A 47-year-old man with a 5-year history of Jak-2-positive polycythemia vera, previously treated with phlebotomy and hydroxyurea, presented with bone pain, fever, and night sweats. Physical examination was normal. Laboratory examination revealed pancytopenia (hemoglobin 78 g/L, leukocytes 2.5 × 109/L, platelets 30 × 109/L) and 9% myeloblasts. The myeloblasts coexpressed CD34/CD33/CD13/CD117/HLA-DR and the bone marrow biopsy showed glycophorin A and CD117 positive blasts. Lactate dehydrogenase, alkaline phosphatase, and γ-glutamyltransferase were elevated; bilirubin and transaminases were normal.
Numerous erythroblasts were seen (top panel) in the peripheral smear (240/100 leukocytes), whereas the reticulocyte count was reduced (20.8 × 109/L). High fluorescence reticulocytes (HFRs), the less differentiated reticulocytes with the highest RNA content, were only 0.6%, middle fluorescence reticulocytes (MFRs) were 11%, and low fluorescence reticulocytes (LFRs), the most differentiated reticulocytes with the lowest RNA content, were 88.4% (bottom panels). When high erythroblast counts appear with hemolytic anemia, an elevated HFR level occurs because erythroblasts are maturing to reticulocytes. This patient had a low HFR level despite a high erythroblast count, indicating a block of red blood cell maturation. A diagnosis of acute erythroid leukemia with previous polycythemia vera was made. The patient did not respond to 5-azacytidine and died 3 months after diagnosis.
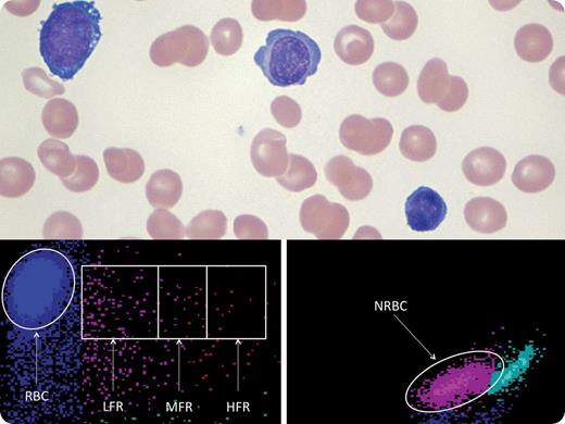
A 47-year-old man with a 5-year history of Jak-2-positive polycythemia vera, previously treated with phlebotomy and hydroxyurea, presented with bone pain, fever, and night sweats. Physical examination was normal. Laboratory examination revealed pancytopenia (hemoglobin 78 g/L, leukocytes 2.5 × 109/L, platelets 30 × 109/L) and 9% myeloblasts. The myeloblasts coexpressed CD34/CD33/CD13/CD117/HLA-DR and the bone marrow biopsy showed glycophorin A and CD117 positive blasts. Lactate dehydrogenase, alkaline phosphatase, and γ-glutamyltransferase were elevated; bilirubin and transaminases were normal.
Numerous erythroblasts were seen (top panel) in the peripheral smear (240/100 leukocytes), whereas the reticulocyte count was reduced (20.8 × 109/L). High fluorescence reticulocytes (HFRs), the less differentiated reticulocytes with the highest RNA content, were only 0.6%, middle fluorescence reticulocytes (MFRs) were 11%, and low fluorescence reticulocytes (LFRs), the most differentiated reticulocytes with the lowest RNA content, were 88.4% (bottom panels). When high erythroblast counts appear with hemolytic anemia, an elevated HFR level occurs because erythroblasts are maturing to reticulocytes. This patient had a low HFR level despite a high erythroblast count, indicating a block of red blood cell maturation. A diagnosis of acute erythroid leukemia with previous polycythemia vera was made. The patient did not respond to 5-azacytidine and died 3 months after diagnosis.
For additional images, visit the ASH IMAGE BANK, a reference and teaching tool that is continually updated with new atlas and case study images. For more information visit http://imagebank.hematology.org.

This feature is available to Subscribers Only
Sign In or Create an Account Close Modal