An acquired chromosomal translocation, t(8;13)(p11;q11-12), observed in a distinctive type of stem cell leukemia/lymphoma syndrome, leads to the fusion of the 5′ portion of ZNF198 and the 3′ portion of FGFR1. ZNF198–FGFR1 fusion transcripts encode 4 to 10 zinc fingers, a proline-rich region, and the intracellular portion of the FGFR1 (fibroblast growth factor receptor 1) receptor tyrosine kinase. We demonstrate that the ZNF198 proline-rich region constitutes a novel self-association domain. When fused to the intracellular domain of FGFR1, the ZNF198 proline-rich region is sufficient to cause oligomerization, FGFR1 tyrosine kinase activation, and transformation of Ba/F3 cells to IL-3 independent growth.

Various histologic subtypes of leukemia and lymphoma are associated with specific chromosome translocations,1-4and substantial strides have been made in determining the oncogenes targeted by those translocations. Many translocations in non-Hodgkin lymphomas, for example, those involving MYC in Burkitt lymphoma, cause up-regulation of the corresponding oncogenes through their juxtaposition with transcriptionally active chromosome regions. Other translocations, including many identified thus far in lymphoid and myeloid leukemias, produce fusion genes. The encoded chimeric oncoproteins may transform hematopoietic cells by gain-of-function or dominant loss-of- function mechanisms.5-12 

Although most hematologic malignancies are monotypic, involving either myeloid or lymphoid lineages, others are associated with multilineage proliferation because of the transformation of a pluripotent hematopoietic stem cell. One example is chronic myelogenous leukemia, in which the characteristic bcr-abl fusion can be demonstrated in both myeloid and lymphoid lineages. Stem cell neoplasms have been of particular research interest because the underlying oncogenes are apt to function as differentiation and proliferation factors that regulate physiologic and pathologic hematopoiesis. In addition, the stem cell leukemias and lymphomas pose special challenges in clinical practice. Stem cell neoplasms are only curable using intensive chemotherapy, typically coupled with bone marrow or peripheral blood progenitor cell transplantation.13 14 Hence, new biologic insights—particularly those that can be translated into novel therapeutic approaches—may be particularly useful in these diseases.

A unique leukemia/lymphoma syndrome of acute myelogenous leukemia, eosinophilia, and lymphoblastic lymphoma has been described by several groups.15-23 Most patients have lymphoma and myeloid hyperplasia, and many have pronounced peripheral eosinophilia or prominent eosinophilic infiltrates in the involved bone marrow and lymph nodes. The myeloid hyperplasia usually progresses to acute myelogenous leukemia within a year of the original diagnosis. A specific chromosome translocation, t(8;13)(p11;q11-12), is found in lymphoma and myeloid leukemia cells from these patients, supporting bilineage differentiation from a transformed stem cell.16-18 The chromosomal translocation leads to the fusion of the 5′ portion of ZNF198 on chromosome 13 and the 3′ portion of FGFR1 on chromosome 8.24-27ZNF198 is a potential transcription factor that has 2 isoforms, containing either 4 or 10 atypical zinc fingers, a proline-rich region, and an acidic domain. FGFR1 is a transmembrane receptor tyrosine kinase (RTK) belonging to the fibroblast growth factor receptor family. All known FGFRs contain 2 or 3 immunoglobulin-like extracellular ligand-binding domains, a single-pass transmembrane domain, and an intracellular catalytic kinase domain.28-31 The ZNF198–FGFR1 fusion protein contains the intact tyrosine kinase domain of FGFR1 but lacks the N-terminal extracellular FGF binding domain and transmembrane domain, which are replaced by the ZNF198 atypical zinc finger and proline-rich domains.

Normal activation of RTKs involves ligand-dependent oligomerization. To determine the mechanism of ZNF198–FGFR1 oncogenicity, we evaluated the possibility of constitutive, ligand-independent oligomerization. We find that the proline-rich domain of ZNF198 functions as a novel oligomerization domain that promotes constitutive ZNF198–FGFR1 tyrosine kinase activity.

DNA constructs

RNA was isolated from T-lymphoblastic lymphoma cells containing the t(8;13) translocation, and ZNF198–FGFR1 cDNA was amplified using Pyrococcus furiosus polymerase sequenced and subcloned in frame into derivatives of pcDNA3 (Invitrogen, Carlsbad, CA) that permit the expression of transcripts encoding C-terminal MYC or hemagglutinin (HA) epitopes. Truncated ZNF198–FGFR1 constructs were generated from polymerase chain reaction products encoding the appropriate ZNF198–FGFR1 domains. Retroviral constructs were produced by subcloning ZNF198–FGFR1 cDNA into forms of the vector MSCV containing G418 or green fluorescent protein markers.32 

Transient transfection and in vitro transcription and translation

293T cells were cultured in Dulbecco's modified Eagle's medium (DMEM) and 10% fetal calf serum at 37°C under 5% CO2and were transfected with 10 μg of expression plasmid DNA using a standard calcium phosphate method.33 After 48 hours, the cells were lysed in ice-cold 1% NP-40, 50 mmol/L Tris pH 8.0, 100 mmol/L sodium fluoride, 30 mmol/L sodium pyrophosphate, 2 mmol/L sodium molybdate, 5 mmol/L EDTA, 2 mmol/L sodium vanadate, 5 μg/mL aprotinin, 5 μg/mL leupeptin, and 50 μg/mL phenylmethylsulfonyl fluoride (lysis buffer).

High-titer, helper-free recombinant retrovirus was produced through transient transfection of Bosc cells.33 In brief, 2.5 × 106 cells per 60-mm plate were cultured in DMEM with 10% fetal bovine serum to 80% confluence, re-fed with medium containing 25 μmol/L chloroquine, and transfected with 10 μg DNA. After 10 hours, the chloroquine-containing medium was replaced with fresh medium. The retroviral supernatant was harvested 48 hours after transfection.

