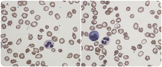
These images were captured from the peripheral blood smear of a 56-year-old patient with Child-Pugh C alcoholic cirrhosis, ongoing alcohol abuse, and chronic macrocytic anemia with baseline hemoglobin 7 to 8 g/dL. Laboratory work suggested a hemolytic process, with a mixed hyperbilirubinemia (total bilirubin 13 mg/dL, direct bilirubin 3.2 mg/dL), low haptoglobin, elevated lactate dehydrogenase, and urinary free hemoglobin. Direct Coombs test was negative. Platelets and white blood cell count were stable at ∼100 000 × 109/L and 9000 × 109/L, respectively. Peripheral smear using the ×100 objective demonstrated a preponderance of acanthocytes with rare schistocytes (panels A-B; Wright stain).
The acanthocytes (spur cells) seen here result from impaired lipid metabolism associated with liver failure. These cells can be differentiated from the echinocytes (burr cells) that are seen in uremia or liver disease by the presence of more uneven, irregular projections. Although acanthocytes typically cause only mild hemolysis, the presence of at least 5% spur cells indicates advanced cirrhosis with a median survival of <3 months. Definitive treatment is directed at the underlying liver disease. Complete resolution of spur cell anemia has been observed following alcohol cessation and liver transplantation. Unfortunately, this patient was not eligible for transplant and expired within weeks of this peripheral smear.
These images were captured from the peripheral blood smear of a 56-year-old patient with Child-Pugh C alcoholic cirrhosis, ongoing alcohol abuse, and chronic macrocytic anemia with baseline hemoglobin 7 to 8 g/dL. Laboratory work suggested a hemolytic process, with a mixed hyperbilirubinemia (total bilirubin 13 mg/dL, direct bilirubin 3.2 mg/dL), low haptoglobin, elevated lactate dehydrogenase, and urinary free hemoglobin. Direct Coombs test was negative. Platelets and white blood cell count were stable at ∼100 000 × 109/L and 9000 × 109/L, respectively. Peripheral smear using the ×100 objective demonstrated a preponderance of acanthocytes with rare schistocytes (panels A-B; Wright stain).
The acanthocytes (spur cells) seen here result from impaired lipid metabolism associated with liver failure. These cells can be differentiated from the echinocytes (burr cells) that are seen in uremia or liver disease by the presence of more uneven, irregular projections. Although acanthocytes typically cause only mild hemolysis, the presence of at least 5% spur cells indicates advanced cirrhosis with a median survival of <3 months. Definitive treatment is directed at the underlying liver disease. Complete resolution of spur cell anemia has been observed following alcohol cessation and liver transplantation. Unfortunately, this patient was not eligible for transplant and expired within weeks of this peripheral smear.
For additional images, visit the ASH Image Bank, a reference and teaching tool that is continually updated with new atlas and case study images. For more information, visit http://imagebank.hematology.org.

This feature is available to Subscribers Only
Sign In or Create an Account Close Modal