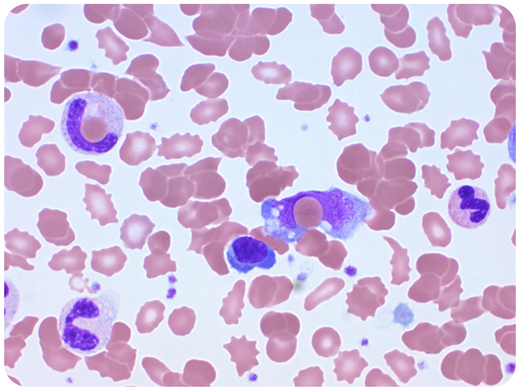
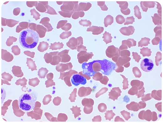
An 80-year-old man known to suffer from JAK2− essential thrombocytosis and idiopathic cold agglutinin disease (CAD) was admitted with community-acquired pneumonia, resulting in death. He was on α-interferon and had been given rituximab 3 years previously for his autoimmune hemolysis. His counts had been controlled with cytoreductive therapy and he infrequently required red cell transfusions following rituximab. His white blood cell count was 77 × 109/L, with neutrophilia and monocytosis; hemoglobin, 9 g/dL; hematocrit, 25%; mean corpuscular volume, 105 fL; mean corpuscular hemoglobin concentration, 37.2 g/dL; and platelets, 500 × 109/L. Lactate dehydrogenase and bilirubin were elevated, whereas haptoglobin was within the normal range. The blood smear (hematoxylin and eosin stain, magnification ×1000) revealed red cell agglutination, polychromasia, spherocytes, schistocytes, and florid erythrophagocytosis by both neutrophils and monocytes. The direct antiglobulin test was positive for C3d only (3+).
Erythrophagocytosis in peripheral blood is uncommon and has traditionally been described in association with paroxysmal cold hemoglobinuria. The blood smear findings in this case are almost pathognomonic of autoimmune hemolytic anemia. The degree of agglutination should raise the suspicion of cold agglutinins. Erythrophagocytosis in the context of CAD is rarely seen. These findings were never observed on previous blood films. We hypothesize that this was induced by severe sepsis in the context of known CAD.
An 80-year-old man known to suffer from JAK2− essential thrombocytosis and idiopathic cold agglutinin disease (CAD) was admitted with community-acquired pneumonia, resulting in death. He was on α-interferon and had been given rituximab 3 years previously for his autoimmune hemolysis. His counts had been controlled with cytoreductive therapy and he infrequently required red cell transfusions following rituximab. His white blood cell count was 77 × 109/L, with neutrophilia and monocytosis; hemoglobin, 9 g/dL; hematocrit, 25%; mean corpuscular volume, 105 fL; mean corpuscular hemoglobin concentration, 37.2 g/dL; and platelets, 500 × 109/L. Lactate dehydrogenase and bilirubin were elevated, whereas haptoglobin was within the normal range. The blood smear (hematoxylin and eosin stain, magnification ×1000) revealed red cell agglutination, polychromasia, spherocytes, schistocytes, and florid erythrophagocytosis by both neutrophils and monocytes. The direct antiglobulin test was positive for C3d only (3+).
Erythrophagocytosis in peripheral blood is uncommon and has traditionally been described in association with paroxysmal cold hemoglobinuria. The blood smear findings in this case are almost pathognomonic of autoimmune hemolytic anemia. The degree of agglutination should raise the suspicion of cold agglutinins. Erythrophagocytosis in the context of CAD is rarely seen. These findings were never observed on previous blood films. We hypothesize that this was induced by severe sepsis in the context of known CAD.
For additional images, visit the ASH Image Bank, a reference and teaching tool that is continually updated with new atlas and case study images. For more information, visit http://imagebank.hematology.org.

