Abstract
Because of the probable causal relationship between constitutive p210bcr/abl protein tyrosine kinase activity and manifestations of chronic-phase chronic myelogenous leukemia (CML; myeloid expansion), a key goal is to identify relevant p210 substrates in primary chronic-phase CML hematopoietic progenitor cells. We describe here the purification and mass spectrometric identification of a 155-kD tyrosine phosphorylated protein associated with src homologous and collagen gene (SHC) from p210bcr/abl-expressing hematopoietic cells as SHIP2, a recently reported, unique SH2-domain–containing protein closely related to phosphatidylinositol polyphosphate 5-phosphatase SHIP. In addition to an N-terminal SH2 domain and a central catalytic region, SHIP2 (like SHIP1) possesses both potential PTB(NPXY) and SH3 domain (PXXP) binding motifs. Thus, two unique 5-ptases with striking structural homology are coexpressed in hematopoietic progenitor cells. Stimulation of human hematopoietic growth factor responsive cell lines with stem cell factor (SCF), interleukin-3 (IL-3), and granulocyte-macrophage colony-stimulating factor (GM-CSF) demonstrate the rapid tyrosine phosphorylation of SHIP2 and its resulting association with SHC. This finding suggests that SHIP2, like that reported for SHIP1 previously, is linked to downstream signaling events after activation of hematopoietic growth factor receptors. However, using antibodies specific to these two proteins, we demonstrate that, whereas SHIP1 and SHIP2 selectively hydrolyze PtdIns(3,4,5)P3 in vitro, only SHIP1 hydrolyzes soluble Ins(1,3,4,5)P4. Such an enzymatic difference raises the possibility that SHIP1 and SHIP2 may serve different functions. Preliminary binding studies using lysates from p210bcr/abl-expressing cells indicate that both Ptyr SHIP2 and Ptyr SHIP1 bind to the PTB domain of SHC but not to its SH2 domain. Interestingly, SHIP2 was found to selectively bind to the SH3 domain of ABL, whereas SHIP1 selectively binds to the SH3 domain of Src. Furthermore, in contrast to SHIP1, SHIP2 did not bind to either the N-terminal or C-terminal SH3 domains of GRB2. These observations suggest (1) that SHIP1 and SHIP2 may have a different hierarchy of binding SH3 containing proteins and therefore may modulate different signaling pathways and/or localize to different cellular compartments and (2) that they may be substrates for tyrosine phosphorylation by different tyrosine kinases. Because recent evidence has clearly implicated both PI(3,4,5)P3 and PI(3,4)P2 in growth factor-mediated signaling, our finding that both SHIP1 and SHIP2 are constitutively tyrosine phosphorylated in CML primary hematopoietic progenitor cells may thus have important implications in p210bcr/abl-mediated myeloid expansion.
CHRONIC MYELOGENOUS leukemia (CML) is a clonal disease involving the pluripotent hematopoietic stem cell compartment1 and is associated with the reciprocal translocation between chromosomes 9 and 22.2,3 At the molecular level, the c-abl oncogene on chromosome 9 is linked to the 5′ half of the bcr gene on chromosome 22, thus producing a hybrid bcr/abl gene.4-6 In chronic-phase (CP) patients this chimeric gene is transcribed into an 8.5-kb mRNA that codes for a p210bcr/ablprotein7,8 possessing activated protein tyrosine kinase activity.9 Phosphorylation of specific regulatory proteins involving tyrosine residues has clearly been shown to be intimately involved in controlling cell growth and differentiation.10-13 Indeed, the transforming ability of p210bcr/abl requires the presence of the functional protein kinase domain.14 In light of the probable causal relationship between the constitutive p210bcr/ablprotein tyrosine kinase activity and the manifestations of CP CML,15-17 a critical goal is to identify essential intracellular target proteins phosphorylated by p210bcr/abl.18
To this end we initiated studies to identify differences in proteins constitutively phosphorylated on tyrosine in comparable primary early blast subpopulations derived from normal and Philadelphia chromosome-positive (Ph+) CP CML marrows.18,19Several tyrosine phosphorylated (Ptyr) proteins were apparent in primitive CML blasts and were virtually undetectable in primitive normal blasts.18,19 Recently, two of these novel Ptyr proteins (p62dok and p56dok) were purified and their genes were cloned.20,21 Both of these proteins, when tyrosine phosphorylated, can bind to rasGAP and display additional characteristics of docking proteins, including an N-terminal PH domain and clusters of PXXP motifs.20-22
In addition to p62dok and p56dok there are two other prominent, closely migrating Ptyr proteins (in sodium dodecyl sulfate-polyacrylamide gel electrophoresis [SDS-PAGE] gels), p140 and p155, both of which consistently display increased Ptyr levels in primary CML progenitor cells19 and p210bcr/abl-expressing cell lines (Fig 1). We have presently identified the p140 in primary CML blasts to be the SH2-containing inositol polyphosphate-5-phosphatase (5-ptase), referred to as SHIP.23-25 This finding extends the earlier observation that SHIP is constitutively tyrosine phosphorylated in p210bcr/abl-expressing cell lines.26This particular 5-ptase has been shown to be transiently tyrosine phosphorylated and associated with the adaptor protein src homologous and collagen gene (SHC) after stimulation of hematopoietic cells with multiple hematopoietic growth factors.27Enzymatically, SHIP selectively hydrolyzes the 5′-phosphate from inositol-1,3,4,5-tetraphosphate, In(1,3,4,5)P4, and phosphatidylinositol-3,4,5-triphosphate, PtdIns(3,4,5)P3. Structurally, SHIP is considered unique among 5-ptases in that it is the only one to date to contain a Src-homology 2 (SH2) domain. In addition, it contains two SHC PTB binding (NPXY) sites as well as several potential SH3-domain binding (PXXP) sites. In vitro and in vivo studies25,28-30 have provided evidence that SHIP is a negative regulator of signaling and inhibits cell growth. Of particular interest also is the recent finding that SHIP null (−/−) mice exhibit a myeloproliferative-like syndrome.29
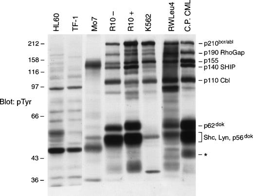
Analysis of Ptyr proteins constitutively present in p210bcr/abl-expressing cells. NP-40 lysates (50 μg), obtained from p210bcr/abl-negative (HL60, TF-1, and M07) and p210bcr/abl-positive (R10−, R10+, K562, and RWLeu4) cell lines as well as CP CML progenitor cells (CP CML), were separated by SDS-PAGE and transferred to Immobilon. The membrane was probed with anti-Ptyr MoAb, 4G10, and developed with the ECL detection system. Molecular weight markers are indicated on the left side of the panel and are in kilodaltons. The asterisk on the right side of panel indicates a Ptyr protein in primary CP CML cells that reacts with an antibody raised against p62dok. This suggests it may be a degradation product or isoform of p62dok.
Analysis of Ptyr proteins constitutively present in p210bcr/abl-expressing cells. NP-40 lysates (50 μg), obtained from p210bcr/abl-negative (HL60, TF-1, and M07) and p210bcr/abl-positive (R10−, R10+, K562, and RWLeu4) cell lines as well as CP CML progenitor cells (CP CML), were separated by SDS-PAGE and transferred to Immobilon. The membrane was probed with anti-Ptyr MoAb, 4G10, and developed with the ECL detection system. Molecular weight markers are indicated on the left side of the panel and are in kilodaltons. The asterisk on the right side of panel indicates a Ptyr protein in primary CP CML cells that reacts with an antibody raised against p62dok. This suggests it may be a degradation product or isoform of p62dok.
In the present study, we describe the purification and characterization of the p155 protein that is constitutively phosphorylated in primary CML cells and various p210bcr/abl-expressing cell lines. Using mass spectrometric and immunologic methods, we show that p155, intriguingly, is SHIP2, a novel SH2-domain–containing protein with homology to SHIP.31 This reputed SHIP also contains both potential PTB(NPXY) and SH3 domain (PXXP) binding motifs. However, the present studies indicate that SHIP2 and SHIP1 may have a different hierarchy of binding SH3-domain containing proteins. Furthermore, using 5-ptase assays, we determined that, like SHIP1, SHIP2 selectively hydrolyzes the 5′-phosphate from PtdIns(3,4,5)P3 in vitro, but, unlike SHIP1, it does not hydrolyze Ins(1,3,4,5)P4. Finally, using hematopoietic growth factor-dependent human cell lines, we presently demonstrate that stem cell factor (SCF), interleukin-3 (IL-3), and granulocyte-macrophage colony-stimulating factor (GM-CSF) stimulate tyrosine phosphorylation of SHIP2 and, further, that a small proportion of the SHC protein is induced to associate with SHIP2.
