Abstract
CCAAT/enhancer binding protein β (C/EBPβ) is one of a 6-member family of C/EBPs. These transcription factors are involved in the regulation of various aspects of cellular growth and differentiation. Although C/EBPβ has important functions in B- and T-cell differentiation, its expression has not been well studied in lymphoid tissues. We, therefore, analyzed its expression by immunohistochemistry and Western blot in normal lymphoid tissues and in 248 well-characterized lymphomas and lymphoma cell lines. Nonneoplastic lymphoid tissues and most B-cell, T-cell, and Hodgkin lymphomas lacked detectable levels of C/EBPβ. In contrast, most (40 of 45; 88%) cases of ALK-positive anaplastic large cell lymphoma (ALCL) strongly expressed C/EBPβ. Western blot analysis confirmed C/EBPβ expression in the ALK-positive ALCLs and demonstrated elevated levels of the LIP isoform, which has been associated with increased proliferation and aggressiveness in carcinomas. Transfection of Ba/F3 and 32D cells with NPM-ALK and a kinase-inhibitable modified NPM-ALK resulted in the induction of C/EBPβ and demonstrated dependence on NPM-ALK kinase activity. In conclusion, we report the constitutive expression of C/EBPβ in ALK-positive ALCL and show its relationship to NPM-ALK. We suggest that C/EBPβ is likely to play an important role in the pathogenesis and unique phenotype of this lymphoma.
Introduction
The CCAAT/enhancer binding proteins (C/EBPs) are a family of leucine zipper transcription factors that are involved in the regulation of various aspects of cellular growth and differentiation in a variety of cell types.1 Six members of the family—C/EBPα, C/EBPβ, C/EBPγ, C/EBPδ, C/EBPϵ, C/EBPζ—have been isolated and characterized to date, and they share a strong homology in the carboxyl-terminal region, which contains a basic DNA-binding and dimerization domain and a leucine-zipper motif.1 In contrast, their N-terminal regions are divergent and contain transcriptional activation and repression domains.2 These factors play major roles in such diverse functions as the acute-phase response and inflammation,3 but they are also important in cellular differentiation programs including adipogenesis,4,5 solid organ development,6-8 and hematopoiesis.1,9-12
Several members of this family have been implicated in tumorigenesis, most notably C/EBPα in acute myeloid leukemia (AML),13-15 C/EBPβ in epithelial tumors,16-19 and C/EBPζ in myxoid liposarcoma.20,21 CEBPB has a number of interesting characteristics that have led investigators to suggest this gene may have a role in oncogenesis. Like most other members of the C/EBP family, CEBPB is an intronless gene. It is transcribed as a single mRNA that can produce at least 3 isoforms—a 38-kDa liver-enriched activating protein (LAP*), a 35-kDa protein (LAP), and a 21-kDa liver-enriched inhibitory protein (LIP)—with the LAP and LIP forms, constituting the major polypeptides produced in cells.6 LIP is an N-terminal truncated form of C/EBPβ that lacks most of the transactivation domain, and, although it is able to dimerize with other CEBP family members and bind to DNA, its ability to activate transcription is greatly attenuated; therefore, it appears to act as a repressor of C/EBP-mediated transcription.6
The LIP/LAP ratio appears to be tightly regulated, and changes in this ratio have been shown to affect cell proliferation and differentiation decisions, with increases in the ratio generally favoring proliferation. Consistent with a role in cellular proliferation, aberrant expression of LIP has been reported in breast tumors,18 ovarian carcinoma,16 and colorectal carcinoma,17 where LIP expression levels are associated with the more aggressive tumors.
Although C/EBPβ has been most intensely studied for its role in the acute-phase response3 and in adipogenesis,9 it also plays an important role in the activation and terminal differentiation of macrophages and myeloid cells.10,12 In addition, although C/EBPβ is not constitutively expressed in mature lymphocytes, it has been implicated in B-cell lymphopoiesis22,23 and is a major regulator of the TH1/TH2 response in T cells.24,25 Not surprisingly, C/EBPβ-deficient mice display numerous abnormalities in humoral, innate, and cellular immunity26 and develop a lymphoproliferative disorder with plasmacytosis and elevated IL-6 levels similar to what has been observed in Castleman disease in humans.
Given a role for C/EBPβ in lymphoid cells, its complex relationship to proliferation and differentiation, and its link to epithelial cancers, we wanted to explore whether C/EBPβ might also contribute to lymphoid neoplasias. For this purpose, we assessed its expression in lymphoma cell lines and in a large series of primary B-cell, T-cell, and Hodgkin lymphomas and found that C/EBPβ is consistently overexpressed in anaplastic lymphoma kinase (ALK)–positive anaplastic large cell lymphoma (ALCL). In addition, we demonstrated that C/EBPβ expression is transcriptionally induced through the kinase activity of NPM-ALK, opening new insight into the pathogenesis of this lymphoma subgroup.
Materials and methods
Cell lines
Twenty-one cell lines were selected for this study, 19 lymphoid cell lines (Table 1) and 2 epithelial cell lines. Lymphoid cell lines included 4—KiJK, Karpas 299, SUDHL1, SR786—with ALK expression as a result of the t(2;5) translocation. The rest of the lymphoid cell lines included 2 mantle cell lymphoma cell lines (Granta 519 and NCEB-1), 3 transformed follicular lymphoma cell lines (SUDHL4, SUDHL6, SUDHL10), 3 T-cell lymphoblastic lymphoma cell lines (Molt4, CEM, Jurkat), 5 multiple myeloma cell lines (KMS12, OPM2, JIM3, JD38, KMM1), 1 Burkitt lymphoma cell line (ST 486), and 1 HTLV1+ adult T-cell leukemia/lymphoma (Hut102). The epithelial cell lines HeLa and MCF7 were used as positive controls for C/EBPβ expression.
