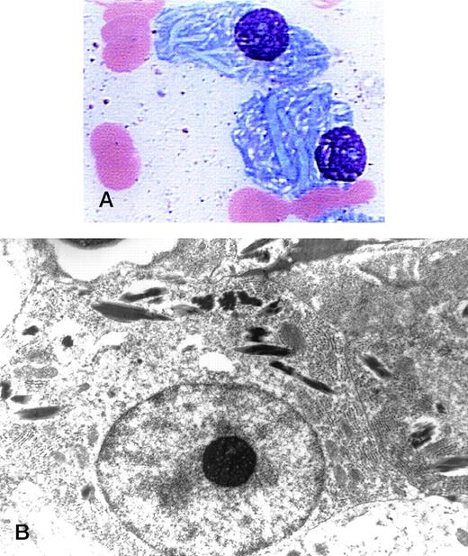
Crystalloid cytoplasmic inclusions in myeloma marrow. A 70-year-old woman was diagnosed with indolent multiple myeloma (IgG, kappa) in 1994. She had been followed without treatment, but recently developed mild azotemia. Bone marrow examination revealed 17% plasmacytosis. The light (original magnification × 1,000) and electron (original magnification × 13,680) microscopic photographs of marrow plasma cells showed crescent-like cytoplasmic inclusions. The patient had low serum bicarbonate and uric acid levels as well as elevated urine lysozyme. These findings suggested an acquired Fanconi syndrome that has been reported in association with deposition of crystallized immunoglobulin light chain in the proximal tubular cells of the kidney. Costanza and Smoller (Am J Med 34:125, 1963) presented the first electron micrographs of renal proximal tubules from a myeloma patient with the acquired Fanconi syndrome. Cytoplasmic inclusions similar to those above were present in the plasma cells and kidney of their patient. (Courtesy of Sabrina D. Phillips, MD, Joseph T. Newman, PhD, and Marvin J. Stone, MD, Baylor-Sammons Cancer Center, Dallas, TX.)
Crystalloid cytoplasmic inclusions in myeloma marrow. A 70-year-old woman was diagnosed with indolent multiple myeloma (IgG, kappa) in 1994. She had been followed without treatment, but recently developed mild azotemia. Bone marrow examination revealed 17% plasmacytosis. The light (original magnification × 1,000) and electron (original magnification × 13,680) microscopic photographs of marrow plasma cells showed crescent-like cytoplasmic inclusions. The patient had low serum bicarbonate and uric acid levels as well as elevated urine lysozyme. These findings suggested an acquired Fanconi syndrome that has been reported in association with deposition of crystallized immunoglobulin light chain in the proximal tubular cells of the kidney. Costanza and Smoller (Am J Med 34:125, 1963) presented the first electron micrographs of renal proximal tubules from a myeloma patient with the acquired Fanconi syndrome. Cytoplasmic inclusions similar to those above were present in the plasma cells and kidney of their patient. (Courtesy of Sabrina D. Phillips, MD, Joseph T. Newman, PhD, and Marvin J. Stone, MD, Baylor-Sammons Cancer Center, Dallas, TX.)