MATERIALS AND METHODS
Cells.
Immortalized human hematopoietic Ph+ (K562, RWLeu4) and Ph− (HL-60) cell lines were routinely maintained in Iscove’s modified Dulbecco’s medium (IMDM; GIBCO, Grand Island, NY) containing 10% fetal calf serum (FCS; HyClone, Logan, UT). The human growth factor-dependent Ph− erythroblastic cell line, TF-1,32 was propagated in IMDM supplemented with 10% FCS and 10 ng/mL of recombinant IL-3 (rIL-3; Intergen, Purchase, NY). The M07 megakaryoblastic cell line and a derivative of M07 that expresses p210bcr/abl, M07p210 (kindly provided by Dr Brian Druker, Oregon Health Sciences University, Portland, OR), were maintained as described.33R10+ and R10− cells are two distinct sublines recently isolated by our laboratory from M07p210cells. Although both express p210bcr/abl and are growth factor independent, R10− cells are phenotypically and cytogenetically similar to the megakaryoblastic parent M07 cell line, whereas R10+ have a distinct erythroid phenotype (displaying glycophorin A on the cell surface) and contain additional chromosomal abnormalities.
Hematopoietic progenitor cells from CML patients in the CP were isolated either by negative selection34 35 or by CD34 antigen positive selection using a magnetic cell sorting program Mini-MACS (Miltenyi Biotec, Auburn, CA) and the CD34+isolation kit in accordance with the manufacturer’s instructions. The purity of the CD34+ selected cells was determined by FACScan analysis.
Treatment of cells.
Exponentially growing M07 cells were washed free of growth factors and incubated for 16 hours at 37°C in IMDM containing 1% FCS. Cells were then pelleted by centrifugation, resuspended in IMDM + 1% FCS, and exposed to recombinant growth factors (100 ng/mL) for 5 minutes at 37°C.19,33 Cells were then washed once with phosphate-buffered saline (PBS) and processed for immunoprecipitation and Western blot analysis as previously described.19,33 In some experiments, exponentially growing K562 cells were treated overnight at 37°C with a tyrosine kinase inhibitor CGP57148 (10 μmol/L; kindly provided by Dr Nicholas B. Lydon, formerly at Ciba-Geigy, Basel, Switzerland) that has recently been shown to selectively inhibit the c-kit tyrosine kinase receptor and the p210bcr/abl protein (Carroll et al36and personal observations). The viability of the treated cells was greater than 98% after overnight treatment with CGP57148.
Immunoprecipitation and Western blot analysis.
Cell lysates were prepared and immunoprecipitated as previously described in detail.18,19,33 The following antibodies were used for immunoprecipitation: anti-SHIP1 (8727),24 anti-SHC (Transduction Laboratories, Lexington, KY), and anti-SHIP2 (see below) polyclonal antibodies. SDS-PAGE and Western transfer were performed as previously described,18,19,33 and the following antibodies were used for Western blotting: anti-Ptyr MoAb 4G10 (UBI, Lake Placid, NY), anti-SHC MoAb (Santa Cruz Biotechnology, Santa Cruz, CA), anti-SHIP1 polyclonals 5340 (kindly provided by Dr Larry R. Rohrschneider, Fred Hutchinson Cancer Research Center, Seattle, WA)25 and 8727 (see above), and anti-SHIP2 (see below). The secondary antibodies were horseradish peroxidase-conjugated affiniPure donkey antirabbit IgG and sheep antimouse IgG (Jackson ImmunoResearch, West Grove, PA).
Protein purification.
K562 cells (500 × 106) were lysed in 12.5 mL of NP40 lysis buffer, precleared with protein A sepharose beads (Pharmacia, Piscataway, NJ) to decrease nonspecific binding, and rotated end-over-end for 3 hours at 4°C with 50 μg anti-SHC polyclonal coupled to protein A sepharose beads. After extensive washing, the immunocomplexes were eluted by boiling in SDS-PAGE sample buffer. The resulting eluates were resolved by SDS-PAGE (6% gel) and transferred overnight to nitrocellulose (Bio-Rad, Hercules, CA) for subsequent protein structure determination.
Protein digestion.
The 155-kD band was excised from the nitrocellulose blot and processed for internal sequence analysis as described.37 38 Briefly, in situ digestion was performed using 0.1 μg trypsin (modified sequencing grade; Promega, Madison, WI) in 10 μL 100 mmol/L NH4HCO3 (supplemented with 0.5% Zwittergent 3-16) for 2 hours at 37°C. The resulting peptide mixture was then loaded onto 2 μL bed volume of Poros 50 R2 (PerSeptive, Framingham, MA) reversed-phase beads (sized to between 40 and 60 μm; and slurry packed into an Eppendorf gel-loading tip), washed with 20 μL 5% MeCN/0.1% formic acid (FA), and stepwise eluted in 4 μL of 16% (and then with 4 μL 30%) MeCN/0.1% FA; the two resulting fractions are designated 16% pool and 30% pool.
Mass spectrometry.
Each peptide pool was analyzed twice by matrix-assisted laser-desorption/ionization (MALDI) time-of-flight (TOF) mass spectrometry (MS), in the presence and absence of peptide calibrants.38 Aliquots (0.5 μL) were deposited on the probe surface, mixed with α-cyano-4-hydroxy cinnamic acid solution (MALDI-Quality; Bruker-Daltonics, Billerica, MA) on the plate, and allowed to dry at room temperature; calibrants were diluted from concentrated stocks and mixed to yield 12.5 fmol of each per 0.2 μL volume of the same solvent before mixing with the analytes. MALDI-TOF mass spectra were acquired on a REFLEX ΙΙΙ (Bruker-Franzen, Bremen, Germany) instrument equipped with a 337 nm nitrogen laser, a gridless pulsed-extraction ion source, and a 2 GHz digitizer. The instrument was operated in reflector mode; 25 kV ion acceleration, 26.25 kV reflector, and −1.4 kV multiplier voltages were used. Ion extraction was performed 200 nanoseconds after each laser irradiance by pulsing down the source extraction lens to 17.7 kV from its initial 25 kV level to give appropriate time-lag focus conditions at the detector. Spectra were obtained by averaging multiple signals; laser irradiance and number of acquisitions (typically 100 to 150) were operator adjusted to yield maximal peak deflections, derived from the digitizer as TOF data and displayed in real time as mass spectra using a SPARC station 5 (Sun Microsystems, Mountain View, CA). After recalibration with internal standards, monoisotopic masses were assigned for all prominent peaks, and a peptide mass list was generated.
Electrospray ionization (ESI) MS was performed on an API 300 triple quadrupole instrument (PE-SCIEX, Thornhill, Ontario, Canada), modified with an injection adaptablefine ionization source (JaFIS) as described.39 Needle voltage ranged from 600 to 1,350 V, depending on the application. The voltages for the orifice and the curtain plate were set at 5 and 350 V, respectively. Q1 scans were collected using a 0.5 amu step size, and a 3-millisecond dwell time over a mass range from 400 to 1400 amu; scans were averaged for statistical analysis, and Q1 resolution was set such that the charge state of singly, doubly, and triply charged ions could be ascertained. For operation in the MS/MS mode, Q1 was set to transmit the complete isotopic envelope of the parent. All spectra were averaged with a 0.5 Dalton step size and a 3-millisecond dwell time for 5 minutes over the mass range of the singly charged m/z. Q3 resolution was set such that the charge state of the fragment ions could be distinguished. Collision energies, as well as CAD gas pressures, were optimized individually for each peptide as to obtain the best MS/MS spectra.
Selected major mass values (combined from the 16% and 30% peptide pools, but restricted to 1,000 amu ≤ m/z ≤ 3,000 amu) from the MALDI-TOF experiments were arbitrarily taken to search a protein nonredundant database (NRDB; European Bioinformatics Institute, Hinxton, UK) using the PeptideSearch40 algorithm. A molecular weight range of up to 300 kD was covered, with a mass accuracy restriction of 40 ppm or better, and a maximum of one missed cleavage site allowed per peptide. MS/MS spectra from the ESI triple quadrupole analyses were inspected for uninterrupted y" ion series using the find higher AAs routine of the BioToolbox (PE-SCIEX) software; the resultant information (2 to 6 amino acids partial sequence, plus corresponding precursor and fragment ion masses) was semiautomatically transferred, by way of a custom AppleScript (Apple Computer, Cupertino, CA), to the SequenceTag41 program and used as a search string, with a 2-Dalton mass error restriction.