Lymphoma cell lines analyzed for C/EBPβ
Non-Hodgkin lymphoma . | Named cell lines . |
|---|---|
| Anaplastic large cell lymphoma | SUDHL-1, Ki-JK, SR786, Karpas 299 |
| T-lymphoblastic leukemia | CEM, Molt-4, Jurkat |
| Adult T-cell leukemia/lymphoma | Hut102 |
| Transformed follicular lymphoma | SUDHL-4, -6, -10 |
| Mantle cell lymphoma | Granta 519, NCEB 1 |
| Multiple myeloma | KMS12, OPM2, KMM1, Jim3, JD38 |
| Burkitt lymphoma | ST 486 |
Non-Hodgkin lymphoma . | Named cell lines . |
|---|---|
| Anaplastic large cell lymphoma | SUDHL-1, Ki-JK, SR786, Karpas 299 |
| T-lymphoblastic leukemia | CEM, Molt-4, Jurkat |
| Adult T-cell leukemia/lymphoma | Hut102 |
| Transformed follicular lymphoma | SUDHL-4, -6, -10 |
| Mantle cell lymphoma | Granta 519, NCEB 1 |
| Multiple myeloma | KMS12, OPM2, KMM1, Jim3, JD38 |
| Burkitt lymphoma | ST 486 |
Tissue samples
Formalin-fixed and paraffin-embedded biopsy specimens from 229 well-characterized lymphomas, including 107 T-cell non-Hodgkin lymphomas (NHLs), 93 B-cell NHLs, 9 nodular lymphocyte–predominant Hodgkin lymphomas (NLPHDs), and 20 classical Hodgkin lymphomas (HLs) (Table 2), were selected from the files of the Hematopathology Section, Laboratory of Pathology, National Cancer Institute, National Institutes of Health (Bethesda, MD) and from the files of the Institute of Pathology, Technical University of Munich (Munich, Germany). All cases were classified according to the guidelines of the World Health Organization (WHO) Classification of Neoplastic Diseases of Hematopoietic and Lymphoid Tissues.27 These lymphomas were chosen to represent all major lymphoma subtypes and included 45 cases of ALK-positive ALCL and 29 cases of ALK-negative ALCL. ALK-negative ALCLs resembled their ALK-positive counterparts, strongly expressing CD30, CD4, or CD3, but were negative for ALK protein. In addition, different samples of reactive lymphoid tissue, including tonsils (5 cases), thymus (5 cases), and lymph nodes (3 cases), were analyzed to determine the distribution of C/EBPβ in normal lymphoid tissue. All diagnoses were confirmed during the diagnostic workup by immunohistochemistry on paraffin-embedded tissue sections with a panel of antibodies to assess lymphoid phenotype. Anaplastic lymphoma kinase-1 (ALK-1; DakoCytomation, Carpinteria, CA) immunohistochemistry was performed on all cases of ALCL. Frozen tissue from 1 normal reactive lymph node, 4 primary ALK-positive ALCLs, 2 adult T-cell leukemia/lymphomas (ATLLs), 1 precursor T-cell lymphoblastic leukemia/lymphoma (ALL), and 1 unspecified peripheral T-cell lymphoma (PTCL) were selected for Western blot analysis.
Primary lymphoma cases analyzed for C/EBPβ expression by immunohistochemistry
Lymphoma subtype . | No. cases . | C/EBPβ+, no. . |
|---|---|---|
| T-cell lymphoma | ||
| Anaplastic large-cell lymphoma ALK+ | 45 | 40 |
| Anaplastic large-cell lymphoma ALK- | 29 | 8 |
| Unspecified peripheral T-cell lymphoma | 20 | 1 |
| Angioimmunoblastic T-cell lymphoma | 2 | 0 |
| T-cell lymphoblastic lymphoma | 3 | 0 |
| Enteropathy associated T-cell lymphoma | 2 | 0 |
| Mycosis fungoides | 2 | 0 |
| Adult T-cell leukemia/lymphoma | 4 | 0 |
| Subtotal | 107 | 49 |
| B-cell lymphoma | ||
| Diffuse large B-cell lymphoma | 25 | 0 |
| Follicular lymphoma | 13 | 0 |
| Chronic lymphocytic leukemia | 16 | 0 |
| Mantle-cell lymphoma | 11 | 0 |
| Marginal zone cell lymphomas | 11 | 0 |
| Splenic marginal zone cell lymphoma | 4 | 0 |
| Plasma cell neoplasias | 3 | 1 |
| Hairy cell leukemia | 3 | 0 |
| Burkitt lymphoma | 5 | 0 |
| B-cell lymphoblastic lymphoma | 2 | 0 |
| Subtotal | 93 | 1 |
| Hodgkin lymphoma | ||
| Lymphocyte predominance | 9 | 0 |
| Classic | 20 | 5 |
| Subtotal | 29 | 5 |
| Total lymphoma cases | 229 | 55 |
Lymphoma subtype . | No. cases . | C/EBPβ+, no. . |
|---|---|---|
| T-cell lymphoma | ||
| Anaplastic large-cell lymphoma ALK+ | 45 | 40 |
| Anaplastic large-cell lymphoma ALK- | 29 | 8 |
| Unspecified peripheral T-cell lymphoma | 20 | 1 |
| Angioimmunoblastic T-cell lymphoma | 2 | 0 |
| T-cell lymphoblastic lymphoma | 3 | 0 |
| Enteropathy associated T-cell lymphoma | 2 | 0 |
| Mycosis fungoides | 2 | 0 |
| Adult T-cell leukemia/lymphoma | 4 | 0 |
| Subtotal | 107 | 49 |
| B-cell lymphoma | ||
| Diffuse large B-cell lymphoma | 25 | 0 |
| Follicular lymphoma | 13 | 0 |
| Chronic lymphocytic leukemia | 16 | 0 |
| Mantle-cell lymphoma | 11 | 0 |
| Marginal zone cell lymphomas | 11 | 0 |
| Splenic marginal zone cell lymphoma | 4 | 0 |
| Plasma cell neoplasias | 3 | 1 |
| Hairy cell leukemia | 3 | 0 |
| Burkitt lymphoma | 5 | 0 |
| B-cell lymphoblastic lymphoma | 2 | 0 |
| Subtotal | 93 | 1 |
| Hodgkin lymphoma | ||
| Lymphocyte predominance | 9 | 0 |
| Classic | 20 | 5 |
| Subtotal | 29 | 5 |
| Total lymphoma cases | 229 | 55 |
Immunohistochemistry
All cases were previously studied by paraffin section immunohistochemistry (IHC) with a panel of antibodies to assess lymphoid phenotype and ALK in suspected cases of ALCL. The expression of C/EBPβ (clone H7; Santa Cruz Biotechnology, Santa Cruz, CA) was investigated on paraffin-embedded sections. Cases were scored as C/EBPβ positive when more than 20% of the tumor cells showed nuclear positivity. All immunohistochemical analyses were reviewed by 3 of the authors (L.Q.-M., S.P., M.R.).
