-week-old tibia, showing tendon (TD) (G-I), transverse sections of 2-week-old testes (J-L), and transverse sections of 3-month-old mouse sublingual salivary gland (M-O; panel M counterstained). Arrows point to regions of F4/80+staining. Bar: 50 μm.
Normalization of hematopoietic parameters inCsf1op/Csf1op; TgC/+ mice
To examine the hematopoietic status of theCsf1op/Csf1op; TgC/+ mice, bone marrow, spleen, and hematopoietic progenitor cell numbers were determined at 6 weeks of age (Table 4). The reduced bone marrow cellularity ofCsf1op/Csf1op mice was restored to normal by expression of TgC. Consistent with their reduced space for marrow hematopoiesis and in agreement with their reported compensatory splenic hematopoiesis,40 the splenic cellularities of 6-week-oldCsf1op/Csf1op mice were significantly elevated compared with those of +/Csf1op mice. As expected from their normal bone marrow cellularity, these parameters inCsf1op/Csf1op; TgC/+ mice were indistinguishable from those of +/Csf1op mice. In agreement with previous reports,28,47 blood monocyte and lymphocyte percentages were reduced inCsf1op/Csf1op mice and, consistent with one other report,48 blood granulocyte percentages were increased. All these changes were normalized in the blood of the Csf1op/Csf1op; TgC/+mice (Figure 7, Table 4). Previous studies have shown that the Csf1op mutation does not alter the relative frequency of BFU-E, CFU-GEMM, HPP-CFC, or CFU-C progenitor cells in the bone marrow.40 There was no significant difference in the frequency of these various progenitors in the bone marrows of Csf1op/Csf1op; TgC/+,Csf1op/Csf1op, and +/Csf1op mice (Table 4).
Hematopoietic tissue parameters
| Parameter . | Csf1op/Csf1op . | +/Csf1op . | Csf1op/Csf1op; TgC/+ . |
|---|---|---|---|
| Bone marrow cellularity, × 10−6cells per femur4-150 | 6.3 ± 0.9 | 19.8 ± 1.5 | 16.2 ± 0.6 |
| Splenic weight, g | 0.083 ± 0.05 | 0.097 ± 0.01 | 0.109 ± 0.03 |
| Splenic cellularity, × 10−9/g4-150 | 2.9 ± 0.6 | 1.5 ± 0.17 | 1.5 ± 0.1 |
| Blood cellularity | |||
| Total leukocytes, × 10−6/mL | 5.9 ± 1.1 | 5.0 ± 0.3 | 4.7 ± 0.6 |
| Monocytes, %4-150 | 0.9 ± 0.2 | 7.3 ± 0.8 | 8.1 ± 0.8 |
| Granulocytes, %4-150 | 30.9 ± 4.6 | 6.9 ± 0.3 | 11.5 ± 1.8 |
| Lymphocytes, %4-150 | 53.0 ± 4.3 | 76.1 ± 1.3 | 68.3 ± 0.8 |
| B220+ lymphocytes, %4-150 | 18.3 ± 1.1 | 38.0 ± 1.3 | 42.2 ± 1.9 |
| Bone marrow4-151 | |||
| BFU-E | 19.2 ± 2.0 | 21.5 ± 2.9 | 19.2 ± 3.2 |
| CFU-GEMM | 11.5 ± 1.8 | 9.3 ± 1.3 | 10.2 ± 1.6 |
| HPP-CFC | 3.3 ± 0.4 | 3.0 ± 0.5 | 3.0 ± 0.4 |
| CFU-C | 25.0 ± 3.7 | 32.5 ± 2.9 | 21.8 ± 1.3 |
| Parameter . | Csf1op/Csf1op . | +/Csf1op . | Csf1op/Csf1op; TgC/+ . |
|---|---|---|---|
| Bone marrow cellularity, × 10−6cells per femur4-150 | 6.3 ± 0.9 | 19.8 ± 1.5 | 16.2 ± 0.6 |
| Splenic weight, g | 0.083 ± 0.05 | 0.097 ± 0.01 | 0.109 ± 0.03 |
| Splenic cellularity, × 10−9/g4-150 | 2.9 ± 0.6 | 1.5 ± 0.17 | 1.5 ± 0.1 |
| Blood cellularity | |||
| Total leukocytes, × 10−6/mL | 5.9 ± 1.1 | 5.0 ± 0.3 | 4.7 ± 0.6 |
| Monocytes, %4-150 | 0.9 ± 0.2 | 7.3 ± 0.8 | 8.1 ± 0.8 |
| Granulocytes, %4-150 | 30.9 ± 4.6 | 6.9 ± 0.3 | 11.5 ± 1.8 |
| Lymphocytes, %4-150 | 53.0 ± 4.3 | 76.1 ± 1.3 | 68.3 ± 0.8 |