Anti-SHIP2 antibodies.
A peptide corresponding to the C-terminal of SHIP231 was synthesized (D I T E E D L E E A G V Q D P A H K C; MSKCC Microchemistry Core Facility), conjugated to maleimide-activated KLH (Pierce, Rockford, IL), and used to immunize rabbits (Pocono Rabbit Farm & Laboratory, Inc, Canadensis, PA). We should point out that the above-described immunizing peptide exhibits no homology to any amino acid sequence in the SHIP1 protein.27 Antipeptide antibodies were purified by affinity chromatography over a peptide column (Sulfo-link Coupling Gel; Pierce).
Inositol polyphosphate 5-phosphatase (5-ptase) assays.
[32P]PtdIns(3,4,5)-P3 was prepared as previously described42 using PtdIns(4,5)-P2 and recombinant phosphatidylinositol 3-kinase.43 The 5-phosphatase activity was measured using sonicated vesicles that contained 10,000 cpm of thin layer chromatography (TLC)-purified PtdIns(3,4,5) together with 4 μg of phosphatidylcholine in 50 mmol/L Tris-HCl, pH 7.5, and 10 mmol/L MgCl2. Reaction mixtures containing 25 μL of substrate and immunoprecipitates were mixed for 30 minutes at 37°C. Reactions were stopped and the products were separated by TLC. Hydrolysis of [3H]Ins(1,3,4,5)-P4 and [3H]Ins(1,4,5)-P3 by immunoprecipitates was measured as described.44
Glutathione-S-transferase (GST)-fusion proteins and affinity binding.
Purified GST fusion proteins containing the SH2 domain or the PTB domain of the human SHC adaptor protein were generously provided by Dr Pier Giuseppe Pelicci (European Institute of Oncology, Milan, Italy).45,46 Purified GST fusion proteins containing the SH3 domains of Abl, Src, Crk, or the SH2 domain of Abl were kindly provided by Dr Hidesaburo Hanafusa (Rockefeller University, New York, NY). Bacterial expression plasmids coding for the GST fusion products containing the N-terminal or C-terminal SH2 domains of rasGAP (kindly provided by Dr Michael F. Moran, University of Toronto, Toronto, Ontario, Canada) were expressed in Escherichia coli cultures and the GST-fusion proteins were purified as described previously.47 Purified GST fusion proteins containing the SH3 domains of GRB2 and RasGAP were purchased from Santa Cruz.
Affinity precipitation with the various GST-fusion proteins was performed as previously described.19 33 Briefly, NP-40 lysates from 10 × 106 K562 cells were mixed with 5 μg of GST or 5 μg of GSTfusion protein immobilized on glutathione-agarose beads for 2 hours at 4°C. Beads were washed 4× with lysis buffer and eluted proteins were subjected to SDS-PAGE and Western blotting procedures described above.
RESULTS
Ptyr proteins in CP CML progenitor cells and p210bcr/abl-expressing cell lines.
After our initial observations19 that several tyrosine phosphorylated proteins were consistently apparent in hematopoietic progenitor cells derived from the marrows of CML patients in CP but not normal donors, we have since identified many of these Ptyr proteins expressed in primary blasts (Fig 1, CP CML). These include RhoGAP190, Cbl, the adaptor protein SHC (p52 and p56 isoforms; unpublished observations), as well as the rasGAP binding proteins p62dok20 and p56dok.21 Very recently, we have also identified the Ptyr p140 kD protein as SHIP (see Fig 9). The constitutive tyrosine phosphorylation of this hematopoietic 5-ptase in primary CML cells extends the previous finding that it is tyrosine phosphorylated in p210bcr/abl-expressing cell lines and associates with SHC.26
Clearly evident in Fig 1 is a prominent Ptyr protein with a molecular weight of 155 kD that is present in the lysates of primary CML cells as well as various p210bcr/abl-expressing cell lines. Initial attempts to identify this Ptyr protein with antibodies to potential candidate signaling proteins with a similar molecular weight showed that it was unrelated to PLCγ, BCR, c-Abl, the c-kit tyrosine kinase receptor, SOS1, SOS2, or the β chain of the IL-3 and GM-CSF receptor. Furthermore, it was essentially immunologically unreactive with anti-SHIP polyclonal antibodies.
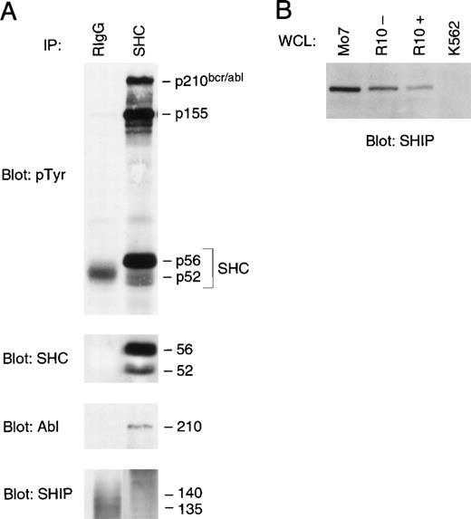
Because this Ptyr 155-kD protein did not appear to be immunologically related to several candidate proteins, it was reasonable to consider that it could be novel. To purify this protein, we took advantage of our observation that not only Ptyr 140 SHIP, but also Ptyr 155 coimmunoprecipitates with SHC from lysates of p210-expressing cells. Furthermore, the K562 cell line appeared to be particularly advantageous for the purification of Ptyr 155 due to the virtual absence of Ptyr 140 SHIP in SHC immunoprecipitates from K562 lysates (Fig 2A). This latter observation is attributable to the fact that the p140 SHIP protein is minimally (or not) expressed in K562 cells (in contrast to its expression in M07, R10+, and R10− cells; Fig 2B). In fact, using immunoprecipitation followed by Western blotting with anti-p140 SHIP Abs, we have not detected the p140 SHIP protein from as many as 10 × 106 K562 cells. It should also be noted that, in addition to the prominent Ptyr 155, p210bcr/abl was also found in the anti-SHC immunoprecipitates from K562 lysates (Fig2A).
A 155-kD tyrosine phosphorylated protein is unrelated to p140 SHIP and coimmunoprecipitates with SHC from K562 lysates. (A) NP-40 lysates of K562 cells (10 × 106) were immunoprecipitated (IP) with rabbit antibodies to SHC or to mouse IgG (RIgG; which served as a control antibody). Immunoprecipitates were separated in 7.5% SDS-PAGE gels, transferred to Immobilon, and immunoblotted with the antibodies indicated on the left of each panel. Each immunoblot represents a reprobing of the same filter. Molecular weights (in kilodaltons) are indicated on the right side of each panel. Please note that the p140 SHIP polyclonal antibody used for blotting (8727) is directed against the carboxyl amino acids 1103-1192 of human SHIP. (B) NP-40 lysates (WCL; 50 μg) from M07, R10−, R10+, and K562 cell lines were separated by SDS-PAGE, transferred to Immobilon, and immunoblotted with p140 SHIP polyclonal antibody 5340 that is directed against amino acids 670-868 of p140 SHIP.
A 155-kD tyrosine phosphorylated protein is unrelated to p140 SHIP and coimmunoprecipitates with SHC from K562 lysates. (A) NP-40 lysates of K562 cells (10 × 106) were immunoprecipitated (IP) with rabbit antibodies to SHC or to mouse IgG (RIgG; which served as a control antibody). Immunoprecipitates were separated in 7.5% SDS-PAGE gels, transferred to Immobilon, and immunoblotted with the antibodies indicated on the left of each panel. Each immunoblot represents a reprobing of the same filter. Molecular weights (in kilodaltons) are indicated on the right side of each panel. Please note that the p140 SHIP polyclonal antibody used for blotting (8727) is directed against the carboxyl amino acids 1103-1192 of human SHIP. (B) NP-40 lysates (WCL; 50 μg) from M07, R10−, R10+, and K562 cell lines were separated by SDS-PAGE, transferred to Immobilon, and immunoblotted with p140 SHIP polyclonal antibody 5340 that is directed against amino acids 670-868 of p140 SHIP.
Identification of p155 as SHIP2.
