The combined use of retinoic acid and chemotherapy has led to an important improvement of cure rates in acute promyelocytic leukemia. Retinoic acid forces terminal maturation of the malignant cells and this application represents the first generally accepted differentiation-based therapy in leukemia. Unfortunately, similar approaches have failed in other types of hematological malignancies suggesting that the applicability is limited to this specific subgroup of patients. This has been endorsed by the notorious lack of response in acute promyelocytic leukemia bearing the variant t(11;17) translocation. Based on the reported synergistic effects of retinoic acid and the hematopoietic growth factor granulocyte colony-stimulating factor (G-CSF), we studied maturation of t(11;17) positive leukemia cells using several combinations of retinoic acid and growth factors. In cultures with retinoic acid or G-CSF the leukemic cells did not differentiate into mature granulocytes, but striking granulocytic differentiation occurred with the combination of both agents. At relapse, the patient was treated with retinoic acid and G-CSF before reinduction chemotherapy. With retinoic acid and G-CSF treatment alone, complete granulocytic maturation of the leukemic cells occurred in vivo, followed by a complete cytogenetical and hematological remission. Bone marrow and blood became negative in fluorescense in situ hybridization analysis and semi-quantitative polymerase chain reaction showed a profound reduction of promyelocytic leukemia zinc finger–retinoic acid receptor- fusion transcripts. This shows that t(11;17) positive leukemia cells are not intrinsically resistant to retinoic acid, provided that the proper costimulus is administered. These observations may encourage the investigation of combinations of all-trans retinoic acid and hematopoietic growth factors in other types of leukemia.
IN MORE THAN 95% of the cases of acute promyelocytic leukemia (APL) a balanced t(15;17)(q22;q21) chromosome translocation is present that fuses the promyelocytic leukemia (PML) and retinoic acid receptor-α (RARα) genes.1-7 The resulting PML-RARα fusion protein is implicated in the leukemic transformation of the cells in a dominant fashion.5-14 APL cells respond to treatment with the vitamin A derivative all-trans retinoic acid (ATRA) with terminal granulocytic differentiation followed by cell death, and treatment with ATRA alone may induce complete remissions in more than 80% of the cases.15-18 Remissions induced with ATRA alone are short-lived, but combination of ATRA with chemotherapy has improved durable disease-free survival up to 75%.19,20 The additive value of ATRA and chemotherapy probably reflects the disparate modes of action of maturation induction and cytotoxic treatment. Unfortunately, as yet, similar approaches have failed in other types of leukemia. Even in cases of APL bearing the variant t(11;17)(q23;q21) translocation, which represents a fusion of the RARα gene to another gene named promyelocytic leukemia zinc finger (PLZF),21 treatment with ATRA does not induce terminal differentiation, and complete remissions cannot be achieved with ATRA alone.22,23 Although one patient has been reported with a good response on ATRA and one course of chemotherapy,24 t(11;17) positive leukemia is generally considered to have a poor prognosis. Interestingly, the patient that responded well to therapy24 was randomized to receive G-CSF at completion of chemotherapy, and a role for G-CSF can therefore not be excluded in this case.
In vitro studies have shown that induction of differentiation of PML-RARα–positive cells by ATRA can be enhanced when G-CSF is applied as a costimulus.25 26 The basis of this synergistic effect is not known and because treatment with ATRA alone is sufficient to induce granulocytic maturation in t(15;17) positive leukemia, the combination of ATRA and G-CSF has not been extensively examined clinically. Here, we present a patient with a t(11;17)-positive APL whom we evaluated to determine if the combined use of ATRA and G-CSF could overcome the maturation block of the leukemic cells.
MATERIALS AND METHODS
Case report.
