Abstract
To investigate whether altered megakaryocyte morphology contributes to reduced platelet production in idiopathic thrombocytopenic purpura (ITP), ultrastructural analysis of megakaryocytes was performed in 11 ITP patients. Ultrastructural abnormalities compatible with (para-)apoptosis were present in 78% ± 14% of ITP megakaryocytes, which could be reversed by in vivo treatment with prednisone and intravenous immunoglobulin. Immunohistochemistry of bone marrow biopsies of ITP patients with extensive apoptosis showed an increased number of megakaryocytes with activated caspase-3 compared with normal (28% ± 4% versus 0%). No difference, however, was observed in the number of bone marrow megakaryocyte colony-forming units (ITP, 118 ± 93/105 bone marrow cells; versus controls, 128 ± 101/105 bone marrow cells; P = .7). To demonstrate that circulating antibodies might affect megakaryocytes, suspension cultures of CD34+ cells were performed with ITP or normal plasma. Morphology compatible with (para-)apoptosis could be induced in cultured megakaryocytes with ITP plasma (2 of 10 samples positive for antiplatelet autoantibodies). Finally, the plasma glycocalicin index, a parameter of platelet and megakaryocyte destruction, was increased in ITP (57 ± 70 versus 0.7 ± 0.2; P = .009) and correlated with the proportion of megakaryocytes showing (para-) apoptotic ultrastructure (P = .02; r = 0.7). In conclusion, most ITP megakaryocytes show ultrastructural features of (para-) apoptosis, probably due to action of factors present in ITP plasma.
Introduction
Idiopathic, or immune, thrombocytopenic purpura (ITP) is an autoimmune disease characterized by isolated thrombocytopenia in an otherwise healthy person. The thrombocytopenia in ITP is caused by accelerated platelet destruction due to the action of antiplatelet immunoglobulin G (IgG) autoantibodies that bind to antigens on the platelet cell membrane. The platelets are subsequently destroyed by tissue macrophages, predominantly in the spleen.1 As a result of the accelerated destruction, platelet survival is usually greatly shortened and platelet production is thought to be compensatorily increased.2,3 However, there is also evidence that platelet production can be impaired in ITP. This was demonstrated in platelet kinetic studies using radiolabeled platelets.4-6 The reduced platelet production rate might be mediated by the action of antiplatelet antibodies, which can bind to megakaryocytes in the bone marrow.7-9 Recent in vitro studies support this concept showing that human megakaryocyte colony formation and proplatelet formation is inhibited10 and that a reduced expansion of megakaryocytic progenitors can be observed especially in the presence of certain antiplatelet glycoprotein antibodies.11 However, despite the evidence of a reduced platelet production in several ITP patients, numbers of megakaryocytes in the bone marrow are usually normal or increased.6 This is compatible with the finding that plasma thrombopoietin (TPO) levels in ITP patients are not significantly different from healthy controls, indicating that the total megakaryocytic mass has not been changed in ITP. Investigating the relationship between thrombokinetic parameters and the glycocalicin index (GCI), a parameter of platelet destruction,12 we recently demonstrated that there is an inverse correlation between the platelet production rate and the GCI.13 These results suggest that despite the normal number of megakaryocytes in the bone marrow an increased destruction of platelets and/or megakaryocytes might occur. These findings support the concept of ineffective thrombopoiesis in the bone marrow. To investigate whether apoptosis or other forms of programmed cell death are responsible for this ineffective thrombopoiesis, we examined the ultrastructure of bone marrow megakaryocytes from ITP patients with electron microscopy. The results demonstrate that, independent of the refractoriness of ITP to therapy, in all patients most bone marrow megakaryocytes are extensively damaged, showing ultrastructural abnormalities of apoptosis and para-apoptosis.
Patients, materials, and methods
Patients
Eleven adult patients with ITP were investigated. The diagnosis required that an otherwise healthy person, after history, physical examination, complete blood count, and examination of the peripheral blood smear, had an isolated thrombocytopenia (platelets less than 100 × 109/L) of undetermined etiology. Patients with associated systemic disease, such as human immunodeficiency virus infection or systemic lupus erythematosus, were excluded. The University Hospital Groningen's institutional review board approved the study protocol, and all patients gave informed consent.
