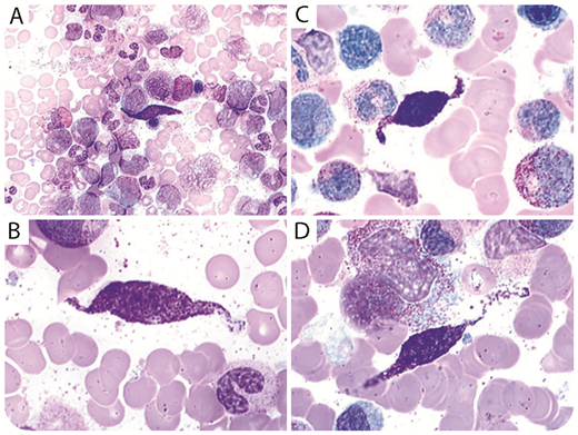
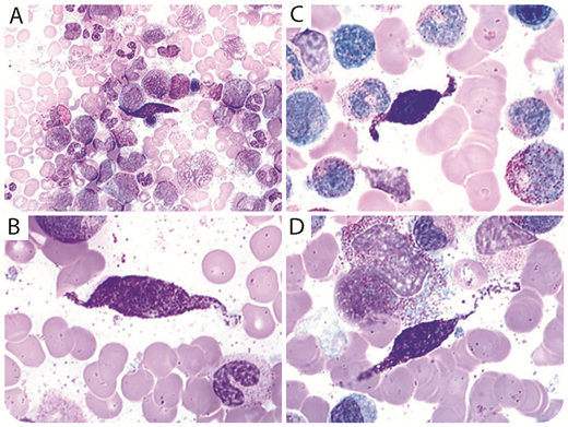
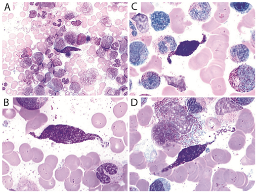
A 52-year-old man presented with persistent leukocytosis after cannabis and tobacco withdrawal. Blood count showed the following: hemoglobin, 130 g/L; leukocytes, 68 × 109/L; platelets, 138 × 109/L; neutrophils, 45 × 109/L; eosinophils, 1.4 × 109/L; and monocytes, 5.5 × 109/L. Neutrophils precursors accounted for 17% of leukocytes. The peripheral blood smear showed rare blast cells (<1%). Bone marrow smears revealed increased cellularity with excess of eosinophilic precursors (6%) and no excess of blast or dysgranulopoiesis (panel A; May-Grünwald-Giemsa stain, original magnification ×50). Interestingly, an infiltration by abnormal spindle-shaped mast cells was found (0.5%) (panels B-D; May-Grünwald-Giemsa stain, original magnification ×100). Conventional cytogenetic showed a rare t(5;12)(q33;p13) resulting in the ETV6-PDGFRB fusion gene confirmed by fluorescence in situ hybridization. The patient was diagnosed with myeloid neoplasm with eosinophilia and PDGFRB rearrangement.
PDGFRB-rearranged neoplasms result in a spectrum of morphological presentations that include myeloproliferative and myelodysplastic/myeloproliferative neoplasms and rarely acute myeloid leukemia. ETV6-PDGFRB fusion gene may be associated to eosinophilia and monocytosis. Presence of abnormal mast cells has been already reported in PDGFRA-rearranged neoplasms, but it is uncommon in PDGFRB rearrangement. The patient was treated with imatinib and achieved a complete hematologic remission after 1 month of treatment.
A 52-year-old man presented with persistent leukocytosis after cannabis and tobacco withdrawal. Blood count showed the following: hemoglobin, 130 g/L; leukocytes, 68 × 109/L; platelets, 138 × 109/L; neutrophils, 45 × 109/L; eosinophils, 1.4 × 109/L; and monocytes, 5.5 × 109/L. Neutrophils precursors accounted for 17% of leukocytes. The peripheral blood smear showed rare blast cells (<1%). Bone marrow smears revealed increased cellularity with excess of eosinophilic precursors (6%) and no excess of blast or dysgranulopoiesis (panel A; May-Grünwald-Giemsa stain, original magnification ×50). Interestingly, an infiltration by abnormal spindle-shaped mast cells was found (0.5%) (panels B-D; May-Grünwald-Giemsa stain, original magnification ×100). Conventional cytogenetic showed a rare t(5;12)(q33;p13) resulting in the ETV6-PDGFRB fusion gene confirmed by fluorescence in situ hybridization. The patient was diagnosed with myeloid neoplasm with eosinophilia and PDGFRB rearrangement.
PDGFRB-rearranged neoplasms result in a spectrum of morphological presentations that include myeloproliferative and myelodysplastic/myeloproliferative neoplasms and rarely acute myeloid leukemia. ETV6-PDGFRB fusion gene may be associated to eosinophilia and monocytosis. Presence of abnormal mast cells has been already reported in PDGFRA-rearranged neoplasms, but it is uncommon in PDGFRB rearrangement. The patient was treated with imatinib and achieved a complete hematologic remission after 1 month of treatment.
For additional images, visit the ASH Image Bank, a reference and teaching tool that is continually updated with new atlas and case study images. For more information, visit http://imagebank.hematology.org.

