Abstract
CD56 expression has been reported previously in some non-Hodgkin's lymphoma (NHL) characterization. They principally involve the nasopharynx, are related to Epstein-Barr virus (EBV), and may be classified as either T- or non–T-natural killer (NK) cells according to CD3/T-cell receptor (TCR) status at the genomic or protein level. The present study reports three cases of non-nasal NK-NHL with the following characteristics: an agressive clinical behavior, heterogenous morphological data evoking pleomorphic T-cell malignant lymphoma, a non–T-NK phenotype using flow cytometry, and immunochemistry. The three cases were CD56+ without membrane expression of specific T markers (CD3, CD5, and TCR). Heterogenous results were observed concerning different antigens: CD2, CD4, CD8, CD16, CD94, CD122, TiA1, perforin, and granzyme B. There was no evidence of detectable clonal TCR gene rearrangement with polymerase chain reaction. No NK activity was detected in the two tested cases, and no relation was found with EBV. Multidrug resistance investigations suggest that agressive clinical findings could be related to MDR1 gene expression as confirmed by MDR1 mRNA detection, MDR1 gene product (Pgp) expression, and a functional multidrug resistance study using rhodamine efflux by flow-cytometry.
IMMUNOPHENOTYPING is a decisive step in the diagnosis of non-Hodgkin's lymphoma (NHL). NHLs of T-cell lineage are observed far less often than those of B origin. They are estimated to be present in less than 20% of all cases.1 Nevertheless, the spectrum of NHL is not restricted to B or T lineage and includes non–T-natural killer (NK) lymphoid malignancies that have recently been reported.2 CD56 expression is found among cells in non–T-NK clonal diseases, such as NK large granular lymphocyte (LGL) leukemias,3-5 rare cases of NHL, and cases of acute myeloid leukemia.6 NK-NHL cases have been integrated within the Revised European-American classification of lymphoid neoplasms (REAL) classification.7 Sporadic cases of CD56+ CD3− NHL have been correlated to non–T-NK cells or true NK-NHL, which principally involve the nasopharynx and are related to the Epstein-Barr virus (EBV), a phenomenom observed among Asians and, more recently, in Americans and Europeans.8-15 Other rare non-nasal cases have extranodal involvements and are not related to EBV infection.15-21 The non-nasal NK-cell lymphoma forms seem to be a heterogeneous, rare, and aggressive clinical entity.
Most normal NK cells display LGL morphology, but this feature is not specific to NK-cell lineage. Functional cytotoxicity assays are available to characterize these cells: NK cells are maintained in a functional state that enables them to mediate cytotoxic activity directly. They are, therefore, recognized to be lymphocytes capable of mediating the spontaneous killing of target cells. Cytolytic activity requires the presence of cell death effector proteins. The expression of perforin and granzymes is a potential marker for cytotoxic cells22 and has been shown in LGL lymphoproliferation.23
Multidrug resistance (MDR) has been studied in many cell lines resistant to multiple unrelated cytotoxic agents and in isolated neoplastic cells derived from patients with hematologic malignancies. High expression of P glycoprotein (Pgp) encoded by the MDR 1 gene is suggested as a major mechanism of drug resistance in human cancer.24 Different methods are used for the detection of MDR-positive phenotypes at gene product (Pgp) or mRNA level. MDR activity could be investigated using a functional assay based on the efflux of fluorescent dye (Rhodamine 123 [Rh123]), which is transported by the transmembrane Pgp.25 Normal lymphocytes have functional activity associated with MDR,26 as described by Rh123 efflux assay.27 CD34+ hematopoietic stem cells have been shown to display high levels of Pgp expression and Rh123 efflux.28 Normal CD8+ CD56+ T-cytotoxic cells or peripheral blood mononuclear cells of patients with lymphoproliferative disease of granular lymphocytes (LDGL) have the same expression.29 30
In this report, we describe three cases of non-nasal CD3− CD56+ NK lymphomas. The main biological characteristics of these aggressive NHLs are analyzed, in particular the relation between MDR phenotype and prognosis.
PATIENTS
Case No. 1
A 39-year-old woman underwent surgery in March 1994 for a bowel impaction (Table 1). A 10-cm resection of the ileum was performed. Ulcerative lesions were discovered on the intestinal mucosae. Histopathological study recognized only massive inflammatory reactive changes but did not disclose malignant lymphoma. The patient felt quite well until December 1994 when a bulky mass with ascitis was discovered. A second laparotomy was performed with a subtotal hysterectomy, ovariectomy, and evacuation of 3L of peritoneal liquid. All tissue specimens showed an involvement by a high-grade malignant lymphoma of immunoblastic type. In January 1995, the patient was then transferred to the hematology unit. The clinical examination was normal without peripheral adenopathy but 8 days later the patient rapidly presented a resurgence of a bulky pelvic mass. A third laparotomy confirmed dissemination of the malignant tumor. The complete blood count was normal as were the bone marrow aspirate and biopsy specimens. The lactate dehydrogenase (LDH) level was 569 international units (IU)/L. The thoracic scan was normal. The neurological examination was normal, and no atypical cell could be seen in the lumbar puncture. The patient received a cyclophosphamide, vincristine, and prednisone (CVP) regimen followed by three courses of high-dose–CHOP (cyclophosphamide at 1.2 g/m2, adriblastine at 80 mg/m2, vincristine at 2 mg, and prednisone) and responded partially to the treatment. She relapsed 2 weeks after the last course and then received an evoked sensory action potential (ESAP) regimen. She died after the disease had progressed uncontrollably, 3 months after admission.