Light microscopy of the bone marrow megakaryocytes
In all patients bone marrow was aspirated from the sternum or posterior superior iliac spine and stained according to Giemsa. Normal bone marrow was obtained from nonhematologic patients undergoing cardiac surgery after informed consent. The number of megakaryocytes was rated as normal (1 megakaryocyte per 1 to 3 low-power fields [16 × objective]), increased (more than 2 megakaryocytes per low-power field), or decreased (1 megakaryocyte per 5 to 10 low-power fields).6 Megakaryocyte morphology was studied with a 100 × objective.
Electron microscopy of bone marrow megakaryocytes
Fresh bone marrow cells were washed in RPMI 1640 (BioWhittaker Europe, Verviers, Belgium), pelleted, and subsequently fixed in 2% glutaraldehyde in 0.1 M phosphate buffer for 24 hours at 4°C. Cells were dehydrated, osmicated, and embedded in Epon 812 according to routine procedures. Semithin sections (1 to 0.5 μm) were inspected light microscopically to select megakaryocytes. To examine the ultrastructure in detail and to identify the developmental stage of the morphologically recognizable megakaryocytes (stage I, II, or III megakaryocyte), electron microscopic (Philips 201, Philips, Eindhoven, The Netherlands) analysis was performed. The major criteria for classifying megakaryocytes into different stages are the quality and quantity of cytoplasm and the size, lobulation, and chromatin pattern of the nucleus. The immature, or stage I, megakaryocyte (megakaryoblast) is characterized by a large round, indented, or bilobed nucleus, prominent nucleoli and cytoplasm containing scattered mitochondria, abundant free ribosomes, variable amounts of rough endoplasmic reticulum (RER), a small Golgi complex, a few α-granules, and rudiments of the demarcation membrane system (DMS). The maturing, or stage II, megakaryocyte (promegakaryocyte) contains a lobulated nucleus with gradually condensed chromatin. Comparing with stage I the Golgi complex enlarges, the RER increases, the DMS penetrates the entire cytoplasm, and the number of granules increases. Stage III, or mature, megakaryocytes are very large cells (40 to 56 μm) in which the nucleus is pushed to one pole of the cell, nucleoli are absent, and granular cytoplasm is abundant. The well-developed DMS divides the cytoplasm into platelet fields. The Golgi complex and RER are greatly reduced.14
A total of 30 megakaryocytes per sample were examined.
Ultrastructural characteristics of apoptosis and para-apoptosis
The ultrastructure of megakaryocytes was examined for the presence of apoptotic and para-apoptotic cell death.
Ultrastructurally apoptosis is characterized by margination of condensed chromatin, nuclear fragmentation, and the formation of apoptotic bodies.15
Para-apoptosis, or nonclassical apoptosis, is a specific morphologic type of non-necrotic cell death16-18 and is characterized by cytoplasmic vacuolization, condensed chromatin (but not early margination of the chromatin), and swollen mitochondria. Characteristics of apoptosis like surface blebbing and the formation of apoptotic bodies do not appear.
Immunohistochemistry
To identify apoptosis in megakaryocytes, immunohistochemical staining was performed with an antibody aimed at detecting activated caspase-3 as previously reported.19 For immunohistochemical staining, serial 3-μm–thick sections were cut from paraffin-embedded bone marrow biopsies. After deparaffinization in xylene, antigen retrieval was performed using microwave heating at 700 W for 10 minutes in EDTA (ethylenediaminetetraacetic acid) buffer. Following blocking of endogenous peroxidase with 3% hydrogen peroxide for 30 minutes, the primary antibody was applied for 1 hour at room temperature. To identify activated caspase-3, immunostaining was used with a rabbit polyclonal antibody (1:100; New England Biolabs, Beverly MA). Subsequently, the slides were incubated for 30 minutes with appropriate secondary and tertiary antibodies with streptavidin-conjugated peroxidase (DAKO, Glostrup, Denmark). Peroxidase activity was visualized with diaminobenzidine. Slides were counterstained with hematoxylin. As a positive control, a sample of colorectal carcinoma was included. As negative controls, slides were immunostained in the absence of the primary antibody. Evaluation of extension of staining was performed by light microscopy. Slides were evaluated by at least 2 independent investigators. If the evaluations did not agree, they were reevaluated under a multiheaded microscope. Samples were scored as negative (ie, absence of detectable cytoplasmic staining) or positive. A total of 30 megakaryocytes per sample were examined.