Immunohistochemistry was performed on an automated immunostainer (Ventana Medical Systems, Tucson, AZ) or autostainer (DakoCytomation) according to the manufacturer's protocols, with slight modifications. After deparaffinization and rehydration, the slides were placed in a microwave pressure cooker (TenderCooker; NordicWare, Minneapolis, MN) in 0.01 M citrate buffer, pH 6.0, containing 0.1% Tween 20 and were heated in a microwave oven at maximum power for 30 minutes or for 8 minutes (hot start). Thereafter, sections were washed in Tris-buffered saline (pH 7.6) containing 5% fetal calf serum (Life Technologies, Grand Island, NY) for 20 minutes. Antibodies were incubated overnight or for 2 hours at room temperature. The rest of the procedure in the DakoCytomation autostainer was performed using a peroxidase-based detection system (Envision+ System; DakoCytomation), and the slides were counterstained in Gill hematoxylin and mounted in Pertex (Histolab, Göteborg, Germany).
Double staining for C/EBPβ and CD68 (DakoCytomation), S100 (Biogenex, San Ramon, CA), clusterin (Upstate Biotechnology, Lake Placid, NY), or rabbit monoclonal anti-CD3 (Lab Vision, Fremont, CA) was performed with a peroxidase-based system (Envision+ System). The primary antibody C/EBPβ was incubated overnight, and the secondary antibody was incubated for 30 minutes. Reaction was developed with the Envision+ System and 3,3′-diaminobenzidine as chromogen. Slides were blocked for 10 minutes with 3% peroxide and the second primary antibody. CD3, CD68, or S100 was incubated for 1 hour, and the secondary antibody was incubated for 30 minutes. The reaction was detected again with the Envision+ System and VIP substrate as chromogen (Vector Laboratories, Burlingame, CA) and was counterstained with Vector methyl green (Vector Laboratories).
Western blot analysis
Frozen tissue samples and cell line pellets were immersed in phosphate-buffered saline (PBS) containing one protease inhibitor cocktail tablet (Complete Mini; Roche Diagnostics, Mannheim, Germany) and were sonicated 3 times for 30 seconds each on ice with 30-second pauses. Protein concentration was determined by the BCA protein assay reagent kit (Pierce, Rockford, IL). Thirty micrograms of protein extracts were separated by 12% sodium dodecyl sulfate–polyacrylamide gel electrophoresis and were transferred to pure nitrocellulose immobilization membranes (BA85; Protran, Dassel, Germany). Membranes were blocked overnight in 5% nonfat dry milk and were incubated with the primary antibody for 2 hours in 3% bovine serum albumin (BSA; Sigma, St Louis, MO). Subsequently, membranes were washed 5 times for 5 minutes each in a wash buffer (10 mM Tris, pH 7.6, 100 mM NaCl, and 0.1% Tween) and were incubated with a biotinylated secondary antibody for 1 hour. Membranes were washed 5 times in the same wash buffer, and detection was performed by SuperSignal West Pico chemiluminescent substrate (Pierce) for 5 minutes. Membranes were exposed to X-OMAT AR film (Eastman Kodak, Rochester, NY). All assays were repeated 3 times and gave similar results. Subcellular fractionation was performed using the NE-PER kit (Pierce). Immunoreagents used for Western blot were a rabbit polyclonal antibody against ALK (Zymed Laboratories, San Francisco, CA) and rabbit polyclonal anti-C/EBPβ (C-19; Santa Cruz Biotechnology). The C/EBPβ antibody recognized the 2 major isoforms, 35 kDa LAP and 21 kDa LIP. For loading control, mouse monoclonal anti–α-tubulin (Sigma) was used. Additional antibodies used included monoclonal Stat3 (Transduction Laboratories, Lexington, KY) and phospho-Tyr705 Stat3 (pStat3) (clone 3E2; Cell Signaling, Beverly, MA).
Cell culture and DNA transfections
The murine pro–B-lymphoid cell line Ba/F3 and the murine 32Dc13 myeloid cell line (referred to hereafter as the 32D cell line) were maintained in RPM1 1640 (Gibco BRL, Karlsruhe, Germany) and were supplemented with 10% fetal calf serum (FCS; Biochrom KG, Berlin, Germany) and 1 ng/mL murine recombinant interleukin-3 (mIL-3; R&D Systems, DPC Bierman GmbH, Wiesbaden, Germany). BaF3 is a murine lymphoid cell line that requires IL-3 for proliferation and survival. It expresses only B-220 and contains immunoglobulin genes in germline configuration. Overexpression of NPM-ALK in BaF3 cells converted cells from IL-3–dependent to IL-3–independent growth.28 The 32D cell line is a myeloid progenitor, IL-3–dependent, diploid cell line that undergoes normal granulocytic differentiation in response to G-CSF. DNA transfections in Ba/F3 and 32D cell lines were performed by electroporation, as described previously.28,29 Ba/F3 Mig-NPM-ALK, Ba/F3-Mig-NPM-ALK-ATP-Abl, and Ba/F3-Mig (empty vector used as control) are derived from parental Ba/F3 cells modified by retroviral infection with the respective constructs. Ba/F3 Mig-NPM-ALK, Ba/F3-Mig-NPM-ALK-ATP-Abl, and 32D-Mig-NPM-ALK are mIL-3 independent. In the Mig-NPM-ALK-ATP-Abl (Mig-NAAA) construct, the ATP-binding site of ALK was replaced by the corresponding domain of the Abl kinase. This substitution renders NPM-ALK protein responsive to imatinib while it retains the NPM-ALK kinase substrate phosphorylation pattern (Petra Seipel, C.M., and J.D., manuscript in preparation). The protein band produced by this construct measured 85 kDa, whereas the band produced by Mig-NPM-ALK measured 75 kDa. For Western blot analysis, cells growing exponentially were pelleted and lysed, as described. Ba/F3 Mig-NAAA cells were treated with 5 μM imatinib for 12 hours to inhibit the NPM-ALK kinase activity or were left untreated before lysis and were used as control. Imatinib mesylate was kindly provided by Novartis Pharma (Basel, Switzerland).