Clinical and Biological Data
| . | . | . | . | . | . | . | . | EBV . | ||||||
|---|---|---|---|---|---|---|---|---|---|---|---|---|---|---|
| . | . | . | . | . | . | . | . | (serology-IgG) . | ||||||
| . | . | . | . | . | . | . | . | . | . | |||||
| . | Age/Sex . | B Symptoms . | Organ Involvement . | Stage . | β2M . | LDH . | VIH-HTLV 1 (serology) . | Anti-VCA . | Anti-EBNA . | CBF . | Karyotype . | . | Outcome* . | |
| . | . | . | . | . | . | . | . | . | . | . | . | Treatment . | . | |
| . | . | . | . | . | . | . | . | . | . | . | . | . | . | . |
| Case no. 1 | 39/F | + | Ovaries, womb, ileum, ascites, bulky pelvic mass | IV | 2 | 569 | − | 1:320 | 1:20 | − | ND | CVP | Partial response | |
| VCAP | ||||||||||||||
| (3 courses) | ||||||||||||||
| ESAP | ||||||||||||||
| Failure | D (3 mo) | |||||||||||||
| Case no. 2 | 29/M | + | Bone marrow, | |||||||||||
| lymph nodes, | ||||||||||||||
| femur, spleen | IV | 2, 6 | 975 | − | 1:320 | 1:20 | − | 46 XY | CVP | Complete response | A (14 mo) | |||
| CHOP-MTX | ||||||||||||||
| ARA.C-VP16 | ||||||||||||||
| Allo-BMT | ||||||||||||||
| Case no. 3 | 28/M | + | Bone marrow, spleen liver, | |||||||||||
| lymph nodes, | ||||||||||||||
| ascitis | IV | 5, 7 | 3,100 | − | 1:1280 | 1:20 | − | 46 XY | CVP | |||||
| CHOP-MTX | ||||||||||||||
| ESAP | ||||||||||||||
| ARA.C-IDA | ||||||||||||||
| + Quinine | Failure | D (2 mo) | ||||||||||||
| . | . | . | . | . | . | . | . | EBV . | ||||||
|---|---|---|---|---|---|---|---|---|---|---|---|---|---|---|
| . | . | . | . | . | . | . | . | (serology-IgG) . | ||||||
| . | . | . | . | . | . | . | . | . | . | |||||
| . | Age/Sex . | B Symptoms . | Organ Involvement . | Stage . | β2M . | LDH . | VIH-HTLV 1 (serology) . | Anti-VCA . | Anti-EBNA . | CBF . | Karyotype . | . | Outcome* . | |
| . | . | . | . | . | . | . | . | . | . | . | . | Treatment . | . | |
| . | . | . | . | . | . | . | . | . | . | . | . | . | . | . |
| Case no. 1 | 39/F | + | Ovaries, womb, ileum, ascites, bulky pelvic mass | IV | 2 | 569 | − | 1:320 | 1:20 | − | ND | CVP | Partial response | |
| VCAP | ||||||||||||||
| (3 courses) | ||||||||||||||
| ESAP | ||||||||||||||
| Failure | D (3 mo) | |||||||||||||
| Case no. 2 | 29/M | + | Bone marrow, | |||||||||||
| lymph nodes, | ||||||||||||||
| femur, spleen | IV | 2, 6 | 975 | − | 1:320 | 1:20 | − | 46 XY | CVP | Complete response | A (14 mo) | |||
| CHOP-MTX | ||||||||||||||
| ARA.C-VP16 | ||||||||||||||
| Allo-BMT | ||||||||||||||
| Case no. 3 | 28/M | + | Bone marrow, spleen liver, | |||||||||||
| lymph nodes, | ||||||||||||||
| ascitis | IV | 5, 7 | 3,100 | − | 1:1280 | 1:20 | − | 46 XY | CVP | |||||
| CHOP-MTX | ||||||||||||||
| ESAP | ||||||||||||||
| ARA.C-IDA | ||||||||||||||
| + Quinine | Failure | D (2 mo) | ||||||||||||
Abbreviations: β2m, β2 microglobuline (N < 2.4 mg/L); LDH, n < 420; CBF, cerebral blood fluid; CVP, cyclophosphamide, vincristine, and prednisone; CHOP-MTX, cyclophosphamide, adriblastine, prednisone, and methotrexate; ESAP, VP16, cytarabine, cisplatinum; ARA.C-IDA, cytarabine, idarubicine; D, dead; A, alive; ND, not done.