In vitro expression of ZNF198–FGFR1 constructs was performed using the TNT Quick coupled transcription–translation system (Promega, Madison, WI) according to the manufacturer's instructions. In reactions programmed with more than 1 expression plasmid, the total input DNA was 0.5 μg/25μL reaction.

Immunoprecipitation and Western blot analysis

Protein lysates of in vitro expression polypeptides were diluted in 250 μL of lysis buffer, then incubated with various antibodies for 2 hours. After this 20 μL protein A–Sepharose (Pharmacia, Piscataway, NJ) was added for 1 hour at 4°C. After 3 washes in lysis buffer, proteins were eluted at 100°C in 40 μL of SDS–PAGE loading buffer and resolved by SDS–PAGE under reducing conditions (4%-12% gradient gels). To detect 35S-labeled proteins, the gels were dried and exposed to X-ray film for 0.5 to 12 hours. For Western blot analyses, the proteins were electrophoretically transferred to polyvinylidene difluoride membranes (Millipore, Waltham, MA), then blocked in PBS containing 0.1% Tween 20 (PBS-T) and 5% dried milk for 1 hour. Proteins were detected with anti-HA (Babco clone HA.11, Richmond, CA), anti-MYC (clone 9E10), anti-PY99 (Santa Cruz, CA), or anti-FGFR1 (Santa Cruz, CA) using a chemiluminescence method (ECL; Amersham, Piscataway, NJ).

Cell culture

Ba/F3 cells were grown in RPMI-1640 with 10% fetal calf serum and 15 ng/mL of IL-3. For viral infections, 2 mL of Ba/F3 cells at a concentration of 1.5 × 106 cells/mL were centrifuged, resuspended in 1 mL viral supernatant/polybrene mixture, and incubated at 37°C for 24 hours. The cells were then centrifuged and resuspended in cell culture medium. Cell selection was begun 24 hours later using Geneticin (800 μg/mL) and was continued for 10 days. Cell counts were determined daily using the trypan blue exclusion method.

Ligand-independent ZNF198–FGFR1 oligomerization

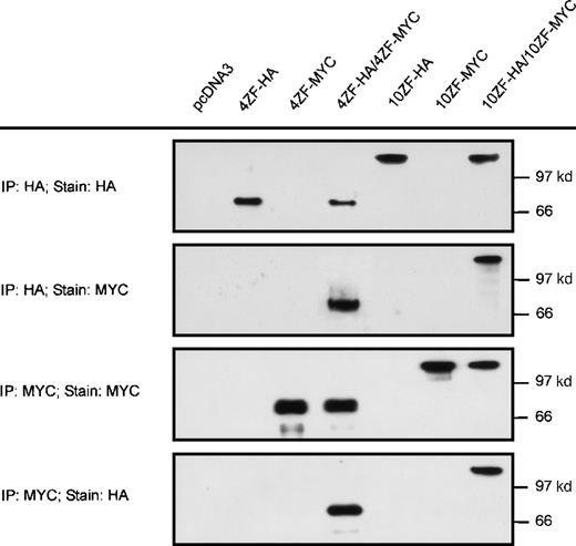
Based on precedence in other receptor tyrosine kinase oncoproteins,34-38 we hypothesized that ZNF198–FGFR1 transforming mechanisms involve aberrant activation of the FGFR1 kinase domain. Because FGFR1 kinase activation ordinarily requires dimerization,39 we evaluated the possibility that ZNF198–FGFR1 might self-associate. Two isoforms of ZNF198–FGFR1 identified in patients with the t(8;13) stem cell leukemia/lymphoma syndrome have either 4 or 10 zinc fingers, respectively, at the N-terminus. Derivative cDNA encoding each isoform was fused in frame with HA (10ZF-HA and 4ZF-HA) or MYC (10ZF-MYC and 4ZF-MYC) epitope tags (Figure 1) and expressed in 293T cells. The HA-tagged and MYC-tagged proteins were specifically immunoprecipitated by antibodies to the corresponding epitopes (Figure2). Immunoprecipitates prepared from cells coexpressing HA and MYC tagged ZNF198–FGFR1 demonstrated oligomerization of both the 4 and the 10 zinc finger ZNF198–FGFR1 isoforms (Figure 2).

Fig. 1.

Schematic of ZNF198/FGFR1 constructs. The full-length ZNF198–FGFR1 fusion proteins contain either 4 or 10 ZNF198 zinc fingers (depending on isoform), a ZNF198 proline-rich region, and the FGFR1 tyrosine kinase domain. One or more of these domains is deleted in each of the truncated fusion proteins. The fusion constructs were subcloned into the MSCV retrovirus vector or were tagged with HA or MYC and subcloned into the pcDNA 3.1 vector.

Fig. 1.

Schematic of ZNF198/FGFR1 constructs. The full-length ZNF198–FGFR1 fusion proteins contain either 4 or 10 ZNF198 zinc fingers (depending on isoform), a ZNF198 proline-rich region, and the FGFR1 tyrosine kinase domain. One or more of these domains is deleted in each of the truncated fusion proteins. The fusion constructs were subcloned into the MSCV retrovirus vector or were tagged with HA or MYC and subcloned into the pcDNA 3.1 vector.

Close modal
Fig. 2.

Self-association of ZNF198–FGFR1.

The 4 and 10 zinc finger ZNF198–FGFR1 isoforms were tagged with HA or MYC, expressed individually (lanes 2, 3, 5, and 6) or coexpressed (lanes 4 and 7) in 293 T cells, then immunoprecipitated and detected with anti-HA or anti-MYC. Empty pcDNA 3 vector was also transfected as a negative control. Both 4 and 10 zinc finger ZNF198–FGFR1 isoforms self-associate (lanes 4 and 7).