A 31-year-old man was referred with a white blood cell (WBC) count of 69 × 109/L, 128 × 109/L platelets and a hemoglobin (Hb) of 5.4 mmol/L. The bone marrow and blood contained more than 90% leukemic cells that varied morphologically from promyelocytes to metamyelocytes. Several leukemic cells contained multiple small, bright red granules, sometimes together with more basophilic larger granules; other cells were hypogranulated. Auer rods were frequently observed, either as single rods or as bundles, and cells with pseudo-Pelger nuclei were present. The immunophenotype of the cells was CD13+, CD33+, myeloperoxidase+, CD14−, CD15−, CD34−, CD117−, TdT−, and HLA−DR−. A diagnosis of acute myeloid leukemia (AML)-M3 was made according to the French-American-British-classification.27 Treatment with ATRA (45 mg/m2/d) was initiated, but was discontinued at day 7 when cytogenetic analysis showed a t(11;17)(q23;q21) chromosomal translocation that was confirmed by fluorescence in situ hybridization (FISH). Three cycles of chemotherapy were applied according to the AML-29 protocol of the Dutch-Belgian Hematology-Oncology Group (HOVON) and the Swiss Cancer Leukemia Group (SAKK). The first cycle consisted of cytosine-arabinoside (Ara-C) (200 mg/m2/d per continuous infusion for 7 days) and idarubicin (12 mg/m2 bolus infusion on days 5 through 7). The second cycle consisted of Ara-C (1,000 mg/m2, twice daily for 6 days) and amsacrine (120 mg/m2/d on day 3 through 5). The third cycle consisted of etoposide (100 mg/m2/d for 5 days) and mitoxantrone (10 mg/m2/d for 5 days). The leukemia did not respond to the first cycle, but following the second cycle, the patient entered a complete hematological and cytogenetic remission. In addition, the bone marrow and blood became polymerase chain reaction (PCR)-negative for the PLZF-RARα fusion transcript. After the third cycle of chemotherapy, the patient remained in an unmaintained complete remission for 11 months when he presented with a medullary relapse. The bone marrow contained 20% leukemic cells, the WBC count was 3.7 × 109/L with no apparent leukemic cells in the differential count, platelets were 95 × 109/L and the Hb value was 8.8 mmol/L. At this time, cytogenetic analysis of a bone marrow sample showed 1 among 50 metaphases to be t(11;17)(q23;q21)-positive. Interphase FISH showed 15% t(11;17) positive cells in the bone marrow, whereas the number in the peripheral blood was not above background (4%). Reinduction treatment was started with a combination of ATRA and G-CSF following informed consent, before chemotherapy.
In vitro proliferation and differentiation.
At first presentation, fresh leukemic cells were obtained from the blood (containing more than 90% leukemia cells) by Ficoll-Isopaque (Amersham Pharmacia Biotech AB, Uppsala, Sweden) density centrifugation (density = 1.077). Cells were washed and kept at 37°C in a completely humidified 5% CO2 atmosphere in RPMI-1640 medium (GIBCO, Paisley, UK) supplemented with 2 mmol/L glutamine (GIBCO) and 10% fetal calf serum (FCS; GIBCO). For differentiation studies, cells were cultured in this medium supplemented with either 10−6 mol/L ATRA (Sigma, St Louis, MO), 0.1 μg/mL G-CSF (Amgen, Thousand Oaks, CA), or a combination of ATRA and G-CSF. At several time points, cell numbers were counted and cytospin preparations were made for cytological examination.
PCR analysis.
