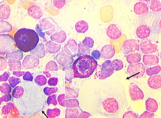
A 76-year-old woman presented with monoclonal immunoglobulin M (IgM) κ protein (20.9 g/L) and slight lymphocytosis (6000/μL). A bone marrow examination showed marked infiltration with pleiomorphic B-lineage cells at different stages of maturation, such as small lymphocytes, lymphoplasmacytoid cells, and plasma cells. B cells were positive for IgM and pan–B-cell markers, and negative for CD5, CD3, CD10, CD23, and CD43. A significant increase in the number of mast cells was noted (white arrows). The marrow also contained many cells with light microscopic morphology resembling Gaucher cells (black arrows). In this clinical context, these cells were considered to be pseudo-Gaucher cells.
A diagnosis was made of Waldenström macroglobulinemia (WM), a B-cell malignancy characterized by an IgM monoclonal gammopathy and BM infiltration with lymphoplasmacytic cells (LPCs). Excess mast cells are commonly present in WM and may provide growth and survival signals to LPCs.
Pseudo-Gaucher cells have occasionally been described in various hematologic malignancies including multiple myeloma, myelodysplastic syndrome, lymphomas, thalassemia, and chronic myelogenous leukemia. This phenomenon can be related to a relative deficiency in glucocerebrosidase because of the excessive catabolism of cell membranes associated with high turnover of malignant hematopoietic cells. However, this hypothesis has not been confirmed, and its pathophysiology remains obscure because hematophagocytosis is only rarely associated with pseudo-Gaucher cells, and ceramide molecules do not make fibrils with typical electronic microscopy morphology. Alternatively, this phenomenon may be related to crystallization of monoclonal immunoglobulins, in which case they can even be considered as pseudo–pseudo-Gaucher cells.
A 76-year-old woman presented with monoclonal immunoglobulin M (IgM) κ protein (20.9 g/L) and slight lymphocytosis (6000/μL). A bone marrow examination showed marked infiltration with pleiomorphic B-lineage cells at different stages of maturation, such as small lymphocytes, lymphoplasmacytoid cells, and plasma cells. B cells were positive for IgM and pan–B-cell markers, and negative for CD5, CD3, CD10, CD23, and CD43. A significant increase in the number of mast cells was noted (white arrows). The marrow also contained many cells with light microscopic morphology resembling Gaucher cells (black arrows). In this clinical context, these cells were considered to be pseudo-Gaucher cells.
A diagnosis was made of Waldenström macroglobulinemia (WM), a B-cell malignancy characterized by an IgM monoclonal gammopathy and BM infiltration with lymphoplasmacytic cells (LPCs). Excess mast cells are commonly present in WM and may provide growth and survival signals to LPCs.
Pseudo-Gaucher cells have occasionally been described in various hematologic malignancies including multiple myeloma, myelodysplastic syndrome, lymphomas, thalassemia, and chronic myelogenous leukemia. This phenomenon can be related to a relative deficiency in glucocerebrosidase because of the excessive catabolism of cell membranes associated with high turnover of malignant hematopoietic cells. However, this hypothesis has not been confirmed, and its pathophysiology remains obscure because hematophagocytosis is only rarely associated with pseudo-Gaucher cells, and ceramide molecules do not make fibrils with typical electronic microscopy morphology. Alternatively, this phenomenon may be related to crystallization of monoclonal immunoglobulins, in which case they can even be considered as pseudo–pseudo-Gaucher cells.
Many Blood Work images are provided by the ASH IMAGE BANK, a reference and teaching tool that is continually updated with new atlas images and images of case studies. For more information or to contribute to the Image Bank, visit www.ashimagebank.org.

This feature is available to Subscribers Only
Sign In or Create an Account Close Modal