Real-time quantitative RT-PCR
Real-time quantitative RT-PCR analysis was performed with the ABI Prism 7500 Sequence Detection System (Applied Biosystems, Foster City, CA). For the quantification of C/EBPβ and TATA box-binding protein (TBP) as the housekeeping gene, we used gene expression assays from Applied Biosystems (C/EBPβ, Mm00843434_s1; TBP, Mm00446973_m1). Two micrograms RNA was transcribed into cDNA using Superscript II reverse transcriptase (Invitrogen, Carlsbad, CA) and a mix of Oligo(dT) primer and random hexamers (Roche, Penzberg, Germany) in a final volume of 50 μL according to the manufacturer's instructions. PCR was carried out with the TaqMan Universal Master Mix (Applied Biosystems) using 4 μL diluted cDNA in a 20-μL final reaction mixture (10 minutes at 95°C; 40 cycles of 15 seconds at 95°C and 60 seconds at 60°C). Before the experiments were begun, the linear range of the assays was validated with a dilution curve with transcribed embryonic mouse RNA. Data were analyzed using the ΔCT method. Target gene expression was normalized to TBP by taking the difference between mean threshold PCR cycle values for target and control genes (ΔCT value). This was then calibrated to the control sample in each experiment to give the ΔΔCT value, where the control had a ΔΔCT value of 0. The fold target gene expression, compared with the calibrator value, is given by the formula 2–ΔΔCT. All reactions were performed at least twice in duplicate.
Results
C/EBPβ protein expression in normal lymphoid tissue
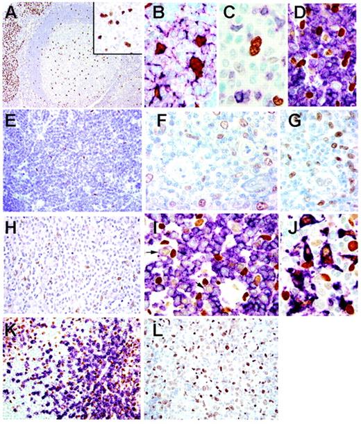
C/EBPβ was evaluated by immunohistochemistry performed on paraffin sections of reactive lymph node, tonsil, and thymus. In tonsils and lymph nodes, C/EBPβ was strongly expressed in the nuclei of scattered cells in the germinal centers, mantle zone, and paracortical region (Figure 1A). The morphology of the C/EBPβ-positive cells in the germinal centers corresponded to that of follicular dendritic cells (FDCs) (Figure 1A, inset), whereas the tingible body macrophages were negative or weakly positive (Figure 1A). In contrast, histiocytes in the sinuses, interdigitating cells, and monocyte-like cells were strongly positive for C/EBPβ. Double stainings demonstrated that C/EBPβ-positive cells were also positive for clusterin, a marker of follicular dendritic cells (Figure 1B), whereas T and B cells were negative for C/EBPβ (Figure 1C-D). In the tonsils, epithelium surface cells were strongly positive for C/EBPβ (Figure 1A). In the thymus, neither cortical nor medullary T cells showed expression of C/EBPβ. CEBPβ staining was seen only in thymic epithelial cells and in rare macrophage-like cells.
C/EBPβ is highly expressed in ALK-positive ALCL
To assess C/EBPβ expression in malignant lymphoid neoplasms, 229 well-characterized lymphomas—including 93 B-cell lymphomas, 107 T-cell lymphomas (33 PTCL, 74 ALCL), and 29 Hodgkin lymphomas—were immunostained for C/EBPβ. Intratumoral histiocytes, present in all cases, served as internal positive controls (Figure 1E). Results are summarized in Table 2.
Of the 93 B-cell NHLs, only 1 (1%) case of multiple myeloma with anaplastic features stained positively for C/EBPβ. All 9 cases of nodular lymphocyte-predominant Hodgkin lymphoma were negative for C/EBPβ, whereas 5 of 20 cases of classical HL showed faint nuclear staining within the Reed-Sternberg cells (Figure 1F-G). Of the 33 cases of PTCL, only 1 showed weak staining for C/EBPβ in a small number of tumor cells (Figure 1H-J). In some cases, the presence of numerous C/EBPβ–positive cells made it difficult to evaluate whether these cells corresponded to the neoplastic T-cell population of the reactive myelomonocytic cells. In these cases, double staining with CD3 revealed that the neoplastic T cells were negative for C/EBPβ (Figure 1K) and that most C/EBPβ–positive cells were positive for CD68 or S100 (Figure 1J).
Immunohistochemical analysis of C/EBPβ expression in normal lymphoid tissue and in different lymphoid neoplasias. (A) C/EBPβ protein expression in normal lymphoid tissue (tonsil). In the germinal center, mantle zone, and interfollicular T-cell area, C/EBPβ is strongly expressed in the nuclei of scattered cells, whereas most surface epithelial cells express high levels of C/EBPβ. Immunoperoxidase (IP) stain, 100×. C/EBPβ-positive cells within the germinal center correspond to follicular dendritic cells (inset; IP stain, 400×). (B) Double staining for C/EBPβ (brown) and clusterin (purple) reveals that the C/EBPβ-positive germinal center cells express the dendritic cell marker clusterin. Note also that the clusterin stain highlights the dendritic cell processes. IP stain, 650×. (C-D) Double staining for C/EBPβ (brown) and CD3 (purple) (C) or CD20 (purple) (D) in the germinal center demonstrates that the CD3+ T cells and CD20+ B cells are negative for C/EBPβ. IP stain, 650×. (E) C/EBPβ expression in mantle cell lymphoma. The neoplastic cells are negative, whereas the intratumoral histiocytes are positive and serve as an internal positive control. IP stain, 100×. (F-G) C/EBPβ in 2 cases of classic Hodgkin lymphoma. Faint nuclear reactivity is seen in the Reed-Sternberg cells in 1 case (G), whereas the second case (F) shows no C/EBPβ expression. In both cases, abundant histiocytes are strongly positive for C/EBPβ. IP stain, 650×. (H) C/EBPβ expression in unspecified PTCL. Neoplastic cells are negative, whereas intratumoral histiocytes are positive. IP stain, 100×. (I-J) C/EBPβ expression in a second case of unspecified PTCL. (I) Double staining for C/EBPβ (brown) and CD3 (purple) demonstrates that a small population of the neoplastic T cells (arrows) shows weak nuclear staining for C/EBPβ. In contrast, compare the strong nuclear positivity of the reactive histiocytes. IP stain, 400×. (J) Double staining for C/EBPβ (brown) and CD68 (purple) confirms the histiocytic origin of the strong C/EBPβ-positive cells. IP stain, 650×. (K) Unspecified PTCL with abundant histiocytes. Double staining for C/EBPβ (brown) and CD3 (purple) demonstrates that C/EBPβ is not expressed in the CD3+ tumor cells. IP stain, 100×. (L) C/EBPβ expression in ALCL, ALK-negative, with weak nuclear staining in tumor cells. In contrast, reactive histiocytes showed strong nuclear positivity with C/EBPβ. IP stain, 250×. Images were acquired using a Hitachi camera HW/C20 (Hitachi, Tokyo, Japan) installed in a Zeiss Axioplan microscope (Zeiss, Jena, Germany) using Intellicam software. Plan-Neofluar 10×/0.30 numeric aperture (NA), 20×/0.50 NA, and 40×/0.75 NA objectives as well as a Plan-Apochromat 63×/1.40 oil objective were used. Images were processed using Adobe Photoshop (Adobe Systems, San Jose, CA).
