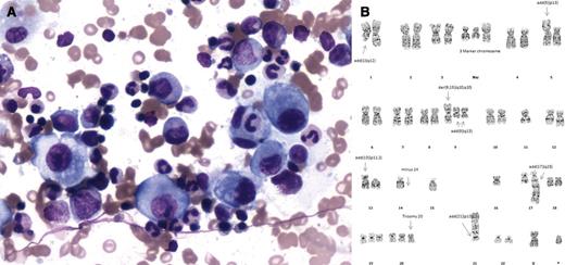
A 58-year-old man presented with backache, weight loss, and fever for 1 month. Laboratory tests showed a hemoglobin of 9.9 g/dL, white cell count of 31.1 × 109/L, neutrophil count of 26.9 × 109/L, platelet count of 46 × 109/L, serum ferritin of 1096 µg/L, fasting triglyceride of 1.04 mmol/L, and fibrinogen level of 6.40 g/L. Viral studies, as well as cultures of blood, urine, and sputum, were all negative. A computer tomography scan detected pathological fractures of the ribs. A bone scan demonstrated abnormal radiotracer foci involving the left sixth rib, vertebrae, and left ilium. The bone marrow aspirate showed atypical mononuclear cells and a few hemophagocytes (8% of all nucleated cells; panel A), reduced megakaryopoiesis, and no evidence of dysplasia. Karyotyping of the marrow specimen revealed complex structural and numerical abnormalities (panel B). Computer tomography–guided biopsy of the left iliac bone lesion confirmed adenocarcinoma. The primary site of the malignancy was never identified, and he died of cancer about 1 month after the diagnosis.
The clinical features of fever, cytopenias, elevated ferritin, and hemophagocytosis in bone marrow are diagnostic of hemophagocytic syndrome, which is associated primarily with lymphoma and rarely with carcinoma. A complex karyotype is rarely reported in metastatic carcinoma because karyotyping is not routinely done in this setting, and thus the significance of this finding is uncertain.
A 58-year-old man presented with backache, weight loss, and fever for 1 month. Laboratory tests showed a hemoglobin of 9.9 g/dL, white cell count of 31.1 × 109/L, neutrophil count of 26.9 × 109/L, platelet count of 46 × 109/L, serum ferritin of 1096 µg/L, fasting triglyceride of 1.04 mmol/L, and fibrinogen level of 6.40 g/L. Viral studies, as well as cultures of blood, urine, and sputum, were all negative. A computer tomography scan detected pathological fractures of the ribs. A bone scan demonstrated abnormal radiotracer foci involving the left sixth rib, vertebrae, and left ilium. The bone marrow aspirate showed atypical mononuclear cells and a few hemophagocytes (8% of all nucleated cells; panel A), reduced megakaryopoiesis, and no evidence of dysplasia. Karyotyping of the marrow specimen revealed complex structural and numerical abnormalities (panel B). Computer tomography–guided biopsy of the left iliac bone lesion confirmed adenocarcinoma. The primary site of the malignancy was never identified, and he died of cancer about 1 month after the diagnosis.
The clinical features of fever, cytopenias, elevated ferritin, and hemophagocytosis in bone marrow are diagnostic of hemophagocytic syndrome, which is associated primarily with lymphoma and rarely with carcinoma. A complex karyotype is rarely reported in metastatic carcinoma because karyotyping is not routinely done in this setting, and thus the significance of this finding is uncertain.
For additional images, visit the ASH IMAGE BANK, a reference and teaching tool that is continually updated with new atlas and case study images. For more information visit http://imagebank.hematology.org.

This feature is available to Subscribers Only
Sign In or Create an Account Close Modal