Megakaryocyte progenitor cell assay
Megakaryocyte colony-forming units (CFU-Mks) were evaluated quantitatively using a commercially available kit (MegaCult-C; StemCell Technologies, Vancouver, BC, Canada), according to manufacturer's instructions. In short, 1 × 105 mononuclear bone marrow cells from ITP patients and healthy controls were seeded per double chamber culture slide in serum-free medium containing thrombopoietin (TPO; 50 ng/mL), interleukin-3 (IL-3; 10 ng/mL), IL-6 (10 ng/mL), and collagen (1.1 mg/mL). Cultures were incubated for 12 days, followed by dehydration, fixation, and immunocytochemical staining on slides. Megakaryocyte colonies were detected using antiglycoprotein IIb/IIIa (anti-GPIIb/IIIa) antibody (CD41) and the alkaline phosphatase (APAAP) detection system. Cultures were scored for the presence of pure megakaryocytic colonies consisting of at least 5 nucleated cells expressing GPIIb/IIIa without any negatively stained cells (mixed and non-Mk colonies). Colonies were divided into megakaryocyte progenitors with low proliferative capacity, when colonies contained 5 to 20 megakaryocytes, and progenitors with high proliferative capacity, when CFU-Mks contained more than 20 megakaryocytes per colony.20
Isolation of CD34+ cells
Peripheral blood cells were obtained from leukapheresis samples of a patient undergoing autologous peripheral blood stem cell mobilization after informed consent. Cells were collected by apheresis during the regeneration phase after high-dose cyclophosphamide in the presence of granulocyte colony-stimulating factor (G-CSF) in patients with multiple myeloma. CD34+ cells were isolated by positive selection using Isolex-300 (Baxter, Deerfield, IL) magnetic cell-sorting system according to manufacturer's instructions. At the end of the procedure, CD34+ cell purity was reanalyzed by flow cytometry using anti–HPCA-2 and was more than 90%.
Suspension cultures
Purified normal CD34+ cells were seeded at 2 × 105 cells per milliliter in liquid serum-free expansion medium (StemSpan SFEM, Stem Cell Technologies) plus growth factors (TPO 20 ng/mL and stem cell factor [SCF] 10 ng/mL) in 24-well plates (Costar, Cambridge, MA). Cultures were performed for 7 and 12 days in the presence of 10% plasma from ITP patients, 10% plasma from healthy controls, and without plasma. All cultures were performed at 37°C under a 5% CO2 in air–humidified atmosphere. Viable cells were evaluated by trypan blue exclusion, and cell counts were determined using a hemocytometer.
Antiplatelet antibody detection
A commercially available enzyme-linked immunosorbent assay (ELISA; PakAuto, GTI, Brookfield, WI) was used to detect antibodies reactive with GPIIb/IIIa, GPIb/IX, and GPIa/IIa in plasma of ITP patients according to manufacturer's instructions. Test results showing absorbance values equal to or greater than twice the value obtained for the mean of the negative controls were regarded as positive.
Plasma glycocalicin
Plasma glycocalicin (GC) concentrations were measured by enzyme immunoassay (EIA; Takara Shuzo, Ohtsu, Japan). Citrate-anticoagulated blood was processed within 2 hours after blood collection. Because GC levels are dependent on the platelet count, the GC index (GCI) was calculated by using the following formula: (GC [μg/mL] × [250 × 109/L])/individual platelet count (109/L).12,21 Normal value of the GCI is 0.7 ± 0.2.
Statistical analysis
Data are reported as mean ± SD. Differences between groups were calculated using the Mann-Whitney U test. Correlations were calculated using the Spearman rank correlation test. P values below .05 were considered significant.
Results
Patients
Eight female and 3 male patients with ITP were studied. Mean age was 34 ± 19 years. The mean platelet count at the time of study was 21 × 109/L ± 30 × 109/L. Eight patients (73%) had platelet counts below 15 × 109/L (Table 1). During the time of study no patients were on treatment. Four patients had undergone a splenectomy before they were studied.