Immunohistochemical analysis of C/EBPβ expression in normal lymphoid tissue and in different lymphoid neoplasias. (A) C/EBPβ protein expression in normal lymphoid tissue (tonsil). In the germinal center, mantle zone, and interfollicular T-cell area, C/EBPβ is strongly expressed in the nuclei of scattered cells, whereas most surface epithelial cells express high levels of C/EBPβ. Immunoperoxidase (IP) stain, 100×. C/EBPβ-positive cells within the germinal center correspond to follicular dendritic cells (inset; IP stain, 400×). (B) Double staining for C/EBPβ (brown) and clusterin (purple) reveals that the C/EBPβ-positive germinal center cells express the dendritic cell marker clusterin. Note also that the clusterin stain highlights the dendritic cell processes. IP stain, 650×. (C-D) Double staining for C/EBPβ (brown) and CD3 (purple) (C) or CD20 (purple) (D) in the germinal center demonstrates that the CD3+ T cells and CD20+ B cells are negative for C/EBPβ. IP stain, 650×. (E) C/EBPβ expression in mantle cell lymphoma. The neoplastic cells are negative, whereas the intratumoral histiocytes are positive and serve as an internal positive control. IP stain, 100×. (F-G) C/EBPβ in 2 cases of classic Hodgkin lymphoma. Faint nuclear reactivity is seen in the Reed-Sternberg cells in 1 case (G), whereas the second case (F) shows no C/EBPβ expression. In both cases, abundant histiocytes are strongly positive for C/EBPβ. IP stain, 650×. (H) C/EBPβ expression in unspecified PTCL. Neoplastic cells are negative, whereas intratumoral histiocytes are positive. IP stain, 100×. (I-J) C/EBPβ expression in a second case of unspecified PTCL. (I) Double staining for C/EBPβ (brown) and CD3 (purple) demonstrates that a small population of the neoplastic T cells (arrows) shows weak nuclear staining for C/EBPβ. In contrast, compare the strong nuclear positivity of the reactive histiocytes. IP stain, 400×. (J) Double staining for C/EBPβ (brown) and CD68 (purple) confirms the histiocytic origin of the strong C/EBPβ-positive cells. IP stain, 650×. (K) Unspecified PTCL with abundant histiocytes. Double staining for C/EBPβ (brown) and CD3 (purple) demonstrates that C/EBPβ is not expressed in the CD3+ tumor cells. IP stain, 100×. (L) C/EBPβ expression in ALCL, ALK-negative, with weak nuclear staining in tumor cells. In contrast, reactive histiocytes showed strong nuclear positivity with C/EBPβ. IP stain, 250×. Images were acquired using a Hitachi camera HW/C20 (Hitachi, Tokyo, Japan) installed in a Zeiss Axioplan microscope (Zeiss, Jena, Germany) using Intellicam software. Plan-Neofluar 10×/0.30 numeric aperture (NA), 20×/0.50 NA, and 40×/0.75 NA objectives as well as a Plan-Apochromat 63×/1.40 oil objective were used. Images were processed using Adobe Photoshop (Adobe Systems, San Jose, CA).
Of the 74 cases of CD30+ ALCL, 45 were ALK positive and 29 were ALK negative (Figure 2). C/EBPβ was strongly positive in most tumor cells in 40 of 45 (88%) cases of ALK-positive ALCL. C/EBPβ expression was independent of the cytoplasmic or nuclear localization of ALK (Figure 2). ALK-negative cases were C/EBPβ negative or were weakly positive in 8 of 29 cases. (Figures 1L, 2). Because of the striking association between C/EBPβ and ALK-positive ALCL, the remainder of the study focuses on these lymphomas.
C/EBPβ Western blot analysis: LIP is expressed more than LAP
Overexpression of the LIP isoform of C/EBPβ has been associated with high proliferation states in normal tissues and has been observed in several types of epithelial tumors. For these reasons, we were particularly interested in investigating the LIP/LAP ratio in ALK-positive ALCL. To assess the LIP/LAP ratio, 4 ALK-positive ALCL cell lines and 4 primary ALK-positive ALCL cases were studied by Western blot analysis using the C-terminal–specific anti–C/EBPβ (C-19) antibody that recognizes both LIP and LAP. For comparison, we also assessed expression in a variety of non–ALCL T- and B-cell lines (4 and 11 cell lines, respectively) and in several non–ALCL T-cell neoplasms. The positive control epithelial cell lines HeLa and MCF7 demonstrated 2 bands of the approximate expected sizes for the LIP and LAP isoforms (21 and 35 kDa, respectively) (Figure 3). ALCL lines Ki-JK, Karpas 299, and SUDHL-1 expressed both isoforms of C/EBPβ, with more LIP than LAP isoforms. SR786 showed only weak expression of the LIP isoform (Figure 3B). Immunocytochemistry of the 4 cell lines showed strong nuclear staining for total C/EBPβ in Ki-JK, Karpas 299, and SUDHL-1, with weaker nuclear staining observed in SR786 (data not shown). Subcellular fractionation of the SUDHL-1 cell line demonstrated that both isoforms were exclusively expressed in the nucleus (Figure 3A). Other B- and T-cell lymphoma cell lines in this survey expressed LIP weakly (SUDHL-4, SUDHL-6, SUDHL-10, OPM2, KMM1, Jim3, ST 486, MOLT4) or were negative for the 2 isoforms (CEM, Jurkat, Hut102, Granta 519, NCEB1, KMS12) (Figure 3B-C and data not shown). Weak expression of C/EBPβ in the myeloma and B-cell lymphoma lines may be linked to the endogenous production of IL-6, a known inducer of C/EBPβ.
