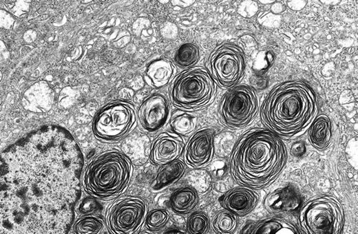
Alveolar cell carcinoma of the lung. A 52-year-old woman smoker with a history of breast carcinoma 6 years earlier was evaluated for a single lung nodule. Light microscopy showed a bronchiolo-alveolar growth pattern of an adenocarcinoma which did not resemble the earlier breast carcinoma in breast or axillary lymph nodes. Electron microscopy was diagnostic for alveolar cell carcinoma. The tumor cells formed glands and were filled with lamellar bodies, often referred to as surfactant bodies. These secretory granules are diagnostic for adenocarcinoma cells of type II alveolar pneumocyte origin in primary and metastatic tumor sites. Original magnification ×13,000. (Courtesy of Ann M. Dvorak, MD, Department of Pathology, Beth Israel Deaconess Medical Center, Harvard Medical School, Boston, MA.)
Alveolar cell carcinoma of the lung. A 52-year-old woman smoker with a history of breast carcinoma 6 years earlier was evaluated for a single lung nodule. Light microscopy showed a bronchiolo-alveolar growth pattern of an adenocarcinoma which did not resemble the earlier breast carcinoma in breast or axillary lymph nodes. Electron microscopy was diagnostic for alveolar cell carcinoma. The tumor cells formed glands and were filled with lamellar bodies, often referred to as surfactant bodies. These secretory granules are diagnostic for adenocarcinoma cells of type II alveolar pneumocyte origin in primary and metastatic tumor sites. Original magnification ×13,000. (Courtesy of Ann M. Dvorak, MD, Department of Pathology, Beth Israel Deaconess Medical Center, Harvard Medical School, Boston, MA.)
This feature is available to Subscribers Only
Sign In or Create an Account Close Modal