The breakpoint in the PLZF and RARα genes in the leukemic cells was determined by sequencing of a PCR fragment generated with PLZF and RARα specific primers. The breakpoint was located in the fourth intron of the PLZF and the second intron of the RARα gene. For follow-up monitoring, a more sensitive nested reverse transcription (RT)-PCR was developed both for PLZF-RARα and RARα-PLZF amplification. Reverse cDNA transcription was performed on CsCl-cushion purified RNA, and nested PCR was performed with two times 30 cycles of 1 minute at 94°C, 1 minute at 46°C, and 1 minute at 72°C in 2.0 mmol/L MgCl2 buffer. PLZF-RARα transcripts were amplified with oligonucleotides 5′GGA GCC AAC TCT GGC TGG G3′ and 5′CAT GTT CTT CTG GAT GCT GC3′ for the first PCR and 5′TCG GAG AGC AGT GCA GCG TG3′ and 5′GGC GCT GAC CCC ATA GTG GT3′ for the nested PCR. For RARα-PLZF, oligonucleotides 5′GGC CAG CAA CAG CAG CTC CT3′ and 5′TTT GAG AGC CGT GTG GCT G3′ were used for the first PCR and 5′GGT GCC TCC CTA CGC CTT CT3′ and 5′TGC GCT CTG CGC CTG GAAG C3′ for the nested PCR. The sensitivity of the PLZF-RARα PCR was 1 positive cell in 104 negative cells, and the sensitivity of the RARα-PLZF RT-PCR was 1 positive cell in 105 negative cells as assessed with serial dilutions of t(11;17) leukemic cells with t(11;17)-negative NB4 cells. To verify proper RNA isolation and reverse transcription, a parallel PCR was performed on each sample using primers specific for the nonrearranged RARα transcripts (5′CAG CAC CAG CTT CCA GTT AG3′ and 5′GGC GCT GAC CCC ATA GTG GT3′). PCR products were separated on 1.5% agarose gels and their identity was confirmed in Southern blots using radiolabeled oligonucleotide probes spanning the PLZF-RARα and RARα-PLZF breakpoints.
FISH analysis.
The numbers of leukemic cells in sequential bone marrow and blood samples were also monitored by FISH analysis of interphase nuclei. After incubation with biotin and digoxigenin-labeled cosmid probes of the RARα and NCAM genes (kindly provided by Dr F. Birg, Institut Paoli-Calmettes, Marseilles, France), slides were incubated with fluorescein-isothiocyanate (FITC) and Texas red-conjugated secondary antibodies (Boehringer, Mannheim, Germany). Nuclei were visualized with 4,6 diamidino-2-phenylindole (DAPI; Sigma). The presence of the t(11;17) was visible as a fusion spot formed by the colocalization of red and green signals. The background, which represents the percentage of signal colocalization in cells without the t(11;17) translocation, was maximally 5% as determined on bone marrow and blood samples from 10 non-t(11;17) positive acute leukemia patients (mean = 2.7% ± 1.8, range = 0% to 5%), 16 patients with myelodysplastic syndrome (mean = 1.6% ± 1.2, range = 0% to 4%), and 5 healthy donors (mean = 0.72% ± 0.9 range = 0% to 2%).
RESULTS
In vitro proliferation and differentiation.
To test the in vitro response of the t(11;17)-positive leukemia cells to ATRA and G-CSF, nucleated cells were isolated from the blood at first diagnosis, containing more than 90% leukemic cells. The cells were cultured in medium supplemented with G-CSF (0.1 μg/mL), ATRA (10−6 mol/L), or G-CSF and ATRA. In medium alone and in cultures with G-CSF, cell numbers doubled over a 7-day period, whereas in cultures with ATRA or ATRA and G-CSF, no significant increase of cell numbers was observed (Fig 1). Cytospin preparations from the same cultures showed that the cells incubated in medium remained promyelocytic throughout the culture period (14 days), while cells cultured with G-CSF or ATRA showed some differentiation toward metamyelocytes (Fig2, Table1). The limited differentiation in response to ATRA is in concordance with previous reports22 23 and confirms the insensitivity of the t(11;17) positive leukemia cells to ATRA. Strikingly, after 1 week of culture with the combination of ATRA and G-CSF, the majority of the cells showed complete differentiation with nuclear segmentation, frequently in association with prominent Auer rods (Fig 2E and Table 1). The complete differentiation of the t(11;17)-positive cells raised the question of whether the combination of ATRA and G-CSF could be of clinical use in case of a relapse.
Proliferation of t(11;17)-positive leukemia cells in response to G-CSF and ATRA. Mononuclear cells, consisting of more than 90% of leukemic cells, were isolated from the peripheral blood at first diagnosis. Cells were cultured at 2 × 105 cells/mL with medium alone, G-CSF (0.1 μg/mL), ATRA (10−6mol/L), or with a combination of ATRA and G-CSF. At the indicated times cell numbers were counted. Values represent the mean of triplicate measurements.
