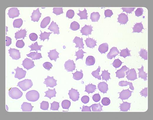
Acanthocytes are red cells that have a spherical core and a spiculated appearance. A typical acanthocyte lacks central pallor and has from 3 to 12 “spikes” or “knobs.” They can be seen in advanced liver disease (where they are referred to as spur cells), abetalipoproteinemia, and, occasionally, after splenectomy.
Peter Maslak, Memorial Sloan-Kettering Cancer Center
Acanthocytes are red cells that have a spherical core and a spiculated appearance. A typical acanthocyte lacks central pallor and has from 3 to 12 “spikes” or “knobs.” They can be seen in advanced liver disease (where they are referred to as spur cells), abetalipoproteinemia, and, occasionally, after splenectomy.
Peter Maslak, Memorial Sloan-Kettering Cancer Center
Many Blood Work images are provided by the ASH IMAGE BANK, a reference and teaching tool that is continually updated with new atlas images and images of case studies. For more information or to contribute to the Image Bank, visit www.ashimagebank.org.

This feature is available to Subscribers Only
Sign In or Create an Account Close Modal