Peter Maslak, Memorial Sloan-Kettering Cancer Center
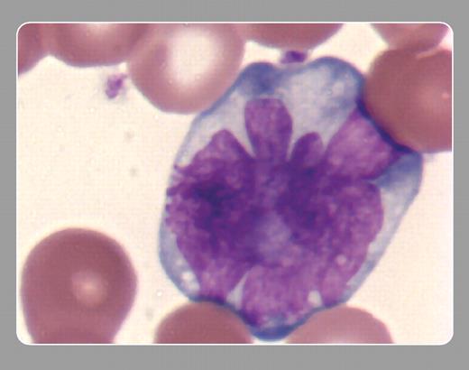
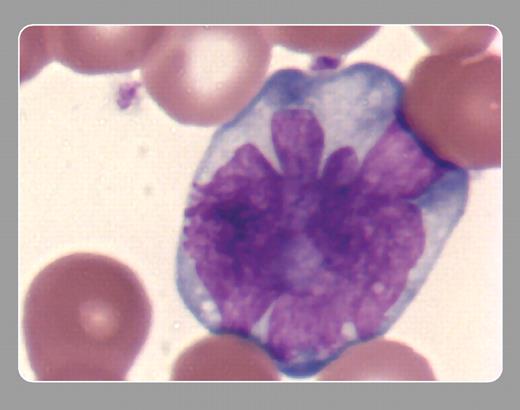
This high-power view of the peripheral blood smear of a patient with adult T-cell leukemia/lymphoma contains a characteristic cloverleaf, or “flower,” cell. This malignant lymphoid cell has a pleomorphic nucleus with deeply basophilic cytoplasm. These cells typically express CD25 but lack CD7.
Peter Maslak, Memorial Sloan-Kettering Cancer Center
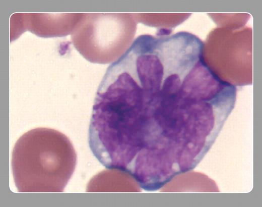
This high-power view of the peripheral blood smear of a patient with adult T-cell leukemia/lymphoma contains a characteristic cloverleaf, or “flower,” cell. This malignant lymphoid cell has a pleomorphic nucleus with deeply basophilic cytoplasm. These cells typically express CD25 but lack CD7.
Many Blood Work images are provided by the ASH IMAGE BANK, a reference and teaching tool that is continually updated with new atlas images and images of case studies. For more information or to contribute to the Image Bank, visit www.ashimagebank.org.