Fig. 2.

Self-association of ZNF198–FGFR1.

The 4 and 10 zinc finger ZNF198–FGFR1 isoforms were tagged with HA or MYC, expressed individually (lanes 2, 3, 5, and 6) or coexpressed (lanes 4 and 7) in 293 T cells, then immunoprecipitated and detected with anti-HA or anti-MYC. Empty pcDNA 3 vector was also transfected as a negative control. Both 4 and 10 zinc finger ZNF198–FGFR1 isoforms self-associate (lanes 4 and 7).

Close modal

Mapping an ZNF198 oligomerization interface

The primary structure of the ZNF198–FGFR1 fusion protein includes 3 major domains. The N-terminus is a ZNF198 potential DNA-binding domain, consisting of 4 to 10 atypical zinc fingers (Cys-X2-Cys-X19-20-Cys-X3-Cys; residues 1-175 or 1-796). The middle portion is also contributed by ZNF198 and contains 118 amino acids (residues 176-293 or 797-913 in the 4 and 10 zinc finger isoforms, respectively). This region has a high concentration (16%) of proline residues and contains 2 short proline–valine repeats. The C-terminus consists of part of the FGFR1 juxtamembrane domain and the entire tyrosine kinase domain (residues 294-687 or 914-1037 in the 4 and 10 zinc finger isoforms, respectively).

The ZNF198–FGFR1 oligomerization interface was mapped using a series of ZNF198–FGFR1 HA-tagged deletion constructs (Figure 1). Ability to oligomerize with full-length ZNF198–FGFR1 (tagged with an MYC epitope) was evaluated by expressing the constructs in reticulocyte lysates. A ZNF198 polypeptide consisting of the N-terminal 4 zinc fingers (4ZFΔPRΔTK-HA) did not oligomerize with the full-length ZNF198–FGFR1 oncoprotein (4ZF-MYC). By contrast, a ZNF198 polypeptide consisting of the same 4 zinc fingers with the immediately C-terminal proline-rich domain (4ZFΔTK-HA) did oligomerize with 4ZF-MYC (Figure3A), suggesting that the ZNF198 proline-rich region mediates self-association. Further evidence of a proline-rich region oligomerization domain was obtained from coexpression of full-length ZNF198–FGFR1 (4ZF-MYC) with a polypeptide lacking all zinc fingers but containing the ZNF198 proline-rich region and the FGFR1 tyrosine kinase domain (ΔZF-HA) (Figure 3A). Oligomerization function for the ZNF198 proline-rich region was then confirmed by expression of a 13-kd minipeptide containing only the proline-rich region (PR-HA). This minipeptide also coprecipitated full-length ZNF198–FGFR1 (4ZF-MYC) (Figure 3B).

Fig. 3.

The ZNF198 proline-rich region is crucial for protein–protein interaction.

(A) Truncated ZNF198–FGFR1 fusion proteins with (4ZFΔTK-HA and ΔZF-HA) or without (4ZFΔPRΔTK-HA) the ZNF198 proline-rich region were expressed individually (columns 2, 4, and 6), or were coexpressed with the full-length 4 zinc finger ZNF198–FGFR1 isoform (4ZF-MYC) (columns 3, 5, and 7). In vitro expressions were performed using reticulocyte lysates (Promega; in vitro TNT system) in the presence of [35S] methionine. The proteins were analyzed directly (INP, input) or were immunoprecipitated with anti-HA or anti-MYC. Only fusion proteins containing the ZNF198 proline-rich region (columns 5 and 7) coprecipitated with full-length ZNF198–FGFR1. (B) A full-length 4 zinc finger ZNF198–FGFR1 isoform (4ZF-MYC) and a minipeptide containing only the ZNF198 proline-rich region (PR-HA) were expressed individually (columns 1 and 2) or coexpressed (column 3), then analyzed directly (INP) or immunoprecipitated with anti-HA or anti-MYC. PR-HA and 4ZF-MYC coprecipitated (column 3).

Fig. 3.

The ZNF198 proline-rich region is crucial for protein–protein interaction.

(A) Truncated ZNF198–FGFR1 fusion proteins with (4ZFΔTK-HA and ΔZF-HA) or without (4ZFΔPRΔTK-HA) the ZNF198 proline-rich region were expressed individually (columns 2, 4, and 6), or were coexpressed with the full-length 4 zinc finger ZNF198–FGFR1 isoform (4ZF-MYC) (columns 3, 5, and 7). In vitro expressions were performed using reticulocyte lysates (Promega; in vitro TNT system) in the presence of [35S] methionine. The proteins were analyzed directly (INP, input) or were immunoprecipitated with anti-HA or anti-MYC. Only fusion proteins containing the ZNF198 proline-rich region (columns 5 and 7) coprecipitated with full-length ZNF198–FGFR1. (B) A full-length 4 zinc finger ZNF198–FGFR1 isoform (4ZF-MYC) and a minipeptide containing only the ZNF198 proline-rich region (PR-HA) were expressed individually (columns 1 and 2) or coexpressed (column 3), then analyzed directly (INP) or immunoprecipitated with anti-HA or anti-MYC. PR-HA and 4ZF-MYC coprecipitated (column 3).

Close modal

We next addressed the possibility that the ZNF198 proline-rich region might be requisite for ZNF198–FGFR1 oligomerization. Oligomerization potential was evaluated in 4 and 10 zinc finger forms of HA-tagged ZNF198–FGFR1 lacking the proline-rich region (4ZFΔPR-HA and 10ZFΔPR-HA, respectively). These proline-rich region deletion constructs were coexpressed with 4 and 10 zinc finger forms of MYC-tagged full-length ZNF198–FGFR1 (4ZF-MYC and 10ZF-MYC, respectively). Neither the 4 nor the 10 zinc finger isoforms of the proline-rich region deletion constructs interacted with full-length ZNF198–FGFR1 (Figure 4).

