Many patients with antiphospholipid syndrome had decreased ectonucleotidase activity on neutrophils and platelets, which enabled extracellular nucleotides to trigger neutrophil-platelet aggregates. This phenotype was replicated by treating healthy neutrophils and platelets with patient-derived antiphospholipid antibodies or ectonucleotidase inhibitors.
TO THE EDITOR:
Antiphospholipid syndrome (APS) is propelled by circulating antiphospholipid antibodies (aPLs) that cause vascular thrombosis and obstetrical complications.1 These aPLs engage phospholipids, phospholipid-binding proteins, and innate immune receptors at cell surfaces to activate the endothelium, neutrophils, and platelets, thereby tipping the intravascular milieu toward thrombosis.2,3 Both neutrophils and platelets are regulated by extracellular purinergic signaling.4,5 For example, the nucleotides adenosine triphosphate (ATP) and adenosine diphosphate (ADP) engage surface P2X and P2Y receptors to promote proinflammatory and prothrombotic cellular functions.6-9 Ectonucleotide triphosphate diphosphohydrolase-1 (CD39) serves as a potential counterpoint to this purinergic signaling by catalyzing the stepwise conversion of ATP and ADP into adenosine monophosphate (AMP), which is itself relatively inert in the extracellular space. Ecto-5'-nucleotidase (CD73) can then remove the final phosphate group from AMP to release homeostatic adenosine, which can negate thromboinflammatory signaling through the activation of G-protein–coupled adenosine receptors.10 The ectonucleotidases CD39 and CD73 therefore tend to be negative regulators of various leukocyte and platelet functions (Figure 1A).11,12 Insufficient activity of CD39 and CD73 has been associated with inflammation and thrombotic complications in various contexts.13,14
Association between high neutrophil-platelet aggregates and low ectonucleotidase activity in patients with aPL+. (A) Role of ectonucleotidase activity in the step-by-step phosphohydrolysis of extracellular ATP to adenosine. (B-C) Flow cytometric determination of neutrophil-platelet aggregates (CD41+ events within the CD15+ CD16+ population) in fresh blood of healthy controls (n = 38), patients who are aPL+ (n = 70), and patients with aPL-negative venous thromboembolic disease [VTE (aPL−), n = 11]. (D) Levels of circulating neutrophil-platelet aggregates in aPL+ patients who had a history of thrombosis, as compared with aPL+ patients without a history of thrombosis or patients with VTE (aPL−). (E-H) Estimation of ectonucleotidase activity by measuring free phosphates (μM) using the malachite green assay kit, after the addition of ATP (100 μM) to neutrophils (E) or platelets (F), or the addition of AMP (100 μM) to neutrophils (G) or platelets (H). (I-L) Spearman correlation of neutrophil-platelet aggregates with ectonucleotidase activity for aPL+ patients as indicated. ∗P < .05, ∗∗∗P < .001, ∗∗∗∗P < .0001, and ns: nonsignificant by a one-way ANOVA with the Tukey multiple comparisons test.
Association between high neutrophil-platelet aggregates and low ectonucleotidase activity in patients with aPL+. (A) Role of ectonucleotidase activity in the step-by-step phosphohydrolysis of extracellular ATP to adenosine. (B-C) Flow cytometric determination of neutrophil-platelet aggregates (CD41+ events within the CD15+ CD16+ population) in fresh blood of healthy controls (n = 38), patients who are aPL+ (n = 70), and patients with aPL-negative venous thromboembolic disease [VTE (aPL−), n = 11]. (D) Levels of circulating neutrophil-platelet aggregates in aPL+ patients who had a history of thrombosis, as compared with aPL+ patients without a history of thrombosis or patients with VTE (aPL−). (E-H) Estimation of ectonucleotidase activity by measuring free phosphates (μM) using the malachite green assay kit, after the addition of ATP (100 μM) to neutrophils (E) or platelets (F), or the addition of AMP (100 μM) to neutrophils (G) or platelets (H). (I-L) Spearman correlation of neutrophil-platelet aggregates with ectonucleotidase activity for aPL+ patients as indicated. ∗P < .05, ∗∗∗P < .001, ∗∗∗∗P < .0001, and ns: nonsignificant by a one-way ANOVA with the Tukey multiple comparisons test.
