Abstract
Abstract 4412
Due to significant activity of lenalidomide in chronic lymphocytic leukemia (CLL), research is ongoing to better characterize its mechanism of action. Recent laboratory studies of cells from CLL patients have shown that lenalidomide could exert its antiproliferative activity by decreasing the presence of survival-promoting cytokines. It has also been shown to facilitate immune-mediated ADCC by restoring the defective ability of T- and NK-cells to form immune synapses with tumor B-cells (Ramsay et al JCI 2008). However, no direct cytotoxic effect of lenalidomide has yet been demonstrated in CLL cells. Here, we suggest a new potential mechanism of action based on morphologic evaluation of bone marrow samples from patients with CLL receiving treatment with lenalidomide.
Bone marrow biopsy and aspirations from 13 patients with relapsed or refractory CLL, who are participating in a phase II clinical trial of lenalidomide and rituximab, and 1 patient who received lenalidomide outside of study, were reviewed before initiation of therapy and every 2 months thereafter.
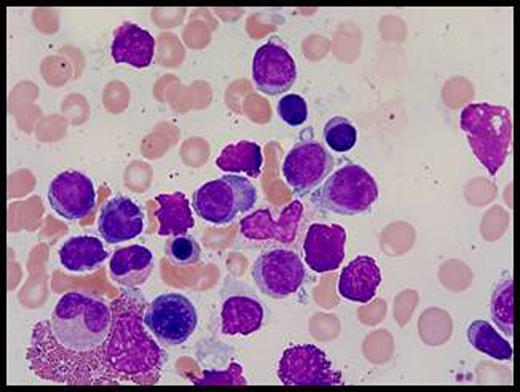
Of 14 CLL samples evaluated, 3 samples contained cells with lymphoplasmacytoid features in both bone marrow (figure 1) and peripheral blood, which had not been present prior to initiation of treatment. Of the 3 samples containing lymphocytes with plasmacytoid features, 2 were obtained from patients who received more than 6 months of therapy with the lenalidomide/rituximab combination, and 1 was taken from the patient receiving lenalidomide, after one month of therapy. Long term morphologic effects of lenalidomide therapy on lymphocytes from patients with CLL remain unknown. However, we hypothesize that the observed changes in morphology after lenalidomide treatment could represent either a differentiation phenomenon, as a potential antitumor mechanism in CLL cells, or perhaps represent just a selection effect.
An exact direct antitumor mechanism of lenalidomide on CLL cells remains unknown. Our observations suggest that lenalidomide may promote terminal differentiation of lymphocytes thus proposing an additional mechanism by which lenalidomide exerts its anti-tumor activity in CLL.
Representative bone marrow aspirate of a patient after 6 months of treatment with lenalidomide showing lymphocytes with plasmacytoid features.
Representative bone marrow aspirate of a patient after 6 months of treatment with lenalidomide showing lymphocytes with plasmacytoid features.
No relevant conflicts of interest to declare.
Author notes
Asterisk with author names denotes non-ASH members.

This feature is available to Subscribers Only
Sign In or Create an Account Close Modal