Fig. 4.

Deletion of the ZNF198 proline-rich region abolishes ZNF198–FGFR1 self-association.

4 and 10 zinc finger ZNF198–FGFR1 isoforms that were full-length (4ZF-MYC and 10ZF-MYC, respectively) or deleted for the ZNF198 proline-rich region (4ZFΔPR-HA and 10ZFΔPR-HA, respectively) were expressed individually (columns 1, 2, 4, and 5) or coexpressed (columns 3 and 6), and then analyzed directly (INP) or immunoprecipitated with anti-HA or anti-MYC.

Fig. 4.

Deletion of the ZNF198 proline-rich region abolishes ZNF198–FGFR1 self-association.

4 and 10 zinc finger ZNF198–FGFR1 isoforms that were full-length (4ZF-MYC and 10ZF-MYC, respectively) or deleted for the ZNF198 proline-rich region (4ZFΔPR-HA and 10ZFΔPR-HA, respectively) were expressed individually (columns 1, 2, 4, and 5) or coexpressed (columns 3 and 6), and then analyzed directly (INP) or immunoprecipitated with anti-HA or anti-MYC.

Close modal

Transformation of hematopoietic cells

Transforming capabilities of various forms of ZNF198–FGFR1 were evaluated by retroviral transduction of cDNA into the murine IL-3–dependent Ba/F3 cell line. Three groups of MSCV-G418 ZNF198–FGFR1 constructs were assembled: 4 and 10 zinc finger versions of the full-length ZNF198–FGFR1 (4ZF/MSCV and 10ZF/MSCV, respectively); 4 and 10 zinc finger versions of ZNF198–FGFR1 deleted from the ZNF198 proline-rich region (4ZFΔPR/MSCV and 10ZFΔPR/MSCV, respectively); and a construct containing only the ZNF198 proline-rich region and the FGFR1 kinase domain (δZF/MSCV). High-titer recombinant retrovirus was obtained by transient transfection of Bosc cells, and Ba/F3 infections were then performed in the presence of polybrene.33 After the selection of retrovirally transduced cells with G418, cells were assessed for IL-3–independent growth. IL-3 independence was conferred by each construct encoding the proline-rich domain and FGFR1 tyrosine kinase domain, indicating that the zinc fingers are unnecessary for Ba/F3 cell transformation (Figure5A). By contrast, ZNF198–FGFR1 polypeptides lacking the ZNF198 proline-rich region (4ZFΔPR/MSCV and 10ZFΔPR/MSCV) did not transform Ba/F3 cells (Figure 5B). Taken together, these data indicate that the ZNF198 proline-rich region is essential for Ba/F3 cell transformation.

Fig. 5.

Ba/F3 transformation, by ZNF198–FGFR1, requires ZNF198 proline-rich region but not ZNF198 zinc fingers.

Ba/F3 cells were infected with various ZNF198–FGFR1 retroviral constructs. After G418 selection, the cells were cultured without IL-3, and viable cells were counted daily for 10 days. (A) Ba/F3 cells expressing an N-terminal truncated ZNF198–FGFR1 lacking all zinc fingers, but containing the ZNF198 proline-rich region (ΔZF/MSCV), proliferate as well in the absence of IL-3 as Ba/F3 expressing full-length ZNF198–FGFR1 isoforms (4ZF/MSCV and 10ZF/MSCV). Controls included Ba/F3 cells infected with empty vector and cultured in medium with or without IL-3, and uninfected Ba/F3 cells cultured without IL-3. (B) Ba/F3 cells expressing 4 and 10 zinc finger ZNF198–FGFR1 lacking the proline-rich region (4ZFΔPR/MSCV and 10ZFΔPR/MSCV) do not proliferate in the absence of IL-3. Controls are as in A.

Fig. 5.

Ba/F3 transformation, by ZNF198–FGFR1, requires ZNF198 proline-rich region but not ZNF198 zinc fingers.

Ba/F3 cells were infected with various ZNF198–FGFR1 retroviral constructs. After G418 selection, the cells were cultured without IL-3, and viable cells were counted daily for 10 days. (A) Ba/F3 cells expressing an N-terminal truncated ZNF198–FGFR1 lacking all zinc fingers, but containing the ZNF198 proline-rich region (ΔZF/MSCV), proliferate as well in the absence of IL-3 as Ba/F3 expressing full-length ZNF198–FGFR1 isoforms (4ZF/MSCV and 10ZF/MSCV). Controls included Ba/F3 cells infected with empty vector and cultured in medium with or without IL-3, and uninfected Ba/F3 cells cultured without IL-3. (B) Ba/F3 cells expressing 4 and 10 zinc finger ZNF198–FGFR1 lacking the proline-rich region (4ZFΔPR/MSCV and 10ZFΔPR/MSCV) do not proliferate in the absence of IL-3. Controls are as in A.

Close modal

To exclude an autocrine mechanism of Ba/F3 cell transformation, noninfected Ba/F3 cells were cultured in medium conditioned by Ba/F3 cells transformed by the 4 zinc finger ZNF198–FGFR1 construct (4ZF/MSCV). The conditioned medium did not support IL-3 independent growth, indicating that the ZNF198–FGFR1 transformation is, at least in part, cell autonomous.

