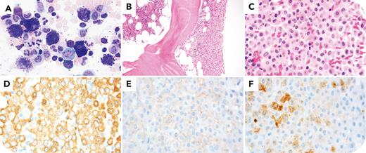
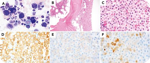
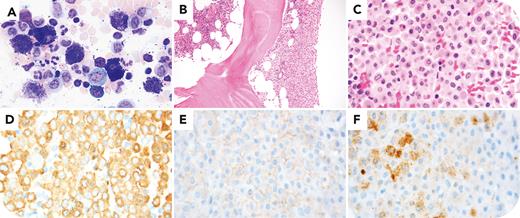
A 20-year-old man diagnosed with urticaria pigmentosa at age 2 presented with rising tryptase levels (89.2 ng/mL [normal < 11.5 ng/mL]) and increased episodes of flushing. Complete blood count results were within normal limits. A bone marrow evaluation was performed. The aspirate smear demonstrated increased mature appearing, round, and well-granulated mast cells (panel A, Wright-Giemsa stain, ×100 objective, ×1000 total magnification). The core biopsy showed normocellular marrow with multiple large aggregates of round mast cells (panel B, hematoxylin and eosin [H&E] stain, ×20 objective, ×200 total magnification; and panel C, H&E, ×100 objective, ×1000 total magnification). By immunohistochemistry, the mast cells were positive for tryptase (panel D; ×100 objective, ×1000 total magnification), CD30 (panel E; ×100 objective, ×1000 total magnification), and variable CD25 in minor subset (panel F; ×100 objective, ×1000 total magnification). Flow cytometry showed mast cells were negative for CD2. KIT D816V ASqPCR and Qiagen targeted myeloid NGS panel were negative. The findings met both fifth edition World Health Organization and International Consensus Classification criteria for indolent systemic mastocytosis, with features consistent with well-differentiated systemic mastocytosis (WDSM).
WDSM is a rare variant typically featuring round, mature appearing mast cells expressing CD30 and lacking strong positivity for CD2 and CD25. WDSM often presents at an early age with cutaneous involvement and can show familial clustering. WDSM typically lacks KIT D816V and other exon 17 mutations but may contain other rare KIT alterations.
For additional images, visit the ASH Image Bank, a reference and teaching tool that is continually updated with new atlas and case study images. For more information, visit http://imagebank.hematology.org.
