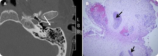
A 37-year-old woman received an allogeneic hematopoietic cell transplantation for acute promyelocytic leukemia (APL) in second complete molecular remission. She had previously received cytotoxic chemotherapy, tretinoin (ATRA), and arsenic trioxide. She presented with acute left-side hearing loss, tinnitus, and fullness. A complete blood count with peripheral smear was unremarkable. Otoscopy revealed a pale granular mass obstructing the left external auditory canal without inflammation or purulent discharge. A computed tomography scan showed that the left external auditory canal was completely occluded by a nonspecific soft tissue density (Panel A; white arrow) with no erosive osseous changes. Cultures (aerobic and anaerobic bacteria, acid-fast bacilli, fungi) were negative. Tissue biopsy of the external ear mass revealed squamous epithelium along with multifocal areas of abnormal, monomorphic cells (Panel B; black arrows; hematoxylin and eosin stain; magnification ×10) consistent with a myeloid sarcoma. Special stains (not shown) indicated that these cells were of myeloid hematopoietic lineage. Immunohistochemistry confirmed their myeloid origin (CD45+, MPO+, and CD117+). Peripheral blood was positive for the PML-RARA fusion gene. She soon developed lethal APL progression with coagulopathy.
The frequency of extramedullary relapse in APL may be increasing. This is thought to correspond with the introduction of ATRA as a component of APL therapy. ATRA stimulates expression of adhesion molecules on both APL cells and keratinocytes, potentially increasing tropism of APL cells to the skin where they proliferate.
A 37-year-old woman received an allogeneic hematopoietic cell transplantation for acute promyelocytic leukemia (APL) in second complete molecular remission. She had previously received cytotoxic chemotherapy, tretinoin (ATRA), and arsenic trioxide. She presented with acute left-side hearing loss, tinnitus, and fullness. A complete blood count with peripheral smear was unremarkable. Otoscopy revealed a pale granular mass obstructing the left external auditory canal without inflammation or purulent discharge. A computed tomography scan showed that the left external auditory canal was completely occluded by a nonspecific soft tissue density (Panel A; white arrow) with no erosive osseous changes. Cultures (aerobic and anaerobic bacteria, acid-fast bacilli, fungi) were negative. Tissue biopsy of the external ear mass revealed squamous epithelium along with multifocal areas of abnormal, monomorphic cells (Panel B; black arrows; hematoxylin and eosin stain; magnification ×10) consistent with a myeloid sarcoma. Special stains (not shown) indicated that these cells were of myeloid hematopoietic lineage. Immunohistochemistry confirmed their myeloid origin (CD45+, MPO+, and CD117+). Peripheral blood was positive for the PML-RARA fusion gene. She soon developed lethal APL progression with coagulopathy.
The frequency of extramedullary relapse in APL may be increasing. This is thought to correspond with the introduction of ATRA as a component of APL therapy. ATRA stimulates expression of adhesion molecules on both APL cells and keratinocytes, potentially increasing tropism of APL cells to the skin where they proliferate.
For additional images, visit the ASH IMAGE BANK, a reference and teaching tool that is continually updated with new atlas and case study images. For more information visit http://imagebank.hematology.org.

This feature is available to Subscribers Only
Sign In or Create an Account Close Modal