| B220+ lymphocytes, %4-150 | 18.3 ± 1.1 | 38.0 ± 1.3 | 42.2 ± 1.9 |
| Bone marrow4-151 | |||
| BFU-E | 19.2 ± 2.0 | 21.5 ± 2.9 | 19.2 ± 3.2 |
| CFU-GEMM | 11.5 ± 1.8 | 9.3 ± 1.3 | 10.2 ± 1.6 |
| HPP-CFC | 3.3 ± 0.4 | 3.0 ± 0.5 | 3.0 ± 0.4 |
| CFU-C | 25.0 ± 3.7 | 32.5 ± 2.9 | 21.8 ± 1.3 |
At least three 6- to 8-week-old mice per experimental group. Data are expressed as means ± SEM. BFU-E and CFU-GEMM: 1.5 × 104 cells per plate (n = 6); HPP-CFC: 2.5 × 103 cells per plate (n = 6); and CFU-C: 1 × 104 cells per plate (n = 9).
BFU-E indicates burst-forming unit–erythroid; CFU-GEMM, colony-forming unit–granulocyte, erythroid, macrophage, megakaryocyte; HPP-CFC, colony-forming cells of high proliferative potential; CFU-C, colony-forming cells of low proliferative potential.
From FACS analyses (Figure 7). Differences betweenCsf1op/Csf1op; TgC/+ andCsf1op/Csf1op mice significant (P < .01) and differences betweenCsf1op/Csf1op; TgC/+ and+/Csf1op not significant (P > .05) by Student t test.
Differences not significant within assays (P ≥ .05) by Student t test.
FACS analysis of blood monocytes, granulocytes, and lymphocytes by forward and side light scatter.
Separate regions encompassing the monocyte (M), granulocyte (G), and lymphocyte (L) subpopulations are indicated. Quantitative results for mice of each genotype are summarized in Table 5.
FACS analysis of blood monocytes, granulocytes, and lymphocytes by forward and side light scatter.
Separate regions encompassing the monocyte (M), granulocyte (G), and lymphocyte (L) subpopulations are indicated. Quantitative results for mice of each genotype are summarized in Table 5.
Localization of in vivo sites of CSF-1 synthesis
TgC drives relatively normal tissue-specific and developmental expression of CSF-1 and corrects all the major aspects of theCsf1op/Csf1op phenotype. To rapidly identify CSF-1–synthesizing cells within tissues, we constructed a transgene with the same regulatory regions but encoding β-galactosidase instead of CSF-1 (TgN(Csf1-Z)Ers [TgZ], Figure 1C). Two transgenic founder mice were obtained, only one of which transmitted the transgene. TgZ/+ mice showed no abnormal phenotype and were used exclusively for this study.
Analysis of the expression of β-galactosidase was carried out in hematopoietic (Figure 8), reproductive (Figure 9), and other (Figure10) tissues from normal 7-week-old wild-type mice expressing TgZ. In hematopoietic tissues (Figure 8), cells expressing β-galactosidase were found in splenic red pulp and marginal zone (Figure 8A,B) and in outer cortical regions of the lymph node, where macrophages are concentrated and were excluded from the white pulp and germinal centers that are relatively devoid of macrophages (Figure 8C,D).30 In thymus, positive cells were scattered within the cortex, an area rich in macrophages (Figure8E,F). In the bone marrow (Figure 8G-I), the location and shape of the β-galactosidase–expressing cells were characteristic of bone marrow stromal fibroblasts and osteoblasts previously shown to synthesize CSF-1.49 50
CSF-1 promoter/first intron–driven β-galactosidase (TgZ) expression in hematopoietic tissues.