After admission.
Case No. 2
A 29-year-old man was admitted in May 1995 for the progressive development of a voluminous inguinal mass associated with violent bone pain. Physical examination disclosed a splenomegaly (5 cm below the costal margin), no other adenopathy, no hepatomegaly, and no neurological abnormalities. His blood count showed 3.1 × 109/L leukocytes, with 30% neutrophils, 5% neutrophils myelocytes, and 5% of large lymphoid blast cells. The hemoglobin level was 9.7 g/dL, and the platelet count was 101 × 109/L. A bone marrow aspirate showed 90% of large lymphoid blast cells. A bone marrow biopsy specimen showed a massive lymphoid infiltrate constituted by medium and large sized cells. The LDH level was 975 IU/L. The patient entered complete remission after the first three inductions including two courses of CHOP and high-dose methotrexate and one course of VP16 + cytarabine. At this time, bone marrow aspirate and biopsy specimens were free of malignant cells. The patient underwent an allogeneic bone marrow transplantation (BMT) with an HLA sibling donor in September 1995. The conditioning regimen consisted of fractioned total-body irradiation and cyclophosphamide at 60 mg/kg for 2 consecutive days. The graft-versus-host disease prophylaxis consisted of cyclosporine A and methotrexate. The patient is alive and well 14 months after the BMT.
Case No. 3
A 28-year-old man was admitted after a 2-week period of fever, chills, abdominal pain, and weight loss. A physical examination showed ascites, peripheral polyadenopathy, and a splenomegaly (2 cm below the costal margin). The neurological examination and lumbar puncture were normal. The hemogram showed 7.5 × 109/L leukocytes, with 72% neutrophils, 7% lymphocytes, and 6% myelocytes. The hemoglobin level was 13.5 g/dL and platelets were 78 × 109/L. The liver function tests showed an alkaline phosphatase of 205 (N < 110), aspartate amino transferase (ASAT) of 77 (N < 50), alanine amino transferase (ALAT) of 23 (N < 60), and LDH of 3,100 U/L (N < 420). The clotting tests showed no disturbances. A peripheral lymph node and bone marrow biopsy showed a high grade lymphoma. The bone marrow aspirate showed a 60% lymphoid blast cell rate. The patient received an initial course of chemotherapy, including CVP, and 8 days later, the same regimen with adriblastine and methotrexate. He failed to respond to this treatment and a course of ESAP (VP16, cytarabine, and platinium) was administrated 3 weeks later with a transient response. An acute leukemia induction regimen with idarubicin and cytarabine plus quinine (revertant agent of MDR1-associated resistance) was delivered, but the patient developed progressive disease and died 2 months after admission.
MATERIALS AND METHODS
Cytology
Bone marrow smears and lymph node imprints were studied after staining with May-Grünwald-Giemsa solution.
Histopathology
All the surgical specimens were fixed in a 10% formaline solution, and bone marrow biopsy specimens were fixed in a Bouin-Holland solution. Sections of 5 μm were studied with the following staining: hematoxylin-eosin, Giemsa, and silver impregnation according to Gordon-Sweet.
Phenotypic Analysis
Surface markers detected by flow cytometry.Cytofluorometric analysis was performed on fresh cells in suspension without any fixation. After 30 minutes of incubation at 4°C with each fluorescein isothiocyanate (FITC)-labeled mouse monoclonal antibody (MoAb), the cells were washed twice in an RPMI 1640 medium (GIBCO, Grand Island, NY). Double fluorescence was performed through the association of fluorescein (FITC)- and phycoerythrin (PE)-labeled MoAb. An MoAb panel was used to assess the phenotype of lymph node or bone marrow cells: CD1a (OKT6; Ortho Diagnostic Systems, Roissy, France); CD2 (39C1.5; Immunotech, Marseille, France); CD3 (Ortho); CD4 (OKT4a; Ortho); CD5 (BL1a; Immunotech); CD7 (8H8.1; Immunotech); CD8 (OKT8; Ortho); CD10 (SS2/36; Dako, Trappes, France); CD13 (WM-47; Dako); CD16 (3G8; Immunotech); CD19 (J4.119; Ortho); CD21 (BL13; Immunotech); CD22 (SJ10.1H11; Immunotech); CD23 (9P25; Immunotech); CD25 (R-IL2 α; Ortho); CD29 (K20; Immunotech); CD33 (My9; Coultronics, Margency, France); CD34 (HPCA2; Becton Dickinson, San Jose, CA); CD38 (anti-Leu 17, HB7; Becton Dickinson); CD45RA (ALB11; Immunotech); CD45RO (UCHL1; Immunotech); CD56 (Ortho); CD57 (NC1; Immunotech); CD71 (YDJ1.2.2; Immunotech); CD94 (HP-3B1; Immunotech); CD103 (HML1; Immunotech); CD122 (R-IL2-β, Becton Dickinson); EB6 (Immunotech); and GL183 (Immunotech). Stained cells were analyzed using a flow cytometer with an argon laser operating at 488 nm (CYTORON; Ortho Diagnostic Systems, Raritan, NJ). FITC fluorescence was selected through a 515- to 530-nm band-pass filter and PE through a 565- to 592-nm band-pass filter. Overlapping emission spectra were electronically compensated. Data were processed with Immunocount 2 software (Ortho). Positive staining was characterized by having more than 20% positive cells in the tested samples.