We studied 70 durably aPL-positive (aPL+) patients without concomitant lupus, 11 patients with aPL-negative unprovoked venous thromboembolic disease (VTE [aPL−]), and 38 healthy controls (supplemental Table 1, available on the Blood website). As compared with the healthy controls, circulating neutrophil-platelet aggregates were detected at increased levels in aPL+ patients, with 45% of such patients having >40% of their neutrophils involved in aggregates (Figure 1B-C). In contrast, this increase was not observed in patients with VTE (aPL−) (Figure 1C). We also confirmed that neutrophil-platelet aggregates were significantly higher in aPL+ patients who had a history of thrombosis as compared with aPL+ patients without that history (Figure 1D). Alongside these findings, we observed a substantial increase in the platelet activation marker P-selectin (CD62P) in aPL+ patients as compared with healthy controls (supplemental Figure 1B). Of note, this increase was positively correlated with neutrophil-platelet aggregates (supplemental Figure 1C), suggesting that P-selectin is potentially a mediator of neutrophil-platelet aggregates in APS. We next compared aggregate formation to the 2 types of autoantibodies that have been mainly associated with neutrophil and/or platelet activation in APS,9,15,16 specifically the IgG and IgM isotypes of anti–beta-2 glycoprotein I (β2GPI) and anti-phosphatidylserine/prothrombin antibodies. Neutrophil-platelet aggregates were positively correlated with anti-β2GPI IgG (r = 0.30, P = .01) but not the other antibodies. Taken together, these data confirm a tendency toward increased formation of circulating neutrophil-platelet aggregates in aPL+ patients.
In parallel to the measurement of neutrophil-platelet aggregates described above, we also determined ectonucleotidase activity on freshly isolated neutrophils and platelets. Interestingly, aPL+ patients, as compared with healthy controls, demonstrated significantly lower ATP hydrolysis by both neutrophils and platelets (Figure 1E-F). Similar results were seen with AMP hydrolysis (Figure 1G-H). We next reasoned that the low ectonucleotidase activity on neutrophils and platelets of aPL+ patients might associate with a tendency toward neutrophil-platelet aggregate formation. Indeed, neutrophil-platelet aggregates were negatively correlated with ATP hydrolysis on neutrophils (r = −0.39, P = .0009) and platelets (r = −0.45, P = .0001) (Figure 1I-J). Similar trends were observed for AMP hydrolysis (r = −0.37, P = .001; r = −0.51, P = .0001, respectively) (Figure 1K-L). Beyond the measurement of ectonucleotidase activity, we also observed a significant decrease in ectonucleotidase expression on the neutrophils and platelets of aPL+ patients (supplemental Figure 2). We did not though find any substantial differences in the mRNA levels of the relevant genes ENTPD1 (CD39) and NT5E (CD73) in aPL+ neutrophils (supplemental Figure 2C,F). We next considered whether decreased expression of surface ectonucleotidases might track with increased levels of the corresponding soluble enzymes. To this end, we did observe substantially increased soluble CD39 and soluble CD73 in the plasma of aPL+ patients (supplemental Figure 3), consistent with the possibility that ectonucleotidases might be low on cell surfaces because of their release via proteolytic cleavage or as part of extracellular vesicles. Taken together, these data suggest that extracellular purine content controlled by ectonucleotidases might play an important role in the formation of neutrophil-platelet aggregates in patients with APS.
We next sought to determine whether IgG purified from patients with APS was capable of inducing neutrophil-platelet aggregates in culture. There was a dose-dependent induction of neutrophil-platelet aggregates upon treatment with APS IgG that was not present with IgG purified from healthy controls (Figure 2A). Aggregate formation was visually confirmed by ImageStream multispectral flow cytometer images (Figure 2B; supplemental Figures 4 and 5A); whereas platelets at times appeared to anecdotally associate with each other on the surface of neutrophils, there was no evidence of significant platelet-platelet aggregation across the treatment conditions (supplemental Figure 5B). Notably, we found that APS IgG treatment also significantly decreased both ATP and AMP hydrolysis in neutrophil-platelet cocultures (supplemental Figure 5C).
