Peter Maslak and Susan McKenzie, Memorial Sloan-Kettering Cancer Center
Peter Maslak and Susan McKenzie, Memorial Sloan-Kettering Cancer Center
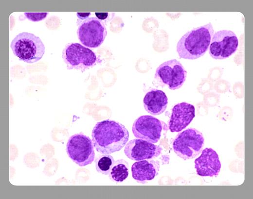
Bone marrow aspirate from a patient with chronic myelomonocytic leukemia (CMML). Note the extensive proliferation of immature and mature monocytes. CMML is variably classified as a form of myelodysplastic syndrome (MDS) or a form of myeloproliferative disease, depending on whether dysplasia or proliferation is prominent.
Copyright © 2003 by The American Society of Hematology
2003

This feature is available to Subscribers Only
Sign In or Create an Account Close Modal