Stained with H&E (A, C, E, G), X-gal (A-I; some positive cells indicated by black arrows), and TRAP (I; some TRAP-positive cells indicated by red arrows). (A, B) Spleen, indicating staining of cells in the marginal zone (MZ), less intensely in the red pulp (RP), and their exclusion from the white pulp (WP). (C, D) Lymph node, showing staining of the outer cortex (OC) and the region (*) between 2 germinal centers (GC). (E, F) Thymus, revealing the presence of scattered cells in the cortex. (G-I) Bone marrow, showing β-galactosidase–expressing cells and TRAP-positive cells lining the surfaces of the bony trabeculae (T) in regions in which bone marrow fibroblasts, osteoblasts, and osteoclasts reside. TRAP-positive cells are also shown in the primary center of ossification (CO). Nuclear staining of β-galactosidase is often accompanied by some cytoplasmic staining, due to incomplete transfer of the enzyme to the nucleus. Bars: 50 mm.
CSF-1 promoter/first intron–driven β-galactosidase (TgZ) expression in hematopoietic tissues.
Stained with H&E (A, C, E, G), X-gal (A-I; some positive cells indicated by black arrows), and TRAP (I; some TRAP-positive cells indicated by red arrows). (A, B) Spleen, indicating staining of cells in the marginal zone (MZ), less intensely in the red pulp (RP), and their exclusion from the white pulp (WP). (C, D) Lymph node, showing staining of the outer cortex (OC) and the region (*) between 2 germinal centers (GC). (E, F) Thymus, revealing the presence of scattered cells in the cortex. (G-I) Bone marrow, showing β-galactosidase–expressing cells and TRAP-positive cells lining the surfaces of the bony trabeculae (T) in regions in which bone marrow fibroblasts, osteoblasts, and osteoclasts reside. TRAP-positive cells are also shown in the primary center of ossification (CO). Nuclear staining of β-galactosidase is often accompanied by some cytoplasmic staining, due to incomplete transfer of the enzyme to the nucleus. Bars: 50 mm.
TgZ expression in female reproductive tissues.
Stained with H&E (E,I) and X-gal (A-J). Whole-mount staining of the fourth inguinal mammary gland: (A) nontransgenic, (B) transgenic, (C) high-power image of the boxed region in (B) (TEB, terminal end buds), and (D) high-power image of portion of mammary gland from a 6-day pregnant transgenic mouse, showing positive staining of the ducts in the transgenic tissues. Note increased intensity of staining of blood vessels (BV) and lymph node (LN) in transgenic (B-D) compared with nontransgenic (A) tissue. (E-H) Uteri of nonpregnant (E, F) and 6-day pregnant (G, H) mice and the presence of positive cells in the myometrium (G), some of which are localized to regions previously shown to contain macrophages.59 (I, J) Ovary of transgenic mice, showing β-galactosidase expression in granulosa cells surrounding the secondary follicles (SF). Bars: (A-D) 5 mm; (E-J) 50 mm.
TgZ expression in female reproductive tissues.
Stained with H&E (E,I) and X-gal (A-J). Whole-mount staining of the fourth inguinal mammary gland: (A) nontransgenic, (B) transgenic, (C) high-power image of the boxed region in (B) (TEB, terminal end buds), and (D) high-power image of portion of mammary gland from a 6-day pregnant transgenic mouse, showing positive staining of the ducts in the transgenic tissues. Note increased intensity of staining of blood vessels (BV) and lymph node (LN) in transgenic (B-D) compared with nontransgenic (A) tissue. (E-H) Uteri of nonpregnant (E, F) and 6-day pregnant (G, H) mice and the presence of positive cells in the myometrium (G), some of which are localized to regions previously shown to contain macrophages.59 (I, J) Ovary of transgenic mice, showing β-galactosidase expression in granulosa cells surrounding the secondary follicles (SF). Bars: (A-D) 5 mm; (E-J) 50 mm.