Characteristics of ITP patients
. | . | . | Plt count, × 109/L . | . | Antiplatelet GP antibodies . | . | . | ||
|---|---|---|---|---|---|---|---|---|---|
| Patient no. . | Age, y . | Sex . | . | GCI . | GPIIb/IIIa . | GPIa/IIa . | GPIb/IX . | ||
| 1 | 37 | F | 80 | 3 | Negative | Negative | Negative | ||
| 2 | 22 | F | 2 | 226 | Positive | Positive | Positive | ||
| 3 | 20 | F | 4 | 68 | Negative | Negative | Negative | ||
| 4 | 19 | M | 4 | 84 | Negative | Negative | Negative | ||
| 5 | 28 | M | 9 | 21 | Negative | Negative | Negative | ||
| 6 | 63 | F | 12 | 13 | Negative | Negative | Negative | ||
| 7 | 13 | F | 5 | 54 | Negative | Negative | Negative | ||
| 8 | 41 | F | 10 | ND | ND | ND | ND | ||
| 9 | 17 | F | 5 | 47 | Positive | Negative | Negative | ||
| 10 | 47 | F | 80 | 3 | Negative | Negative | Negative | ||
| 11 | 69 | M | 20 | 11 | Negative | Negative | Negative | ||
. | . | . | Plt count, × 109/L . | . | Antiplatelet GP antibodies . | . | . | ||
|---|---|---|---|---|---|---|---|---|---|
| Patient no. . | Age, y . | Sex . | . | GCI . | GPIIb/IIIa . | GPIa/IIa . | GPIb/IX . | ||
| 1 | 37 | F | 80 | 3 | Negative | Negative | Negative | ||
| 2 | 22 | F | 2 | 226 | Positive | Positive | Positive | ||
| 3 | 20 | F | 4 | 68 | Negative | Negative | Negative | ||
| 4 | 19 | M | 4 | 84 | Negative | Negative | Negative | ||
| 5 | 28 | M | 9 | 21 | Negative | Negative | Negative | ||
| 6 | 63 | F | 12 | 13 | Negative | Negative | Negative | ||
| 7 | 13 | F | 5 | 54 | Negative | Negative | Negative | ||
| 8 | 41 | F | 10 | ND | ND | ND | ND | ||
| 9 | 17 | F | 5 | 47 | Positive | Negative | Negative | ||
| 10 | 47 | F | 80 | 3 | Negative | Negative | Negative | ||
| 11 | 69 | M | 20 | 11 | Negative | Negative | Negative | ||
Normal values: platelet count, 150 × 109/L to 350 × 109/L; GCI, 0.7 ± 0.2.
Plt indicates platelet; GCI, glycocalicin index; GP, glycoprotein; F, female; M, male; and ND, not determined.
Light microscopy of bone marrow megakaryocytes
Eight patients (73%) had an increased number and 3 patients a normal number of megakaryocytes in the bone marrow. In smears made from bone marrow aspirates for clinical use no abnormalities were found in megakaryocyte morphology.
Electron microscopy and immunohistochemistry of bone marrow megakaryocytes
ITP patients versus healthy controls. Electron microscopic study of bone marrow megakaryocytes of ITP patients and healthy controls demonstrated that the percentage of stage III (mature) megakaryocytes was significantly decreased in ITP patients (n = 11) (48% ±21%) compared with healthy controls (n = 4) (72% ± 11%; P = .05) The percentage of stage I (immature) megakaryocytes in ITP patients was not significantly different from controls (12% ± 6% versus 11% ± 7%; P = .8), while stage II (maturing) megakaryocytes were significantly increased in ITP patients compared with controls (40% ± 19% versus 17% ± 5%; P = .02).
Ultrastructural examination of megakaryocytes in all ITP patients showed extensive damage in 37% ± 37% of stage I, 65% ± 37% of stage II, and 84% ± 16% of stage III megakaryocytes (Figure 1). Of all stages together, 78% ± 14% were morphologically abnormal. The morphologic alterations consisted primarily of cytoplasmic vacuolization due to mitochondrial swelling and distended demarcation membrane system (DMS), and chromatin condensation within the nucleus, without margination of the chromatin, all ultrastructural features of para-apoptisis. Megakaryocytes showing these abnormalities all had an intact, mostly thickened, peripheral zone, which did not seem to contain any functional cellular material (ie, organelles or DMS). Continuity between the extracellular space and the DMS was only very rarely observed. The cytoplasm of these damaged cells lacked platelet territories. Practically all abnormal but none of the normal ITP megakaryocytes were surrounded by neutrophils or macrophages, some being in a state of phagocytosis (Figure 2B).
Percentage of damaged ITP megakaryocytes in different stages of differentiation. Significantly more stage III (mature) megakaryocytes than stage I (immature) megakaryocytes showed the characteristic ultrastructural features of (para-)apoptosis. Data presented as mean ± SD.