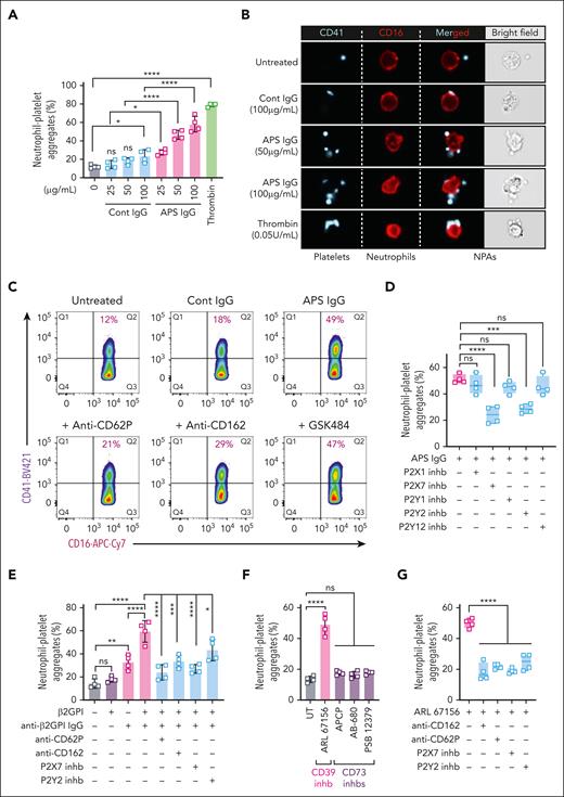
The role of P-selectin–PSGL-1 interactions, as well as P2X7 and P2Y2 receptors, in APS-relevant neutrophil-platelet aggregate formation. (A) Cocultures of washed neutrophils and platelets (1:20) from healthy volunteers were treated with various concentrations of control IgG or APS IgG for 1 hour and neutrophil-platelet aggregates (CD15+CD16+CD41+) were quantified by flow cytometry. Thrombin (0.05 U/mL) served as a positive control. (B) Representative ImageStream flow cytometry images using conditions similar to panel A. (C) Representative flow cytometry dot plots of neutrophil-platelet aggregate formation in response to control (50 μg/mL) or APS IgG (50 μg/mL); some samples were additionally pretreated for 15 minutes with anti-CD62P (anti–P-selectin, 2 μg/mL), anti-CD162 (anti–PSGL-1, 2 μg/mL), or GSK-484 (NETosis inhibitor, 10 μM). (D) Neutrophil-platelet cocultures were pretreated with inhibitors of P2X1 (NF 279, 2 μM), P2X7 (AZD9056, 10 μM), P2Y1 (MRS2179, 50 μM), P2Y2 (AR-C 118925XX, 10 μM), or P2Y12 (AR-C 69931, 10 μM) followed by 1 hour of treatment with APS IgG (50 μg/mL). Aggregates were quantified by flow cytometry as above. (E) Neutrophil-platelet cocultures were treated with β2GPI protein and affinity-purified anti-β2GPI IgG from patients with APS, along with blockers of P-selectin, PSGL-1, P2X7, or P2Y2. Aggregates were quantified as above. (F) Neutrophil and platelet cocultures were treated with inhibitors of ectonucleotidases CD39 (ARL 67156, 100 μM) or CD73 (APCP, 100 μM; AB-680, 10 μM; PSB 12379, 100 μM) for 1 hour. (G) Neutrophil and platelet cocultures were pretreated with blockers of P-selectin, PSGL-1, P2X7, or P2Y2 before treating with the CD39 inhibitor for 1 hour. Aggregates were quantified as above. ∗P < .05, ∗∗P < .01, ∗∗∗P < .001, ∗∗∗∗P < .0001, and ns: nonsignificant by one-way ANOVA followed by the Tukey multiple comparisons test.