Proliferation of t(11;17)-positive leukemia cells in response to G-CSF and ATRA. Mononuclear cells, consisting of more than 90% of leukemic cells, were isolated from the peripheral blood at first diagnosis. Cells were cultured at 2 × 105 cells/mL with medium alone, G-CSF (0.1 μg/mL), ATRA (10−6mol/L), or with a combination of ATRA and G-CSF. At the indicated times cell numbers were counted. Values represent the mean of triplicate measurements.
Morphology of t(11;17) positive leukemia cells cultured with G-CSF and ATRA. Mononuclear cells, consisting of more than 90% of leukemic cells, were isolated from the blood at first diagnosis and cultured under various conditions for up to 14 days. Cytospins were made after various time intervals and stained with May-Grünwald-Giemsa. Depicted are uncultured cells (A) and cells that were grown for 1 week in medium (B), 10−6 mol/L ATRA (C), 0.1 μg/mL G-CSF (D), and ATRA and G-CSF (E).
Morphology of t(11;17) positive leukemia cells cultured with G-CSF and ATRA. Mononuclear cells, consisting of more than 90% of leukemic cells, were isolated from the blood at first diagnosis and cultured under various conditions for up to 14 days. Cytospins were made after various time intervals and stained with May-Grünwald-Giemsa. Depicted are uncultured cells (A) and cells that were grown for 1 week in medium (B), 10−6 mol/L ATRA (C), 0.1 μg/mL G-CSF (D), and ATRA and G-CSF (E).
Treatment of relapse with G-CSF and ATRA.
Because of the in vitro differentiation of the leukemic cells in response to ATRA and G-CSF, treatment with the combination of both agents was applied before reinduction chemotherapy at the time of a relapse at 14 months after presentation.
To evaluate a potential stimulatory effect of ATRA and G-CSF on clonogenic leukemia growth, bone marrow mononuclear cells obtained at relapse (containing 15% FISH-positive leukemia cells) were cultured in methylcellulose with titrated amounts of G-CSF (0 to 100 ng/mL), in the presence and absence of ATRA (10−6 mol/L). In cultures with G-CSF, colony formation by the bone marrow cells was similar to the number of colonies in cultures of bone marrow cells from healthy donors. In cultures with ATRA and G-CSF, colony numbers were considerably lower than in cultures with G-CSF alone (data not shown). Thus the addition of G-CSF and ATRA did not stimulate detectable clonogenic leukemia growth in vitro.
Treatment with a combination of ATRA (45 mg/m2/d) and G-CSF (5 μg/kg/d) was started (Fig 3). After 2 days the WBC count began to rise, reaching 55 × 109/L at day 5 (Fig 3A). At this time, the G-CSF treatment was interrupted, but ATRA treatment was maintained. The WBC count continued to rise for 2 additional days, and then rapidly declined. At day 9, G-CSF treatment was restarted at a 10-fold lower dose (0.5 μg/kg/d). Cell numbers continued to decrease to below 10 × 109/L at day 16, and the dose of G-CSF was adjusted to 1 μg/kg/d. Subsequently, the WBC counts stabilized at 10 to 15 × 109/L. Cytological examination showed a transient appearance of promyelocytes in the blood from day 4, which peaked at day 6 and had disappeared by day 11 (Fig3B). More mature (meta)myelocytes appeared after day 5, peaked at day 7 and normalized after day 14. The number of mature granulocytes was elevated from day 4 to day 15 with peak levels around day 11 of treatment. A normal differential was seen on day 14 and beyond. Platelet counts dropped from 124 to 80 × 109/L between days 1 and 18, but subsequently rose to stabilize at around 200 × 109/L, concurrently with the disappearance of t(11;17) FISH-positive cells from bone marrow and blood (Fig 3A, Table2). The Hb gradually dropped from 8.8 mmol/L before treatment to 6.5 to 7.0 at day 22, and subsequently stabilized at 7.5 to 8.0 mmol/L from day 25 (not shown).
