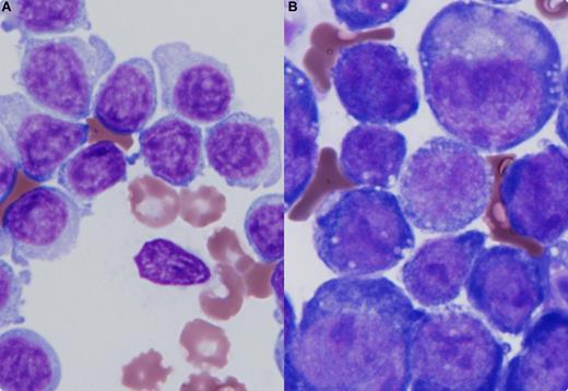
An 82-year-old man had a pleural effusion but no other clinical symptoms. He had no hepatosplenomegaly or lymphadenopathy. His leukocyte count was 45 100/uL with 93% mature-appearing lymphocytes. The hemoglobin and platelet counts were normal. Bone marrow examination showed mature lymphocytes (83%), positive for CD11b/c, CD13, CD19, CD20, and CD25, but negative for CD5 and CD23. The pleural effusion showed morphologically and phenotypically similar lymphocytes (panel A). A diagnosis of mature, low-grade B-cell malignancy was made. He was treated with fludarabine and rituximab; however, the pleural effusion worsened over the next 3 months. Repeat pleural effusion showed large cells with deeply basophilic cytoplasm and vacuoles (panel B), positive for CD38, CD138, and CD56, but negative for CD19 and CD20. Other intensive chemotherapy regimens were tried without success. He died of respiratory failure because of uncontrollable bilateral pleural effusion several months later.
The original lymphocytic population that was present in the pleural effusion was not detected subsequently. Instead, immature plasma cells were noted both by morphology and cell markers. A histologic transformation from lymphocytic lymphoma to plasmablastic lymphoma was considered as well as a reactive plasma cell population. The clinical deterioration supported malignancy.
An 82-year-old man had a pleural effusion but no other clinical symptoms. He had no hepatosplenomegaly or lymphadenopathy. His leukocyte count was 45 100/uL with 93% mature-appearing lymphocytes. The hemoglobin and platelet counts were normal. Bone marrow examination showed mature lymphocytes (83%), positive for CD11b/c, CD13, CD19, CD20, and CD25, but negative for CD5 and CD23. The pleural effusion showed morphologically and phenotypically similar lymphocytes (panel A). A diagnosis of mature, low-grade B-cell malignancy was made. He was treated with fludarabine and rituximab; however, the pleural effusion worsened over the next 3 months. Repeat pleural effusion showed large cells with deeply basophilic cytoplasm and vacuoles (panel B), positive for CD38, CD138, and CD56, but negative for CD19 and CD20. Other intensive chemotherapy regimens were tried without success. He died of respiratory failure because of uncontrollable bilateral pleural effusion several months later.
The original lymphocytic population that was present in the pleural effusion was not detected subsequently. Instead, immature plasma cells were noted both by morphology and cell markers. A histologic transformation from lymphocytic lymphoma to plasmablastic lymphoma was considered as well as a reactive plasma cell population. The clinical deterioration supported malignancy.
For additional images, visit the ASH IMAGE BANK, a reference and teaching tool that is continually updated with new atlas and case study images. For more information visit http://imagebank.hematology.org.

This feature is available to Subscribers Only
Sign In or Create an Account Close Modal