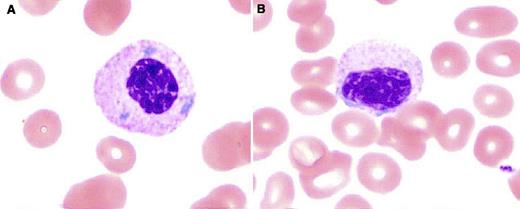
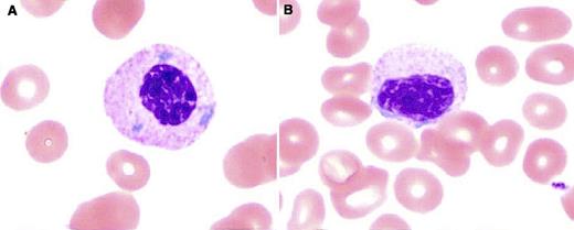
A 63-year-old man was discovered to have abnormal laboratory results after routine blood work and was diagnosed with acute myeloid leukemia with myelodysplasia-related changes (AML-MRC). After bone marrow confirmation, the patient was treated with chemotherapy followed by haploidentical hematopoietic stem cell transplantation. Tacrolimus therapy was then initiated for prevention of graft-versus-host disease. A follow-up peripheral blood smear (PBS) showed numerous hypolobated neutrophils with a unique morphology of round to oval single nucleus, clumped chromatin, adequate cytoplasmic granules, and occasional Döhle bodies, which suggested relapse of the disease (panels A-B, Wright-Giemsa stain; original magnification ×1000). Meanwhile, bone marrow evaluation was unremarkable, and engraftment studies showed complete donor engraftment. Four months later, when tacrolimus therapy was discontinued, subsequent PBSs showed return of normal neutrophil morphology.
Pseudo–Pelger-Huët anomaly (PPHA) is a marker of granulocytic dysplasia conventionally seen in myelodysplastic syndrome (MDS). It can also be seen with use of certain drugs such as immunosuppressants. The literature shows that drug-induced PPHA tends to have monolobated neutrophils with a single ovoid nucleus, unlike MDS, which is classically characterized by bilobed neutrophils. This morphologic difference can be exploited in the diagnostic dilemma of MDS, AML-MRC, and drug-induced PPHA.
A 63-year-old man was discovered to have abnormal laboratory results after routine blood work and was diagnosed with acute myeloid leukemia with myelodysplasia-related changes (AML-MRC). After bone marrow confirmation, the patient was treated with chemotherapy followed by haploidentical hematopoietic stem cell transplantation. Tacrolimus therapy was then initiated for prevention of graft-versus-host disease. A follow-up peripheral blood smear (PBS) showed numerous hypolobated neutrophils with a unique morphology of round to oval single nucleus, clumped chromatin, adequate cytoplasmic granules, and occasional Döhle bodies, which suggested relapse of the disease (panels A-B, Wright-Giemsa stain; original magnification ×1000). Meanwhile, bone marrow evaluation was unremarkable, and engraftment studies showed complete donor engraftment. Four months later, when tacrolimus therapy was discontinued, subsequent PBSs showed return of normal neutrophil morphology.
Pseudo–Pelger-Huët anomaly (PPHA) is a marker of granulocytic dysplasia conventionally seen in myelodysplastic syndrome (MDS). It can also be seen with use of certain drugs such as immunosuppressants. The literature shows that drug-induced PPHA tends to have monolobated neutrophils with a single ovoid nucleus, unlike MDS, which is classically characterized by bilobed neutrophils. This morphologic difference can be exploited in the diagnostic dilemma of MDS, AML-MRC, and drug-induced PPHA.
For additional images, visit the ASH IMAGE BANK, a reference and teaching tool that is continually updated with new atlas and case study images. For more information visit http://imagebank.hematology.org.

This feature is available to Subscribers Only
Sign In or Create an Account Close Modal