Percentage of damaged ITP megakaryocytes in different stages of differentiation. Significantly more stage III (mature) megakaryocytes than stage I (immature) megakaryocytes showed the characteristic ultrastructural features of (para-)apoptosis. Data presented as mean ± SD.
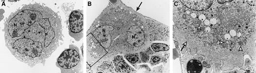
Ultrastructure of normal and ITP megakaryocytes. (A) Normal megakaryoblast (stage I megakaryocyte) showing a lobulated nucleus (N). In the cytoplasm, characteristic demarcation membrane system (asterisks) and normal mitochondria (arrowheads) can be found. Original magnification, × 3000. (B) Megakaryoblast of an ITP patient in the process of para-apoptosis; N indicates nucleus. The cell has an intact enlarged peripheral margin (large arrow). Original magnification, × 4500. (C) This inset of panel B shows a higher magnification with mitochondria, some of which are slightly swollen (open arrowheads) and others which have completely collapsed cristae, which appear as empty vacuoles (asterisks). The enlarged peripheral margin in the cytoplasm is free of organelles (open arrow). Original magnification, × 15 000.
Ultrastructure of normal and ITP megakaryocytes. (A) Normal megakaryoblast (stage I megakaryocyte) showing a lobulated nucleus (N). In the cytoplasm, characteristic demarcation membrane system (asterisks) and normal mitochondria (arrowheads) can be found. Original magnification, × 3000. (B) Megakaryoblast of an ITP patient in the process of para-apoptosis; N indicates nucleus. The cell has an intact enlarged peripheral margin (large arrow). Original magnification, × 4500. (C) This inset of panel B shows a higher magnification with mitochondria, some of which are slightly swollen (open arrowheads) and others which have completely collapsed cristae, which appear as empty vacuoles (asterisks). The enlarged peripheral margin in the cytoplasm is free of organelles (open arrow). Original magnification, × 15 000.
Most ultrastructural alterations in damaged ITP megakaryocytes consisted of characteristics of para-apoptosis. Morphologic features of apoptosis were observed in 4 of 11 ITP patients and only in stage III megakaryocytes (Figure 3B). Of stage III megakaryocytes, 62% ± 31% showed ultrastructural features of apoptosis, 31% ± 31% of para-apoptosis, while 7% ± 8% were morphologically normal. In these 4 patients, all stage I and most stage II megakaryocytes were morphologically intact (15% to 20% of stage II megakaryocytes showing features of para-apoptosis).
Ultrastructure of megakaryocytes in healthy control and ITP. (A) Mature megakaryocyte (stage III) from a healthy donor, showing the characteristic ultrastructure. The right panel shows a higher magnification of intact mitochondria (arrowheads) and a normal demarcation pattern. Original magnification, × 3000 (left panel); and × 18 000 (right panel). (B) Mature megakaryocyte of an ITP patient showing apoptotic characteristics. The right panel shows a detail of the nuclear fragmentation (arrow) and chromatin condensation to the margins of the nucleus (arrowheads). The cells shown in panels B-C are taken at a higher magnification than those in panel A. The shrinkage of the cells and rounding up has reduced cellular volume considerably. Original magnification, × 7000 (left panel); and × 18 000 (right panel). (C) Mature megakaryocyte of another ITP patient showing ultrastructural features of para-apoptosis. In the inset details are shown of cytoplasmic vacuolization, partly as a result of swollen mitochondria (arrowheads), dilation of endoplasmic reticulum, and dilation of the demarcation membrane system. The thick, enlarged peripheral margin (open arrow) in the cytoplasm lacks organelles. Original magnification, × 7000 (left panel); and × 18 000 (right panel). N indicates nucleus.