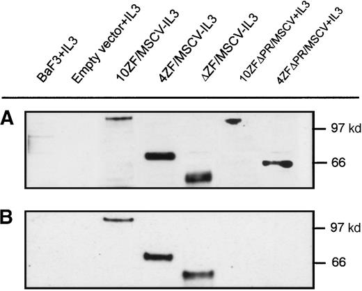
Tyrosine phosphorylation, resulting from cross-phosphorylation of oligomerized proteins, is a marker of FGFR1 activation. We performed Western blot analyses to determine whether Ba/F3 cell transformation correlates with ZNF198–FGFR1 tyrosine phosphorylation. Transforming ZNF198–FGFR1 fusion proteins containing the proline-rich region and either no zinc fingers, 4 zinc fingers, or 10 zinc fingers (ΔZF/MSCV, 4ZF/MSCV, and 10ZF/MSCV, respectively) were expressed in Ba/F3 cells (Figure 6A), and each of these polypeptides was tyrosyl phosphorylated (Figure 6B). By contrast, nontransforming ZNF198–FGFR1 fusion proteins lacking the ZNF198 proline-rich region and containing either 4 or 10 zinc fingers (4ZFΔPR/MSCV and 10ZFΔPR/MSCV, respectively) were expressed (Figure6A) but not tyrosyl phosphorylated (Figure 6B).

Fig. 6.

ZNF198–FGFR1 expression and tyrosine autophosphorylation.

(A) Verification of Ba/F3 cell ZNF198–FGFR1 expression by Western blot analysis using an anti-FGFR1 antibody. (B) Oligomeric ZNF198–FGFR1 fusion proteins (4ZF/MSCV, 10ZF/MSCV, and ΔZF/MSCV) are tyrosyl phosphorylated, whereas ZNF198–FGFR1 fusions lacking the ZNF198 proline-rich region (4ZFΔPR/MSCV and 10ZFΔPR/MSCV) did not self-associate and were not tyrosyl phosphorylated.

Fig. 6.

ZNF198–FGFR1 expression and tyrosine autophosphorylation.

(A) Verification of Ba/F3 cell ZNF198–FGFR1 expression by Western blot analysis using an anti-FGFR1 antibody. (B) Oligomeric ZNF198–FGFR1 fusion proteins (4ZF/MSCV, 10ZF/MSCV, and ΔZF/MSCV) are tyrosyl phosphorylated, whereas ZNF198–FGFR1 fusions lacking the ZNF198 proline-rich region (4ZFΔPR/MSCV and 10ZFΔPR/MSCV) did not self-associate and were not tyrosyl phosphorylated.

Close modal

The t(8;13) stem cell leukemia/lymphoma syndrome is a devastating disease in which both lymphoblastic lymphoma and acute myelogenous leukemia generally develop in affected patients. The chromosomal translocation t(8;13) results in the formation of aZNF198–FGFR1 fusion gene in which the tyrosine kinase domain is activated in a ligand-independent manner. In this study, we provide evidence that ZNF198–FGFR1 kinase activation results from constitutive oligomerization. We also show that ZNF198–FGFR1 oligomerization is mediated by a novel ZNF198 proline-rich region.

Ligand-independent oligomerization is a common mechanism of oncogenic activation for RTK oncogenes. Constitutive oligomerization can result from intragenic events, such as missense mutations, in-frame deletions, or in-frame insertions. Alternatively, oligomerization can result from gene fusions created by chromosomal rearrangements. Examples of intragenic mutations include those affecting the KIT juxtamembrane and phosphotransferase domains in gastrointestinal stromal tumors and mast cell tumors.40,41 These mutations result in constitutive KIT oligomerization and kinase activation.34-37 Similarly, germline mutations affecting 1 of 5 cysteines in the RET juxtamembrane domain, as found in most cases of multiple endocrine neoplasia type 2A (MEN 2A) and familial medullary thyroid carcinoma,42,43lead to cross-linking and activation through the formation of intermolecular disulfide bonds.44 Chromosomal mechanisms for RTK activation generally involve translocations or inversions, and the resultant fusion genes typically encode N-terminal oligomerization-inducing domains and C-terminal RTK domains. For example, t(5;12) translocation in patients with chronic myelomonocytic leukemia encodes a TEL–PDGFR β fusion protein,45 in which the TEL-pointed domain induces oligomerization and, consequently, constitutive activation of the PDGFR β tyrosine kinase.38Other fusion receptor tyrosine kinase oncogenes result from chromosomal rearrangements involving RET in thyroid carcinoma,46ALK in Ki-1 lymphoma,47ABL in chronic myeloid leukemia,48 andNTRK3 in fibrosarcoma.49-51 However, ZNF198–FGFR1, as reported herein, is the first fusion receptor tyrosine kinase oncoprotein in which constitutive oligomerization is mediated by a proline-rich region.

The ZNF198 oligomerizing proline-rich region has 2 short proline–valine repeats and contains 16% proline residues. Notably, proline-rich regions are often found within or adjacent to protein–protein interaction sites. Indeed, in a survey of more than 1600 protein–protein interaction sites, proline was the most common residue adjacent to the interaction sites.52 Proline has several unique properties believed to be of importance in protein–protein interaction. Proline disrupts α-helices and β-sheets, and its bulky pyrrolidine ring restricts the range of possible conformations and constrains the adjacent residue. Consequently, proline residues maintain the integrity of protein–protein interaction sites by establishing “brackets” that interrupt surrounding α-helix or β-sheet structures.52-55 The role of proline residues in protein–protein interactions is also indicated by the quaternary structures of oligomeric proteins anchored to each other by arm exchange.56 Prolines are often found at positions at which the exchanged arms take off from the protein cores, and mutation of these hinge prolines prevents oligomerization.56 In our studies, the ZNF198–FGFR1 oligomerization interface was localized to a 118-amino acid proline-rich region. Further studies are now needed to determine the minimal interaction site and the structural basis for self-association. It also remains to be determined whether ZNF198 oligomerizes in its native form and whether ZNF198 interacts with the family members ZNF261/DXS6673E,57ZNF262/KIAA0425,58 and ZNF258.59 

