A 57-year-old man with no prior medical history underwent skin excision and sentinel lymph node biopsy for invasive melanoma. The lymph node was grossly enlarged, raising suspicion for metastasis. Histologic evaluation showed a proliferation of atypical follicles that were widely and randomly scattered throughout the lymph node parenchyma (panel A). The follicles were composed of a mixture of centrocytes and relatively fewer centroblasts. The follicles were highly unusual in that abundant extracellular eosinophilic material with morphologic features similar to amyloid was associated with the lymphoma cells (panels B-C). Immunohistochemical studies showed the lymphoma cells were positive for CD20 (panel D), BCL-6 (panel E), BCL-2 (panel F), and CD23 and negative for CD3 and immunoglobulin κ and λ light chains (not shown). Of note, the abundant extracellular material was also positive for CD20 (panel D) and immunoglobulin. A Congo red stain was negative for amyloid deposition. Fluorescence in situ hybridization was negative for IGH-BCL2. These results supported the diagnosis of follicular lymphoma. There was no evidence of metastatic melanoma.
This case demonstrates a highly unusual variant of a common B-cell lymphoma and also emphasizes the importance of communication between pathologists and clinicians as this patient may have been treated for metastatic melanoma if biopsy had not been performed.
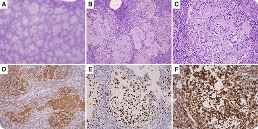
A 57-year-old man with no prior medical history underwent skin excision and sentinel lymph node biopsy for invasive melanoma. The lymph node was grossly enlarged, raising suspicion for metastasis. Histologic evaluation showed a proliferation of atypical follicles that were widely and randomly scattered throughout the lymph node parenchyma (panel A). The follicles were composed of a mixture of centrocytes and relatively fewer centroblasts. The follicles were highly unusual in that abundant extracellular eosinophilic material with morphologic features similar to amyloid was associated with the lymphoma cells (panels B-C). Immunohistochemical studies showed the lymphoma cells were positive for CD20 (panel D), BCL-6 (panel E), BCL-2 (panel F), and CD23 and negative for CD3 and immunoglobulin κ and λ light chains (not shown). Of note, the abundant extracellular material was also positive for CD20 (panel D) and immunoglobulin. A Congo red stain was negative for amyloid deposition. Fluorescence in situ hybridization was negative for IGH-BCL2. These results supported the diagnosis of follicular lymphoma. There was no evidence of metastatic melanoma.
This case demonstrates a highly unusual variant of a common B-cell lymphoma and also emphasizes the importance of communication between pathologists and clinicians as this patient may have been treated for metastatic melanoma if biopsy had not been performed.
For additional images, visit the ASH IMAGE BANK, a reference and teaching tool that is continually updated with new atlas and case study images. For more information visit http://imagebank.hematology.org.

This feature is available to Subscribers Only
Sign In or Create an Account Close Modal