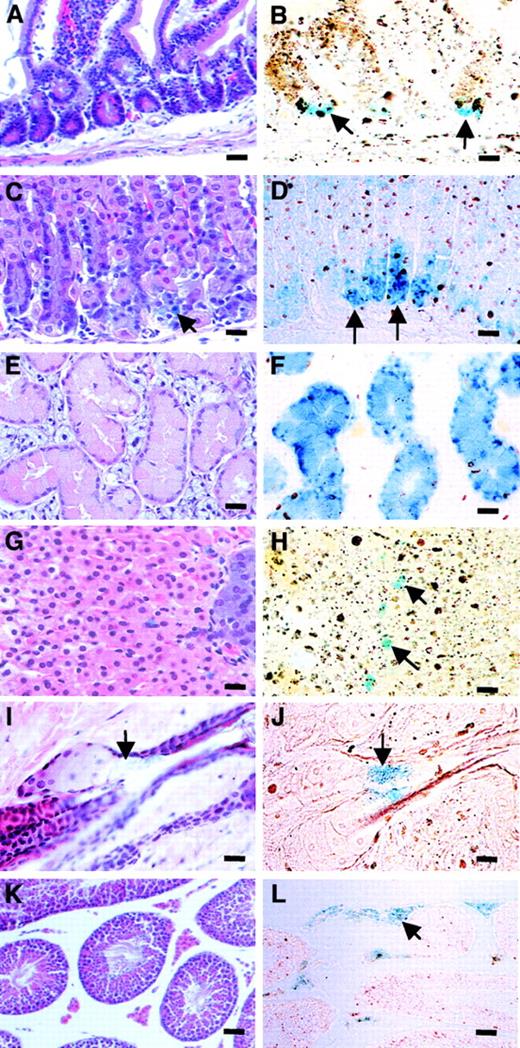
TgZ expression in other tissues.
Stained with H&E (A, C, E, G, I, K) and X-gal (A-L). (A, B) Small intestine, showing β-galactosidase staining in Paneth cells at the base of the crypts. (C, D) Stomach, revealing staining of cells at the base of the crypts of the pyloric glands. (E, F) Salivary gland, demonstrating strong positive staining of serous acinar cells. (G, H) Adrenal gland, showing positive cells in the zona reticularis. (I, J) Skin, indicating positive staining of cells in the neck of the sebaceous gland. (K, L) Testis, showing β-galactosidase–positive interstitial cells. Bars: 50 mm.
TgZ expression in other tissues.
Stained with H&E (A, C, E, G, I, K) and X-gal (A-L). (A, B) Small intestine, showing β-galactosidase staining in Paneth cells at the base of the crypts. (C, D) Stomach, revealing staining of cells at the base of the crypts of the pyloric glands. (E, F) Salivary gland, demonstrating strong positive staining of serous acinar cells. (G, H) Adrenal gland, showing positive cells in the zona reticularis. (I, J) Skin, indicating positive staining of cells in the neck of the sebaceous gland. (K, L) Testis, showing β-galactosidase–positive interstitial cells. Bars: 50 mm.
Expression of β-galactosidase recapitulated previously documented sites of synthesis in the uterus and ovary and revealed new sites of expression in the mammary gland (Figure 9). In mammary gland, there was extensive staining of the entire ductal network (Figure 9C) with strong staining in the terminal end buds (Figure 9B) but with minimal expression in the fat pad. Expression was also seen in the blood vessels and lymph node (Figure 9B-D). Ductal expression was maintained during arborization early in pregnancy (Figure 9D). In the uterus, the β-galactosidase expression was restricted to epithelial cells of uteri of both nonpregnant (Figure 9E,F) and day 6 pregnant mice (Figure9G,H), increasing with pregnancy, as previously reported for CSF-1 synthesis by this epithelium21 (Table 2). Focal staining of individual cells was also observed in the myometrium of the pregnant uteri, particularly close to the mesometrial attachment (Figure 9G). Expression of β-galactosidase in the ovary was restricted to the granulosa cells of the developing follicles, with no expression observed in the oocyte (Figure 9I,J).
New sites of CSF-1 synthesis are also indicated for other tissues (Figure 10). The β-galactosidase stained Paneth cells at the base of the crypts of the small intestine (Figure 10A,B) close to regions of CSF-1–dependent macrophage localization in the muscularis externa51 and, similarly, in the base of the crypts of the pyloric glands of the stomach (Figure 10C,D). There was strong positive staining of serous acinar cells of the salivary gland (Figure 10E,F) adjacent to and on the basal side of which F4/80+macrophages reside (Figure 6N,O) and consistent with the high CSF-1 content of this gland.36 The zona reticularis of the adrenal gland (Figure 10G,H) and the neck of the sebaceous gland also contained β-galactosidase–expressing cells (Figure 10I,J). In testis, there was staining of interstitial cells (Figure 10K,L), regions of Leydig cell, and CSF-1–dependent macrophage colocalization.46 52 Also, β-galactosidase staining of the epithelial cells of the proximal convoluted tubules of the kidney and of the blood vessels and cortex of the brain was observed (data not shown).