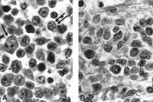
Morphological studies of pathologicals specimens. (A) Imprint of the three cases of NK-NHL. Case no. 1: Large blastic lymphoid cells looked like immunoblasts with a high mitotic rate (MGG, original magnification × 3,300). Case no. 2: Medium lymphoid cells with irregular nuclei and fine chromatin (MGG, original magnification × 3,300). Case no. 3: Medium and large lymphoid cells with vacuoles and azurophilic granules in the cytoplasm (MGG, original magnification × 3,300). (B) Immunophenotypic analysis. Coexpression study of CD3 and CD56 in the three cases found the unique tumoral phenotype CD3− CD56+. Heterogeneity is described concerning CD4 and CD8 expression. Case no. 1: CD4−CD8+; Case no. 2: CD4+CD8−; Case no. 3: CD4−CD8−.
Morphological studies of pathologicals specimens. (A) Imprint of the three cases of NK-NHL. Case no. 1: Large blastic lymphoid cells looked like immunoblasts with a high mitotic rate (MGG, original magnification × 3,300). Case no. 2: Medium lymphoid cells with irregular nuclei and fine chromatin (MGG, original magnification × 3,300). Case no. 3: Medium and large lymphoid cells with vacuoles and azurophilic granules in the cytoplasm (MGG, original magnification × 3,300). (B) Immunophenotypic analysis. Coexpression study of CD3 and CD56 in the three cases found the unique tumoral phenotype CD3− CD56+. Heterogeneity is described concerning CD4 and CD8 expression. Case no. 1: CD4−CD8+; Case no. 2: CD4+CD8−; Case no. 3: CD4−CD8−.
Immunocytochemistry, immunohistochemistry, and in situ hybridization.Cytocentrifugations were performed with 105 cells stained using an avidin-biotin complex technique (LSAB kit; Dako) and counterstained with Harris' hematoxylin (Merck, Darmstadt, Germany). The MoAbs used were as follows: perforin (PE-41-PU; Pharmacell, Paris, France), granzyme B (GB-42-PU; Pharmacell), and TiA1 (a MoAb that recognizes a 15-kD protein expressed in cytolytic lymphocyte granules; Coulter, Margency, France). Immunohistochemistry on paraffin section was applied according to the same technique with the following markers: CD3ε (polyclonal antibody, rabbit antihuman, affinity isolated; Dako), CD45 (T29/33; Dako), CD30 (BerH2; Dako); latent membrane protein 1 (LMP1; CS1-4; Dako), and TiA1. An in situ hybridization technique using FITC-conjugated oligonucleotide EBER-mRNA (Dako) was performed on paraffin-embedded tissue sections.
Cell-mediated cytotoxicity assay.Cytotoxic activity was measured in a standard 4-hour 51Chromium radioisotope release assay. Tumoral cells were tested against the NK-sensitive K562 target and DAUDI cell line in the presence of phytohemagglutinin (PHA-P; lectin-dependent cell-mediated cytotoxicity), and cytotoxicity was calculated as previously described.31
Immunogenotypic analysis of T-cell antigen receptor gene.DNA was extracted from fresh tissue according to the hypertonic Sodium Chloride method.32 Polymerase chain reaction (PCR) amplification of 1 μg of DNA was performed for 34 cycles using Taq polymerase (Perkin Elmer Cetus; Roche Molecular Systems, Branchburg, NJ) and a thermocycler (Crocodile II; Appligene, Illkirch, France). Gamma T-cell receptor gene primers were used in association, as previously described33: FW3 = ACA CGG CTC TGT ATT ACT G; FW4 = ACC TGA GCA GAC GGT GAC C. The PCR products were fractioned on a 40% polyacrylamide gel and visualized using ethidium bromide staining under UV light. The DNA of known T-cell lines were used as controls.
