Peter Maslak, Memorial Sloan-Kettering Cancer Center
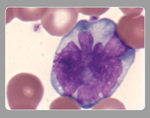
This high-power view of the peripheral blood smear of a patient with adult T-cell leukemia/lymphoma contains a characteristic cloverleaf, or “flower,” cell. This malignant lymphoid cell has a pleomorphic nucleus with deeply basophilic cytoplasm. These cells typically express CD25 but lack CD7.
Peter Maslak, Memorial Sloan-Kettering Cancer Center
This high-power view of the peripheral blood smear of a patient with adult T-cell leukemia/lymphoma contains a characteristic cloverleaf, or “flower,” cell. This malignant lymphoid cell has a pleomorphic nucleus with deeply basophilic cytoplasm. These cells typically express CD25 but lack CD7.
Many Blood Work images are provided by the ASH IMAGE BANK, a reference and teaching tool that is continually updated with new atlas images and images of case studies. For more information or to contribute to the Image Bank, visit www.ashimagebank.org.

This feature is available to Subscribers Only
Sign In or Create an Account Close Modal