To the Editor:

Characterization of β-thalassemia mutations in different populations has shown 180 mutant alleles.1 So far, 25 mutations have been reported among Indians, 5 of which comprise more than 80% of the mutant alleles.2-4 

We report two interesting Indian families showing a novel β+-thalassemia mutation and a rare transcriptional mutation. They had come to us for second trimester prenatal diagnosis by globin biosynthesis.

The β-thalassemia mutations were characterized by denaturing gradient gel electrophoresis (DGGE) analysis.5 Both mutations were detected in fragment B of the β-globin gene spanning from the upstream −64 nucleotide to IVS-I-nt61 containing the promoter boxes and exon-1. DNA Sequencing was performed by the dideoxy method using Sequenase version 2.0 to identify the mutation.6 

Family I was from Madhya Pradesh in central India. Both parents (I-1) and (I-2) had classical β-thalassemia trait (Fig 1). Their 3-year-old son (II-1) with severe homozygous β-thalassemia had been diagnosed at 8 months of age and had been transfused every month. This child was not available for investigation. Fetal diagnosis at 18 weeks of gestation in the next pregnancy showed that the β/α biosynthetic ratio was 0.021, indicating that the fetus had homozygous β+-thalassemia (normal β/α ratio, >0.03).

Fig. 1.

Family I. The hematologic profile and the β-thalassemia mutations characterized in the parents (I-1 and I-2).

Fig. 1.

Family I. The hematologic profile and the β-thalassemia mutations characterized in the parents (I-1 and I-2).

Close modal

DGGE analysis showed that the mother (I-2) had the IVS I-5 G → C mutation, whereas the father (I-1) had an anomalous DGGE pattern in fragment B.

Sequencing of this region using the forward primer showed a novel mutation at codon 10 GCC → GCA on the coding strand. Both the normal codon (GCC) and the mutant codon (GCA) code for alanine. This C → A substitution creates the sequence CAGTTA in the mutated region. A catalogue of the sequences found at functional splice sites has identified the 5′ consensus sequence C/A AGG TG/AA. The C → A change in codon 10 produces a sequence that has homology to 5 of 6 nucleotides of the normal splice site at the exon 1-intron-I boundary. It has been reported earlier that this homologous sequence in the exon causes alternative splicing at the site giving a β+-phenotype.2 7 

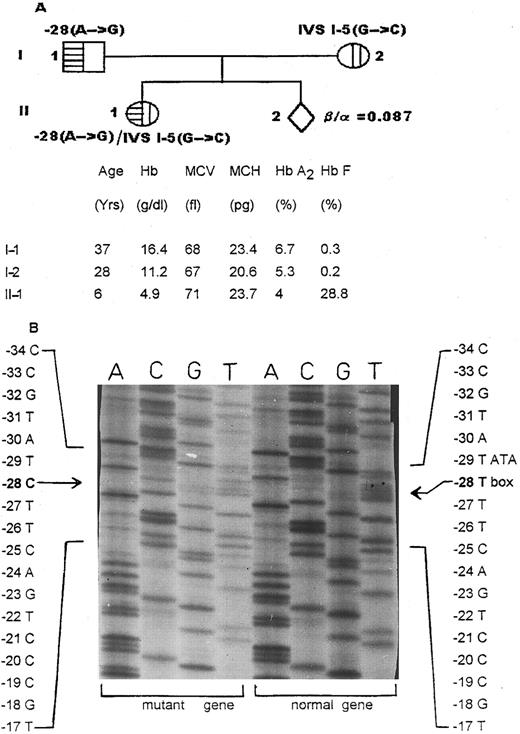
Family II was from Karnataka in south India. Both parents (I-1 and I-2) had classical β-thalassemia trait (Fig 2A). Their 6-year-old daughter had a homozygous β-thalassemic picture but had never been transfused. Globin biosynthesis in the next pregnancy showed that the 18-week-old fetus was normal.

Fig. 2.

Family II. (A) The hematologic profile and the β-thalassemia mutations characterized in the parents (I-1 and I-2) and their 6-year-old daughter (II-1). (B) Part of a sequencing gel showing the rare T → C mutation on the noncoding strand at position (−28) of the upstream ATA box in the father (I-1).

Fig. 2.

Family II. (A) The hematologic profile and the β-thalassemia mutations characterized in the parents (I-1 and I-2) and their 6-year-old daughter (II-1). (B) Part of a sequencing gel showing the rare T → C mutation on the noncoding strand at position (−28) of the upstream ATA box in the father (I-1).

Close modal

DGGE analysis showed the IVS I-5 G → C mutation in the mother (I-2), whereas the father (I-1) had another anomalous DGGE pattern in fragment B. The DGGE pattern in the homozygous child (II-1) was different from that seen in the parents.

Sequencing of this β-globin gene region using the forward primer did not show any mutation. Sequencing with the reverse primer showed a T → C change on the noncoding strand (Fig 2B). This mutation was found in the daughter (II-1) as well, who also showed the presence of the IVS-I-5 G → C mutation. This A → G change in the upstream ATA box at position (−28) is a transcriptional mutant reported among Chinese.8 Nevertheless, it has not been reported among Indians.

These two new rare mutations could be added to the 25 different β-thalassemic mutations that have been reported among Indians so far.

We thank S.R. Shirsat for preparation of the manuscript.

1
Baysal
E
Carver
M
The β- and δ-thalassemia repository.
Hemoglobin
19
1995
213
2
Varawalla
N
Old
J
Weatherall
D
Rare β-thalassemia mutations in Asian Indians.
Br J Haematol
79
1991
640
3
Baysal
E
Sharma
S
Wong
S
Jogessar
V
Huisman
T
Distribution of β-thalassemia mutations in three Asian Indian populations with distant geographical locations.
Hemoglobin
18
1994
201
4
El-Kalla
S
Mathews
A
A novel frameshift mutation causing β-thalassemia in a Sikh.
Hemoglobin
19
1995
183
5
Ghanem
N
Girodon
E
Vidaud
M
Martin
J
Fanen
P
Plassa
F
Goossens
M
A comprehensive scanning method for rapid detection of β-globin gene mutations and polymorphisms.
Hum Mutat
1
1992
229
6
Sanger
F
Nicklen
S
Coulson
AR
DNA sequencing with chain terminating inhibitors.
Proc Natl Acad Sci USA
74
1977
5463
7
Goldsmith
M
Humphries
R
Ley
T
Clin
A
Kantor
J
Nienhuis
A
“Silent” nucleotide substitution in a β+-thalassemia globin gene activates splice site in coding sequence RNA.
Proc Natl Acad Sci USA
80
1983
2318
8
Orkin
S
Sexton
J
Cheng
T-C
Goff
S
Giardina
P
Lee
J
Kazazian
H
ATA box transcription mutation in β-thalassemia.
Nucleic Acids Res
11
1983
4727
Sign in via your Institution