The role of P-selectin–PSGL-1 interactions, as well as P2X7 and P2Y2 receptors, in APS-relevant neutrophil-platelet aggregate formation. (A) Cocultures of washed neutrophils and platelets (1:20) from healthy volunteers were treated with various concentrations of control IgG or APS IgG for 1 hour and neutrophil-platelet aggregates (CD15+CD16+CD41+) were quantified by flow cytometry. Thrombin (0.05 U/mL) served as a positive control. (B) Representative ImageStream flow cytometry images using conditions similar to panel A. (C) Representative flow cytometry dot plots of neutrophil-platelet aggregate formation in response to control (50 μg/mL) or APS IgG (50 μg/mL); some samples were additionally pretreated for 15 minutes with anti-CD62P (anti–P-selectin, 2 μg/mL), anti-CD162 (anti–PSGL-1, 2 μg/mL), or GSK-484 (NETosis inhibitor, 10 μM). (D) Neutrophil-platelet cocultures were pretreated with inhibitors of P2X1 (NF 279, 2 μM), P2X7 (AZD9056, 10 μM), P2Y1 (MRS2179, 50 μM), P2Y2 (AR-C 118925XX, 10 μM), or P2Y12 (AR-C 69931, 10 μM) followed by 1 hour of treatment with APS IgG (50 μg/mL). Aggregates were quantified by flow cytometry as above. (E) Neutrophil-platelet cocultures were treated with β2GPI protein and affinity-purified anti-β2GPI IgG from patients with APS, along with blockers of P-selectin, PSGL-1, P2X7, or P2Y2. Aggregates were quantified as above. (F) Neutrophil and platelet cocultures were treated with inhibitors of ectonucleotidases CD39 (ARL 67156, 100 μM) or CD73 (APCP, 100 μM; AB-680, 10 μM; PSB 12379, 100 μM) for 1 hour. (G) Neutrophil and platelet cocultures were pretreated with blockers of P-selectin, PSGL-1, P2X7, or P2Y2 before treating with the CD39 inhibitor for 1 hour. Aggregates were quantified as above. ∗P < .05, ∗∗P < .01, ∗∗∗P < .001, ∗∗∗∗P < .0001, and ns: nonsignificant by one-way ANOVA followed by the Tukey multiple comparisons test.
Next, to evaluate some of the cell activities required for neutrophil-platelet aggregate formation, such as selectin-expressing platelets or NET release by neutrophils, we examined the effect of cell-cell interaction blockers and a neutrophil extracellular trap (NET) inhibitor, GSK484 (a peptidylarginine deiminase 4 inhibitor), on APS IgG-induced neutrophil-platelet aggregate formation. Both P-selectin and PSGL-1 antibodies significantly reduced aggregate formation, whereas GSK484 had no effect (Figure 2C; supplemental Figure 5D). At the same time, the addition of APS IgG alone increased NETosis, and this effect was further boosted in the presence of platelets (supplemental Figure 5E), suggesting that NETosis is more likely to be downstream than upstream of neutrophil-platelet aggregate formation. As evidence of this, blocking neutrophil-platelet aggregate formation with either anti–P-selectin or anti–PSGL-1 antibodies significantly reduced NETosis (supplemental Figure 5F). Taken together, these findings suggest that APS IgG can reduce ectonucleotidase activity, while boosting neutrophil-platelet aggregate formation that can augment NETosis. Blocking the interaction between P-selectin and PSGL-1 is a potential strategy for reducing these effects.
Accumulation of extracellular ATP and ADP due to defective CD39 activity might activate various purinergic receptors known to be expressed by neutrophils or platelets such as P2X1, P2X7, P2Y1, P2Y2, and P2Y12. By flow cytometry, we found that APS IgG-induced neutrophil-platelet aggregate formation was significantly suppressed by blocking P2X7 (known to be expressed by platelets) or P2Y2 (known to be expressed by neutrophils) (Figure 2D).4,7 We also tested affinity-purified anti-β2GPI IgG in this system. The combination of β2GPI protein and anti-β2GPI IgG significantly increased neutrophil-platelet aggregate formation, with that effect blunted by blocking any of P-selectin, PSGL-1, P2X7, or P2Y2 (Figure 2E; supplemental Figure 6). The modest increase in neutrophil-platelet aggregate formation upon treatment with anti-β2GPI IgG alone (Figure 2E) was potentially attributable to bovine β2GPI present in the culture media (supplemental Figure 7). Meanwhile, treatment with the combination of prothrombin protein and affinity-purified anti-prothrombin IgG from patients who were anti-phosphatidylserine/prothrombin IgG-positive had no impact on ectonucleotidase activity (supplemental Figure 8). Taken together, these results suggest that activation of P2X7 and P2Y2 due to the deficiency of ectonucleotidase activity can amplify purinergic signaling, which leads to neutrophil-platelet aggregate formation.
Finally, to confirm our hypothesis that low ectonucleotidase activity is sufficient to increase neutrophil-platelet aggregate formation, we treated neutrophil and platelet cocultures with specific inhibitors of CD39 or CD73 and evaluated neutrophil-platelet aggregate formation. The CD39 inhibitor ARL 67156 significantly induced aggregate formation, which could again be prevented by blocking any of P-selectin, PSGL-1, P2X7, or P2Y2 (Figure 2F-G; supplemental Figure 9A-B). CD39 inhibition also enhanced P-selectin/PSGL-1–dependent NETosis (supplemental Figure 9C-E). In contrast, a variety of CD73 inhibitors did not induce neutrophil-platelet aggregate formation. Furthermore, there was no further amplification of aggregate formation when the CD39-specific inhibitor was combined with APS IgG (supplemental Figure 10), suggesting that these 2 approaches might be leveraging the same pathway. These data therefore suggest that CD39 plays a special role in restraining neutrophil-platelet aggregate formation, presumably by dissipating ATP and ADP.
