A 12-year-old child, without a significant medical history, presented with abdominal discomfort. Physical examination revealed marked hepatosplenomegaly. Blood tests showed anemia (7.4 g/dL), thrombocytopenia (107 × 109/L), and a normal white blood cell count (9.5 × 109/L). Rare atypical cells (<1%) were seen in the peripheral blood smear. Bone marrow aspirate (May-Grünwald-Giemsa stained) was invaded by tumor cells (67%), medium to large in size, with pale basophilic ungranulated cytoplasm, round nuclei with dispersed nuclear chromatin (panel A), and erythrophagocytosis (panel B). These large blastlike cells suggested lymphoblastic leukemia. Flow cytometry immunophenotyping revealed the following T-lineage profile: CD2+sCD3+CD4−CD5−CD7+CD8−TCRγδ+. Cells did not express immature markers (CD34−CD117−) or markers for others lineages. Karyotype showed isochromosome 7q, trisomy 8, and loss of chromosome Y. Despite the blast-like appearance, absence of CD5 associated with sCD3 and TCRγδ positivity excluded the diagnosis of T-lymphoblastic leukemia. Although isochromosome 7q and trisomy 8 are known cytogenetic abnormalities in a number of hematologic malignancies, the combination of both is unique in hepatosplenic T-cell lymphoma (HSTL). Moreover, erythrophagocytosis is a reported finding in HSTL.
This is an unusual case of HSTL presenting in a very young patient with a blastic phase at the time of diagnosis. Despite the use of a high-risk protocol, no remission was obtained, and the patient died 6 months after diagnosis.
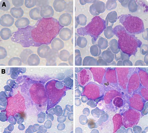
A 12-year-old child, without a significant medical history, presented with abdominal discomfort. Physical examination revealed marked hepatosplenomegaly. Blood tests showed anemia (7.4 g/dL), thrombocytopenia (107 × 109/L), and a normal white blood cell count (9.5 × 109/L). Rare atypical cells (<1%) were seen in the peripheral blood smear. Bone marrow aspirate (May-Grünwald-Giemsa stained) was invaded by tumor cells (67%), medium to large in size, with pale basophilic ungranulated cytoplasm, round nuclei with dispersed nuclear chromatin (panel A), and erythrophagocytosis (panel B). These large blastlike cells suggested lymphoblastic leukemia. Flow cytometry immunophenotyping revealed the following T-lineage profile: CD2+sCD3+CD4−CD5−CD7+CD8−TCRγδ+. Cells did not express immature markers (CD34−CD117−) or markers for others lineages. Karyotype showed isochromosome 7q, trisomy 8, and loss of chromosome Y. Despite the blast-like appearance, absence of CD5 associated with sCD3 and TCRγδ positivity excluded the diagnosis of T-lymphoblastic leukemia. Although isochromosome 7q and trisomy 8 are known cytogenetic abnormalities in a number of hematologic malignancies, the combination of both is unique in hepatosplenic T-cell lymphoma (HSTL). Moreover, erythrophagocytosis is a reported finding in HSTL.
This is an unusual case of HSTL presenting in a very young patient with a blastic phase at the time of diagnosis. Despite the use of a high-risk protocol, no remission was obtained, and the patient died 6 months after diagnosis.
For additional images, visit the ASH IMAGE BANK, a reference and teaching tool that is continually updated with new atlas and case study images. For more information visit http://imagebank.hematology.org.

This feature is available to Subscribers Only
Sign In or Create an Account Close Modal