The feasibility of obtaining a sufficient quantity of the Ptyr 155 protein for further characterization was initially tested by immunoprecipitating SHC from 200 × 106 K562 cells, resolving the eluted proteins in an SDS-PAGE gel, and silver staining. The results in Fig 3, lane A, demonstrated that sufficient quantities (∼100 ng) of p155 could be obtained for mass spectrometric fingerprinting with moderate scale-up. However, it was important to ascertain that the silver-stained protein(s) migrating at 155 kD was entirely attributable to Ptyr 155. This is indeed the case, because immunoprecipitation of SHC from the same number of K562 cells pretreated with the tyrosine kinase inhibitor, CGP57148, showed the absence of a silver-stained 155-kD protein as well as p210bcr/abl (Fig 3, lane B). These results also indicate that the association (direct or indirect) of p155 with SHC (and/or p210bcr/abl) is dependent on a tyrosine phosphorylation event.
Quantitative analysis of the Ptyr 155-kD protein in anti-SHC immunoprecipitates from K562 lysates. K562 cells either untreated (lane A) or treated overnight with the tyrosine kinase inhibitor, CGP57148 (lane B), were lysed. NP-40 lysates (200 × 106 cell equivalents) were immunoprecipitated with an anti-SHC polyclonal antibody and the resulting precipitates were separated in a 6% SDS-PAGE gel. The resolved proteins were then detected by silver staining. Standard molecular weight marker proteins (50 ng/protein) were run simultaneously (M).
Quantitative analysis of the Ptyr 155-kD protein in anti-SHC immunoprecipitates from K562 lysates. K562 cells either untreated (lane A) or treated overnight with the tyrosine kinase inhibitor, CGP57148 (lane B), were lysed. NP-40 lysates (200 × 106 cell equivalents) were immunoprecipitated with an anti-SHC polyclonal antibody and the resulting precipitates were separated in a 6% SDS-PAGE gel. The resolved proteins were then detected by silver staining. Standard molecular weight marker proteins (50 ng/protein) were run simultaneously (M).
For preparative purification and analysis of Ptyr 155, SHC was immunoprecipitated from 500 × 106 K562 cells and the resulting eluates were resolved by SDS-PAGE, transferred to nitrocellulose, and digested with trypsin. Two independent mass spectrometric techniques, peptide mass fingerprinting using MALDI-reTOF mass spectrometry and Sequence Tag database searching using limited amino acid sequence data obtained by ESI tandem mass spectrometry, were used to identify this protein as the putative polyphosphate 5-phosphatase, SHIP2 (EMBL accession no. Y14385), as shown in Fig 4. It was observed that 21 of 22 peptides derived from p155 show identity with SHIP2.
Identification of the Ptyr 155-kD protein in p210bcr/abl-expressing cells by mass spectrophotometric analysis. The tryptic digest mixture was passed over an RP micro-tip and the peptides batch fractionated into a 16% and 30% pool. Each pool was individually analyzed by MALDI reflectron-TOF MS (16% fraction shown in [A]; 30% fraction in [B]) and by continuous flow ESI (JaFIS) triple quadrupole MS/MS (Q1 scan of 30% fraction shown in [C]); only the relevant portions of the spectra are shown. Both types of MS analysis served to independently identify this 155-kD protein as SHIP2 (EMBL Y14385). MALDI-reTOF mass spectra were obtained by averaging 150 scans under constant irradiance. The 17 most prominent peaks (from both pools combined) are labeled in (A) and (B); the corresponding m/z values were taken, from spectra analyzed in the presence of calibrants, to query a nonredundant protein sequence database (NRDB) for pattern matches, using the PeptideSearch program. With a requirement of 17 matches of 17, at a mass accuracy of 40 ppm or better, and a maximum of two missed cleavage sites per peptide, a single protein was retrieved (18% sequence coverage). The ESI-MS (Q1) spectrum of the 30% fraction obtained by a JaFIS-generated continuous flow of 4 nL/min, and averaging 100 scans; (C) contained several peaks corresponding to those observed by MALDI-reTOF mass analysis of the same pool (B). One peptide (1601.692+ [C]) was then selected, by appropriate tuning of Q1, for collision-induced dissociation and subsequent analysis of fragment spectra (in Q3), as shown in (D). A short sequence was assigned, based on the presence of a contiguous y" ion series, enabling positive identification of SHIP2 by SequenceTag (peptide molecular weight [Mr], 1,602 ± 2; [536.0]PFS(IL)EE[1238.6]) based searching of the NRDB database.
Identification of the Ptyr 155-kD protein in p210bcr/abl-expressing cells by mass spectrophotometric analysis. The tryptic digest mixture was passed over an RP micro-tip and the peptides batch fractionated into a 16% and 30% pool. Each pool was individually analyzed by MALDI reflectron-TOF MS (16% fraction shown in [A]; 30% fraction in [B]) and by continuous flow ESI (JaFIS) triple quadrupole MS/MS (Q1 scan of 30% fraction shown in [C]); only the relevant portions of the spectra are shown. Both types of MS analysis served to independently identify this 155-kD protein as SHIP2 (EMBL Y14385). MALDI-reTOF mass spectra were obtained by averaging 150 scans under constant irradiance. The 17 most prominent peaks (from both pools combined) are labeled in (A) and (B); the corresponding m/z values were taken, from spectra analyzed in the presence of calibrants, to query a nonredundant protein sequence database (NRDB) for pattern matches, using the PeptideSearch program. With a requirement of 17 matches of 17, at a mass accuracy of 40 ppm or better, and a maximum of two missed cleavage sites per peptide, a single protein was retrieved (18% sequence coverage). The ESI-MS (Q1) spectrum of the 30% fraction obtained by a JaFIS-generated continuous flow of 4 nL/min, and averaging 100 scans; (C) contained several peaks corresponding to those observed by MALDI-reTOF mass analysis of the same pool (B). One peptide (1601.692+ [C]) was then selected, by appropriate tuning of Q1, for collision-induced dissociation and subsequent analysis of fragment spectra (in Q3), as shown in (D). A short sequence was assigned, based on the presence of a contiguous y" ion series, enabling positive identification of SHIP2 by SequenceTag (peptide molecular weight [Mr], 1,602 ± 2; [536.0]PFS(IL)EE[1238.6]) based searching of the NRDB database.
It is notable that 14 of 22 peptides derived from p155 have homology to another reported SHIP1-related cDNA, termed 51C.48 However, several lines of evidence suggest that SHIP2 and 51C are identical cDNAs and that the predicted open reading frame of the SHIP2 cDNA31 encodes the actual amino acid sequence of this polypeptide. First, alignment shows that the nucleotide sequences SHIP2 and 51C are 99.9% identical over 4,342 bp, with a single nucleotide difference and two single-base insertions in the 51C sequence (data not shown). This sequence identity includes 755 bp of 3′ untranslated cDNA. Second, the two single-base insertions cause reading frame shifts, leading to the alternate predicted open reading frame of 51C. Deletion of these single nucleotide insertions reverts the sequence of 51C to having 100% identify with SHIP2 over the carboxy terminal 1,200 amino acids. Third, the first 305 bp of the 51C cDNA sequence is distinct from that of SHIP2 or any other sequence in the database, suggesting that it may have resulted from either alternate splicing, inclusion of an unspliced intron, or cocloning of a heterologous cDNA sequence.
To conclusively demonstrate that Ptyr 155 was the putative SHIP2 protein, rabbit polyclonal antibodies were raised against a synthetic peptide derived from the sequence reported by Pesesse et al.31 Figure 5 illustrates that the antibodies immunoprecipitated a major tyrosine phosphorylated 155-kD protein (as well as less prominent Ptyr proteins p210, p135, p125, and p56 kD) from K562 lysates (Fig 5A, lane 1). Reprobing of the blot with anti-SHIP2 antibodies showed that Ptyr proteins migrating at 155, 135, and 125 kD correspond to a major 155-kD SHIP2 protein and two less prominent SHIP2 related proteins that may be degradation products or isoforms of p155 SHIP2. The antigenic peptide specifically blocked the ability of the antibody to precipitate the SHIP2 proteins as well as the coprecipitating p210bcr/abl and SHC proteins (Fig 5A, lanes 2 and 3), whereas an unrelated peptide had no effect (Fig 5A, lane 4). Furthermore, anti-SHIP2 antibodies detected 155- and 135-kD proteins in immunoblots of SHC immunoprecipitates from K562 lysates (Fig 5B). In performing these same studies, we have confirmed that the Ptyr 155 protein seen in other p210bcr/abl-expressing cell lines (Fig 1, lanes 4 through 7) is SHIP2 and coimmunoprecipitates with SHC (data not shown).