ALK and C/EBPβ immunostaining in ALCL. The 2 ALK-positive cases, with nuclear (top) and cytoplasmic (middle) expression, show strong nuclear positivity in most tumor cells for C/EBPβ. The ALCL, ALK-negative case (bottom) is negative for C/EBPβ; however, the reactive histiocytes are strongly positive and serve as internal control. IP stain, 400×. Images were otherwise acquired as explained in Figure 1.
ALK and C/EBPβ immunostaining in ALCL. The 2 ALK-positive cases, with nuclear (top) and cytoplasmic (middle) expression, show strong nuclear positivity in most tumor cells for C/EBPβ. The ALCL, ALK-negative case (bottom) is negative for C/EBPβ; however, the reactive histiocytes are strongly positive and serve as internal control. IP stain, 400×. Images were otherwise acquired as explained in Figure 1.
Western blot analyses for C/EBPβ and ALK in lymphoid cell lines and primary lymphoma cases. (A) Subcellular fractionation of the SUDHL-1 cell line. Tubulin is used as control for loading and for the cytoplasmic fraction. (B) KiJk, Karpas 299, SUDHL1, and SR786 represent ALCL cell lines with the t(2;5) translocation. The non-t(2;5) T-cell lines are Molt4, CEM, and Jurkat. Tubulin is used as loading control. (C) Western blot analysis in B-cell lymphoid cell lines including 2 mantle cell lymphoma lines (Granta 519 and NCEB-1), 2 multiple myeloma cell lines (KMS12 and OPM2), and 2 follicular lymphoma cell lines (SUDHL4 and SUDHL10). The ALCL cell line Karpas 299 and the 2 carcinoma cell lines MCF7 and HeLa are used as controls. Tubulin is used as loading control. (D) Western blot analysis in primary T-cell lymphoma cases including 1 normal lymph node (LN), 4 primary ALK-positive (ALCL) lymphomas, 1 acute lymphoblastic leukemia (ALL), 2 adult T-cell leukemia/lymphoma (ATLL), and unspecified PTCL. Tubulin is used as loading control.
Western blot analyses for C/EBPβ and ALK in lymphoid cell lines and primary lymphoma cases. (A) Subcellular fractionation of the SUDHL-1 cell line. Tubulin is used as control for loading and for the cytoplasmic fraction. (B) KiJk, Karpas 299, SUDHL1, and SR786 represent ALCL cell lines with the t(2;5) translocation. The non-t(2;5) T-cell lines are Molt4, CEM, and Jurkat. Tubulin is used as loading control. (C) Western blot analysis in B-cell lymphoid cell lines including 2 mantle cell lymphoma lines (Granta 519 and NCEB-1), 2 multiple myeloma cell lines (KMS12 and OPM2), and 2 follicular lymphoma cell lines (SUDHL4 and SUDHL10). The ALCL cell line Karpas 299 and the 2 carcinoma cell lines MCF7 and HeLa are used as controls. Tubulin is used as loading control. (D) Western blot analysis in primary T-cell lymphoma cases including 1 normal lymph node (LN), 4 primary ALK-positive (ALCL) lymphomas, 1 acute lymphoblastic leukemia (ALL), 2 adult T-cell leukemia/lymphoma (ATLL), and unspecified PTCL. Tubulin is used as loading control.
The strong expression of C/EBPβ and high levels of LIP were also confirmed by Western blot in 4 primary ALK-positive ALCL cases (Figure 3D). Reactive lymph node, acute lymphoblastic lymphoma, PTCL, and both cases of adult T-cell lymphoma/leukemia were negative for C/EBPβ.
C/EBPβ is induced in NPM-ALK–transformed Ba/F3 and 32D cell lines
To determine the role of NPM-ALK in the expression of C/EBPβ in ALK-positive ALCL, Ba/F3 and 32D cells were transfected with NPM-ALK. Both the transfected Ba/F3 cells and the 32D cells showed strong expression of NPM-ALK and activated Stat3 (pStat3), a known downstream target of the NPM-ALK kinase (Figure 4A). The parental Ba/F3 and 32D cell lines were negative for NPM-ALK and pStat3, as expected. All cell lines were positive for total Stat3; however, the transfected cell lines expressed higher amounts of Stat3. Western blot analysis of C/EBPβ revealed that parental Ba/F3 cells expressed no C/EBPβ, whereas parental 32D myeloid cell line expressed a modest level of C/EBPβ. The latter finding was not unexpected because myeloid cells and macrophages expressed C/EBPβ normally. Significantly, both NPM-ALK–transformed cell lines showed strong induction of C/EBPβ LIP and LAP isoforms to levels comparable with those of the ALCL cell line Karpas 299.
C/EBPβ expression is induced through the kinase activity of NPM-ALK
To demonstrate whether the expression of C/EBPβ in ALK+ALCL primary cases and cell lines was dependent on NPM-ALK kinase activity, we transformed Ba/F3 cells with an NPM-ALK-ATP-Abl construct. This construct was identical to the NPM-ALK construct except that the ATP-binding site of ALK has been replaced by the corresponding domain of the Abl-kinase, rendering NPM-ALK responsive to imatinib. As a result, the NPM-ALK kinase activity could be completely inhibited. Western blot analysis demonstrated the expression of NPM-ALK in treated and untreated Ba/F3 NPM-ALK-ATP-Abl cells (Figure 4A). In contrast, though pStat3 was expressed in the untreated Ba/F3 NPM-ALK-ATP-Abl cells, it was undetectable in the corresponding imatinib-treated cells, confirming that the NPM-ALK kinase activity was switched off. Significantly, C/EBPβ was expressed in the untreated Ba/F3 NPM-ALK-ATP-Abl cells but was greatly reduced in the imatinib-treated Ba/F3 NPM-ALK-ATP-Abl cells, indicating the dependence of C/EBPβ expression on NPM-ALK kinase activity.