Notably, Ollendorff et al60 have reported that an N-terminal truncated ZNF198–FGFR1 fusion protein, lacking the first 4 ZNF198 zinc fingers, did not associate with full-length ZNF198–FGFR1 in a yeast 2-hybrid assay. This finding suggested a contribution, for the first 4 zinc fingers, in ZNF198–FGFR1 oligomerization. The same report, on the other hand, provided evidence against such a role. Namely, the N-terminal truncated and full-length ZNF198–FGFR1 proteins oligomerized when coexpressed in Cos-1 cells. Similarly, our in vitro evaluations provide strong evidence that ZNF198 zinc fingers are not requisite for ZNF198–FGFR1-mediated cell transformation. Transforming potential, as assessed by the induction and kinetics of IL-3–independent growth in Ba/F3 cells, was comparable in ZNF198–FGFR1 proteins containing no zinc fingers, 4 zinc fingers, or 10 zinc fingers. Whereas the 4 and 10 zinc finger ZNF198–FGFR1 isoforms are coexpressed in human t(8;13) lymphoma cells, the “no zinc finger protein” ZNF198–FGFR1 does not occur naturally. However, the studies reported herein suggest that the ZNF198 zinc fingers are nonessential in ZNF198–FGFR1 oligomerization and oncogenic transformation. In contrast, the novel proline-rich ZNF198 oligomerization domain is critical for self-association, kinase activation, and cellular transformation and thus is a potential target for drug development.

RTK signaling pathways play an important role in cell mitosis, differentiation, migration, and metabolism, and their abnormal activation has been observed in an increasing number of hematologic and solid tumors. RTKs have distinct ligands, and they use complex signaling networks in transducing extracellular signals to the nucleus. However, a recent study revealed that the activation of various RTKs is accompanied by broadly overlapping effects on the expression of immediate early genes (IEG).61 In particular, the sets of IEGs induced by PDGFR β and FGFR1 were virtually identical. The similar IEG expression profiles for PDGFR β and FGFR1 are notable because constitutively activated forms of PDGFR β and FGFR1 are found in phenotypically distinctive hematopoietic neoplasms. PDGFR β fusion proteins have been reported only in a subset of patients with juvenile chronic myelomonocytic leukemia45 and, unlike ZNF198–FGFR1, have not been described in lymphoid neoplasms. Further studies are needed to determine whether the different clinicopathologic associations for PDGFR β and FGFR1 oncoproteins result from subtle differences in aberrant PDGFR β versus FGFR1 signaling or from unique interactions involving the N-terminal, non-RTK, components of the fusion proteins.

Supported by National Institutes of Health grant R01 CA72791 and American Cancer Society grant RPG-00-108-01-MGO.

Reprints:Sheng Xiao/Jonathan A. Fletcher, Department of Pathology, Brigham and Women's Hospital, 75 Francis Street, Boston, MA 02115; e-mail: sxiao@rics.bwh.harvard.edu orjfletcher@rics.bwh.harvard.edu.

The publication costs of this article were defrayed in part by page charge payment. Therefore, and solely to indicate this fact, this article is hereby marked “advertisement” in accordance with 18 U.S.C. section 1734.