Identification of the Ptyr 155 with anti-SHIP2 antibodies. (A) Proteins precipitated from lysates of K562 cells (10 × 106) by anti-SHIP2 antibodies were separated by SDS-PAGE and transferred to Immobilon. Before immunoprecipitation, antibodies were incubated for 20 minutes with the indicated peptide: (−) no peptide; (+) antigenic peptide at 20 μmol/L and 100 μmol/L; and (unr) unrelated peptide at 20 μmol/L. Blot was probed with the anti-Ptyr MoAb, 4G10, and reprobed with anti-SHIP2 antibodies. Molecular weights (in kilodaltons) are indicated on the right side of each panel. (B) NP-40 lysates of K562 cells (10 × 106) were immunoprecipitated with rabbit antibodies to SHC or to mouse IgG (RIgG). Immunoprecipitates were separated by SDS-PAGE, transferred to Immobilon, and immunoblotted with 4G10 and reprobed with anti-SHIP2 antibodies.
Identification of the Ptyr 155 with anti-SHIP2 antibodies. (A) Proteins precipitated from lysates of K562 cells (10 × 106) by anti-SHIP2 antibodies were separated by SDS-PAGE and transferred to Immobilon. Before immunoprecipitation, antibodies were incubated for 20 minutes with the indicated peptide: (−) no peptide; (+) antigenic peptide at 20 μmol/L and 100 μmol/L; and (unr) unrelated peptide at 20 μmol/L. Blot was probed with the anti-Ptyr MoAb, 4G10, and reprobed with anti-SHIP2 antibodies. Molecular weights (in kilodaltons) are indicated on the right side of each panel. (B) NP-40 lysates of K562 cells (10 × 106) were immunoprecipitated with rabbit antibodies to SHC or to mouse IgG (RIgG). Immunoprecipitates were separated by SDS-PAGE, transferred to Immobilon, and immunoblotted with 4G10 and reprobed with anti-SHIP2 antibodies.
Ptyr SHIP2 selectively binds to PTB domain of SHC and the SH3 domain of Abl.
Because SHIP2, SHC, and p210bcr/ablcoimmunoprecipitate (see Figs 2A and 3), we further examined the nature of the interactions between SHIP2 and SHC as well as between SHIP2 and Abl. Thus, lysates from K562 cells were incubated with GST fusion proteins containing the SH2 domains of SHC and Abl, the PTB domain of SHC, and the SH3 domain of Abl. Bound proteins were resolved by SDS-PAGE and analyzed by anti-Ptyr and anti-SHIP2 antibodies (Fig 6A). Clearly, Ptyr SHIP2 bound to the PTB domain of SHC and the SH3 domain of Abl but not to the SH2 domains of SHC or Abl. The same specificity of binding was also observed in GST-fusion-protein pull-downs using lysates from the p210bcr/abl-expressing cell line, R10+(Fig 6B). The coimmunoprecipitation of Ptyr SHIP2 with the GST-PTB domain of SHC, and not the GST-SH2 domain of SHC, is not surprising, because the identical interaction has been found for Ptyr SHIP1 and SHC.24,25 In fact, it has been recently demonstrated that two canonical SHC-PTB binding sites in SHIP1, IINPNY and FENPLY, when tyrosine phosphorylated, bind to the PTB domain of SHC and, furthermore, are necessary and sufficient for the direct association between Ptyr SHIP1 and SHC.49 SHIP2 has a similar PTB binding motif at the carboxyl end, FNNPAY, strongly implicating this tyrosine residue in the binding of Ptyr SHIP2 to the PTB domain of SHC.31 With regard to the ability of SHIP2 to bind the SH3 domain of Abl, this interaction appeared to be quite selective, because only a very small amount of Ptyr SHIP2 was bound to the SH3 domain of the adaptor protein Crk (Fig 6A, lane 1) and a barely detectable amount bound to the SH3 domain of Src tyrosine kinase (Fig 6A, lane 2). The SHIP2 protein has several proline-rich motifs in the carboxy terminus and at least two of these motifs (eg, PPDFPPPPLP and PPPKAHPRPP) would reportedly be preferred by the SH3 domain of Abl.50Interestingly, it can be seen in Fig 6B, using lysates of R10+ cells (where both SHIP1 and SHIP2 are expressed and constitutively tyrosine phosphorylated), that SHIP1, in contrast to SHIP2, did not coprecipitate with GST-Abl-SH3 but rather with GST-Src-SH3. Furthermore, we observed that SHIP1 associates with the C-terminal SH3 domain of GRB2 (and minimally with the N-terminal SH3 domain of GRB2), whereas SHIP2 did not associate with the C-terminal and associated negligibly with the N-terminal SH3 of GRB2. The same results were obtained using lysates of parent M07 cells in which p210bcr/abl is not present (Fig 6C). Taken together, our results to date suggest that SHIP2 and SHIP1 differentially bind to SH3-containing proteins and may therefore modulate different signaling pathways in hematopoietic progenitor cells.
Ptyr 155 SHIP2 selectively binds to PTB domain of SHC and the SH3 domain of Abl. NP-40 lysates from 10 × 106 (A) K562, (B) R10+, and (C) M07 cells were mixed with GST-fusion protein immobilized on glutathione-agarose beads for 2 hours at 4°C. Precipitated proteins were resolved by SDS-PAGE and immunoblotted with 4G10. The filter was stripped and immunoblotted sequentially with anti-SHIP2 and anti-SHIP1 antibodies.
Ptyr 155 SHIP2 selectively binds to PTB domain of SHC and the SH3 domain of Abl. NP-40 lysates from 10 × 106 (A) K562, (B) R10+, and (C) M07 cells were mixed with GST-fusion protein immobilized on glutathione-agarose beads for 2 hours at 4°C. Precipitated proteins were resolved by SDS-PAGE and immunoblotted with 4G10. The filter was stripped and immunoblotted sequentially with anti-SHIP2 and anti-SHIP1 antibodies.
SHIP2 and SHIP1 are constitutively tyrosine phosphorylated in primary human CP CML progenitor cells.
We next examined whether the Ptyr 155 protein observed in primary CP CML blasts was SHIP2. Figure 7 shows that anti-SHIP2 antibodies immunoprecipitated a major Ptyr 155-kD protein and a minor Ptyr 135-kD protein from the lysates of CML progenitor cells (Fig 7, lane 2). Reprobing the blot with anti-SHIP2 antibodies showed that the Ptyr 155-kD and the Ptyr 135-kD proteins correspond to the major and minor SHIP2 proteins. As seen previously in cell lines, there is also a 125-kD SHIP2-related protein expressed in primary CP CML blasts that does not appear to be constitutively tyrosine phosphorylated. Reprobing the blot with anti-SHC antibodies showed that p56 SHC (and a trace of p52 SHC) was found in the anti-SHIP2 immunoprecipitate. In the reciprocal immunoprecipitation (Fig 7, lane 3), a Ptyr 155-kD protein, corresponding to SHIP2, was found in the anti-SHC immunoprecipitate. These results clearly demonstrate that the Ptyr 155-kD protein constitutively tyrosine phosphorylated in primary CP CML blasts is SHIP2 and, furthermore, that it is constitutively associated with SHC. However, it should be noted that the stoichiometry of this interaction is rather low. The results shown in Fig 7 (lane 4) also demonstrate (by immunoprecipitation and immunoblotting with anti-SHIP1 antibodies) that the Ptyr 140-kD protein present in the lysates of primary CP CML progenitor cells (see Fig 1 for whole cell lysate CP CML lane) is SHIP1 and that it is also constitutively associated with SHC with low stoichiometry (Fig 7, lane 3). Also found in the SHIP1 I.P. (lane 4) was a trace of a Ptyr 155-kD protein that was identified as SHIP2 by immunoblotting. Its presence in the SHIP1 I.P. is probably attributable to the fact that relatively large amounts of protein (the protein equivalent of 10 × 106 cells) were used for the immunoprecipitations. Because the anti-SHIP1 antibodies used in these studies (#8727) were generated against the last 86 amino acids of the human SHIP1 protein, this polyclonal antibody could conceivably exhibit some weak cross-reactivity to SHIP2 (an amino acid sequence alignment of SHIP1 and SHIP2 shows 32% identity over these 86 amino acids). It should be noted that both the SHIP2 and the SHIP1 antibodies quantitatively depleted Ptyr 155 and Ptyr 140, respectively, from these lysates (unpublished observations).
SHIP2 and SHIP1 are constitutively tyrosine phosphorylated in primary human CP CML progenitor cells. Lysates of primitive blasts were subjected to immunoprecipitation with the indicated antibodies. After blotting with 4G10, the blot was stripped and reprobed sequentially with anti-SHIP1, anti-SHIP2, and anti-SHC antibodies. IgG refers to Ig heavy chain. A representative experiment is shown.
