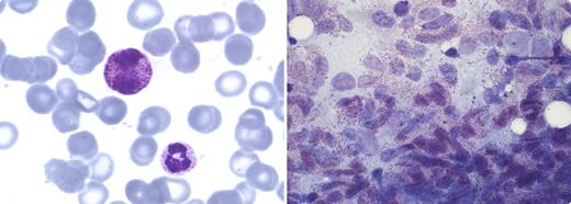
A 45-year-old woman was admitted with fatigue, icterus, thrombocytopenia (77 × 109/L), normocytic anemia (9.8 g/dL), and a normal white blood cell count (8.5 × 109/L). The peripheral blood smear showed metamyelocytes, myelocytes, monocytes, erythroblasts, and atypical cells with bilobulated nuclei resembling basophil granulocytes (left panel of figure). In the bone marrow there was a nearly complete infiltration with atypical, partly degranulated mast cells expressing surface markers (CD2, CD25, and CD117; right panel of figure). These cells were also positive for c-KIT mutation (D816V). Tryptase levels in serum were elevated (719 μg/L, normal value: 0-11.4 μg/L) in the absence of symptoms arising from mediator release.
A diagnosis of aleukemic variant of mast cell leukemia was made because < 10% mast cells could be detected in peripheral blood. She had no skin lesions. Four weeks after starting treatment with high-dose chemotherapy, the patient died with Klebsiella pneumonia sepsis and multiorgan failure. Mast cell leukemia is a rare and very aggressive form of systemic mastocytosis. The prognosis is poor with a median survival of < 2 months.
A 45-year-old woman was admitted with fatigue, icterus, thrombocytopenia (77 × 109/L), normocytic anemia (9.8 g/dL), and a normal white blood cell count (8.5 × 109/L). The peripheral blood smear showed metamyelocytes, myelocytes, monocytes, erythroblasts, and atypical cells with bilobulated nuclei resembling basophil granulocytes (left panel of figure). In the bone marrow there was a nearly complete infiltration with atypical, partly degranulated mast cells expressing surface markers (CD2, CD25, and CD117; right panel of figure). These cells were also positive for c-KIT mutation (D816V). Tryptase levels in serum were elevated (719 μg/L, normal value: 0-11.4 μg/L) in the absence of symptoms arising from mediator release.
A diagnosis of aleukemic variant of mast cell leukemia was made because < 10% mast cells could be detected in peripheral blood. She had no skin lesions. Four weeks after starting treatment with high-dose chemotherapy, the patient died with Klebsiella pneumonia sepsis and multiorgan failure. Mast cell leukemia is a rare and very aggressive form of systemic mastocytosis. The prognosis is poor with a median survival of < 2 months.
For additional images, visit the ASH IMAGE BANK, a reference and teaching tool that is continually updated with new atlas and case study images. For more information visit http://imagebank.hematology.org.

This feature is available to Subscribers Only
Sign In or Create an Account Close Modal