Discussion
We have shown that expression of a transgene encoding full-length CSF-1 under the control of 3.13 kb of the CSF-1 promoter and first intron completely corrected the gross defects of the CSF-1–nullCsf1op/Csf1op mouse, including the osteopetrotic, neurologic, weight, skeletal, tooth eruption, hematopoietic, and reproductive defects. Save for overexpression in 4 tissues, it normalized CSF-1 expression in the circulation and in tissues, including uterus during pregnancy, where CSF-1 expression is dramatically increased. In addition, expression of the transgene restored tissue F4/80+ macrophage densities in a temporally correct fashion. These results suggest that this transgene provides all the forms of CSF-1 necessary for normal regulation of both locally and humorally regulated target cells. This point is emphasized in Table5, which summarizes the relative incompleteness of the reconstitution of F4/80+ macrophage densities in Csf1op/Csf1op mice injected with CSF-1, compared with those expressing the transgene.
Relative restoration of F4/80+ tissue macrophage development by colony-stimulating factor 1 injection and by TgC expression
| F4/80+ tissue macrophages . | CSF-1 requirement . | Response ofCsf1op/Csf1op mouse to postnatal injection of CSF-1 . | Response ofCsf1op/Csf1op mouse to Tgc . |
|---|---|---|---|
| Muscle | Complete | None | Complete |
| Tendon | Complete | None | Complete |
| Periosteum | Complete | None | Complete |
| Synovium | Complete | None | Complete |
| Dermis | Complete | Partial/none | Complete |
| Kidney | Complete | Complete | Complete |
| Testes | Complete | Complete | Complete |
| Adrenal gland | Partial | None | Complete |
| Bladder | Partial | Partial | Partial |
| Stomach | Partial | Partial | Complete |
| Small intestine | Partial | Partial | Complete |
| Sublingual salivary gland | Partial | Partial | Complete |
| Liver | Partial | Complete | Complete |
| Spleen | Partial | Complete | Complete |
| Thymus | Partial | None | Complete |
| Epidermis | None | None | None |
| Lymph node | None | None | None |
| Bone marrow monocyte | None | None | None |
| F4/80+ tissue macrophages . | CSF-1 requirement . | Response ofCsf1op/Csf1op mouse to postnatal injection of CSF-1 . | Response ofCsf1op/Csf1op mouse to Tgc . |
|---|---|---|---|
| Muscle | Complete | None | Complete |
| Tendon | Complete | None | Complete |
| Periosteum | Complete | None | Complete |
| Synovium | Complete | None | Complete |
| Dermis | Complete | Partial/none | Complete |
| Kidney | Complete | Complete | Complete |
| Testes | Complete | Complete | Complete |
| Adrenal gland | Partial | None | Complete |
| Bladder | Partial | Partial | Partial |
| Stomach | Partial | Partial | Complete |
| Small intestine | Partial | Partial | Complete |
| Sublingual salivary gland | Partial | Partial | Complete |
| Liver | Partial | Complete | Complete |
| Spleen | Partial | Complete | Complete |
| Thymus | Partial | None | Complete |
| Epidermis | None | None | None |
| Lymph node | None | None | None |
| Bone marrow monocyte | None | None | None |
CSF-1 indicates colony-stimulating factor 1.
The exon 9 poly(A) addition signal was used quite efficiently in the transgene, although transcripts derived from use of the hGH poly(A) addition signal were present in each tissue examined. The exon 10 3′ UTR contains AU-rich repeats, absent in exon 9, that in the right context confer a short half-life on mRNAs.10 53 Thus, the high levels of expression of CSF-1 in the secretory organs, bladder, testes/epididymis, prostate, and salivary glands may result from the use of the exon 9 3′ UTR in the transgene, because the levels of mRNA for 2 of the 4 tissues examined, testis and salivary gland, are significantly elevated over their expression in +/Csf1op mice.
