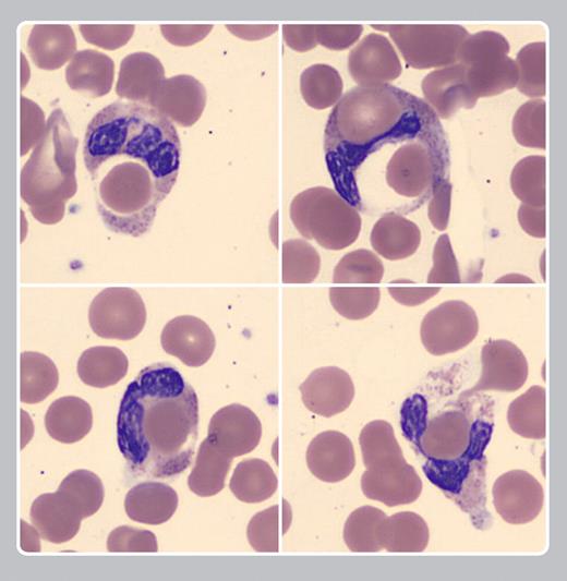
A 65-year-old man with diabetes mellitus presented with fever and hematuria for 1 week. His complete blood count showed hemoglobin of 95 g/L, and a normal white count and platelet count. Other tests included an indirect bilirubin of 2.0 mg/dL and lactate dehydrogenase of 2025 U/L. His direct antiglobulin test showed 3+ positivity for immunoglobulin G and C3. A peripheral smear was performed showing approximately 50% of neutrophils with erythrophagocytosis. Donath-Landsteiner test was positive and a diagnosis of paroxysmal cold hemoglobinuria was made. The patient was treated with rituximab, prednisone, and intravenous immunoglobulin with noted improvement of his hemolysis.
Paroxysmal cold hemoglobinuria is an IgG biphasic autoantibody that binds to the P antigen on erythrocytes in cold temperatures and causes intravascular hemolysis upon warming. The Donath-Landsteiner assay tests the ability of patient's serum to cause hemolysis of normal erythrocytes when incubated first at 4°C and afterward at 37°C. The peripheral smear may show reticulocytosis, spherocytosis, and characteristic erythrophagocytosis by neutrophils. Adult-onset paroxysmal cold hemoglobinuria can be associated with syphilis, disorders of immune regulation, viral illnesses, and lymphomas.
A 65-year-old man with diabetes mellitus presented with fever and hematuria for 1 week. His complete blood count showed hemoglobin of 95 g/L, and a normal white count and platelet count. Other tests included an indirect bilirubin of 2.0 mg/dL and lactate dehydrogenase of 2025 U/L. His direct antiglobulin test showed 3+ positivity for immunoglobulin G and C3. A peripheral smear was performed showing approximately 50% of neutrophils with erythrophagocytosis. Donath-Landsteiner test was positive and a diagnosis of paroxysmal cold hemoglobinuria was made. The patient was treated with rituximab, prednisone, and intravenous immunoglobulin with noted improvement of his hemolysis.
Paroxysmal cold hemoglobinuria is an IgG biphasic autoantibody that binds to the P antigen on erythrocytes in cold temperatures and causes intravascular hemolysis upon warming. The Donath-Landsteiner assay tests the ability of patient's serum to cause hemolysis of normal erythrocytes when incubated first at 4°C and afterward at 37°C. The peripheral smear may show reticulocytosis, spherocytosis, and characteristic erythrophagocytosis by neutrophils. Adult-onset paroxysmal cold hemoglobinuria can be associated with syphilis, disorders of immune regulation, viral illnesses, and lymphomas.
Many Blood Work images are provided by the ASH IMAGE BANK, a reference and teaching tool that is continually updated with new atlas images and images of case studies. For more information or to contribute to the Image Bank, visit www.ashimagebank.org.

This feature is available to Subscribers Only
Sign In or Create an Account Close Modal