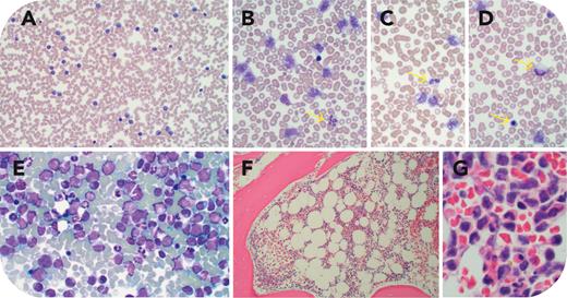
A 5-year-old girl with a history of atypical teratoid rhabdoid tumor (ATRT), chemotherapy, and radiation therapy developed anemia, thrombocytopenia, and progressive monocytosis within 1 year of treatment. Peripheral blood smear revealed anemia (hemoglobin: 9 g/dL), thrombocytopenia (platelets: 22 × 109/L), leukocytosis (white blood cells: 28.8 × 109/L), and monocytosis (19.9 × 109/L) with 69% mature monocytes, a neutrophil left shift, hypogranular neutrophils (arrows, including pseudo-Pelger-Huët cells), and a few nucleated red blood cells (arrows), (panel A, 20× objective, Wright-Giemsa stain; panels B-D, 40× objective, Wright-Giemsa stain). Bone marrow aspirate showed 9% blasts (including promonocytes) and 31.4% monocytes (panel E, 40× objective, Wright-Giemsa stain). Flow cytometry demonstrated aberrant CD56 expression on monocytes. The bone marrow was hypocellular (∼30%; panel F, 4× objective, hematoxylin and eosin stain; panel G, 100× objective, hematoxylin and eosin stain) with no evidence of ATRT. Abdominal ultrasound showed no splenomegaly. Comprehensive targeted next-generation sequencing (RNA, DNA, and copy number variant analysis) identified a somatic pathogenic KRAS variant, NM_004985.5:c.35G>A (p.Gly12Asp). Cytogenetics revealed a normal female karyotype: 46,XX[20].
Pediatric therapy-related myeloid neoplasms are rare, with a reported 20-year cumulative incidence of 0.7%. The absence of splenomegaly and older age of onset add to the diagnostic complexity, as these features are uncommon in typical juvenile myelomonocytic leukemia. Although pediatric therapy-related myeloid neoplasms are typically classified as myelodysplastic syndrome or acute myeloid leukemia, this case of therapy-related juvenile myelomonocytic leukemia is unusual and contributes to the limited understanding of this specific entity.
For additional images, visit the ASH Image Bank, a reference and teaching tool that is continually updated with new atlas and case study images. For more information, visit https://imagebank.hematology.org.