Ultrastructure of megakaryocytes in healthy control and ITP. (A) Mature megakaryocyte (stage III) from a healthy donor, showing the characteristic ultrastructure. The right panel shows a higher magnification of intact mitochondria (arrowheads) and a normal demarcation pattern. Original magnification, × 3000 (left panel); and × 18 000 (right panel). (B) Mature megakaryocyte of an ITP patient showing apoptotic characteristics. The right panel shows a detail of the nuclear fragmentation (arrow) and chromatin condensation to the margins of the nucleus (arrowheads). The cells shown in panels B-C are taken at a higher magnification than those in panel A. The shrinkage of the cells and rounding up has reduced cellular volume considerably. Original magnification, × 7000 (left panel); and × 18 000 (right panel). (C) Mature megakaryocyte of another ITP patient showing ultrastructural features of para-apoptosis. In the inset details are shown of cytoplasmic vacuolization, partly as a result of swollen mitochondria (arrowheads), dilation of endoplasmic reticulum, and dilation of the demarcation membrane system. The thick, enlarged peripheral margin (open arrow) in the cytoplasm lacks organelles. Original magnification, × 7000 (left panel); and × 18 000 (right panel). N indicates nucleus.
In more than 90% of the abnormal megakaryocyes all ultrastructural characteristics of apoptosis and para-apoptosis were found. The amount and type of alterations in the megakaryocytes were not correlated with the platelet count.
To confirm the process of apoptosis, immunohistochemical staining for activated caspase-3 was performed on bone marrow biopsies from ITP patients (n = 2, nos. 6 and 10; Table 1) whose megakaryocytes showed ultrastructurally prominent morphologic features of apoptosis. A total of 25% and 30% of the megakaryocytes of these ITP patients were positive for activated caspase-3, while megakaryocytes of bone marrow biopsies from healthy controls (n = 4) were negative (Figure 4).
Immunohistochemical detection of activated caspase-3 in ITP megakaryocytes. (A) Normal bone marrow megakaryocytes are negative for activated caspase-3. Some neutrophil granulocytes are positive (arrows). (B-C) Megakaryocytes of 2 ITP patients with extensive ultrastructural features of apoptosis are shown. These megakaryocytes stain positive for activated caspase-3. Original magnification, × 400.
Immunohistochemical detection of activated caspase-3 in ITP megakaryocytes. (A) Normal bone marrow megakaryocytes are negative for activated caspase-3. Some neutrophil granulocytes are positive (arrows). (B-C) Megakaryocytes of 2 ITP patients with extensive ultrastructural features of apoptosis are shown. These megakaryocytes stain positive for activated caspase-3. Original magnification, × 400.
ITP patients before and after treatment. In 2 patients the effects of prednisone or high-dose immunoglobulin could be analyzed. In the first patient the bone marrow aspiration was repeated 2 weeks after start of prednisone treatment. In this period the platelet count had significantly increased to 120 × 109/L. Ultrastructural examination of this bone marrow sample demonstrated a distinct reduction in the number of megakaryocytes showing programmed cell death (in stage I/II from 100% to 55%, in stage III megakaryocytes from 100% to 61%). The percentage of stage III megakaryocytes increased from 20% to 26%. In the second patient bone marrow examination was repeated after high-dose intravenous immunoglobulin therapy, which resulted in an increase in platelet count from 20 × 109/L to 160 × 109/L. The percentage of stage III megakaryocytes increased from 20% to 43%, which coincided with a diminished number of damaged megakaryocytes (in stage I/II from 80% to 35%, in stage III megakaryocytes from 50% to 23%).
Quantification of megakaryocyte progenitor cells
In view of the observed abnormalities in immature megakaryocytes, we were interested in whether this was also reflected at progenitor level—that is, a reduced number of megakaryocyte progenitors (CFU-Mks). The total number of CFU-Mks per 105 bone marrow cells in ITP was not significantly different from healthy controls (n = 10) (118 ± 93 versus 128 ± 101; P = .7). In addition, there was no significant difference in the number of progenitors with low and high proliferative capacity between ITP and normal control bone marrow (P = .7 and .9, respectively).
Megakaryocytes derived from CD34+ cells after incubation with normal and ITP plasma
To investigate whether normal megakaryocytopoiesis can be influenced by factors in ITP plasma, normal CD34+ cells were incubated with 10% plasma from 3 ITP patients (nos. 1, 2, and 10; Table 1) and 3 healthy controls and cultured for 7 and 12 days in serum-free medium containing TPO and SCF. After 7 days of incubation with ITP or normal plasma, electron microscopy of the suspension cultures showed only immature megakaryocytes without abnormalities. After 12 days of culture, similar cytoplasmic and nuclear alterations as observed in the ITP megakaryocytes were seen in 60% ± 14% of the megakaryocytes derived from incubation with ITP plasma (42% ± 23% with apoptotic and 18% ± 9% with para-apoptotic ultrastructure). Ninety percent of megakaryocytes incubated with normal plasma were morphologically normal, and ultrastructural features of para-apoptosis were not observed.