1
Rowley
JD
Recurring chromosome abnormalities in leukemia and lymphoma.
Semin Hematol.
27
1990
122
136
2
Nowell
PC
Croce
CM
Philip Levine Award Lecture: chromosome translocations and oncogenes in human lymphoid tumors.
Am J Clin Pathol.
94
1990
229
237
3
Offit
K
Chaganti
RS
Chromosomal aberrations in non-Hodgkin's lymphoma: biologic and clinical correlations.
Hematol Oncol Clin North Am.
5
1991
853
869
4
Gauwerky
CE
Croce
CM
Chromosomal translocations in leukaemia.
Semin Cancer Biol.
4
1993
333
340
5
Soulez
M
Saurin
AJ
Freemont
PS
Knight
JC
SSX and the synovial-sarcoma-specific chimaeric protein SYT-SSX co-localize with the human Polycomb group complex.
Oncogene.
18
1999
2739
2746
6
Muller
S
Miller
WH
Dejean
A
Trivalent antimonials induce degradation of the PML-RAR oncoprotein and reorganization of the promyelocytic leukemia nuclear bodies in acute promyelocytic leukemia NB4 cells.
Blood.
92
1998
4308
4316
7
Ginsberg
JP
Davis
RJ
Bennicelli
JL
Nauta
LE
Barr
FG
Up-regulation of MET but not neural cell adhesion molecule expression by the PAX3-FKHR fusion protein in alveolar rhabdomyosarcoma.
Cancer Res.
58
1998
3542
3546
8
Raelson
JV
Nervi
C
Rosenauer
A
et al
The PML/RAR alpha oncoprotein is a direct molecular target of retinoic acid in acute promyelocytic leukemia cells.
Blood.
88
1996
2826
2832
9
Hunger
SP
Brown
R
Cleary
ML
DNA-binding and transcriptional regulatory properties of hepatic leukemia factor (HLF) and the t(17;19) acute lymphoblastic leukemia chimera E2A-HLF.
Mol Cell Biol.
14
1994
5986
5996
10
Bailly
RA
Bosselut
R
Zucman
J
et al
DNA-binding and transcriptional activation properties of the EWS-FLI-1 fusion protein resulting from the t(11;22) translocation in Ewing sarcoma.
Mol Cell Biol.
14
1994
3230
3241
11
Kakizuka
A
Miller
WH
Umesono
K
et al
Chromosomal translocation t(15;17) in human acute promyelocytic leukemia fuses RAR alpha with a novel putative transcription factor, PML.
Cell.
66
1991
663
674
12
Davis
RL
Konopka
JB
Witte
ON
Activation of the c-abl oncogene by viral transduction or chromosomal translocation generates altered c-abl proteins with similar in vitro kinase properties.
Mol Cell Biol.
5
1985
204
213
13
Locatelli
F
Niemeyer
C
Angelucci
E
et al
Allogeneic bone marrow transplantation for chronic myelomonocytic leukemia in childhood: a report from the European Working Group on Myelodysplastic Syndrome in Childhood.
J Clin Oncol.
15
1997
566
573
14
Peeters
P
Wlodarska
I
Baens
M
et al
Fusion of ETV6 to MDS1/EVI1 as a result of t(3;12)(q26;p13) in myeloproliferative disorders.
Cancer Res.
57
1997
564
569
15
Abruzzo
LV
Jaffe
ES
Cotelingam
JD
Whang-Peng
J
Del Duca
V
Medeiros
LJ
T-cell lymphoblastic lymphoma with eosinophilia associated with subsequent myeloid malignancy.
Am J Surg Pathol.
16
1992
236
245
16
Inhorn
RC
Aster
JC
Roach
SA
et al
A syndrome of lymphoblastic lymphoma, eosinophilia, and myeloid hyperplasia/malignancy associated with t(8;13)(p11;q11): description of a distinctive clinicopathologic entity.
Blood.
85
1995
1881
1887
17
Fagan
K
Hyde
S
Harrison
P
Translocation (8;13) and T-cell lymphoma: a case report.
Cancer Genet Cytogenet.
65
1993
71
73
18
Naeem
R
Singer
S
Fletcher
JA
Translocation t(8;13)(p11;q11-12) in stem cell leukemia/lymphoma of T-cell and myeloid lineages.
Genes Chromosomes Cancer.
12
1995
148
151
19
Macdonald
D
Sheerin
SM
Cross
NC
Spencer
A
Goldman
JM
An atypical myeloproliferative disorder with t(8;13) (p11;q12): a third case.
Br J Haematol.
86
1994
879
880
20
Leslie
J
Barker
T
Glancy
M
Jennings
B
Pearson
J
t(8;13) (p11;q12) translocation in a myeloproliferative disorder associated with a T-cell non-Hodgkin lymphoma.
Br J Haematol.
86
1994
876
878
21
Rao
PH
Cesarman
G
Coleman
M
Acaron
S
Verma
RS
Cytogenetic evidence for extramedullary blast crisis with t(8;13)(q11;p11) in chronic myelomonocytic leukemia.
Acta Haematol.
88
1992
201
203
22
Behringer
D
Schaefer
HE
Kunzmann
R
Mertelsmann
R
Dolken
G
Translocation t(8;13) in a patient with T cell lymphoma and features of a myeloproliferative syndrome.
Leukemia.
9
1995
988
992
23
Michaux
L
Mecucci
C
Pereira Velloso
ER
et al
About the t(8;13)(p11;q12) clinico-pathologic entity.
Blood.
87
1996
1658
1659
24
Reiter
A
Sohal
J
Kulkarni
S
et al
Consistent fusion of ZNF198 to the fibroblast growth factor receptor-1 in the t(8;13)(p11;q12) myeloproliferative syndrome.
Blood.
92
1998
1735
1742
25
Popovici
C
Adelaide
J
Ollendorff
V
et al
Fibroblast growth factor receptor 1 is fused to FIM in stem-cell myeloproliferative disorder with t(8;13).
Proc Natl Acad Sci U S A.
95
1998
5712
5717
26
Smedley
D
Hamoudi
R
Clark
J
et al
The t(8;13)(p11;q11-12) rearrangement associated with an atypical myeloproliferative disorder fuses the fibroblast growth factor receptor 1 gene to a novel gene RAMP.
Hum Mol Genet.
7
1998
637
642
27
Xiao
S
Nalabolu
SR
Aster
JC
et al
FGFR1 is fused with a novel zinc-finger gene, ZNF198, in the t(8;13) leukaemia/lymphoma syndrome.
Nat Genet.
18
1998
84
87
28
Lee
PL
Johnson
DE
Cousens
LS
Fried
VA
Williams
LT
Purification and complementary DNA cloning of a receptor for basic fibroblast growth factor.
Science.
245
1989
57
60
29
Ruta
M
Burgess
W
Givol
D
et al
Receptor for acidic fibroblast growth factor is related to the tyrosine kinase encoded by the fms-like gene (FLG).
Proc Natl Acad Sci U S A.
86
1989
8722
8726
30
Johnson
DE
Lee
PL
Lu
J
Williams
LT
Diverse forms of a receptor for acidic and basic fibroblast growth factors.
Mol Cell Biol.
10
1990
4728
4736
31
Vainikka
S
Partanen
J
Bellosta
P
et al
Fibroblast growth factor receptor-4 shows novel features in genomic structure, ligand binding and signal transduction.