SHIP2 and SHIP1 are constitutively tyrosine phosphorylated in primary human CP CML progenitor cells. Lysates of primitive blasts were subjected to immunoprecipitation with the indicated antibodies. After blotting with 4G10, the blot was stripped and reprobed sequentially with anti-SHIP1, anti-SHIP2, and anti-SHC antibodies. IgG refers to Ig heavy chain. A representative experiment is shown.
PtdIns(3,4,5)P3 is a substrate of SHIP2.
Previously, SHIP1 has been shown by numerous investigators to selectively hydrolyze the 5′-phosphate from inositol-1,3,4,5 tetraphosphate [Ins(1,3,4,5)P4] and phosphatidyl-inositol-3,4,5-triphosphate [PtdIns(3,4,5)P3].23-25 Because of the striking structural similarity between SHIP1 and SHIP2, we sought to determine if SHIP2 hydrolyzed these same substrates. Thus, lysates from M07 and K562 cells were immunoprecipitated with anti-SHIP2 antibodies in the presence or absence of antigenic peptide and the immunoprecipitates were tested with the substrates Ins(1,3,4,5)P4 and PtdIns (3,4,5)P3. SHIP1 immunoprecipitates from M07 were used for comparison. It is clear that immunoprecipitates of SHIP2, like SHIP1, hydrolyze the 5′ phosphate from PtdIns(3,4,5)P3(Fig 8A), whereas, unlike SHIP1, identical immunoprecipitates of SHIP2 did not hydrolyze the 5′ phosphate from the soluble Ins (1,3,4,5)P4 (Fig 8B). Similar to what has been previously reported for SHIP1,24 SHIP2 did not hydrolyze Ins(1,4,5)P3 (data not shown). We should also mention that SHIP2 enzymatic activity was observed in anti-SHC immunoprecipitates from K562 cell lysates (data not shown).
SHIP2 contains PtdIns(3,4,5)P3 5-phosphatase activity. (A) NP-40 lysates from M07 and K562 cells were immunoprecipitated with anti-SHIP2 antibodies in the presence or absence of antigenic peptide. SHIP1 and control preimmune immunoprecipitates from M07 were used for comparison. The immunoprecipitates were incubated with equal amounts of [32P]PtdIns(3,4,5)-P3 in 5-phosphatase assay buffer. After 30 minutes at 37°C, the phospholipids were extracted with chloroform/methanol and separated by TLC. Radioactive lipids were detected by autoradiography. (B) The immunoprecipitates were obtained as described in (A) and incubated for 30 minutes at 37°C with [3H]Ins(1,3,4,5)-P4 in 5-phosphatase buffer and assayed for hydrolysis. Results are expressed as picomoles of hydrolysis product per 30 minutes per immunoprecipitate. A blank sample containing no proteins was assayed and subtracted as background. The results are representative of four independent experiments.
SHIP2 contains PtdIns(3,4,5)P3 5-phosphatase activity. (A) NP-40 lysates from M07 and K562 cells were immunoprecipitated with anti-SHIP2 antibodies in the presence or absence of antigenic peptide. SHIP1 and control preimmune immunoprecipitates from M07 were used for comparison. The immunoprecipitates were incubated with equal amounts of [32P]PtdIns(3,4,5)-P3 in 5-phosphatase assay buffer. After 30 minutes at 37°C, the phospholipids were extracted with chloroform/methanol and separated by TLC. Radioactive lipids were detected by autoradiography. (B) The immunoprecipitates were obtained as described in (A) and incubated for 30 minutes at 37°C with [3H]Ins(1,3,4,5)-P4 in 5-phosphatase buffer and assayed for hydrolysis. Results are expressed as picomoles of hydrolysis product per 30 minutes per immunoprecipitate. A blank sample containing no proteins was assayed and subtracted as background. The results are representative of four independent experiments.
SHIP2 is a target for tyrosine phosphorylation after stimulation of M07 cells with SCF, IL-3, and GM-CSF.
SHIP1 is known to become transiently tyrosine phosphorylated and associated with SHC after stimulation of hematopoietic cells with multiple cytokines including SCF, IL-3, GM-CSF, erythropoietin (EPO), IL-2, thrombopoietin (TPO), and colony-stimulating factor-1 (CSF-1).23 We therefore investigated if SHIP2 is also a substrate target for tyrosine phosphorylation and subsequent association with SHC after stimulation of the growth factor-dependent M07 cell line with SCF, IL-3, or GM-CSF. Figure 9 shows that stimulation with any of these three factors resulted in the marked enhancement of a major tyrosine phosphorylated 155-kD protein in anti-SHIP2 immunoprecipitates. Reprobing the blot with anti-SHIP2 antibody showed that this 155-kD protein corresponds to the SHIP2 protein (Fig 9, lanes 2 through 4). In addition, the amount of SHIP2 protein that was immunoprecipitated was equivalent in the cytokine-stimulated versus unstimulated M07 cells, demonstrating that cytokine-induced tyrosine phosphorylation of SHIP2 is not due to differences in the amount of SHIP2 protein present in unstimulated versus stimulated cells. Furthermore, it is evident that the extent of tyrosine phosphorylation of SHIP2 and the amount of associated SHC is dramatically higher after SCF stimulation versus GM-CSF and IL-3 stimulation in M07 cells. This is probably attributable to the tremendous disparity in the number of c-kit receptors (13,000 to 16,000) versus IL-3 and GM-CSF receptors (150 to 300) reportedly expressed on the cell surface of M07 cells.51 52 We have noted similar findings with regard to SHIP1 after stimulation of M07 cells with these cytokines (unpublished observation).
SHIP2 is a target for tyrosine phosphorylation after stimulation of M07 cells with SCF, IL-3, and GM-CSF. Starved M07 cells were left untreated (U) or treated with SCF, GM-CSF, or IL-3 (100 ng/mL) for 5 minutes at 37°C and then lysed. NP-40 lysates (10 × 106 cell equivalents) were immunoprecipitated with anti-SHIP2 antibody. Immunoprecipitates were separated by SDS-PAGE, transferred to Immobilon, and immunoblotted with 4G10. Blot was reprobed sequentially with anti-SHIP2 and anti-SHC antibodies.
SHIP2 is a target for tyrosine phosphorylation after stimulation of M07 cells with SCF, IL-3, and GM-CSF. Starved M07 cells were left untreated (U) or treated with SCF, GM-CSF, or IL-3 (100 ng/mL) for 5 minutes at 37°C and then lysed. NP-40 lysates (10 × 106 cell equivalents) were immunoprecipitated with anti-SHIP2 antibody. Immunoprecipitates were separated by SDS-PAGE, transferred to Immobilon, and immunoblotted with 4G10. Blot was reprobed sequentially with anti-SHIP2 and anti-SHC antibodies.
DISCUSSION
CML is a neoplasm that originates in the pluripotent hematopoietic stem cell compartment. During the early CP of CML, the Ph+ cells retain their capacity for relatively normal maturation; however, there is a greatly increased mass of Ph+ myeloid cells. Previous studies from our laboratory34,35 53-55 have identified subtle dissimilarities in the biological characteristics of CML and normal lin− blasts that were most clearly manifested by a discrete subpopulation of early hematopoietic progenitor cells and have provided evidence that discordant maturation rather than unregulated proliferation is primarily responsible for the increased mass of Ph+ myeloid cells. Because there is ample evidence indicating a causal relationship between the tyrosine kinase activity of BCR/ABL and the pathogenesis of CML, a key goal is to identify the critical intracellular target proteins phosphorylated by bcr/abl within Ph+ primitive hematopoietic progenitor cells. In this report, using mass spectrometric and immunological methods (generating specific antibodies), we identify the 155-kD protein that is a prominent tyrosine-phosphorylated protein in these primary progenitor cells (see Fig 1, lane 6) as the protein product of a recently cloned human cDNA showing high homology to SHIP1 and that is appropriately referred to as SHIP2. Furthermore, we found this protein to be constitutively phosphorylated in all p210bcr/abl-expressing cell lines.
