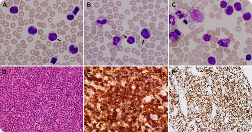
A 47-year-old man was admitted with a 2-week history of fever, asthenia, and dyspnea. A full blood count showed a white blood cell count of 11.5 × 109/L (78.8 × 109/L after 1 week). Blood smears showed 44% tumor cells with loose chromatin and indented, convoluted, folded nuclei, some with obvious indentation (panels A-B, black arrows; Wright-Giemsa stain, original magnification ×100). The cytoplasm was small and gray blue (panels A-B). A bone marrow aspirate identified 20% such cells (panel C; Wright-Giemsa stain, original magnification ×100). Flow cytometry suggested T-cell lymphocytosis (positivity for CD4 and CD2 and negativity for CD3, CD16, CD8, CD56, CD57, and B-cell phenotype). Immunocytochemistry for these lymphocytes (bone marrow biopsy) was positive for CD3, CD5, CD30, CD45RO, and CD43. Node biopsy showed infiltration by the same small lymphocytes (panel D; hematoxylin and eosin stain, original magnification ×20) with immunocytochemistry positive for CD30 (panel E; immunoperoxidase stain, original magnification ×20), anaplastic lymphoma kinase (ALK) (panel F; immunoperoxidase stain, original magnification ×10), CD5, and, partially, CD3 (Ki67 index, 60%). A T-cell receptor gene rearrangement test was positive. A diagnosis of the small cell variant of anaplastic large cell lymphoma (ALCL) presenting in the leukemic phase was made. The patient received brentuximab vedotin and chemotherapy with clinical improvement.
ALCLs feature with high variability in clinical presentation. A small cell variant ALCL should be considered as a differential diagnosis for unusual T-cell lymphocytosis.
A 47-year-old man was admitted with a 2-week history of fever, asthenia, and dyspnea. A full blood count showed a white blood cell count of 11.5 × 109/L (78.8 × 109/L after 1 week). Blood smears showed 44% tumor cells with loose chromatin and indented, convoluted, folded nuclei, some with obvious indentation (panels A-B, black arrows; Wright-Giemsa stain, original magnification ×100). The cytoplasm was small and gray blue (panels A-B). A bone marrow aspirate identified 20% such cells (panel C; Wright-Giemsa stain, original magnification ×100). Flow cytometry suggested T-cell lymphocytosis (positivity for CD4 and CD2 and negativity for CD3, CD16, CD8, CD56, CD57, and B-cell phenotype). Immunocytochemistry for these lymphocytes (bone marrow biopsy) was positive for CD3, CD5, CD30, CD45RO, and CD43. Node biopsy showed infiltration by the same small lymphocytes (panel D; hematoxylin and eosin stain, original magnification ×20) with immunocytochemistry positive for CD30 (panel E; immunoperoxidase stain, original magnification ×20), anaplastic lymphoma kinase (ALK) (panel F; immunoperoxidase stain, original magnification ×10), CD5, and, partially, CD3 (Ki67 index, 60%). A T-cell receptor gene rearrangement test was positive. A diagnosis of the small cell variant of anaplastic large cell lymphoma (ALCL) presenting in the leukemic phase was made. The patient received brentuximab vedotin and chemotherapy with clinical improvement.
ALCLs feature with high variability in clinical presentation. A small cell variant ALCL should be considered as a differential diagnosis for unusual T-cell lymphocytosis.
For additional images, visit the ASH Image Bank, a reference and teaching tool that is continually updated with new atlas and case study images. For more information, visit http://imagebank.hematology.org.

This feature is available to Subscribers Only
Sign In or Create an Account Close Modal