Multidrug Resistance Analysis
Rhodamine efflux assay.For Rh 123 efflux studies, the methodology was performed as previously described.28 34 Cells were stained with 500 ng/mL Rh123 for 30 minutes at 37°C. After two washes, they were incubated in a dye-free medium for 90 minutes at 37°C or at 4°C with or without MDR inhibitor (10 μmol/L verapamil). Flow cytometry analysis was performed after two other washes. To ensure that efflux was related to lymphomatous cells, cells were incubated with a PE labeled CD56 MoAb after having been stained with Rh123. Therefore, the efflux observed was not related to other cells such as T lymphocytes. Control studies were performed with K562-sensitive and -resistant cell lines (K562 R7 kindly provided by Professor J.P. Marie, Hotel-Dieu Hospital, Paris, France).
Pgp expression.Pgp expression was determined by MRK16 staining (Kamiya, Thousand Oaks, CA). This type of MoAb detects an external epitope of Pgp and is applied for the staining of live neoplastic cells.35 Cell staining was performed by indirect immunofluorescence with MRK16 and FITC antimouse antibody (Silenus, Hawthorn, Australia). In brief, 5 × 105 cells were incubated with MRK16 (50 μg/mL) as with IgG2a mouse MoAb (Immunotech) as an isotype control at 4°C for 45 minutes. Another incubation was performed in the dark with the second antibody. Cells were then analyzed in flow cytometry. The techniques applied include a simple subtraction of background histograms from specifically stained cells using a threshold.
Analysis of MDR1 gene expression by the reverse transcriptase-polymerase chain reaction (RT-PCR).The expression of MDR1 and β2-microglobulin was detected by the RT-PCR method as previously described.36 Total cellular RNA was isolated by guanidium thiocyanate cell lysis. One milligram of RNA was then reverse-transcripted using Moloney murine leukemia virus transcriptase and random hexanucleotide primers. cDNA representing 25 ng RNA was next subjected to PCR for 31 cycles in a final volume of 50 mL using 1 U amplitaq polymerase (Perkin Elmer Cetus, Roche Molecular Systems, Inc, Branchburg, NJ). After an initial denaturation for 2 minutes at 94°C, each cycle consisted of 30 seconds at 94°C, 30 seconds at 55°C, and 60 seconds at 72°C. The primers used for MDR1 and β2-microglobulin detection were exactly as described by Noonan et al.36 PCR products were separated on a 2% agarose gel. The bands were visualized by ethidium bromide, photographed, and quantified by densitometric analysis of the negatives. To provide a reference standard, cDNA prepared from K562 R7 cell line was used; this source is known to express high levels of MDR1 mRNAs. The amount of MDR1 mRNA in the three samples and control was then standardized to the amount of β2-microglobulin mRNAs. Samples were compared with K562 R7 mRNA level.
RESULTS
Morphology
In the first case, the imprint from a lymphadenopathy was mainly composed of large blastic lymphoid cells. The cytoplasm was abundant and slightly basophilic but without cytoplasmic granules. The nucleus was sometimes irregular with a single centrally located nucleolus. These blast cells looked like immunoblasts. Acid phosphatase polar positivity was observed in 100% of the blasts. Mitoses figures were frequent (Fig 1A). Histopathologic study of a voluminous lymph-node showed a diffuse infiltrate by medium to large cells with a basophilic cytoplasm, round nucleus containing medium and sometimes large nucleoli. Some medium-sized cells realized a plasmacytoid pattern (Fig 2A). A reappraisal of the ileal initial resection discovered similar cells infiltrating the mucosae between the glands and some in the epithelium between the cells.
Histological findings (cases no. 1 and 2). (A) Case no. 1: High-grade T-cell lymphoma, large cell predominance; proliferation of large lymphoid cells with immunoblasts (arrow) and medium-sized cells with plasmacytic differentiation (double arrow). Notice the discrete nuclear pleomorphism (hematoxylin-eosin, original magnification × 1,320). (B) Case no. 2: High grade pleomorphic T-cell lymphoma, medium-sized and large cell predominance. Proliferation of lymphoid cells with irregularly indented nuclei of various size and small nucleoli looking like a pleomorphic T-cell lymphoma with predominance of medium cells (hematoxylin-eosin, original magnification × 1,320).
Histological findings (cases no. 1 and 2). (A) Case no. 1: High-grade T-cell lymphoma, large cell predominance; proliferation of large lymphoid cells with immunoblasts (arrow) and medium-sized cells with plasmacytic differentiation (double arrow). Notice the discrete nuclear pleomorphism (hematoxylin-eosin, original magnification × 1,320). (B) Case no. 2: High grade pleomorphic T-cell lymphoma, medium-sized and large cell predominance. Proliferation of lymphoid cells with irregularly indented nuclei of various size and small nucleoli looking like a pleomorphic T-cell lymphoma with predominance of medium cells (hematoxylin-eosin, original magnification × 1,320).
