Abstract
Scientific background: Increasing evidence points to the crucial role of malignant lymphoma interaction with the tumor microenvironment. Our previous investigations indicated that the stromal cytokine activin A induces apoptotic death of myeloma cells due to its antagonism with the growth promoting effect of interleukin-6. Activin A is a homodimer of the ßA inhibin polypeptide chain. Like other transforming growth factor (TGF)ß superfamily members, it is a pleiotropic molecule, which is widely expressed. It has initially been studied in the reproductive system, but has also been implicated in the regulation of hemopoiesis; it is an erythroid differentiation factor and is expressed within the bone marrow microenvironment. Activin A functions are tightly regulated by the competitive inhibitor inhibin A (a heterodimer, /ßA) and the binding inhibitors, follistatins. We previously showed that abundance of activin A was restrictive for B cell production in vitro and that within human nasal polyps activin A expression was widespread but absent from foci of B lineage cells. We were therefore interested to find out whether activin A plays a role in the occurrence of BM (bone marrow) involvement in malignant lymphomas.
Materials and methods: The patient population consisted of 17 patients with lymphoma and 3 patients without lymphoma served as controls. Paraffin embedded sections were prepared and immunohistochemical staining was performed using an antibody to the bA chain. The slides were reviewed by team of 5 investigators and graded separately.
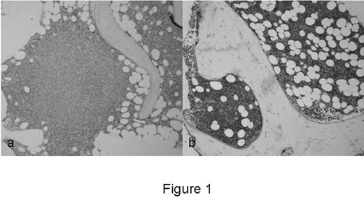
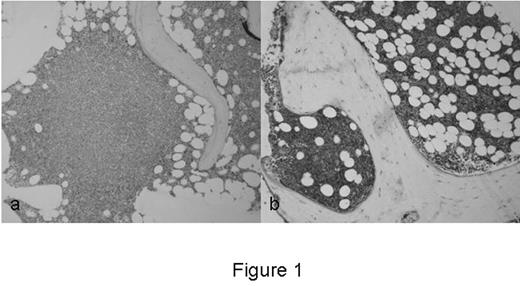
Results: Out of 17 lymphoma cases, 10 patients showed BM involvement. In patients with BM involvement the level of activin A was significantly decreased in the area surrounding the lymphoid infiltrate (Fig 1a). This was seen uniformly in all the patients except for one. The level of activin A in the rest of the BM was similar to the level seen in specimens of reactive BM. In all 7 patients that had no BM involvement we found a diffuse staining for activin A (similar to what we saw in patients with reactive BM) (Fig.1b).
Discussion: It is interesting that only some of the patients with malignant lymphomas have BM involvement. This could stem from a difference in the migratory abilities of the lymphoid cells, which is unlikely, or from a difference in their ability to home and flourish in the BM microenvironment. We have demonstrated that activin A, is significantly down regulated in the vicinity of the lymphoid infiltrate in the BM, as opposed to what occurs in normal inflammatory BM. This suggests that an interaction between the lymphoma cell and the BM microenvironment leads to down-regulation of activin A expression and possibly promotes the survival of the lymphoid cells.
low power view of activin staining in the vicinity of the involved BM (a) and uninvolved BM (b).
low power view of activin staining in the vicinity of the involved BM (a) and uninvolved BM (b).
Author notes
Corresponding author

This feature is available to Subscribers Only
Sign In or Create an Account Close Modal