In summary, it appears that deficiency of ectonucleotidase activity on both neutrophils and platelets potentiates neutrophil-platelet aggregate formation, which might play an important role in the thrombotic complications of APS. By interrogating the downstream mechanisms, we identified several potential therapeutic targets, including neutrophil P2Y2 and platelet P2X7 (supplemental Figure 11).
Acknowledgments
This work was supported by National Institutes of Health (NIH), National Heart, Lung, and Blood Institute grant R01HL134846 to J.S.K. A.T. and Y.Z. were supported by grants from the Rheumatology Research Foundation. Y.Z. was also supported by NIH, National Institute of Arthritis and Musculoskeletal and Skin Diseases (NIAMS) grant K08AR080205.
Authorship
Contribution: S.K.N., B.M.F., S.Y., W.L., C.E.R., C.H.R., and C.E.V. performed experiments and collected and analyzed data; C.K.H., C.S., A.T., J.A.M., S.L.S., J.K.S., and Y.Z. identified and recruited participants; S.K.N., F.A.O., Y.Z., and J.S.K. conceived the study; and all authors participated in drafting the manuscript and approved the final version for submission.
Conflict-of-interest disclosure: The authors declare no competing financial interests.
Correspondence: Jason S. Knight, Division of Rheumatology, Department of Internal Medicine, University of Michigan, 1150 W. Medical Center Dr, Ann Arbor, MI 48109-5680; email: jsknight@umich.edu.
References
Author notes
Data are available on request from authors Jason S. Knight (jsknight@umich.edu) and Somanathapura K. NaveenKumar (nsomanat@med.umich.edu).
The online version of this article contains a data supplement.
![Association between high neutrophil-platelet aggregates and low ectonucleotidase activity in patients with aPL+. (A) Role of ectonucleotidase activity in the step-by-step phosphohydrolysis of extracellular ATP to adenosine. (B-C) Flow cytometric determination of neutrophil-platelet aggregates (CD41+ events within the CD15+ CD16+ population) in fresh blood of healthy controls (n = 38), patients who are aPL+ (n = 70), and patients with aPL-negative venous thromboembolic disease [VTE (aPL−), n = 11]. (D) Levels of circulating neutrophil-platelet aggregates in aPL+ patients who had a history of thrombosis, as compared with aPL+ patients without a history of thrombosis or patients with VTE (aPL−). (E-H) Estimation of ectonucleotidase activity by measuring free phosphates (μM) using the malachite green assay kit, after the addition of ATP (100 μM) to neutrophils (E) or platelets (F), or the addition of AMP (100 μM) to neutrophils (G) or platelets (H). (I-L) Spearman correlation of neutrophil-platelet aggregates with ectonucleotidase activity for aPL+ patients as indicated. ∗P < .05, ∗∗∗P < .001, ∗∗∗∗P < .0001, and ns: nonsignificant by a one-way ANOVA with the Tukey multiple comparisons test.](https://ash.silverchair-cdn.com/ash/content_public/journal/blood/143/12/10.1182_blood.2023022097/2/m_blood_bld-2023-022097-gr1.jpeg?Expires=1767775789&Signature=xU2BkYwZynXd-o8fZSKmD3GtZ6q5L5AN2z-mdn0ArWxOJdu~jnHw4IjzBfx1O6nY69pLt4dt6GmHvy1EmqIypRKFPXi8GMoTxRSw1DNr1FZbyhkDwmmEGq5GDrv2Lsy9Sh~wTuVRERxa-5XdPty2m-OmGvfhUhNAnRlQDFujph9Nnh0z-u~0ARpnrdQ6Wfns22UwBvKWRMqfpD7tvqoe8Be7FZ7Aaktx130iFmYOowb1ayIePWxZZNxN8SbeecsLTbEe6RIsEneXboj6xhqNvwJL5N04yTBqWvr99dbRible1HfwAE36qPqQ7hrkwd5VTDDzKi139EnkgS~lWoz1cw__&Key-Pair-Id=APKAIE5G5CRDK6RD3PGA)

This feature is available to Subscribers Only
Sign In or Create an Account Close Modal