Although the detailed data presented here are analyses of a single CSF-1 transgenic line, an identical gross phenotype was observed with a second independent line that expressed 3-fold higher levels of circulating CSF-1. In addition, we have recently used the same CSF-1 promoter/intron 1 region to drive expression of another form of CSF-1 encoded by a truncated CSF-1 cDNA and have shown that it has a similar pattern of tissue expression (data not shown). For the above reasons, we believe that the pattern of tissue CSF-1 expression driven by the promoter/first intron is position- and copy number–independent. Furthermore, as we have also shown here, this regulatory region drives expression of a lacZ reporter gene specifically in all previously documented sites of local CSF-1 synthesis within tissues. Thus, the 3.13-kb CSF-1 promoter/first intron are apparently sufficient to regulate normal CSF-1 gene expression. Previous studies of the regulation of CSF-1 gene expression have utilized CSF-1 reporter constructs containing 774 bp of the mouse CSF-1 promoter transfected into fibroblasts, monocytes, osteoblast-like, and COS-7 cell lines.54,55 Several putative trans-acting factors forcis-acting elements in this region of the promoter have been identified,54 and it has been shown that expression in different cell types is mediated by common and by cell type–specific transcription factors.54,56 However, the minimal promoter length required for normal tissue-specific and developmental expression has not been established, and modulation of CSF-1 gene expression by parathyroid hormone (PTH), tumor necrosis factor-α, Il-1α, and 1,25 (OH)2D3 observed in vivo is not reproduced with the 774-bp promoter construct.55 The present studies establish regulatory regions required for normal CSF-1 gene expression that can be further investigated by deletion/mutation.
Although previous experiments involving transfection of the full-length exon 10–containing CSF-1 cDNA into NIH3T3 cells failed to demonstrate cell-surface expression of the more truncated glycoprotein, the expression of the larger more prominent proteoglycan was not studied.13 Consistent with our observation of cell-surface expression in Csf1op/Csf1op; TgC/+fibroblasts, others have demonstrated cell-surface expression in COS-7 cells expressing full-length CSF-1 cDNA.11 Whether the surface expression is due to a membrane-spanning or membrane-associated CSF-1 remains to be established.
As indicated above (Table 5), restoration of circulating CSF-1 inCsf1op/Csf1op mice by daily injection of CSF-1 was only partially successful in correcting the Csf1op/Csf1opdefects, suggesting that either CSF-1 must be given embyronically, be synthesized locally, be expressed on the surface of cells, contain the correct glycosaminoglycan as the proteoglycan form, or various combinations of these possibilities for complete correction of theCsf1op/Csf1op defects to occur. The present successful correction by the full-length transgene is likely to have satisfied all of these putative requirements but is unable to resolve which requirement is necessary for correction of each particular defect. Using this promoter/intron combination to drive appropriate CSF-1 cDNAs, it should be possible to independently investigate the roles of the secreted glycoprotein, secreted proteoglycan, and cell-surface forms of the growth factor.
The pattern of the transgenic expression of β-galactosidase under the control of the same CSF-1 promoter/first intron driver also indicates that the TgC transgene correctly directs local tissue expression of CSF-1. First, β-galactosidase was expressed at several tissue locations shown to synthesize CSF-1 by in situ hybridization or immunohistochemical/cell culture approaches. Thus, CSF-1 is synthesized in the uterine glandular epithelium of pregnant mice,21bone marrow fibroblasts57 and osteoblasts,19,20 endothelial cells,18 and ovarian granulosa cells (K. Nishimura, P. Cohen, L. Zhu, and J.W.P., unpublished data, August 1997), all sites shown to express β-galactosidase in TgZ/+ mice. Second, β-galactosidase was expressed at several additional tissue locations in which CSF-1–responding cells are localized but which have not been previously reported to synthesize CSF-1, including the ductal epithelium of the mammary gland,58 the myometrium,59 testicular Leydig cells,46 the marginal zone60 and red pulp30 of the spleen, the cortex and medulla of the lymph node, the cortex of the thymus, the base of the crypts of the small intestine, stomach, and sublingual salivary gland,30,51 and the cortical tubules of the kidney.61 Local synthesis of CSF-1 is apparently responsible for macrophage regulation and/or presence at these sites.