EMBO J.
11
1992
4273
4280
32
Hawley
RG
Fong
AZ
Burns
BF
Hawley
TS
Transplantable myeloproliferative disease induced in mice by an interleukin 6 retrovirus.
J Exp Med.
176
1992
1149
1163
33
Pear
WS
Nolan
GP
Scott
ML
Baltimore
D
Production of high-titer helper-free retroviruses by transient transfection.
Proc Natl Acad Sci U S A.
90
1993
8392
8396
34
Kitayama
H
Kanakura
Y
Furitsu
T
et al
Constitutively activating mutations of c-kit receptor tyrosine kinase confer factor-independent growth and tumorigenicity of factor-dependent hematopoietic cell lines.
Blood.
85
1995
790
798
35
Tsujimura
T
Hashimoto
K
Kitayama
H
et al
Activating mutation in the catalytic domain of c-kit elicits hematopoietic transformation by receptor self-association not at the ligand-induced dimerization site.
Blood.
93
1999
1319
1329
36
Lam
LP
Chow
RY
Berger
SA
A transforming mutation enhances the activity of the c-Kit soluble tyrosine kinase domain.
Biochem J.
338
pt 1
1999
131
138
37
Tsujimura
T
Kanakura
Y
Kitamura
Y
Mechanisms of constitutive activation of c-kit receptor tyrosine kinase.
Leukemia.
3(suppl 11)
1997
396
398
38
Carroll
M
Tomasson
MH
Barker
GF
Golub
TR
Gilliland
DG
The TEL/platelet-derived growth factor beta receptor (PDGF beta R) fusion in chronic myelomonocytic leukemia is a transforming protein that self-associates and activates PDGF beta R kinase-dependent signaling pathways.
Proc Natl Acad Sci U S A.
93
1996
14845
14850
39
Weiss
A
Schlessinger
J
Switching signals on or off by receptor dimerization.
Cell.
94
1998
277
280
40
Hirota
S
Isozaki
K
Moriyama
Y
et al
Gain-of-function mutations of c-kit in human gastrointestinal stromal tumors.
Science.
279
1998
577
580
41
Furitsu
T
Tsujimura
T
Tono
T
et al
Identification of mutations in the coding sequence of the proto-oncogene c-kit in a human mast cell leukemia cell line causing ligand-independent activation of c-kit product.
J Clin Invest.
92
1993
1736
1744
42
Mulligan
LM
Kwok
JB
Healey
CS
et al
Germ-line mutations of the RET proto-oncogene in multiple endocrine neoplasia type 2A.
Nature.
363
1993
458
460
43
Donis-Keller
H
Dou
S
Chi
D
et al
Mutations in the RET proto-oncogene are associated with MEN 2A and FMTC.
Hum Mol Genet.
2
1993
851
856
44
Chappuis-Flament
S
Pasini
A
De Vita
G
et al
Dual effect on the RET receptor of MEN 2 mutations affecting specific extracytoplasmic cysteines.
Oncogene.
17
1998
2851
2861
45
Golub
TR
Barker
GF
Lovett
M
Gilliland
DG
Fusion of PDGF receptor beta to a novel ets-like gene, tel, in chronic myelomonocytic leukemia with t(5;12) chromosomal translocation.
Cell.
77
1994
307
316
46
Grieco
M
Santoro
M
Berlingieri
MT
et al
PTC is a novel rearranged form of the ret proto-oncogene and is frequently detected in vivo in human thyroid papillary carcinomas.
Cell.
60
1990
557
563
47
Morris
SW
Kirstein
MN
Valentine
MB
et al
Fusion of a kinase gene, ALK, to a nucleolar protein gene, NPM, in non-Hodgkin's lymphoma.
Science.
263
1994
1281
1284
48
Teyssier
JR
Bartram
CR
Deville
J
Potron
G
Pigeon
F
c-abl oncogene and chromosome 22 “bcr” juxtaposition in chronic myelogenous leukemia.
N Engl J Med.
312
1985
1393
1394
49
Rubin
BP
Chen
CJ
Morgan
TW
et al
Congenital mesoblastic nephroma t(12;15) is associated with ETV6-NTRK3 gene fusion: cytogenetic and molecular relationship to congenital (infantile) fibrosarcoma.
Am J Pathol.
153
1998
1451
1458
50
Knezevich
SR
McFadden
DE
Tao
W
Lim
JF
Sorensen
PH
A novel ETV6-NTRK3 gene fusion in congenital fibrosarcoma.
Nat Genet.
18
1998
184
187
51
Knezevich
SR
Garnett
MJ
Pysher
TJ
Beckwith
JB
Grundy
PE
Sorensen
PH
ETV6-NTRK3 gene fusions and trisomy 11 establish a histogenetic link between mesoblastic nephroma and congenital fibrosarcoma.
Cancer Res.
58
1998
5046
5048
52
Kini
RM
Evans
HJ
A hypothetical structural role for proline residues in the flanking segments of protein-protein interaction sites.
Biochem Biophys Res Commun.
212
1995
1115
1124
53
Kini
RM
Evans
HJ
Prediction of potential protein–protein interaction sites from amino acid sequence: identification of a fibrin polymerization site.
FEBS Lett.
385
1996
81
86
54
Kini
RM
Evans
HJ
A novel approach to the design of potent bioactive peptides by incorporation of proline brackets: antiplatelet effects of Arg-Gly-Asp peptides.
FEBS Lett.
375
1995
15
17
55
Kini
RM
Proline brackets and identification of potential functional sites in proteins: toxins to therapeutics.
Toxicon.
36
1998
1659
1670
56
Bergdoll
M
Remy
MH
Cagnon
C
Masson
JM
Dumas
P
Proline-dependent oligomerization with arm exchange.
Structure.
5
1997
391
401
57
van der Maarel
SM
Scholten
IH
Huber
I
et al
Cloning and characterization of DXS6673E, a candidate gene for X-linked mental retardation in Xq13.1.
Hum Mol Genet.
5
1996
887
897
58
Ishikawa
K
Nagase
T
Nakajima
D
et al
Prediction of the coding sequences of unidentified human genes. VIII. 78 new cDNA clones from brain which code for large proteins in vitro.
DNA Res.
4
1997
307
313
59
Smedley
D
Hamoudi
R
Lu
YJ
Cooper
C
Shipley
J
Cloning and mapping of members of the MYM family.
Genomics.
60
1999
244
247
60
Ollendorff
V
Guasch
G
Isnardon
D
Galindo
R
Birnbaum
D
Pebusque
MJ
Characterization of FIM-FGFR1, the fusion product of the myeloproliferative disorder-associated t(8;13) translocation.
J Biol Chem.
274
1999
26922
26930
61
Fambrough
D
McClure
K
Kazlauskas
A
Lander
ES
Diverse signaling pathways activated by growth factor receptors induce broadly overlapping, rather than independent, sets of genes [see comments].
Cell.
97
1999
727
741
Sign in via your Institution