In the second case, bone marrow aspiration showed an infiltrate of medium-sized lymphoid cells with fine chromatin. The blast cells contained irregular nuclei, usually with some indentations. The nucleoli were slightly apparent (Fig 1A). Acid phosphatase was negative. On bone marrow biopsy, a diffuse interstitial infiltrate with focal reinforcements was seen associated with a systematized myelofibrosis (Fig 2B). The cells were medium and large with slightly basophilic cytoplasm.
In the third case, the cervical lymph node imprints showed medium and large lymphoid cells. The nuclei exhibited a finely clumped chromatin. The basophilic cytoplasm was relatively abundant with some vacuoles and small azurophilic granules. Mitoses were frequently observed (Fig 1A). Histopathologic study of the lymph node showed a diffuse infiltrate with a starry sky pattern caused by numerous disseminated histiocytes with tingible bodies (Fig 3A). The lymphomatous cells were medium sized, with either an irregular or a more round nucleus with a basophilic cytoplasm. The lymphoma was classified as a high grade pleomorphic T-cell malignant lymphoma with large cell predominance. (Fig 3B). The bone marrow biopsy disclosed a diffuse massive infiltrate constituted by the same cells without myelofibrosis.
Histological findings (Case 3). (A) Diffuse infiltration, high-grade pleomorphic T-cell lymphomas of medium-sized cell predominance with numerous histiocytes showing a “starry-sky” pattern (hematoxylin-eosin, original magnification × 660). (B) The cells exhibit round or oval irregular nuclei with marked clumped chromatin and one distinct nucleoli (hematoxylin-eosin, original magnification × 1,320).
Histological findings (Case 3). (A) Diffuse infiltration, high-grade pleomorphic T-cell lymphomas of medium-sized cell predominance with numerous histiocytes showing a “starry-sky” pattern (hematoxylin-eosin, original magnification × 660). (B) The cells exhibit round or oval irregular nuclei with marked clumped chromatin and one distinct nucleoli (hematoxylin-eosin, original magnification × 1,320).
Phenotypes
Selected immunophenotyping results are listed in Table 2. Tumor cells were CD45+ and CD30−. The three cases were CD56+ (NKH1) and CD57− (Fig 1B). Neither expression of mature T-cell surface markers (CD3, CD5, TCRαβ, and TCRγδ) nor expression of mature B-cell antigen (CD19 and CD22) was positive. In addition, CD13 and CD33 myeloid markers could not be detected. CD38, CD71, and HLA-DR were highly expressed in the three cases. In patient no. 3 the cells were CD16+. The β interleukin-2 (IL-2) receptor (CD122) was expressed in cases no. 1 and 3. CD16, CD57, and CD122 are also considered as NK-cell associated antigens. NK receptor (CD94, EB6, and GL183) was not detected in the three cases, except CD94 in case no. 3. CD4, CD8, CD2, and CD7 expression appeared heterogeneous (Fig 1B). CD1a, CD10 (CALLA), CD21 (EBV-receptor), CD23, CD25, CD34, and CD103 were not detected. Immunohistochemistry on paraffin-embedded tissue sections showed a CD3 cytoplasmic expression explained by the presence of the CD3ε chain in NK and T cells. Immunocytohistochemistry showed the presence of cytotoxic granules in cases no. 1 and 3 with strong expression of TiA1, granular pattern of granzyme B, whereas perforin showed an intensive expression in case no. 3 and a faint one in case no. 2.
Surface Phenotype of Tumor Cells Determined by Flow Cytometry
| . | T Markers . | CD2 . | CD7 . | CD4 . | CD8 . | NK Markers . | ||||||
|---|---|---|---|---|---|---|---|---|---|---|---|---|
| . | CD3 . | CD5 . | TCRαβ . | TCRγδ . | . | . | . | . | CD16 . | CD56 . | CD57 . | CD122 . |
| Case no. 1 (lymph node) | 0% | 0% | 0% | 0% | 100% | 100% | 0% | 100% | 3% | 96% | 0% | 97% |
| Case no. 2 (bone marrow) | 2% | 2% | 4% | 1% | 22% | 98% | 85% | 2% | 1% | 96% | 3% | 0% |
| Case no. 3 (lymph node) | 2% | 2% | 2% | 0% | 98% | 3% | 1% | 1% | 90% | 97% | 0% | 94% |
| . | T Markers . | CD2 . | CD7 . | CD4 . | CD8 . | NK Markers . | ||||||
|---|---|---|---|---|---|---|---|---|---|---|---|---|
| . | CD3 . | CD5 . | TCRαβ . | TCRγδ . | . | . | . | . | CD16 . | CD56 . | CD57 . | CD122 . |
| Case no. 1 (lymph node) | 0% | 0% | 0% | 0% | 100% | 100% | 0% | 100% | 3% | 96% | 0% | 97% |
| Case no. 2 (bone marrow) | 2% | 2% | 4% | 1% | 22% | 98% | 85% | 2% | 1% | 96% | 3% | 0% |
| Case no. 3 (lymph node) | 2% | 2% | 2% | 0% | 98% | 3% | 1% | 1% | 90% | 97% | 0% | 94% |
In all three lymphomas, the tumor cells did not express the latent membrane protein (LMP-1) protein. In situ hybridization for EBV encoded small RNAs (EBER-1) was also negative.