Peripheral blood counts during ATRA plus G-CSF treatment. During ATRA and G-CSF treatment, platelet and WBC counts were determined (A). Cytological differentiation of peripheral blood smears was assessed daily. The percentage of promyelocytes, (meta)myelocytes, band cells, and segmented granulocytes was scored. From the total WBC counts, the absolute numbers of cells with the various stages of differentiation was calculated (B). The treatment regimen is indicated at the bottom.
Peripheral blood counts during ATRA plus G-CSF treatment. During ATRA and G-CSF treatment, platelet and WBC counts were determined (A). Cytological differentiation of peripheral blood smears was assessed daily. The percentage of promyelocytes, (meta)myelocytes, band cells, and segmented granulocytes was scored. From the total WBC counts, the absolute numbers of cells with the various stages of differentiation was calculated (B). The treatment regimen is indicated at the bottom.
Monitoring of leukemic cells in marrow and blood during ATRA and G-CSF treatment.
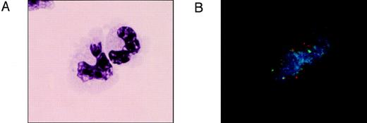
At day 7, when the WBC count peaked, t(11;17) interphase FISH became positive in 20% of the peripheral blood cells. Because the bone marrow showed 15% FISH-positive cells before treatment (Table 2), and the peripheral blood values at that time were below background (4%), this suggested that the treatment with ATRA and G-CSF had mobilized both normal and malignant cells from the bone marrow to the blood. Sequential bone marrow samples analyzed by FISH showed 12% t(11;17) positive cells at day 5 and 10% positive cells at day 12. Subsequent values at days 15 to 39 were below background. Interestingly, at day 12, FISH-positivity was seen predominantly in cells with segmented nuclei (visualized by DAPI-staining), indicative of granulocytic differentiation of t(11;17) positive leukemia cells. To document this, concurrent FISH and morphological staining28 of the same cytospin slides was performed and FISH-positive cells were shown to be morphologically mature granulocytes (Fig 4). This provides further evidence for the in vivo maturation of leukemia cells. Because of the limited sensitivity of FISH, residual leukemia was also monitored with semi-quantitative RT-PCR using the leukemia-specific PLZF-RARα fusion transcript as a target (Fig 5). PLZF-RARα expression before ATRA and G-CSF treatment was high in bone marrow (Fig5A), and barely detectable in peripheral blood cells (Fig 5B). The levels of PLZF-RARα expression in bone marrow gradually dropped and became undetectable after 8 weeks of treatment (Fig 5A). In peripheral blood, PLZF-RARα expression initially rose concomitantly with the leukocytosis, probably because of the mobilization of leukemic cells to the blood, but subsequently became negative along with the maturation and disappearance of t(11;17) FISH-positive cells (Fig 5B). To see whether the expression of the reverse fusion transcript followed the same pattern, we also performed RT-PCR for the RARα-PLZF transcript (Fig 5C and D). Similar to PLZF-RARα, the expression of RARα-PLZF in the bone marrow continued to drop throughout the treatment (Fig5C), whereas the expression in the peripheral blood cells was downregulated after an initial increment during leukocytosis (Fig 5D). Interestingly, both in the bone marrow and in the peripheral blood, the disappearance of RARα-PLZF transcripts went slower than PLZF-RARα suggesting that the expression level of both fusion transcripts was influenced differentially by the treatment. The cytological, FISH, and RT-PCR data are all consistent with a transient phase of mobilization of normal and leukemic cells from the bone marrow to the peripheral blood, followed by maturation and disappearance of the malignant cells, compatible with a complete hematological and partial molecular remission following treatment with G-CSF and ATRA.
In vivo maturation of t(11;17) FISH-positive leukemia cells. Twelve days after initiation of ATRA and G-CSF treatment, FISH-positive cells in bone marrow and blood predominantly showed segmented nuclei (as visualized by DAPI staining) indicative of granulocytic differentiation of the leukemic cells. To establish the morphology of the FISH-positive cells, slides were stained with May-Grünwald-Giemsa (A). The same fields were photographed after hybridization of the slides with labeled FISH probes (B) to obtain dual morphological and FISH staining. The t(11;17) translocation is indicated by the colocalization of red and green signals.