Like SHIP1, the deduced 1,258 amino acid sequence of SHIP2 showed an N-terminal SH2 domain, a central catalytic region containing two motifs that define 5-ptases and both potential PTB(NPXY) and SH3-domain (PXXP) consensus binding motifs in the carboxy terminal.31 Based on their striking similarity, one would predict that enzymatically SHIP2 may have analogous substrate specificity as that reported for SHIP1. Using 5-ptase assays, our data indeed show that SHIP2, like SHIP1, hydrolyzes PI(3,4,5)P3; however, unlike SHIP1, it does not hydrolyze Ins-(1,3,4,5)P4. Although the functional significance of such an enzymatic difference is presently unclear, it does suggest that SHIP2 and SHIP1 may regulate different signaling pathways involved in phosphoinositide metabolism.
The present studies also demonstrate that tyrosine phosphorylated SHIP2, like that reported for SHIP1, associates with the SHC adaptor protein. In fact, it was this association that allowed us to purify and subsequently identify the SHIP2 protein from the K562 cell line. Furthermore, this association was dependent on tyrosine phosphorylation of SHIP2, because treatment of K562 cells with the tyrosine kinase inhibitor (CGP57148) abolished this association (Fig 3). It should be noted that, whereas CGP57148 inhibited the tyrosine phosphorylation of p210bcr/abl, SHIP2, and SHC (as assessed by 4G10 immunoblotting), the expression levels of these 3 proteins remained essentially unchanged (personal observation). In analyzing the nature of this interaction by GST-fusion protein pull-downs, our data indicate that p-tyr-SHIP2, like p-tyr-SHIP1, binds to the PTB-domain of SHC. Recently, more detailed studies examining the nature of SHIP1’s interaction with SHC have demonstrated that two tyrosine residues, tyr-917 and tyr-1020 (each of which is in an NXPY motif), when phosphorylated mediate binding to the PTB-binding domain of SHC.49 The reported amino acid sequence of SHIP2 contains one NXPY-PTB potential binding motif (NPAY987), and it will therefore be of interest to determine through site-directed mutagenesis if this tyrosine residue in fact mediates the binding of SHIP2 to the PTB domain of SHC.
In examining a potential interaction between SHIP2 and p210bcr/abl, our in vitro binding studies indicate that SHIP2 associates with the SH3 domain of ABL but not with the SH2 domain of ABL. Further support that this association is the result of a direct interaction (rather than mediated through another protein) is provided by the previous studies of Yamabhai and Kay56whereby, in screening a mouse embryo λ cDNA library with an ABL-SH3-alkaline phosphatase fusion protein, they isolated the putative 51C protein that we believe is SHIP2 (discussed earlier). Taken together, the results strongly suggest that SHIP2 is a direct substrate for BCR/ABL. Interestingly, we observed SHIP1, on the other hand, to coimmunoprecipitate with the GST fusion protein containing the SH3 domain of Src tyrosine kinase and not the SH3 domain or the SH2 domain of ABL. Because SHIP1 is also constitutively phosphorylated on tyrosine in bcr/abl-expressing hematopoietic cells, our results suggest that BCR/ABL tyrosine kinase possibly achieves this through an indirect intracellular association with SHIP1 or, alternatively, BCR/ABL may activate Src (or a Src family member) tyrosine kinase that in turn directly phosphorylates SHIP1. Evidence supporting the latter mechanism comes from the recent studies of Danhauser-Riedl et al57demonstrating that p210bcr/abl induces the activation of at least two Src family kinases, p53/56Lynand P59Lck, in myeloid cells. Furthermore, Lamkin et al49 recently demonstrated that coexpression of LCK with SHIP1 leads to efficient tyrosine phosphorylation of SHIP1 in COS cells. It would, therefore, be of interest to examine the phosphorylation of SHIP1 after expression of p210bcr/abl in mouse embryonal stem cells lacking various members of the family of Src tyrosine kinases through targeted gene disruption.
We should also point out that the differential in vitro binding of SHIP2 and SHIP1 to the SH3 domain of ABL and Src, respectively, as well as SHIP1’s, but not SHIP2’s, ability to associate with the SH3 domain(s) of GRB2 provides evidence that there may be a different hierarchy of SH3 protein binding for these 5-ptases. This is not surprising, because an examination of the proline-rich stretches in the carboxyl tail of SHIP231 versus SHIP124 shows them to be strikingly different. Because SH3 domains mediate protein-protein interactions in cellular signaling, this would suggest that SHIP2 and SHIP1 may modulate different signaling pathways and/or are localized to different compartments within the cell. It will therefore be important to search for SH3-containing proteins that interact with SHIP2 and SHIP1 in hematopoietic cells. For example, previous investigators have shown that SHIP1 associates with the adaptor-protein GRB-2 (through its SH3 domain) in certain hematopoietic cells,23,24 26 thus potentially linking SHIP1 to RAS signaling.
Although our data clearly show that SHIP2 is constitutively phosphorylated in p210bcr/abl-expressing hematopoietic cells, the present studies also demonstrate that it is rapidly tyrosine phosphorylated after stimulation of the growth factor-dependent M07 cell line with SCF, GM-CSF, or IL-3. Thus, this is the first report providing evidence that SHIP2 (like SHIP1) is involved in downstream signaling events initiated by activation of hematopoietic growth factor receptors. Furthermore, we show that SHIP2 is induced to associate with the SHC protein after growth factor stimulation. However, we should emphasize that, after induction, stoichiometry of binding of either SHIP2 or SHIP1 to SHC was rather low (unpublished observations), and it is therefore likely that both these 5-ptases interact with additional signaling molecules in hematopoietic cells. As mentioned above, SHIP1 has previously been shown to associate with GRB2 after growth factor stimulation, and more recently it has been found in complex with the tyrosine phosphatase protein SHP-258 59 in hematopoietic cells.
It is interesting that two SH2-containing phosphatidylinositol 3,4,5 triphosphate 5-phosphatases, both of which become phosphorylated on tyrosine by activation of hematopoietic growth factor receptors, are simultaneously expressed in hematopoietic progenitor cells. Recent in vitro and in vivo studies have provided strong evidence that SHIP1 is an inhibitor of cytokine signal transduction pathways regulating the proliferation and differentiation of hematopoietic progenitor cells. Thus, ectopic expression of SHIP1 in the FDC-P1 cell line resulted in the strong inhibition of macrophage colony-stimulating factor (M-CSF)–dependent growth25 and induced apoptosis in the DA-ER hematopoietic cell line.30 Just recently it was reported29 that mice homozygous for the targeted disruption of SHIP1 (SHIP−/−) exhibit significant increases in the numbers of granulocyte-macrophage progenitor cells (colony-forming unit–granulocyte-macrophage [CFU-GM]) in the bone marrow and spleen. Using in vitro colony-forming assays, these increases were shown to be associated with an enhanced sensitivity of SHIP−/− CFU-GM to multiple cytokines, including IL-3, GM-CSF, SCF, and M-CSF. Although the functional role of SHIP2 in hematopoietic progenitor cells remains to be determined, our findings of an enzymatic difference between SHIP2 and SHIP1, as well as a difference in binding SH3-containing proteins, suggest that they function in different pathways. Moreover, the hematopoietic perturbations observed in SHIP1 null mice further provide evidence that SHIP2 is not functionally redundant with SHIP1, because it is extremely likely that the SHIP2 protein is intact in the SHIP1 null mice. In addition, whereas SHIP1 has been shown to be primarily expressed in cells of hematopoietic lineage,24,25,58,60 SHIP2 has been reported to be expressed in several human tissues as assessed by Northern blotting.31 The more ubiquitous expression of SHIP2 suggests that its functional role may be of a more universal nature than SHIP1. In any event, it will be of great interest to perform in vitro studies involving overexpression of SHIP2 in growth-factor-dependent hematopoietic cell lines as well as target its disruption in mouse embryonic stem cells. Such studies should hopefully provide some insight into the potential biological role that SHIP2 may play in hematopoiesis.
Activation of PI-3 kinase has clearly been implicated as a component of tyrosine kinase-regulated signaling pathways that effect the proliferation and differentiation of hematopoietic cells.61PI-3 kinase phosphorylates the D-3 position of PI(4,5)P2 to produce PI(3,4,5)P3, which in turn can be dephosphorylated to PI(3,4)P2 by 5′-ptases such as SHIP1 and SHIP2. It is of particular interest that both these phosphoinositides are normally absent in quiescent cells; however, they are rapidly produced by stimulation of cells with various growth factors.62Furthermore, evidence has been accumulating to suggest that PI(3,4,5)P2 and PI(3,4)P2 act as second messengers.13,63,64 More recently, targets for these two phosphoinositides have been identified and they include activation of Ras,43 activation of the serine-threonine kinase Akt that promotes cell survival and participates in the activation of the p70 ribosomal protein S6 kinase (p70S6k),65 and activation of various protein kinase C family members,66some of which have been implicated in the lineage commitment and maturation of hematopoietic progenitor cells.67-70 In addition, PI(3,4,5)P3 has been identified as a component of the signaling pathway(s) used by tyrosine kinases to regulate Ca+2 mobilization (reviewed in Scharenberg and Kinet71).
