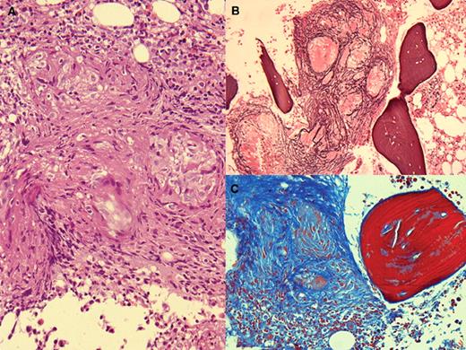
A 44-year-old woman was evaluated for a 2-month history of asthenia, weight loss, and nightly fever. She had no hepatosplenomegaly or adenopathy. The complete blood count and the basic chemistries were normal as were the radiologic examinations of the chest and abdomen. Cultures of blood and urine and serologic studies for rickettsia, chlamydia, brucella, Legionella, and Mycoplasma were negative. Sputum for Mycobacteria was negative. Bone marrow aspirate showed no abnormalities of marrow elements but noncaseating granulomata were observed in the H&E stain of the biopsy (panel A). In addition, the silver nitrate stain (panel B) and Masson trichrome (panel C) showed fibrosis. The acid-fast stain and marrow cultures were negative. Angiotensin-1 converting enzyme was shown to be elevated (119 UI/L).
A diagnosis of sarcoidosis was suggested based on the marrow, clinical findings, and the elevation of angiotensin-1 converting enzyme. Adalimumab was initiated and the patient improved with the disappearance of constitutional symptoms and fever. A follow-up bone marrow has not yet been performed.
Bone marrow granulomata are often found without well-defined causes. Sarcoid granulomata are infrequent, perhaps related to the fact that bone marrow studies are not routine investigation for sarcoidosis.
A 44-year-old woman was evaluated for a 2-month history of asthenia, weight loss, and nightly fever. She had no hepatosplenomegaly or adenopathy. The complete blood count and the basic chemistries were normal as were the radiologic examinations of the chest and abdomen. Cultures of blood and urine and serologic studies for rickettsia, chlamydia, brucella, Legionella, and Mycoplasma were negative. Sputum for Mycobacteria was negative. Bone marrow aspirate showed no abnormalities of marrow elements but noncaseating granulomata were observed in the H&E stain of the biopsy (panel A). In addition, the silver nitrate stain (panel B) and Masson trichrome (panel C) showed fibrosis. The acid-fast stain and marrow cultures were negative. Angiotensin-1 converting enzyme was shown to be elevated (119 UI/L).
A diagnosis of sarcoidosis was suggested based on the marrow, clinical findings, and the elevation of angiotensin-1 converting enzyme. Adalimumab was initiated and the patient improved with the disappearance of constitutional symptoms and fever. A follow-up bone marrow has not yet been performed.
Bone marrow granulomata are often found without well-defined causes. Sarcoid granulomata are infrequent, perhaps related to the fact that bone marrow studies are not routine investigation for sarcoidosis.
For additional images, visit the ASH IMAGE BANK, a reference and teaching tool that is continually updated with new atlas and case study images. For more information visit http://imagebank.hematology.org.

This feature is available to Subscribers Only
Sign In or Create an Account Close Modal