Abstract
Abstract 1257
The membrane of the red cells consists of a lipid-bilayer attached to the cytoskeleton by integral membrane proteins. The physical-chemical properties of these membranes rely on maintenance of the integrity of the lipid bilayer as disruption of this layer leads to shorten red cell survival or cell removal from the circulation. EBs internalize apolipoprotein-lipid complexes (lipoproteins) present in the environment. Lipoproteins are classified on the basis of floating density into high density lipoproteins [HDL, 1.063<ρ<1.210, ∼50:50 (in dry weight) complex of apoliprotein A-I (apoAI; 32%) and apoAII (10%) with cholesterol esters (15%)], low density lipoproteins [LDL, 1.019<ρ<1.063, ∼20:80 complex of apoB100 (18%) with cholesterol esters (40%)] and very low density lipoproteins [VLDL, 0.950<ρ<1.006, ∼8:82 complex of apoB100 (4%), apoE and apoCI, CII and CIII (4%) with triglycerides (55–65%)]. In addition, all lipoproteins contain 20% of phospholipids. In culture, lipids are provided by lipoproteins present in fetal bovine serum or by synthetic vesicles containing animal (egg cholesterol) and/or vegetal (soybean lecithin) lipids conjugated with albumin (bovine or human). In spite of emerging associations between genetic apolipoprotein gene deficiency and red cell membrane abnormalities, the role played by individual lipoproteins in erythroid cell differentiation is unknown.
The aim of this study was to analyze the effect of lipoproteins purified from human plasma on the growth and maturation of EBs generated by mononuclear cells (MNC) from adult blood. HDL, LDL and VLDL were purified according to published methods (Havel RJ et al, J Clin Inv 1955; 34:1345) and their purity assessed on the basis of apoprotein/lipid content analyses. HDL, LDL, VLDL and an artificial mixture of the three fractions (total plasma lipoprotein fraction, TPLF) were used at a concentration of 20 mM/mL which had been previously determined to induce optimal EBs proliferation in preliminary concentration/MTT proliferation curves both under HEMAser and HEMAdef conditions.
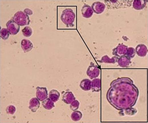
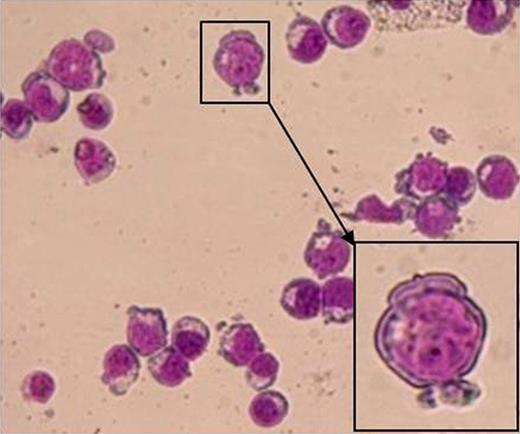
In semisolid assay, none of the fractions had an effect on the growth of CFU-GM-derived colonies. By contrast, LDL and VLDL both increased by 0.5 and 2-fold, respectively, the numbers of BFU-E derived colonies generated by adult blood MNC in serum-supplemented cultures (78±8 and 113±15 vs 57±9, p<0.01) while only LDL increased the numbers of BFU-E-derived colonies under serum-deprived conditions (64±8 vs 39±5, p<0.05). The various lipoprotein fractions did not improve the overall FI in HEMAser cultures (FI ∼20 by day 14 in all conditions) but increased the frequency of EBs with membrane abnormalities (from 14% to 20–27%). LDL and VLDL also increased by 2-fold the total numbers of progenitor cells observed at day 10 (total progenitor cells/culture 756±104 and 1064±292 vs 542±54, p<0.01–0.05). Under HEMAdef conditions, LDL and VLDL increased by 3-2-fold the FI (95±10 and 64±14 vs 27±6, p<0.01–0.05) by day 14 but did not affect the frequency of EBs with membrane abnormalities which remained high (∼30%). By contrast TPLF modestly increased the FI over those observed in HEMAser cultures (40±12 vs 20±14 in HEMAdef + TPLF vs HEMAser, p<0.05) but greatly reduced the frequency of EBs with membrane abnormalities (14±6% vs 28±7%, p<0.05). The frequency of mature CD36posCD235ahigh EBs observed by day 14 was ∼38–50% in HEMAser and 8–16% in HEMAdef.
Human LDL and VLDL increase cloning efficiency and ex-vivo expansion of human adult erythroid progenitors in liquid culture but impair membrane assembly which is improved by TPLF. These results suggest that a balanced combination of lipoproteins, in concentrations still to be identified, may be required to observe maximal expansion of morphologically normal human EBs under HEMAdef conditions.
No relevant conflicts of interest to declare.
Author notes
Asterisk with author names denotes non-ASH members.

This feature is available to Subscribers Only
Sign In or Create an Account Close Modal