Genotypes
There was no evidence of detectable clonal T-cell receptor (TCR) γ gene rearrangement with PCR analysis in the three cases, whereas gene rearrangements for T-cell lines were clearly identified (data not shown).
NK Activity
The neoplastic cells did not display any NK activity in vitro in cases no. 1 and 2. The third case was not studied.
MDR Analysis
None of the patients had received any treatment at the time that their neoplastic cells were isolated. In cases no. 1 and 3, MRK16 expression was high (Fig 4A). Rh123 efflux was detectable in more than 80% of CD56+ cells and was blocked in the presence of verapamil. Neither efflux nor P-glycoprotein expression was observed in case no. 2 (Fig 4B). All three cases showed detectable MDR1 mRNA levels. As shown in Fig 4C, the MDR1 levels were lower than the MDR1 K562-R7 RNA control. MDR1 mRNA expression was correlated with MRK16 staining and Rh123 efflux (Table 3).
MDR expression. (A) P-glycoprotein expression on tumoral cells in the three cases according to MRK16 staining. Vertical solid lines show the limits of the isotype control IgG2a. (B) Efflux of Rh123 in dual fluorescence assay with PE-labeled CD56 MoAb (vertical axis). After rhodamine uptake cells were incubated in a dye-free medium at 37°C with (first graph) or without verapamil (second graph). Green rhodamine fluorescence (horizontal axis) is diminished at 37°C without verapamil in cases no. 1 and 3. (C) MDR1 mRNA is analyzed using RT-PCR with 31 cycles. Lane 1, sensitive K562 c-DNA; lane 2, resistant K562 R7 c-DNA; lanes 3, 4, and 5 refer to patient nos. 1, 2, and 3, respectively. β-μG, β2-microglobulin.
MDR expression. (A) P-glycoprotein expression on tumoral cells in the three cases according to MRK16 staining. Vertical solid lines show the limits of the isotype control IgG2a. (B) Efflux of Rh123 in dual fluorescence assay with PE-labeled CD56 MoAb (vertical axis). After rhodamine uptake cells were incubated in a dye-free medium at 37°C with (first graph) or without verapamil (second graph). Green rhodamine fluorescence (horizontal axis) is diminished at 37°C without verapamil in cases no. 1 and 3. (C) MDR1 mRNA is analyzed using RT-PCR with 31 cycles. Lane 1, sensitive K562 c-DNA; lane 2, resistant K562 R7 c-DNA; lanes 3, 4, and 5 refer to patient nos. 1, 2, and 3, respectively. β-μG, β2-microglobulin.
Summary of MDR Analysis
| . | Immunophenotype . | MDR1 (RT-PCR) . | Pgp (MRK16) . | Rhodamine Efflux . |
|---|---|---|---|---|
| Case no. 1 | sCD3−, CD8+, CD56+ | +++ | 30% | 86% |
| Case no. 2 | sCD3−, CD4+, CD56+ | + | 0% | 0% |
| Case no. 3 | sCD3−, CD4−, CD8−, CD56+ | ++++ | 49% | 73% |
| . | Immunophenotype . | MDR1 (RT-PCR) . | Pgp (MRK16) . | Rhodamine Efflux . |
|---|---|---|---|---|
| Case no. 1 | sCD3−, CD8+, CD56+ | +++ | 30% | 86% |
| Case no. 2 | sCD3−, CD4+, CD56+ | + | 0% | 0% |
| Case no. 3 | sCD3−, CD4−, CD8−, CD56+ | ++++ | 49% | 73% |
MDR analysis is performed using RT-PCR for MDR1 mRNA expression in comparison with β2-microglobulin RNA level; Pgp is determined by flow cytometry with MRK16 MoAb. Rhodamine efflux is a flow cytometry assay previously described.
