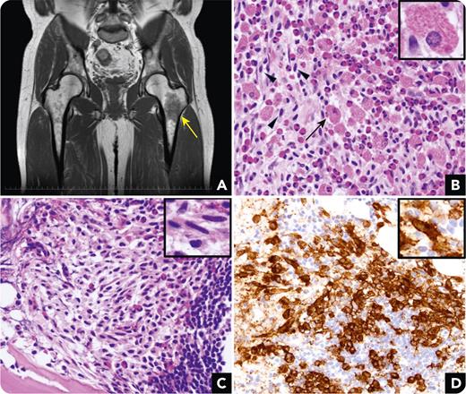
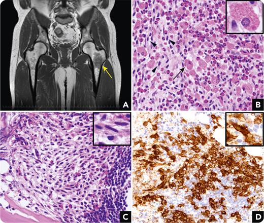
A 44-year-old man presented with pain in the left hip joint. Magnetic resonance imaging identified a solitary lesion in the left femur (panel A, arrow). No other sites were involved. A peripheral blood test showed no remarkable changes except a slight increase in eosinophils proportion (6.4%). Biopsy showed a prominent infiltration of eosinophils and histiocytes with eosinophilic granular, crystalline cytoplasm (panel B, arrow; hematoxylin and eosin stain; 40× objective [inset and larger image]). Short spindle cells with pale amphophilic to basophilic cytoplasm were scattered admixed with the histiocytes (panel B, arrowheads), occasionally forming small clusters (panel C; 40× objective [inset and larger image]). Initially, histiocytic/dendritic cell neoplasms, including Langerhans cell histiocytosis and Rosai-Dorfman disease, were suspected, but the histiocytes were positive for CD68 and negative for CD1a and S100, inconsistent with these diagnoses. On the other hand, the spindle cells were positive for KIT (panel D; immunohistochemistry; 20× objective [inset and larger image]) and CD25 and weakly positive for CD2 and CD30. KIT D816V was proven with reverse transcription polymerase chain reaction using RNA extracted from the formalin-fixed, paraffin-embedded specimen. A diagnosis of systemic mastocytosis, with crystal-storing histiocytosis (CSH), was finally made.
CSH is a rare condition characterized by the accumulation of crystals in macrophages. Although the crystals are usually derived from immunoglobulins in plasma cell disorders, they can be Charcot-Leyden crystals, eosinophilic materials observed in the present case, in eosinophil-infiltrating diseases. The recognition of CSH deserves further workup for a background disease such as mastocytosis.
For additional images, visit the ASH Image Bank, a reference and teaching tool that is continually updated with new atlas and case study images. For more information, visit https://imagebank.hematology.org.

This feature is available to Subscribers Only
Sign In or Create an Account Close Modal