In vivo maturation of t(11;17) FISH-positive leukemia cells. Twelve days after initiation of ATRA and G-CSF treatment, FISH-positive cells in bone marrow and blood predominantly showed segmented nuclei (as visualized by DAPI staining) indicative of granulocytic differentiation of the leukemic cells. To establish the morphology of the FISH-positive cells, slides were stained with May-Grünwald-Giemsa (A). The same fields were photographed after hybridization of the slides with labeled FISH probes (B) to obtain dual morphological and FISH staining. The t(11;17) translocation is indicated by the colocalization of red and green signals.
PLZF-RAR and RAR-PLZF expression in bone marrow and blood cells during ATRA and G-CSF treatment. RNA from sequential bone marrow (A and C) and peripheral blood samples (B and D) was obtained and RT-PCR for PLZF-RAR (A and B) or RAR-PLZF (C and D) fusion transcripts was performed. Transcripts were quantified by serial, 10-fold dilutions of the patient cells in t(11;17)-negative cells, and subsequent RNA isolation and RT-PCR. The dilution at which amplification of the transcript is lost indicates the abundance of the fusion transcript. For each sample, an undiluted and five 10-fold dilutions were processed (left to right). Numbers indicate days before (negative numbers) or after the start of treatment. In addition to sequential samples taken at the time of relapse, a sample from the initial first diagnosis was analyzed. To verify proper RNA isolation and reverse transcription, a control amplification was performed on each sample using primers that are specific for unrearranged RAR transcripts (not shown). For uniformity, RNA isolation, reverse transcription, and PCR was performed on all samples at the same time. The specificity of the amplification was confirmed by Southern blotting and hybridization with oligonucleotide probes spanning the respective fusion points (not shown). Data are representative of 3 independent experiments.
PLZF-RAR and RAR-PLZF expression in bone marrow and blood cells during ATRA and G-CSF treatment. RNA from sequential bone marrow (A and C) and peripheral blood samples (B and D) was obtained and RT-PCR for PLZF-RAR (A and B) or RAR-PLZF (C and D) fusion transcripts was performed. Transcripts were quantified by serial, 10-fold dilutions of the patient cells in t(11;17)-negative cells, and subsequent RNA isolation and RT-PCR. The dilution at which amplification of the transcript is lost indicates the abundance of the fusion transcript. For each sample, an undiluted and five 10-fold dilutions were processed (left to right). Numbers indicate days before (negative numbers) or after the start of treatment. In addition to sequential samples taken at the time of relapse, a sample from the initial first diagnosis was analyzed. To verify proper RNA isolation and reverse transcription, a control amplification was performed on each sample using primers that are specific for unrearranged RAR transcripts (not shown). For uniformity, RNA isolation, reverse transcription, and PCR was performed on all samples at the same time. The specificity of the amplification was confirmed by Southern blotting and hybridization with oligonucleotide probes spanning the respective fusion points (not shown). Data are representative of 3 independent experiments.
Subsequent clinical course.
After 46 days of treatment, reappearance of FISH-positivity (4% above background) was seen in the bone marrow indicating that the response had been transient (Table 2). Notably, at that time, very low to undetectable PLZF-RARα and RARα-PLZF expression levels were measured (Fig 5). Apparently, therapy-resistant leukemia cells emerged with a very low expression of both fusion transcripts. At day 54 chemotherapy was started and after allogeneic bone marrow transplantation the patient now remains in complete remission for more than 12 months, with no detectable FISH or PCR signals in bone marrow or blood.
DISCUSSION
The application of retinoic acid to the treatment of t(15;17) positive acute promyelocytic leukemia has established that induction of differentiation can be a valuable means of tumor cell eradication. The additive effect of retinoic acid and cytotoxic treatment on durable disease-free survival is probably the result of the targeting of different biological processes by both forms of treatment. So far, therapeutic approaches based on maturation-induction have failed in other types of leukemia, suggesting that the applicability of this type of treatment might be limited to patients with acute promyelocytic leukemia with PML-RARα gene fusions.