ALK, Stat3-phosphorylated and C/EBPβ expression in NPM-ALK and NPM-ALK-ATP-Abl–transformed Ba/F3 and 3D cells. (A) Western blot analysis of NPM-ALK–transformed Ba/F3 and 32D cell lines. Each lane contains 30 μg protein extract. The ALCL cell line Karpas 299 is used as control. The NPM-ALK construct produces a band of 75 kDa. Tubulin is used as loading control. (B) Western blot analysis of Ba/F3 NPM-ALK-ATP-Abl–transformed cell line untreated or treated with 5 μM imatinib for 12 hours. The NPM-ALK-ATP-Abl construct produces a positive protein band of 85 kDa, 5 kDa larger than the protein band detected in the SUDHL-1 cell line used as control. Tubulin is used as loading control.
ALK, Stat3-phosphorylated and C/EBPβ expression in NPM-ALK and NPM-ALK-ATP-Abl–transformed Ba/F3 and 3D cells. (A) Western blot analysis of NPM-ALK–transformed Ba/F3 and 32D cell lines. Each lane contains 30 μg protein extract. The ALCL cell line Karpas 299 is used as control. The NPM-ALK construct produces a band of 75 kDa. Tubulin is used as loading control. (B) Western blot analysis of Ba/F3 NPM-ALK-ATP-Abl–transformed cell line untreated or treated with 5 μM imatinib for 12 hours. The NPM-ALK-ATP-Abl construct produces a positive protein band of 85 kDa, 5 kDa larger than the protein band detected in the SUDHL-1 cell line used as control. Tubulin is used as loading control.
C/EBPβ is transcriptionally regulated by NPM-ALK
To determine whether the induction of C/EBPβ by NPM-ALK was transcriptionally or posttranscriptionally regulated, we analyzed C/EBPβ expression in parallel at the protein and mRNA levels of parental Ba/F3- and NPM-ALK–transformed cells. Western blot analysis showed the induction of C/EBPβ in NPM-ALK–transformed Ba/F3 cells, whereas the amount of C/EBPβ mRNA increased approximately 2-fold (Figure 5).
To confirm that C/EBPβ was transcriptionally regulated by NPM-ALK, we also analyzed C/EBPβ protein and mRNA expression in the NPM-ALK-ATP-Abl–transformed Ba/F3 cells following treatment with imatinib or control buffer after 6 and 20 hours. Western blot analysis confirmed the strong expression of C/EBPβ in the untreated NPM-ALK-ATP-Abl cell line, weak expression in the imatinib-treated NPM-ALK-ATP-Abl cells after 6 hours, and complete LIP inhibition after 20 hours (Figure 5B). Interestingly, pStat3, used as control for the kinase activity of NPM-ALK, was undetectable in the imatinib-treated NPM-ALK-ATP-Abl cells after 6 hours, signifying that the inhibition of pStat3 occurred shortly after treatment with imatinib and before the inhibition of C/EBPβ. C/EBPβ mRNA levels were 5.2-fold higher in the untreated NPM-ALK-ATP-Abl cell line than in the parental BaF3 cell line and steadily decreased with an ongoing blockade of NPM-ALK-ATP-Abl by imatinib 3.5-fold after 6 hours and 1.2-fold after 20 hours of treatment with imatinib. There was a very good correlation between C/EBPβ protein expression and mRNA level. Together both results indicated that the induction of C/EBPβ expression by NPM-ALK occurred at the transcriptional level.
Qualitative reverse transcription–polymerase chain reaction (qRT-PCR) analysis of C/EBPβ mRNA levels and protein expression in NPM-ALK and NPM-ALK-ATP-Abl–transformed Ba/F3 cells. (A) Western blot analysis of transformed Ba/F3 cells. Each lane contains 30 μg protein extract. The ALCL cell line Karpas 299 is used as control. Stat3 phosphorylate is used as control for the kinase activity of NPM-ALK. The NPM-ALK-ATP-Abl construct produces a positive protein band of 85 kDa. Tubulin is used as loading control. (B) qRT-PCR analysis of C/EBPβ was performed relative to the TBP housekeeping gene. Data were analyzed according to the ΔCT method. Results are depicted as mRNA fold induction compared with Ba/F3 parental cells. Error bars indicate SD.
Qualitative reverse transcription–polymerase chain reaction (qRT-PCR) analysis of C/EBPβ mRNA levels and protein expression in NPM-ALK and NPM-ALK-ATP-Abl–transformed Ba/F3 cells. (A) Western blot analysis of transformed Ba/F3 cells. Each lane contains 30 μg protein extract. The ALCL cell line Karpas 299 is used as control. Stat3 phosphorylate is used as control for the kinase activity of NPM-ALK. The NPM-ALK-ATP-Abl construct produces a positive protein band of 85 kDa. Tubulin is used as loading control. (B) qRT-PCR analysis of C/EBPβ was performed relative to the TBP housekeeping gene. Data were analyzed according to the ΔCT method. Results are depicted as mRNA fold induction compared with Ba/F3 parental cells. Error bars indicate SD.
Discussion
C/EBPβ is a multifunctional transcription factor that plays important roles in the proliferation and differentiation of a variety of cell types, including B and T cells, and its aberrant expression has been implicated in the pathogenesis of several epithelial tumors.16-19,30 Limited information is available concerning its expression in normal lymphoid tissues, and virtually no information is available on its expression in lymphoid neoplasms. For this reason, we investigated C/EBPβ expression in normal lymphoid tissues and in a large number of primary lymphomas and lymphoma cell lines, including examples from most major subgroups. Normal nonneoplastic lymphoid cells from thymus, tonsil, and lymph node and most B-cell and T-cell NHLs did not express immunohistochemically detectable C/EBPβ. In striking contrast, we found that most (88%) cases of ALK-positive ALCL strongly expressed C/EBPβ. Significantly, the LIP isoform of C/EBPβ was preferentially expressed in the ALK-positive ALCL cell lines and in the primary cases examined. Furthermore, we showed in 2 cell line systems that enforced expression of NPM-ALK and kinase-inhibitable modified NPM-ALK resulted in the induction of C/EBPβ only when the kinase activity was intact, demonstrating not only that NPM-ALK is capable of inducing C/EBPβ expression but also that its induction is transcriptionally dependent on NPM-ALK kinase activity.