Antiplatelet antibodies
Plasma from 2 of 10 patients tested positive for the presence of antiplatelet antibodies (Table 1). Plasma used for incubation studies was derived from patient nos. 1, 2, and 10. The plasma from patient no. 2 tested positive for antibodies reactive with GPIIb/IIIa, GPIb/IX, and GPIa/IIa. In the plasma of the other 2 patients, test results for antibodies were negative.
Plasma GCI
GCI in ITP patients (n = 10) was significantly increased compared with healthy controls (n = 16) (57 ± 70 versus 0.7 ± 0.2; P = .009) (Table 1). There was a significant correlation between the GCI and the proportion of ITP megakaryocytes with morphologic features of (para-)apoptosis (P = .02; r = 0.7) (Figure 5).
Correlation between percentage of damaged megakaryocytes and glycocalicin index (GCI). The GCI is significantly correlated with the proportion of megakaryocytes showing morphologic features of (para-)apoptosis (P = .02; r = 0.7).
Correlation between percentage of damaged megakaryocytes and glycocalicin index (GCI). The GCI is significantly correlated with the proportion of megakaryocytes showing morphologic features of (para-)apoptosis (P = .02; r = 0.7).
Discussion
In the present study extensive ultrastructural alterations in megakaryocytes from ITP patients are described. Previous studies on megakaryocyte morphology and ultrastructure in ITP show conflicting results. Earlier light microscopic observations showed megakaryocytes with degenerative characteristics and greatly reduced platelet production, although the number of megakaryocytes was increased in ITP patients compared with healthy controls.22 Ultrastructural studies of megakaryocytes in ITP showed results varying from moderate vacuolization, deficient formation of demarcation membrane system (DMS), and invaginations in the peripheral membrane23 to practically normal morphology of megakaryocytes.24,25 Stahl et al26 found that 50% to 75% of the ultrastructurally examined megakaryocytes from 4 ITP patients had extensive damage, with marked dilation of the DMS and a disrupted peripheral zone. ITP megakaryocytes with an intact peripheral zone did not show any morphologic alterations. The present investigation, however, reveals ITP megakaryocytes with extensive abnormalities within an intact and often thickened peripheral zone. These cells are all surrounded by neutrophils and macrophages, suggesting an inflammatory response against these megakaryocytes.
The ultrastructural alterations observed in the present study are compatible with the morphologic criteria for apoptosis and paraapoptosis. Para-apoptosis, first described by Asher et al,16 is characterized by condensed chromatin and cytoplasmic vacualization due to swollen mitochondria and endoplasmic reticulum. In contrast to necrosis there is no cell membrane disruption. Recently, Sperandio et al defined a form of para-apoptosis (which they called paraptosis) with similar ultrastructure by cellular characteristics and response to apoptosis inhibitors.18 They found that this form of nonapoptotic cell death is TUNEL (terminal deoxynucleotidyl transferase-mediated nick-end labeling)–negative and resistant to caspase inhibitors and Bcl-xL and is driven by a catalytic mutant of caspase-9 that is APAF-1 independent.
In our study about 80% of mature (stage III) megakaryocytes, in which most of the platelet production occurs, showed ultrastructural features of apoptosis and para-apoptosis. Significantly fewer stage I megakaryocytes showed morphologic alterations, indicating that immature megakaryocytes are less affected by (para-)apoptotic cell death. This is further supported by the finding that the total number of CFU-Mks in our ITP patients was not significantly different from normal. Previous studies on the number of CFU-Mks in chronic ITP showed conflicting results, depending on the assay that was used, the stage (acute or chronic) of the disease, and the refractoriness of the ITP to therapy. Several authors27,28 found a significant increase in number of CFU-Mks in chronic ITP patients. Others29,30 reported a reduced number of CFU-Mks in chronic ITP. The present group of ITP patients was heterogeneous, consisting of patients responding to prednisone and splenectomy and patients with recurrent disease after splenectomy.
