To the Editor:
Chromosome band 12p13 is known as a recurring site for cytogenetic alteration in a variety of hematological malignancies such as acute lymphocytic leukemia (ALL), acute myelogenous leukemia (AML), and myelodysplastic syndrome (MDS).1 Recently, the TEL gene has been shown to be involved in hematological malignancies with 12p13 aberration, most of which exhibit reciprocal translocation between 12p13 and various partner loci, including 3q26, 5q33, 9q34, 21q22, and 22q11. By 12p13 translocation, the TEL gene is disrupted and fused to its partner genes such as PDGFR-β,2 ABL,3 and AML-1.4 On the other hand, invesion 12 at p13 is a rare abnormality and only 9 cases (1 AML and 8 MDS) were reported previously.5-8 Whether the TEL gene is involved in this aberration has not been determined. We describe here an additional case of AML with inv(12)(p13q15) in which the rearrangement of the TEL gene was demonstrated by fluorescence in situ hybridization (FISH).
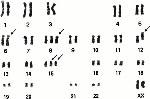
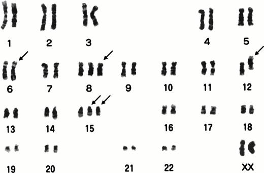
A 59-year-old woman was referred to our hospital because of marked leukocytosis associated with pharyngitis in April 1995. Until then, she had no history of abnormal hematological data in a routine check-up. On admission, hepatosplenomegaly was pointed out and her white blood cell count was 127 × 109/L with 90% of blasts, which were positive for myeloperoxidase and ASD-chrolo-acetate. The morphology of the blasts was compatible with FAB-M2. Surface markers were positive for CD33 and weakly positive for CD7, CD13, and HLA-DR. Bone marrow aspiration proved dry tap, but a biopsy specimen showed hypercellular marrow with diffuse and severe myelofibrosis. The karyotype analysis of peripheral blasts showed a main clone with 48 XX, add(6)(q27), +8, inv(12)(p13q15), add(15)(q25), +add(15)(q25) (Fig1). The patient was diagnosed as AML-M2 and then received two courses of induction therapy with behenoyl arabinosylcytosine, daunorubicin, 6-mercaptopurine, and prednisone, but could not achieve remission. The further salvage therapy with cytosine arabinoside, etoposide, predonisone, and mitoxantrone also resulted in treatment failure. She died of multiple organ failure in August 1995, and autopsy specimens disclosed massive infiltration of leukemia cells in spleen, liver, lungs, brain, kidneys, adrenal glands, stomach, colon, skin, pharynx, tonsil, and systemic lymph nodes.
G-banded karyotypes of a leukemia cell. Structurally abnormal or additional chromosomes are shown by arrows.
G-banded karyotypes of a leukemia cell. Structurally abnormal or additional chromosomes are shown by arrows.
Southern blot hybridization was performed on blast cells using two kinds of TEL cDNA probes corresponding to exon 2 and 3 of the gene,2,9 respectively. After EcoRI andHindIII digestion, the patient sample did not show any rearranged bands (data not shown). Next, FISH analysis was performed with a yeast artificial chromosome (YAC 964c10).1 Signal for this probe was split and found on 12q and 15q terminal, suggesting the presence of t(12;15)(p13;q25), which could not be detected using a conventional technique (Fig 2). However, no signal remained on 12p. Further analysis by FISH using cosmid probes 2G8 and 148B69 suggested that the 5′ portion of the TEL gene would be translocated to 15q and the 3′ portion to 12q (data not shown). Then, two novel fusion partners of the TEL gene are expected in the present case.
The mapping of YAC 964c10 (red) and cosmid D12Z3 (green) to a leukemia cell. The latter is a centromere probe for chromosome 12. The normal and rearranged chromosome 12 are indicated by an arrowhead and a large arrow, respectively. der(15) chromosome is identified with a short arrow. YAC 964c10 hybridized to the normal chromosome 12 and der(12) as well as to the der(15) chromosome. Signals on the der(12) are smaller than those on the other chromosomes
The mapping of YAC 964c10 (red) and cosmid D12Z3 (green) to a leukemia cell. The latter is a centromere probe for chromosome 12. The normal and rearranged chromosome 12 are indicated by an arrowhead and a large arrow, respectively. der(15) chromosome is identified with a short arrow. YAC 964c10 hybridized to the normal chromosome 12 and der(12) as well as to the der(15) chromosome. Signals on the der(12) are smaller than those on the other chromosomes