Analysis of TgZ/+ mice suggests that synthesis of CSF-1 occurs at several novel sites besides those mentioned above, in which CSF-1–responding cells are localized. These sites include cells in the cortex and hypothalamus of the brain, cells in the zona reticularis of the adrenal gland, and cells in the neck of the sebaceous gland. Analysis of the role of CSF-1 synthesis at these sites and the sites mentioned above, in which CSF-1 synthesis juxtaposes CSF-1–responding cells, should greatly increase our understanding of local regulation by this growth factor.
Previous studies withCsf1op/Csf1op mice have indicated that CSF-1 target cells have important scavenger (eg, osteoclasts62), trophic (eg, testicular macrophages42,46,52), and immunologic (eg, trophoblasts63) roles in the development, maintenance, and function of the tissues in which they reside. Given the restricted distribution of the CSF-1 receptor to mononuclear phagocytes and cells of the female reproductive tract,1,2 such functions explain the pleiotropic nature of the Csf1opmutation.30 The present analysis of the TgZ mouse contributes significantly to our understanding of the local regulation of these cells. Consider, for example, reproduction. CSF-1 maintains ovulation rates and recruits macrophages to the growing follicle43 and to the uterine stroma during the estrus cycle.59 The uterine CSF-1 is locally synthesized from epithelial cells, which synthesize it in response to estrogen and, during pregnancy, progesterone.21,59 During pregnancy, its action on the trophoblast is necessary for effective immunologic responses to pathogens at the uteroplacental unit.63Expression of β-galactosidase recapitulated the previously demonstrated expression of CSF-1 in granulosa cells surrounding the developing follicle and in uterine luminal and glandular epithelial cells21,64 (L. Zhu and J.W.P., manuscript in preparation, August 1997). The relative failure of mammary epithelial development inCsf1op/Csf1opmice,44 characterized by a paucity of macrophages surrounding the terminal end buds, a low rate of ductal outgrowth, and fewer ductal branches, can be partially reversed by ductal epithelial expression of CSF-1 (A. V. Nguyen and J.W.P., manuscript in preparation, August 2000). The β-galactosidase expression in the mammary ductal tree and particularly the terminal end buds suggests that CSF-1 derived from these epithelial cells recruits macrophages to the developing structure where they enhance ductal outgrowth and development. In testis, each CSF-1-dependent macrophage (absent in Csf1op/Csf1op mice) contacts an average of 4 Leydig cells, apparently enhancing testosterone synthesis by the Leydig cells.45 46Expression of β-galactosidase by Leydig cells indicates that their expression of CSF-1 is responsible for macrophage recruitment to the interstitium. Similar CSF-1 regulatory roles can be envisaged for the cells we have shown to synthesize β-galactosidase in nonreproductive tissues.
We thank members of the Albert Einstein College of Medicine transgenic, histopathology, and analytical imaging facilities for assistance in different aspects of the work, Dr Sandy C. Marks Jr, for advice on TRAP staining, David Gebhard of the Albert Einstein College of Medicine FACS facility for assistance with the FACS analyses, and James Chaloupka, Alex Cho, Sara Kapp, Vonetta Sylvestre, Reza Zadeh, and Xiao-Hua Zong for technical assistance. We also acknowledge kind gifts of the CSF-1 promoter clone from Dr Michael Cole and monoclonal antibody F4/80 from Dr David Hume.
Supported by National Institutes of Health grants CA32551 (E.R.S.), HD30280 (J.W.P.), and HD35627 (J.W.P.), Albert Einstein College of Medicine Cancer Center grant 5P30-CA13330, and an American Society of Hematology fellowship (G.R.R.).
G.R.R. and X.-M.D. contributed equally to this work.
The publication costs of this article were defrayed in part by page charge payment. Therefore, and solely to indicate this fact, this article is hereby marked “advertisement” in accordance with 18 U.S.C. section 1734.
References
Author notes
E. Richard Stanley, Dept of Developmental and Molecular Biology, Albert Einstein College of Medicine, 1300 Morris Park Ave, Bronx, NY 10461; e-mail: rstanley@aecom.yu.edu.










This feature is available to Subscribers Only
Sign In or Create an Account Close Modal