Morphologic changes compatible with (para-)apoptosis similar to those found in megakaryocytes from ITP patients could be induced in normal CD34+ cells that were cultured to megakaryocytes in the presence of ITP plasma. The data from these incubation studies are consistent with earlier phase-contrast microscopic studies of ITP megakaryocytes in which cytoplasmic vacuolization, loss of granularity, and lack of platelet release were observed. In these studies the morphologic alterations in the megakaryocytes could be reproduced in vivo by infusing healthy controls with ITP plasma.31 The results suggest that the defect in ITP is not only at the level of platelets but also at the level of megakaryocytes. This is further supported by the finding that during successful treatment with prednisone the number of damaged megakaryocytes decreases. Suprisingly, this was also the case in an ITP patient treated with intravenous immunoglobulin, indicating that this treatment not only protects peripheral blood platelets from destruction by macrophages but might also protect megakaryocytes against destruction by bone marrow macrophages. A possible explanation for this finding could be a reduced concentration of antiplatelet antibodies, because recent observations in a rat model of immune thrombocytopenia showed that intravenous immunoglobulin administration can lead to increased clearance of an antiplatelet antibody.32 Because antiplatelet antibodies bind to antigens present on the surface of megakaryocytes,8 it is likely that this interaction plays an important role in initiating the cascade of programmed cell death. However, in only 20% of ITP patients' plasma were antiplatelet antibodies detected. This may in part be due to the limited sensitivity of the ELISA test for detecting antiplatelet autoantibodies. Previous studies, however, have also demonstrated a low frequency of free circulating autoantibodies,33 suggesting that alternative mechanisms for initiating cell death are of importance, including the release of cytokines.34
The presence of extensive ultrastructural abnormalities in megakaryocytes indicates that ITP is essentially different from other autoimmune cytopenias such as autoimmune hemolytic anemia (AIHA). In contrast to AIHA, which presents in practically all cases with clear erythroid hyperplasia,35,36 bone marrow examination in ITP shows normal numbers of megakaryocytes in a large number of patients,37 suggesting that ITP megakaryocytes might be affected contrary to erythroid precursors in AIHA. Only a small proportion of AIHA patients has reticulocytopenia, which is associated with an increased apoptosis of erythroid progenitors in the bone marrow.38
In a recent study6 megakaryocyte levels were normal in 65% of 141 ITP patients and increased in only 33%. Twenty-four percent had an increased platelet production rate (PPR; ie, the number of platelets entering the circulation), and only 8% had an increased PPR in conjunction with an increased number of megakaryocytes. Moreover, there are many reports about a reduced PPR in a subgroup (30% to 50%) of ITP patients.4,5,6,39,40 Experiments in which thrombokinetic studies were repeated after splenectomy and prednisone treatment showed that both forms of treatment can induce a distinct increase in PPR,41 indicating that the release of platelets to the circulation (ie, PPR) in active ITP is relatively depressed, perhaps due to the action of autoantibodies directed against megakaryocytes.
Besides the results of reduced platelet production in platelet kinetic studies, the present study gives additional evidence for reduced platelet production by injured megakaryocytes. In a recent study13 we observed a significant inverse correlation between the PPR and the glycocalicin index (GCI) in ITP patients. The GCI is used as a parameter of platelet destruction. A low PPR is associated with an elevated GCI. These findings reflect an increased release of GPIb complex in the circulation, as a result of shedding of the receptor complex from megakaryocytes and/or platelets destructed in the bone marrow. In the present data a significant correlation was observed between the percentage of megakaryocytes in programmed cell death and the GCI, underscoring the view that the low PPR in ITP might be due to an increase in (para-)apoptosis of platelet-producing megakaryocytes.
In summary, the present study demonstrates that in ITP patients a large majority of morphologically recognizable megakaryocytes show ultrastructural alterations compatible with (para-)apoptosis, which can be mimicked by incubating normal differentiated CD34+ cells with ITP plasma.
Supported by a grant from the J.K. de Cock Stichting.
The publication costs of this article were defrayed in part by page charge payment. Therefore, and solely to indicate this fact, this article is hereby marked “advertisement” in accordance with 18 U.S.C. section 1734.
Prepublished online as Blood First Edition Paper, September 11, 2003; DOI 10.1182/blood-2003-01-0275.
We are grateful to Nynke Zwart, Department of Pathology, University Hospital Groningen, The Netherlands, for performing immunohistochemistry. We thank Drs Vrugt, pathologist (Martini Hospital), and Rosati, pathologist (University Hospital Groningen) for providing bone marrow samples and for critically reviewing the bone marrow slides.





This feature is available to Subscribers Only
Sign In or Create an Account Close Modal