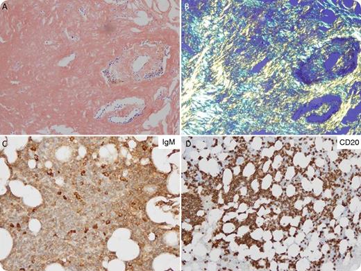
A 67-year-old woman presented with generalized lymphadenopathy (maximum standardized uptake value 3.2). Serum protein electrophoresis/immunofixation showed 2 small immunoglobulin M (IgM)–λ paraproteins (0.47 and 0.62 g/dL). Quantitative serum immunoglobulins and free light chains were unremarkable. Mediastinal lymph node biopsy showed an amyloid tumor and sparse B-cell infiltrate positive for CD19, CD20, and CD22 (negative for CD5 and CD10) with λ restriction. Congo red staining (panel A) showed strong apple-green birefringence (panel B). Liquid chromatography/mass spectrometry showed λ light-chain and μ heavy-chain amyloid. Bone marrow was variably (10% to 70%) involved by a lymphoplasmacytic infiltrate with IgM-λ restriction (panel C). Neoplastic cells expressed PAX5, CD20 (mature B-cell component; panel D), and CD138 (1% plasmacytic component), and were negative for CD5 and CD10. Polymerase chain reaction testing identified an MYD88 L265P mutation. No cardiac, pulmonary, lingual, or renal involvements were identified. A diagnosis of lymphoplasmacytic lymphoma/Waldenström macroglobulinemia (LPL/WM) presenting with secondary IgM amyloidoma was established.
About 2% of patients with amyloidosis present with lymphadenopathy. LPL/WM-associated IgM amyloidoma is an even rarer entity, occurring when IgM-producing lymphoplasmacytic cells secrete amyloidogenic proteins. Lymph node amyloidosis can also occur in chronic lymphocytic leukemia and marginal zone lymphoma, and may be associated with IgM paraproteinemia. Localized lymph node amyloidosis can have heavy-chain or both heavy- and light-chain components.
A 67-year-old woman presented with generalized lymphadenopathy (maximum standardized uptake value 3.2). Serum protein electrophoresis/immunofixation showed 2 small immunoglobulin M (IgM)–λ paraproteins (0.47 and 0.62 g/dL). Quantitative serum immunoglobulins and free light chains were unremarkable. Mediastinal lymph node biopsy showed an amyloid tumor and sparse B-cell infiltrate positive for CD19, CD20, and CD22 (negative for CD5 and CD10) with λ restriction. Congo red staining (panel A) showed strong apple-green birefringence (panel B). Liquid chromatography/mass spectrometry showed λ light-chain and μ heavy-chain amyloid. Bone marrow was variably (10% to 70%) involved by a lymphoplasmacytic infiltrate with IgM-λ restriction (panel C). Neoplastic cells expressed PAX5, CD20 (mature B-cell component; panel D), and CD138 (1% plasmacytic component), and were negative for CD5 and CD10. Polymerase chain reaction testing identified an MYD88 L265P mutation. No cardiac, pulmonary, lingual, or renal involvements were identified. A diagnosis of lymphoplasmacytic lymphoma/Waldenström macroglobulinemia (LPL/WM) presenting with secondary IgM amyloidoma was established.
About 2% of patients with amyloidosis present with lymphadenopathy. LPL/WM-associated IgM amyloidoma is an even rarer entity, occurring when IgM-producing lymphoplasmacytic cells secrete amyloidogenic proteins. Lymph node amyloidosis can also occur in chronic lymphocytic leukemia and marginal zone lymphoma, and may be associated with IgM paraproteinemia. Localized lymph node amyloidosis can have heavy-chain or both heavy- and light-chain components.
For additional images, visit the ASH IMAGE BANK, a reference and teaching tool that is continually updated with new atlas and case study images. For more information visit http://imagebank.hematology.org.

This feature is available to Subscribers Only
Sign In or Create an Account Close Modal