DISCUSSION
We reported three cases of CD3− CD56+ non-nasal NK-cell lymphomas. Morphological features observed after biopsies initially led to the diagnosis of pleomorphic T-cell malignant lymphoma with large cell predominance (cases no. 1 and 3) and with medium and large cells (case no. 2). Both subtypes belong to the same group of high-grade T-cell malignant lymphoma in the updated Kiel classification.1 Two particularities should be stressed. First, the pleomorphism of the nucleus was discrete. Second, the cytoplasm was basophilic with Giemsa staining. These characteristics are known to be present in nasal malignant lymphomas, aggressive NK-NHL, and γδ-NHL. In fact, these three cases should be classified as non–T-NK cells on account of the following reasons. (1) They expressed CD56 antigen. (2) The expression of mature T-cell surface markers (CD3, CD5, and TCR) was negative. Cytoplasmic CD3ε was expressed as expected in mature non–T-NK cells.37 (3) Molecular biology studies confirmed the germline configuration of TCR Vγ genes. Moreover, these cases displayed some characteristics of NK lineage, although there were differences from one patient to the other. Morphologically, in case no. 3 the tumor cells looked like NK cells with azurophilic granules, and cytochemistry tested positive for acid phosphatase. Heterogeneous expression was observed concerning different antigens: CD2 and CD7, which are pan-T antigens expressed on NK cells; CD16 and CD122 (β IL-2 receptor), which are NK antigens; and CD4 and CD8, which characterize T and some NK subsets. As previously reported in analyses of NK-NHL, CD57 expression remained negative in the three cases. Recently, it was reported that the lysis of autologous target cells by NK cells could be inhibited by a recognition signal mediated by specific NK receptors.38 Some of these receptors have been identified on human NK cells such as EB6 and GL183, which belong to the p58 molecular family,39 the NKB1 receptor,40 and the CD94 molecule Kp43.41 By using a phenotypic analysis of these NK receptors, Zambello et al42 showed that the unique expansion of most LDGL acts on a specific subset of NK lymphocytes. We tried but failed to show the expression of these markers in our cases; CD94 was found in only one case. However, these findings are in accordance with an NK clonal proliferation with an expression of 0% or 100%. TIA1, perforin, and granzyme B expression in a cytoplasmic granular pattern show the potential cytotoxic property of the neoplastic cells, although functional activity stays negative in the two tested cases. No relation with EBV was found in the three cases: CD21 (EBV-R) was not expressed on the surface of the cells, serology was related to previous EBV infection, and EBV sequences lack in situ hybridization.
According to the recent Hong Kong workshop on angiocentric T/NK-cell lymphomas, Jaffe et al14 recommended the provisional term nasal-type T/NK-cell lymphoma for these extra nodal NHL. However, our data seem to suggest a distinction between our three cases from nasal cell lymphomas: No association was found with EBV, no angiocentricity was recognized, and a non–T-NK cell phenotype and a multivisceral dissemination (cases no. 1 and 3) without nasal localization were present. In case no. 2, the presentation associated leukemia and lymphoma with both marked hepatosplenomegaly and massive bone marrow involvement. Aggressive NK-cell leukemia/lymphoma could be an appropriate name for all three cases. Regarding some phenotype and functional characteristics, an overlapping spectrum is observed between normal T and NK cells. This relationship based on a common progenitor led to the concept of T/NK lymphoma in different classifications.6 14
An increase in MDR1 mRNA or its product (Pgp) has been reported in large series of hematologic malignancies, especially in acute nonlymphoblastic leukemias (ANLL). In LDGL30 and NHL,43 MDR studies are scarcely reported. Using an Rh123 efflux assay, we and others have studied functional MDR among normal and malignant hematologic cells.44-48 An inverse correlation between Rh123 efflux and a complete remission rate was found in ANLL.46 Normal CD8+ CTL and NK cells have an MDR-positive phenotype,26,27,49 and their abnormal counterpart in six of eight patients with T-cell–type LDGL as well as three of three patients with NK-cell–type LGDL expressed Pgp significantly.30 Regarding mature lymphoid malignancies, MDR activity measured by Rh123 efflux was compared with clinical drug resistance.44,45 In the present study, a correlation is found between MDR1 RNA detection, Pgp expression, and Rh123 efflux inhibited by verapamil. In cases no. 1 and 3, the MDR phenotype is associated with a highly aggressive clinical course and with resistance to chemotherapy. In the second case, aggressive NK-NHL with an MDR1-negative phenotype is related to a better clinical outcome. MDR status in NK-NHL has only been reported in one case to our knowledge.9 In a patient suffering from nasal NK-NHL related to EBV, Pgp expression was detected and was related to the resistance to chemotherapy of such NHL and to poor prognosis. Our MDR investigations suggest that aggressive clinical findings in NK-NHL could be related to MDR1 gene expression. MDR studies of clinical samples could provide interesting information about prognosis. However, poor clinical outcomes seem to be common among these types of NHL. Intensive therapy, such as allo bone marrow transplantation, appears necessary in this type of clinical practice.
Address reprint requests to Bernard Drénou, MD, Laboratoire d'Hématologie-Immunologie, CHRU Hopital Pontchaillou, Rue Henri Le Guilloux 35043, Rennes cédex, France.





This feature is available to Subscribers Only
Sign In or Create an Account Close Modal