Abstract
Introduction
Intravenous gamma globulin (IVIG) has been shown to modulate immune cytopenia through FcγRIIb in a murine model (1). There are conflicting results from the studies on the protein expression of the FcγRIIb. In that murine model, there is increase in FcγRIIb positive splenocytes following IVIG treatment (1). Yet, in patients with Kawasaki disease, flow cytometric analysis of peripheral CD14+ mononuclear cells shows no change in FcγRIIb expression (2). To study the effect of IVIG on the RNA expression of FcγIIB, we performed RT-PCR using monocytes collected from three healthy volunteers. The monocytes were harvested using a magnetic separation method. The purified monocytes were then cultured with IVIG in vitro.
Methods
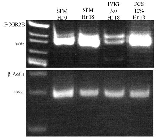
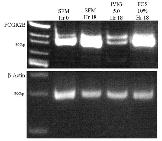
Peripheral blood mononuclear cells (PBMC) from three healthy donors were isolated from heparin anticoagulated blood by Ficoll-Hypaque density separation. The PBMC were washed and the monocytes were isolated using anti-CD14 magnetic bead positive selection. In the first set of experiments, purified monocytes were cultured at 37°C, 0.5% CO2 in media containing 10% fetal calf serum (FCS) (control) and in the same media containing IVIG (0.5 mg/mL and 5.0 mg/mL). In the second set of experiemnts, purified monocytes were cultured at 37°C, 0.5% CO2 in serum free medium (SFM), in SFM containing IVIG (5.0 mg/mL), and in SFM containing 10% FCS. Monocytes were harvested from the culture flasks after an 18-hour incubation. Isolated monocytes were lyzed and the total RNA was extracted with TRIzol reagent according to the manufacturer’s protocol. One μg of RNA was used to generate first strand complimentary DNA using oligo-dT and Superscript II reverse transcriptase. Amplitaq Gold DNA polymerase was used to PCR-amplify FCGR2B cDNA. PCR amplification was performed using 5 μL of cDNA and 1 μM each of an FCGR2B-specific primer pair (3) in a total volume of 50 μL. The PCR products were evaluated using 10% polyacylamide gel electrophoresis.
Results
There was no change in FCGR2B expression when purified monocytes were incubated with either 0.5 mg/mL or 5mg/mL IVIG for 18 hours (n=3) (Fig1).
However, there was a demonstrable increase in FCGR2B expression when monocytes were cultured in the presence of FCS (Fig2).
Conclusion
IVIG does not directly modulate monocyte FCGR2B gene transcription.
References
Author notes
Corresponding author


This feature is available to Subscribers Only
Sign In or Create an Account Close Modal