ALCL represents a distinct type of NHL of T or null phenotype with unique morphologic features and CD30 antigen expression.31 Recently, it has become evident that there are 2 forms of ALCL based on the presence or absence of the characteristic cytogenetic abnormality, the t(2;5) chromosomal translocation, which juxtaposes the anaplastic lymphoma kinase (ALK) gene at 2p23 to the nucleophosmin (NPM) gene at 5q35, resulting in the expression of a chimeric protein called NPM-ALK.32 Other variant translocations involving fusion of the ALK gene with other partner genes have also been described.33 All translocations generated ALK fusion proteins capable of autodimerization, leading to constitutive activation of the ALK-tyrosine kinase, believed to initiate the process of lymphomagenesis.29,34,35
NPM-ALK interacts with many adaptor proteins and activates several key signaling pathways involved in cell proliferation, transformation, and survival. These include the p85 regulatory subunit of type 1A phosphatidylinositol 3-kinase (PI3K), which activates AKT and other signaling intermediates,28,36 and the JAK/STAT pathway, which plays an important role in the mitogenic signaling initiated by NPM-ALK and protects hematopoietic cells from apoptosis.37,38 In addition, prosurvival PLC-γ pathways and MAPK pathways have been implicated in NPM/ALK signaling.39,40
In the current study, we have shown that C/EBPβ expression is dependent on NPM-ALK kinase activity. However, it is unclear how this signal is transduced. The complex signaling networks activated by NPM-ALK suggest several possibilities. Among the possible activators is Stat3. Stat3 has been shown to be directly activated in most ALK-positive ALCLs.37,38,41 We also have found Stat3 activated in a large subset of the current cases (data not shown). Like C/EBPβ, this transcription factor has a role in the control of inflammatory and native immune responses.3 Although no Stat3-specific binding sites have been observed in the C/EBPβ promoter region, a novel tethering mechanism is thought to link Stat3 to the C/EBPβ promoter.42
A second possible pathway of C/EBPβ activation in ALCL is through MAPK signaling.40 Several adaptor proteins involved in the MAPK pathway, including SHC, GRB-2, and IRS-1, have been coimmunoprecipitated with NPM-ALK. Furthermore, normal ALK has been shown to activate the MAPK pathway in PC12 pheochromocytoma cells.43 Independently, other studies have shown that C/EBPβ activity can be stimulated by phosphorylation mediated through the RAS/MAPK pathway.44,45 Once activated (phosphorylated), C/EBPβ can bind to its own promoter and participate in a positive feedback loop, potentially resulting in the high levels of C/EBPβ seen in ALCL.
Finally, several investigators have shown that NPM-ALK activates the P13K/AKT pathway.28,36 Among the many targets of AKT is mammalian target of rapamycin (mTOR), a critical regulator of several translational control proteins, including S6K-1 and translation elongation factors eIF-2α and eIF-4E.46 Activation of these factors through mTOR signaling has recently been shown to affect C/EBPβ expression and to increase the LIP/LAP ratio through the regulation of translation initiation in ALCL and Hodgkin lymphoma cell lines.47 Given the association of LIP with proliferation in other tumor models, the authors suggested that translationally deregulated expression of C/EBPβ could play an important role in ALCL and contribute to sustained cellular proliferation47 and that translational control of C/EBPβ isoforms could be used as a target of proliferation control and therapeutic intervention. Our data not only corroborate their finding that ALCL cell lines express high levels of LIP, they extend this finding to primary ALK-positive ALCL. Although it appears likely that mTOR plays a role in the modulation of C/EBPβ isoforms in ALCL cell lines, this must be confirmed in primary cases. Whether the PIK3/AKT/mTOR pathway is also involved in the induction of C/EBPβ or only in its modulation is still unclear.
The consequences of C/EBPβ expression in ALCL are unknown. In addition to its effect on proliferation, C/EBPβ expression has been shown to promote TH2 responses in T cells.24,48 It has recently been shown that ALCL cells display a chemokine profile similar to that of TH2 cells.49 Thus, it is possible that the expression of C/EBPβ plays a role in the cytokine and chemokine profiles of ALCL cells. C/EBPβ has also been associated with activation or terminal differentiation in the monocyte/macrophage lineages.1,3 ALCL shows a loss of important T-cell antigens such as CD3 and ZAP-70,50 and it expresses some proteins shared with monocytic and dendritic cells such as clusterin,51 CD4, and CD68. A recent report indicates that enforced expression of either C/EBPα or C/EBPβ in differentiated B cells leads to their rapid and efficient reprogramming into macrophages, with a loss of B-cell markers and an up-regulation of macrophage markers.52 Similar transdifferentiation effects have been preliminarily reported in thymocytes, in which stage-specific enforced expression of C/EBPα and C/EBPβ induced the down-regulation of T-cell markers and the up-regulation of myelo-monocytic lineage markers.53 These experiments suggest that the aberrant expression of C/EBPβ could be responsible for some of the phenotypic characteristics seen in ALCL T cells.
In conclusion, we report for the first time the constitutive activation of the transcription factor C/EBPβ in ALK-positive ALCL. In addition, we demonstrate that NPM-ALK is capable of inducing C/EBPβ and that the induction is dependent on NPM/ALK kinase activity. The link between CEBPβ LIP overexpression and proliferation and the role of C/EBPβ in TH2 T-cell commitment and in myelomonocytic differentiation suggest that C/EBPβ likely plays an important role in the pathogenesis and unique phenotype of this lymphoma.
Prepublished online as Blood First Edition Paper, May 18, 2006; DOI 10.1182/blood-2005-10-014258.
Supported in part by grant FE 597/1-1 from the Deutsche Forschungsgemeinschaft (L.Q.-M., F.F.).
L.Q.-M. designed and performed research, analyzed data, and wrote the manuscript; S.P. performed research and analyzed data; C.M. performed research and contributed vital new reagents; M.K., M.R., T.D.-H., N.A., A.M., and A.V. performed research; J.D. analyzed data and contributed vital new reagents; E.S.J. contributed cases and analyzed data; F.F. analyzed data and contributed to the design and writing of the manuscript; and M.R. designed research, analyzed data, and wrote the manuscript.
The publication costs of this article were defrayed in part by page charge payment. Therefore, and solely to indicate this fact, this article is hereby marked “advertisement” in accordance with 18 U.S.C. section 1734.
We thank Daniela Angermeier for assistance with Western blot analysis, and we thank Jacqueline Müller, Elenore Samson, and Thomas Fountaine III and the staff at the Immunohistochemistry Unit of the Laboratory of Pathology, National Cancer Institute, for assistance with the immunohistochemical stains.





This feature is available to Subscribers Only
Sign In or Create an Account Close Modal