This report shows that induction of terminal differentiation and a subsequent complete clinical and partial molecular remission may be obtained with retinoic acid in t(11;17) positive leukemia, provided that G-CSF is applied as a costimulus. In t(15;17) positive leukemia, addition of G-CSF is not required for ATRA-induced differentiation and complete remission induction. However, a role for G-CSF cannot be ruled out, as ATRA induces the expression of both G-CSF and the G-CSF receptor in these cells,25 26 which might result in autocrine stimulation.
Retinoid receptors are ligand-dependent transcription factors that directly regulate the expression of target genes by binding to their regulatory DNA-sequences. Which target genes initiate the granulocytic differentiation program in the malignant cells is not well known. Recent studies have provided a mechanism by which the PML-RARα and PLZF-RARα fusion proteins may deregulate the expression of target genes.29-32 Unliganded retinoic acid receptors inhibit gene expression by recruiting corepressor proteins like N-CoR or SMRT and histone deacetylase to the DNA. This results in histone deacetylation and silencing of the expression of target genes. Upon ligand binding, the corepressor complex is released and replaced by a coactivator protein complex with histone acetylation activity, on which transcription is activated. The release of corepressor proteins from the PML-RARα fusion protein was shown to require higher doses of ligand when compared with the unrearranged RARα receptor, explaining why pharmacological doses are needed to induce differentiation of t(15;17)-positive leukemia cells. Interestingly, retinoic acid was unable to completely release the corepressor proteins from the PLZF-RARα fusion protein because of a second binding site for corepressor proteins in the PLZF part of the fusion protein, which is not sensitive to retinoic acid. This explains the insensitivity of t(11;17)-positive leukemia to retinoic acid. The synergistic action of ATRA and G-CSF reported here could be explained if activation of G-CSF receptor signaling would lead to the release of corepressor proteins from the PLZF part of the PLZF-RARα fusion protein. This hypothesis is currently being tested.
The effect of ATRA and G-CSF described in this report was significant because it was characterized by a complete hematological and cytogenetical response, a partial molecular response with normalization of bone-marrow morphology and recovery from thrombocytopenia toward normal platelet values. The response was transient, as FISH-positive cells reappeared in the bone marrow after 7 weeks of treatment. In analogy, treatment of t(15;17)-positive leukemia with ATRA alone does generally not render the patients PCR-negative for PML-RARα and does not induce durable remissions. The observed downregulation of both the PLZF-RARα and the RARα-PLZF fusion transcripts in the reappearing leukemia suggests a selective pressure during treatment for low expression of both fusion transcripts. This might suggest that both fusion transcripts play a role in conferring the differentiation signal by ATRA and G-CSF. In addition, these results indicate that both PLZF-RARα and RARα-PLZF were dispensable for the transformed phenotype of the reappearing leukemia cells, possibly because of extra genetic alterations in the resistant cells. The relapse within 7 weeks suggests that a shorter period of ATRA and G-CSF treatment should be administered before chemotherapy is started, or that ATRA and G-CSF should be applied concomitantly with the chemotherapy. Although this approach should be confirmed in other t(11;17) positive leukemia patients, this report might warrant the investigation of combinations of ATRA with hematopoietic growth factors in other types of leukemia.
ACKNOWLEDGMENT
We thank Jacqueline Wijsman for help with the FISH experiments and Karola van Rooyen for help with the figures.
Supported by grants from the Dutch Cancer Society (M.R. and C.E.) and the Royal Netherlands Academy of Arts and Sciences KNAW (J.J.).
The publication costs of this article were defrayed in part by page charge payment. This article must therefore be hereby marked “advertisement” in accordance with 18 U.S.C. section 1734 solely to indicate this fact.
REFERENCES
Author notes
Address reprint requests to J.H. Jansen, PhD, Institute of Hematology Erasmus University Rotterdam, PO Box 1738, 3000 DR Rotterdam, The Netherlands; e-mail: jansen@hema.fgg.eur.nl.