It is tempting to speculate that the constitutive tyrosine phosphorylation of SHIP1 and SHIP2 in CML primary hematopoietic progenitor cells may somehow lead to alteration of the normal balance of PI(3,4,5)P3 and PI(3,4)P2. Such altered levels would then impact on some or all of the above-mentioned targets and consequently disrupt the orderly sequence of signal transduction events involved in the commitment, growth, and maturation of hematopoietic progenitor cells. Studies aimed at precisely defining the roles of SHIP1 and SHIP2 in Bcr/Abl signaling are clearly warranted.
ACKNOWLEDGMENT
The authors thank Dr Larry R. Rohrschneider (Fred Hutchinson Cancer Research Center, Seattle, WA) for providing anti-SHIP1 polyclonals 5340; Dr Pier Giuseppe Pelicci (European Institute of Oncology, Milan, Italy) for purified GST fusion proteins containing the SH2 domain or the PTB domain of the human SHC adaptor protein; Dr Hidesaburo Hanafusa (Rockefeller University, New York, NY) for purified GST fusion proteins containing the SH3 domains of Abl, Src, Crk, or the SH2 domain of Abl; Dr Michael F. Moran (University of Toronto, Toronto, Ontario, Canada) for bacterial expression plasmids coding for the GST fusion products containing the N-terminal or C-terminal SH2 domains of rasGAP; and Dr Nicholas B. Lydon for supplying CGP57148. We would also like to thank Drs Yoshihiro Tanaka and Kanki Imamura at the Pharmaceutical Division of the Kirin Brewery Company, Ltd, for generously supplying recombinant human IL-3 and recombinant human GM-CSF. We are also grateful to Caryl Lambek and Chong-Yuan Liu for their excellent technical assistance; to Lynne Lacomis, Mary Lui, and Anita Grewal for help with mass spectrometric analysis; and to Su DeMeritt for her help in preparing this manuscript.
Supported by National Cancer Institute Grant No. PO1 CA64593 to B.C., National Science Foundation Grant No. DBI-9420123 to P.T., and National Cancer Institute Cancer Center Grant No. P30 CA08748 to MSKCC. The authors gratefully acknowledge research support from the Albert C. Bostwick Foundation, the Marjorie Engel Fund, the Seymour Feldman Leukemia Fund, the Enid A. Haupt Charitable Trust, the Marilyn Lipsius Fund, the Anthony R. Morena Fund, the Robert Murray Trust, the Samuel & May Rudin Foundation, the Andrew Sage Trust, the Herbert Salzman Leukemia Research Fund, the Einard & Sue Sundin Fund, the United Leukemia Fund, and the Carley H. Wagner Trust.
The publication costs of this article were defrayed in part by page charge payment. This article must therefore be hereby marked “advertisement” in accordance with 18 U.S.C. section 1734 solely to indicate this fact.
REFERENCES
NOTE ADDED IN PROOF
During submission of this manuscript, Habib et al (J Biol Chem273:18605, 1998) reported the presence of SHIP2 in various cell lines of nonhematopoietic origin and subsequent tyrosine phosphorylation after stimulation with several growth factors.
Author notes
Address reprint requests to Bayard Clarkson, MD, MSKCC Box 96, 430 E 67th St, New York, NY 10021.



![Fig. 4. Identification of the Ptyr 155-kD protein in p210bcr/abl-expressing cells by mass spectrophotometric analysis. The tryptic digest mixture was passed over an RP micro-tip and the peptides batch fractionated into a 16% and 30% pool. Each pool was individually analyzed by MALDI reflectron-TOF MS (16% fraction shown in [A]; 30% fraction in [B]) and by continuous flow ESI (JaFIS) triple quadrupole MS/MS (Q1 scan of 30% fraction shown in [C]); only the relevant portions of the spectra are shown. Both types of MS analysis served to independently identify this 155-kD protein as SHIP2 (EMBL Y14385). MALDI-reTOF mass spectra were obtained by averaging 150 scans under constant irradiance. The 17 most prominent peaks (from both pools combined) are labeled in (A) and (B); the corresponding m/z values were taken, from spectra analyzed in the presence of calibrants, to query a nonredundant protein sequence database (NRDB) for pattern matches, using the PeptideSearch program. With a requirement of 17 matches of 17, at a mass accuracy of 40 ppm or better, and a maximum of two missed cleavage sites per peptide, a single protein was retrieved (18% sequence coverage). The ESI-MS (Q1) spectrum of the 30% fraction obtained by a JaFIS-generated continuous flow of 4 nL/min, and averaging 100 scans; (C) contained several peaks corresponding to those observed by MALDI-reTOF mass analysis of the same pool (B). One peptide (1601.692+ [C]) was then selected, by appropriate tuning of Q1, for collision-induced dissociation and subsequent analysis of fragment spectra (in Q3), as shown in (D). A short sequence was assigned, based on the presence of a contiguous y" ion series, enabling positive identification of SHIP2 by SequenceTag (peptide molecular weight [Mr], 1,602 ± 2; [536.0]PFS(IL)EE[1238.6]) based searching of the NRDB database.](https://ash.silverchair-cdn.com/ash/content_public/journal/blood/93/8/10.1182_blood.v93.8.2707/5/m_blod40817004x.jpeg?Expires=1767739447&Signature=086dPQo0pI8AaR-jaE739jqrcJLjLSf8Twd0jc~rf9XI-pFpx-temrODXRuqnaADIUaX2StpsXo0rflHovMd23Cwb6kEnL14he29nHe-JnMuuVLaHrPkeee9CPxNYz7i1ye0jsYom4OU~GdobNm1tDynqbciVHrPLhOlvaQts7~m3Y27cxuCrvuHRqtCxpuGl7LQ6~S3tfQDDydDdIu~eIOLNq7qZpYTQ5W2GRpMYXjol~FViVccW0T-7-kRlksHYrJ5rHf8xZSv6-MpAKlxjuoW-a8jEb6BjT9tBG8LLsFGtezPAi9pYiII3XObjTAG2tPoyrMnS5iLdAwxUv--6A__&Key-Pair-Id=APKAIE5G5CRDK6RD3PGA)



![Fig. 8. SHIP2 contains PtdIns(3,4,5)P3 5-phosphatase activity. (A) NP-40 lysates from M07 and K562 cells were immunoprecipitated with anti-SHIP2 antibodies in the presence or absence of antigenic peptide. SHIP1 and control preimmune immunoprecipitates from M07 were used for comparison. The immunoprecipitates were incubated with equal amounts of [32P]PtdIns(3,4,5)-P3 in 5-phosphatase assay buffer. After 30 minutes at 37°C, the phospholipids were extracted with chloroform/methanol and separated by TLC. Radioactive lipids were detected by autoradiography. (B) The immunoprecipitates were obtained as described in (A) and incubated for 30 minutes at 37°C with [3H]Ins(1,3,4,5)-P4 in 5-phosphatase buffer and assayed for hydrolysis. Results are expressed as picomoles of hydrolysis product per 30 minutes per immunoprecipitate. A blank sample containing no proteins was assayed and subtracted as background. The results are representative of four independent experiments.](https://ash.silverchair-cdn.com/ash/content_public/journal/blood/93/8/10.1182_blood.v93.8.2707/5/m_blod40817008w.jpeg?Expires=1767739447&Signature=5MqQSDFWlxloaU0FyPgcLpI78y45G-OQDJIjHEEBoM5Y4316ROqGZgM-U9Ahf~0iiYIt3b-Yepd9Ez0rniZnV6RwfYwhVwn1qJjl7IY2tnG95g4JQVYkItCsUxhPUqaX84ywPrTjQVU62tkiwlaMr4u32fpLt2zfmXpHHzE9Xv5lQKNGwC6eD25HWaQFc-g3OIn3iouYaY4rUtdKPuXk6z~BkyqGeNYHxlWl-IdeKG3IE91wEdrx8B5ShSk8kplk68o4tKNotHyfokpiCXJ1n2afKChqVl4QCm9EayvUVcWpnzhH6KVFhc4-wTW2uq0VzAHKsRUyMMtps5dxDNACrw__&Key-Pair-Id=APKAIE5G5CRDK6RD3PGA)

This feature is available to Subscribers Only
Sign In or Create an Account Close Modal